
多发性骨髓瘤合并脾梗死此临床类型十分罕见,目前对此类型的生物学行为了解有限。现报道1例多发性骨髓瘤合并脾梗死的临床诊治经过,以此提高对该类型疾病的相关认识。
版权归中华医学会所有。
未经授权,不得转载、摘编本刊文章,不得使用本刊的版式设计。
除非特别声明,本刊刊出的所有文章不代表中华医学会和本刊编委会的观点。
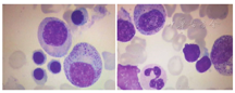
患者男,48岁,主因间断鼻衄伴发热1个月余,左上腹痛5 d入院。1个月前,患者无诱因出现鼻衄,量较少,可自行止血,并出现发热症状,体温最高38.5 ℃,无畏寒、寒战,无皮肤出血点,无咳血、呕血,无血尿、黑便,无咳嗽、咳痰,无腹痛、腹泻,无尿频、尿急、尿痛等不适,于社区诊所给予头孢类抗生素输液治疗,体温控制。5天前,出现左上腹痛,伴大汗,无恶心、呕吐,呈钝痛,无放射痛,与进食及体位改变均无关,社区医院血常规白细胞计数(WBC)15.82×109/L,红细胞计数(RBC)1.81×1012/L,血红蛋白(HB)58.5 g/L,血小板计数(PLT)29.5×109/L。腹部超声:脾大,实质回声增粗不均。为进一步诊治入住河北大学附属医院血液科。入院查体:体温38.0 ℃,脉搏94次/min,呼吸20次/min,血压122/72 mm Hg(1 mm Hg=0.133 kPa);神志清,精神差,重度贫血貌,皮肤黏膜苍白,未见明显黄染,浅表淋巴结未触及明显肿大。胸骨压痛阴性,双肺呼吸音清,未闻及明显的干湿性啰音,心率94次/min,律齐,心音可,各瓣膜听诊区未闻及病理性杂音,腹膨隆,左上腹压痛,无反跳痛及肌紧张,脾脏肋下6 cm,质硬,边缘光滑伴触痛,肝脏肋下未触及,双下肢无水肿,可见散在出血点及瘀斑。脊柱四肢无畸形,肌力、肌张力正常,病理征未引出。入院后相关检查如下,血常规:WBC 18.33×109/L,RBC 1.66×1012/L,HB 56.0 g/L,PLT 26×109/L,中性粒细胞百分比(NE%)46.2%,淋巴细胞百分比(LY%)35.31%,红细胞平均体积(MCV)101.6 fl,红细胞平均血红蛋白量(MCH)33.66 pg,红细胞平均血红蛋白浓度(MCHC)331.0 g/L,镜检可见异常淋巴样浆细胞及有核红细胞。尿便常规正常。凝血功能:活化部分凝血活酶时间(APTT)43.80 s、凝血酶原时间(PT)20.20 s、国际标准化比率(INR)1.75、凝血酶时间(TT)33.60 s,均延长,D-二聚体(D-D)15.32 mg/L、纤维蛋白(原)降解产物(FDP)53.17 μg/ml,血浆纤维蛋白原(FIB)1.84 g/L(降低)。血生化:白蛋白24.73 g/L(降低),血清β2微球蛋白(β2-MG)45.73 mg/L(升高),血清肌酐(Cr)442.43 μmol/L(升高),血钙2.87 mmol/L(升高,校正血钙3.25 mmol/L),乳酸脱氢酶(LDH)295.03 U/L(升高)。谷丙转氨酶(ALT)、谷草转氨酶(AST)、总胆红素(TBIL)及肿瘤、免疫指标未见明显异常。血清蛋白电泳:总蛋白(TP)147.80 g/L(升高),γ球蛋白含量84.25 g/L(升高),γ球蛋白% 57.00%(升高),γ位上有M带。血免疫固定电泳:免疫球蛋白G(IgG)11 100 mg/dl(751~1 560 mg/dl)、KAP轻链(血)17 900 mg/dl(629~1 350 mg/dl),KAP轻链(尿)1 720 mg/dl(0~1.85 mg/dl),结果分析为IgG-KAP型M蛋白血症。尿本周蛋白定性阳性。骨髓象:骨髓增生活跃,G/E=5.43∶1;粒系增生减低,各阶段细胞形态大致正常;红系增生减低,以中晚幼红细胞为主,部分成熟红细胞可见缗钱状排列;全片巨核8个,血小板少见;可见淋巴样浆细胞27.5%,胞体较小,浆少,核略偏位,初浆区不明显,染色质较疏松,可见双核浆细胞(见图1)。血涂片:白细胞数增高,分类可见淋巴样浆细胞,部分成熟红细胞可见缗钱状排列,血小板少见。意见:浆细胞增多,不除外多发性骨髓瘤(multiple myeloma,MM)。免疫表型:异常细胞群约占有核细胞的31.47%;表达CD138、CD38、CD28、cKappa、CD81、CD20;弱表达CD45、CD27;不表达CD117、CD19、clambda、CD56、CD200;符合浆细胞肿瘤表型。染色体:核型46,XY[20],未见克隆性异常。影像学检查如下,X线:双肺间质性改变;双侧肋骨骨质未见异常;骨盆诸组成骨骨质未见异常;颅骨骨质结构未见异常。超声:左心增大,二三尖瓣少量返流,脂肪肝,胆囊壁厚、毛糙,双肾皮质回声增强,脾大(厚约7.9 cm,长约17.6 cm),多发片状低回声,脾梗死。双下肢静脉超声:未见明显异常。根据上述检查结果,诊断为:①MM IgG-KAP轻链型(D/S分期ⅢB期,ISS分期Ⅲ期,IMWG危险分层为中危);②脾梗死;③感染性发热。


