
胃肠道间质瘤起源于卡哈尔细胞,最常发生于胃、小肠,其转移瘤多见于肝脏、网膜、腹膜,本例患者既往胃肠道间质瘤诊断明确,近期发现肺部占位性病变,经病理证实为胃肠道间质瘤肺转移,且原手术部位未见复发,未见其他部位转移。临床极为罕见。
版权归中华医学会所有。
未经授权,不得转载、摘编本刊文章,不得使用本刊的版式设计。
除非特别声明,本刊刊出的所有文章不代表中华医学会和本刊编委会的观点。
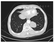
患者男,79岁,于2018年1月2日因"咳嗽5天"收入吉林大学第一医院。患者曾于2013年12月9日因"左上腹不适"就诊于吉林省肿瘤医院,正电子发射计算机断层显像(positron emission tomography computed tomography,PET-CT)提示:左腹部见双发巨大软组织肿物影,彼此相连,上部最大截面10.6 cm×12.7 cm,肿物与大弯侧胃壁界限不清,胃受压移位,局部与肝左叶界限不清,下部与前腹部界限不清;左肺上叶、右肺下叶可见结节影,氟代脱氧葡萄糖代谢无异常。行腹部肿物穿刺活检,2013年12月16日病理诊断提示:梭形细胞肿瘤,形态符合间质瘤;免疫组织化学结果为CD117(+)、Dog-1(-)、CD34(-),确诊为胃肠道间质瘤(gastrointestinal stromal tumor,GIST)。因患者高龄且瘤体较大,瘤体与周围组织分界不清,手术切除困难,遂口服分子靶向药物伊马替尼(400 mg/d)治疗。口服伊马替尼11个月后,2014年11月于吉林省肿瘤医院再次复查全腹部CT示:胃体部大弯侧见肿块,大小约为5.2 cm×6.0 cm,肿块较前缩小且未见转移,临床评估为部分缓解(partial response,PR),伊马替尼治疗有效,继续口服药物治疗。2015年6月因瘤体破裂,于吉林省肿瘤医院急诊开腹行瘤体切除术,此后每3个月复查1次全腹CT,期间患者病情平稳,未见肿瘤进展。2017年12月28日,患者因"咳嗽"于当地医院发现左肺部下叶占位性病变,为行进一步诊治就诊于吉林大学第一医院,2018年1月3日行肺部多排CT二期增强提示:左肺下叶见分叶状高密度影,约4.8 cm×4.4 cm,邻近胸膜受牵拉,见图1。其余部位未见占位性病变,遂行CT引导下左肺下叶穿刺术及病理活检,并行穿刺组织分子病理检测。2018年1月14日病理诊断示:左肺下叶间叶源性肿瘤(图2);免疫组织化学结果示:Ki-67(+40%),CD117(-),Dog-1(+),CD34(+)(图3)。结合病史及免疫组织化学结果考虑为GIST肺转移。2018年1月19日分子病理检查结果:检测到c-kit基因第11外显子发生点突变。综上诊断为GIST术后、左肺转移。追问病史,患者告知近半年,因恶心、呕吐等伊马替尼不良反应,自行调整药物剂量为400 mg隔日一次。综合患者病情,伊马替尼加量至600 mg/d,规律随访,目前已随访6个月,复查2次CT均未见进展或复发。




GIST是胃肠道肿瘤中的少见类型,有良恶性之分,起源于卡哈尔细胞,免疫组织化学检测通常表达CD117或Dog-1,CD117阳性率为94%~98%,Dog-1阳性率为94%~96%,大多数病例具有c-kit或血小板源性生长因子受体α多肽(platelet-derived growth factor receptor alpha,PDGFRA)活化突变,治疗方法包括外科手术和分子靶向药物治疗[1,2]。