
食管癌一线治疗失败后尚无标准治疗方案,目前免疫治疗、免疫联合化疗已成为食管癌治疗的新选择,免疫治疗带来疗效的同时也存在免疫治疗超进展的风险。现报道1例食管鳞状细胞癌术后转移患者行帕博利珠单抗免疫治疗联合化疗后出现超进展,并对其临床特点及基因情况进行分析。
版权归中华医学会所有。
未经授权,不得转载、摘编本刊文章,不得使用本刊的版式设计。
除非特别声明,本刊刊出的所有文章不代表中华医学会和本刊编委会的观点。
患者男,54岁,喜食腌制品,无吸烟嗜酒史,因"食管鳞状细胞癌术后化疗后5个月,发现肝转移4个月,2周期化疗后进展"于2019年3月4日就诊于中国医学科学院肿瘤医院深圳医院,无肿瘤家族史。患者2018年6月因进食哽咽感行胃镜检查,示距门齿25~31 cm食管近2/3周隆起溃疡型肿物,胸腹部CT未见他处转移,于外院行胸腹腔镜下经右胸/上腹/左颈三切口部分食管切除+胃食管左颈吻合术+双侧喉返神经探查术。术后病理示:食管黏膜下层至外膜层见高至中分化鳞状细胞癌浸润,未见脉管内癌栓及神经束侵犯;左喉返淋巴结见1枚淋巴结转移,胃左旁淋巴结见1枚淋巴结转移,其余淋巴结未见转移。术后分期为pT3N1M0 ⅢB期。
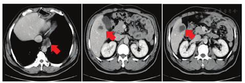
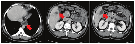
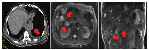
术后ECOG PS评分为1分,因患者拒绝静脉化疗,2018年8月10日至2018年9月21日术后外院行替吉奥60 mg每天早、晚餐后半小时口服,连续口服14 d,每21天为一周期,共化疗2个周期。2018年10月23日复查全身PET-CT示:右侧锁骨上、右侧颈部Ⅳ区、右侧颈部喉返神经旁、降主动脉旁、脾动脉近端近腹腔干多发淋巴结转移,肝S5转移。患者未行治疗。1个月后胸腹盆CT提示降主动脉旁淋巴结转移灶及肝转移灶较前增大(见图1),予紫杉醇脂质体270 mg第1天静脉滴注+顺铂50 mg第1天、40 mg第2~3天静脉滴注,每21天为一周期,共化疗2个周期,2个周期后评价疗效为疾病进展(见图2)。程序性细胞死亡配体1(PD-L1)检测(原手术组织,抗体型号22C3)结果为高表达,肿瘤细胞阳性比例分数(TPS)为80%。2019年2月15日给予帕博利珠单抗注射液200 mg第1天+伊立替康400 mg第2天,每21天为一周期,治疗1个周期。1周后患者出现黄疸,肝功能示:丙氨酸氨基转移酶(ALT)68.6 U/L,总胆红素(TBIL)89.7 μmol/L,直接胆红素(DBIL)83.7 μmol/L。予多烯磷脂酰胆碱注射液等药物治疗后黄疸进一步加重,复查肝功能示:ALT 32.5 U/L,TBIL 235.3 μmol/L,DBIL 215.5 μmol/L;MRI示肝内多发结节部分融合成团,边界不清,肝门部软组织肿物沿胆道系统向肝内蔓延生长,肝内胆管扩张在肝门部截断,胆总管显示不清,考虑转移瘤累及肝门、胆总管。胆囊周围、腹腔及腹膜后、上腔静脉与主动脉间多发结节及肿物,部分融合,大者约6.6 cm×5.1 cm,考虑淋巴结转移。磁共振胰胆管成像(MRCP)示肝内胆管呈"软藤状"扩张,并在肝门部截断,胆总管及胰管显示不清,胆囊显示不清(见图3)。