治疗方案如下,①对症支持治疗:给予静脉帕米膦酸二钠预防骨病,水化、碱化改善肾功能不全,利尿纠正高钙血症及抗感染治疗;②原发病治疗:给予VD方案化疗[硼替佐米2.5 mg(1.3 mg/m2)第1、4、8、11天皮下注射+地塞米松40 mg第1~2、4~5、8~9、11~12天],治疗过程中体温及腹痛逐渐好转,血钙、肌酐恢复正常。再次重复2个疗程VD方案化疗,3个疗程后全面评估病情。实验室检查结果如下,血常规:WBC 12.68×109/L,RBC 4.10×1012/L,HB 128.3 g/L,PLT 91.1×109/L,NE% 80.1%,LY 9.89%。凝血功能均正常。生化:白蛋白40 g/L,β2-MG 3.5 mg/L,血钙2.1 mmol/L,肌酐128.63 μmol/L,LDH 194.94 U/L。血清蛋白电泳:TP 62.51 g/L,γ球蛋白含量9.19 g/l,γ球蛋白% 14.70%,γ位上未见M带。血免疫固定电泳:IgG 1 270 mg/dl、KAP轻链(血)848 mg/dl,KAP轻链(尿)12.4 mg/dl,结果分析为IgG-KAP型M蛋白血症。尿本周蛋白定性阴性。骨髓象:浆细胞2%(见图2)。腹部超声:脾大(厚约4.9 cm,长约13.0 cm),脾脏多发低回声。评估病情为非常好的部分缓解(VGPR),但其因经济原因,拒绝自体造血干细胞移植,再次给予2个疗程VD方案化疗,5个疗程后血常规、凝血功能、白蛋白、血钙、肌酐、LDH、β2-MG均在正常范围。骨髓象浆细胞百分比为0,血蛋白电泳未见M蛋白带,血尿免疫固定电泳阴性,腹部超声:脾脏厚3.9 cm、长约11.7 cm,实质回声均匀。评估病情为完全缓解(CR),现患者规律巩固治疗中。


MM是一种以浆细胞为起源的恶性肿瘤,发病率占所有恶性疾病的1%,占血液系统恶性疾病的10%,好发于50岁以上的老年人[1]。MM的常见表现为骨髓瘤细胞克隆性增殖引起溶骨性破坏,伴有贫血、肾损害、感染及髓外浸润。髓外浸润是指骨髓瘤细胞向髓外组织器官播散,其方式有以下3种。①与骨骼相毗邻的组织:易受累部位多为椎骨、肋骨、胸骨、颅骨等扁骨,此种形式最为常见。②血液学播散:浸润与骨骼无明显解剖学关系的器官组织[2],如皮肤、软组织、淋巴结、肝脾等,表现为单发或多发的结节或肿块。③侵入性操作:有创操作、手术、置管等会出现手术瘢痕部位肿瘤,而病灶处骨骼的手术和病理性骨折会造成肿瘤细胞的局部侵袭[3]。髓外浸润可发生在MM的各个阶段,也有部分患者以髓外浸润为首发症状。有文献报道,在MM诊断时髓外浸润的发生率为7%~18%,而在MM治疗中或复发时的发生率可达20%,并且MM合并髓外浸润提示疾病恶性程度高、进展速度快及预后差等[3]。目前研究认为髓外浸润的发生可能与骨髓内皮细胞与骨髓瘤细胞相互作用的黏附分子及相关受体表达有关[4],导致骨髓瘤细胞归巢受阻、侵袭能力及血管生成能力增强。而脾梗死是慢性髓细胞白血病、骨髓增殖性疾病常见的并发症,MM脾脏受侵合并脾梗死较为罕见。该例患者发病时以左上腹痛为主要表现,超声提示脾梗死,但因其血小板较低,凝血功能异常及有出血表现,未能行穿刺活检术。但治疗过程中,随原发病好转,动态复查超声,脾脏较前缩小。且达CR后腹部超声示脾脏回声已均匀,考虑其髓外浸润诊断成立。
初诊时伴髓外浸润的患者接受常规治疗往往有更差的预后,研究发现大剂量化疗可以克服髓外浸润对化疗的不敏感性[5]。国内外虽尚未确定针对这类患者的标准治疗方案,但比较一致的是选择含有硼替佐米的治疗方案[6,7]。近年来,硼替佐米在针对MM的治疗中起到重要作用,故国外学者对硼替佐米在MM并髓外浸润后疗效进行了研究,发现其对于髓外浸润有效,但仍不能改善预后[8]。目前发现髓外浸润来源的差别以及一些生物化学指标可提示患者预后情况,在一定程度上可为不同患者拟定个体化治疗方案提供依据,但需要更多基础研究、临床试验以及相关数据的支撑。本例患者应用硼替佐米联合激素治疗后,1个疗程症状即缓解,提示VD方案可作为MM合并脾梗死的优选方案,但尚需积累经验。
所有作者均声明不存在利益冲突





