据统计,GIST的年发病率为10/100万~20/100万,而其中恶性肿瘤比例高达20%~30%,最常见于胃(发生率约为50%~60%)、小肠(发生率约为30%~35%)、结肠和直肠(发生率约为5%),也可见于食管(发生率<1%)、网膜、肠系膜或腹膜后(发生率<5%)[1,2,3,4,5,6,7]。GIST的转移瘤多发生于肝脏、网膜、腹膜,肺转移在临床上非常罕见,一般认为出现肺转移时,多伴有其他部位转移[3]。本例患者既往GIST诊断明确,本次入院完善检查肺部占位肿物经穿刺活检病理证实为GIST来源,手术原发部位未见复发,未见其他部位转移,在临床极为少见。
临床上有多个危险度评估系统用于GIST患者预后评估,主要包括美国国立卫生研究院(National Institute of Health,NIH)(2008改良版)、世界卫生组织(2013年版)、美国国立综合癌症网络指南(2016年第2版)[1,8,9,10,11],中国临床肿瘤学会推荐使用NIH2008改良版,可能更适合亚洲人种,兼具便捷性与可操作性,常用于评估手术切除后患者的预后[12]。近年来,有研究显示GIST多个危险因素用以判断患者的预后情况。Joensuu等[13]研究显示,有5大因素与应用伊马替尼治疗GIST后肿瘤复发密切相关,分别是肿瘤核分裂像计数高、肿瘤发生于肠系膜以外位置、肿瘤直径大、肿瘤破裂和已使用伊马替尼治疗12个月。Wozniak等[14]在一项基于1 056例患者的临床研究中发现,GIST的基因表型是患者预后的独立危险因素,kit基因9外显子突变、kit基因11外显子缺失突变、非胃部位、肿瘤直径大及核分裂像计数高均与GIST患者不良预后密切相关,PDGFRA基因18外显子突变则预示预后良好。
分子靶向药物伊马替尼是转移复发和(或)不可切除GIST的一线治疗药物,一般主张初始推荐剂量为400 mg/d[12,15]。有文献报道不可切除和(或)转移GIST患者的中位生存期仅为10~20个月,自从伊马替尼应用于不可切除和(或)复发且具有显著复发风险GIST患者的治疗,此类患者预后得到极大改善,中位生存期能延长近3倍[15]。B2222及EORTC62005临床研究结果显示,晚期GIST患者口服伊马替尼能改善预后,中位生存期分别达到57、43个月,且对于耐药的患者,将400 mg/d调整为600 mg/d甚至800 mg/d,约有33%的患者能够再次受益[16,17,18]。
本例患者自2013年12月明确诊断,初始诊断影像资料部分已丢失,但从2013年12月9日吉林省肿瘤医院PET-CT检查报告单描述中未见肿瘤与纵隔临近情况,推断胸部肿瘤为转移性肿瘤的可能性大。既往口服伊马替尼控制病情效果良好,后因药物不良反应未遵医嘱,自行减量,入院后完善检查已明确诊断为GIST肺转移,原肿瘤位置未见复发,再次证实伊马替尼治疗晚期GIST的重要价值。
目前较为认同的GIST诊疗思路首选手术治疗,晚期患者首选分子靶向药物治疗。但有研究指出当因原发灶过大或与周围组织黏连无法行手术治疗时,可口服靶向药物控制,以寻求手术机会切除肿瘤,即在分子靶向药物耐药前切除肿瘤灶,可延长靶向药物控制期,进而延长患者生存期[19,20,21]。对于本例患者,推荐在用药过程中规律复查,若肺转移灶仍为孤立病灶,建议尽快手术切除,以期延长治疗的敏感性,改善患者预后。
目前对于晚期GIST患者的治疗仍存在以下问题:应用伊马替尼治疗的具体疗程未知;手术对于转移性GIST治疗的价值仍待进一步明确;联合疗法是否会改善治疗效果。这些问题还需要继续开展大量研究来解答。
所有作者均声明不存在利益冲突





















