
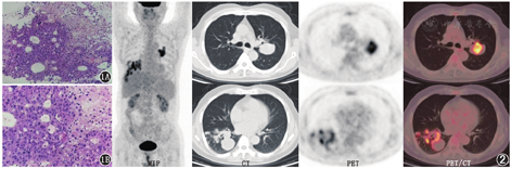
患者男,59岁,因"无明显诱因出现咳嗽、咳痰,间断痰中带血5个月余,自觉症状加重半个月"就诊。体格检查:双肺呼吸音粗,未闻及干湿性啰音。胸部CT平扫示双肺多发最大径在5.0 cm以内的软组织结节及肿块。血清甲胎蛋白(alphafetoprotein, AFP)>1 000.0(正常参考值范围:0~7.0) μg/L。既往乙型肝炎病毒携带史20年。临床疑诊肝癌肺转移,行CT引导下左肺占位穿刺活组织检查,病理结果为腺癌(图1),结合免疫组织化学检查结果考虑为肝细胞肝癌肺转移。后患者行18F-FDG PET/CT显像,结果示双肺病灶18F-FDG摄取明显增高,其余部位未见异常代谢增高区(图2)。外院肝脏增强CT检查未见异常。经多学科会诊后,临床诊断为肺肝样腺癌(hepatoid adenocarcinoma, HAC),随访患者生存期为6个月。HAC是1种罕见的原发于肝外、同时具备肝样分化征象和腺癌成分的特殊类型癌,其在病理学和免疫组织化学上有着类似于肝细胞肝癌的组分。患者无肝脏病变时,明确诊断需结合影像学与病理结果,血清AFP升高具有重要的诊断提示意义。如患者AFP明显升高,而肝脏常规检查未见异常病灶,应行18F-FDG PET/CT检查,以明确原发灶部位并进行分期。
版权归中华医学会所有。
未经授权,不得转载、摘编本刊文章,不得使用本刊的版式设计。
除非特别声明,本刊刊出的所有文章不代表中华医学会和本刊编委会的观点。
患者男,59岁,因"无明显诱因出现咳嗽、咳痰,间断痰中带血5个月余,自觉症状加重半个月"就诊。体格检查:双肺呼吸音粗,未闻及干湿性啰音。胸部CT平扫示双肺多发最大径在5.0 cm以内的软组织结节及肿块。血清甲胎蛋白(alphafetoprotein, AFP)>1 000.0(正常参考值范围:0~7.0) μg/L。既往乙型肝炎病毒携带史20年。临床疑诊肝癌肺转移,行CT引导下左肺占位穿刺活组织检查,病理结果为腺癌(图1),结合免疫组织化学检查结果考虑为肝细胞肝癌肺转移。后患者行18F-FDG PET/CT显像,结果示双肺病灶18F-FDG摄取明显增高,其余部位未见异常代谢增高区(图2)。外院肝脏增强CT检查未见异常。经多学科会诊后,临床诊断为肺肝样腺癌(hepatoid adenocarcinoma, HAC),随访患者生存期为6个月。HAC是1种罕见的原发于肝外、同时具备肝样分化征象和腺癌成分的特殊类型癌,其在病理学和免疫组织化学上有着类似于肝细胞肝癌的组分。患者无肝脏病变时,明确诊断需结合影像学与病理结果,血清AFP升高具有重要的诊断提示意义。如患者AFP明显升高,而肝脏常规检查未见异常病灶,应行18F-FDG PET/CT检查,以明确原发灶部位并进行分期。

所有作者声明无利益冲突





