考虑病情快速进展,全基因检测(组织,燃石医学)示MSS型,CCND1、CD274、FGF19、FGF3、FGF4基因变异,TP53 5号外显子pK132R错义突变,丰度45.54%。TMB 5.6个突变/Mb。行经皮肝胆管穿刺置管引流术(PTCD),术后胆红素下降不明显。后出现胆道感染,到外院行经内镜逆行性胰胆管造影术(ERCP)+右肝管支架置入术+左肝管鼻胆管引流术,术后ALT 55.8 U/L,TBIL 333.3 μmol/L,DBIL 259.5 μmol/L。予最佳支持治疗及中药治疗,患者于2019年5月死亡。
食管癌是全球死亡率最高的恶性肿瘤之一,在我国,90%以上的病理类型为鳞状细胞癌[1]。食管癌起病隐匿,很多患者在确诊时已是晚期,预后差,5年总生存率在15%~25%之间[2]。目前晚期食管鳞状细胞癌的治疗主要以化疗为主,一线治疗后尚无标准治疗方案。随着免疫治疗的广泛应用,免疫治疗、免疫治疗联合化疗也成为食管癌的一种治疗方法。Keynote-180试验提示帕博利珠单抗对PD-L1阳性多线治疗后食管癌患者较PD-L1阴性患者有较好的客观缓解率,达到13.8%,提示对于PD-L1表达阳性的患者,免疫治疗可获益[3]。然而,免疫治疗带来获益的同时亦存在免疫治疗超进展的风险。Ji等[4]回顾性分析了45例行PD-1/PD-L1抗体治疗的消化系统恶性肿瘤患者,发现5例患者出现免疫治疗后超进展,发生率达11.1%,其中2例为腺癌,3例为神经内分泌癌。目前针对食管鳞状细胞癌免疫联合化疗治疗后超进展情况在临床上较为少见,同时因缺乏相应的预测指标可能被忽视。
本例患者食管癌根治术后分期为ⅢB期,术前未行新辅助放化疗,根治术后4个月即出现远处转移,调整方案后再次进展,单纯化疗无进展生存期短。患者PD-L1高表达、PS评分较好,免疫治疗可能获益。有研究报道化疗对肿瘤细胞杀伤可释放抗原,增加肿瘤抗原性,提升免疫治疗效果[5],且免疫联合化疗在很多瘤种特别是肺鳞状细胞癌中显示出较长的无进展生存期和总生存期,且不良反应亦可耐受。因此,本例患者选用了帕博利珠单抗联合伊利替康治疗。
患者在帕博利珠单抗联合伊立替康治疗1个周期后迅速出现肝转移瘤进展、腹腔淋巴结增大,MRI可见肝门部软组织影融合压迫胆总管,导致梗阻性黄疸。患者2周内出现肿瘤快速进展,结合当时有文献提出超进展定义主要是以RECIST为疗效评价标准,符合以下几个条件:肿瘤进展时间<2个月,肿瘤负荷相比于基线期增长超过50%,免疫治疗后肿瘤生长速度超过之前速度2倍以上[6],考虑免疫联合化疗治疗后超进展可能性大。
本例患者PD-L1高表达、PS评分较好、3线以下治疗均是免疫治疗的正向影响因素,而存在肝脏转移病灶多于2个、对基因检测进行分析存在11q13区域扩增可能是免疫治疗超进展的相关因素[7,8,9],当然也可能存在其他尚不清楚的危险因素。在免疫治疗1个周期后出现肿瘤快速进展,虽符合目前超进展诊断,但此患者因肿瘤进展压迫胆总管,也可能是免疫治疗后淋巴结充满免疫浸润细胞,导致淋巴结肿大引起,亦或是肿瘤原发耐药引起的自然进程或肿瘤异质性引起的病情进展。针对食管鳞状细胞癌免疫治疗超进展的机制及影响因素有待更进一步的研究明确。
所有作者均声明不存在利益冲突





















