
近年来,胃癌的转化治疗作为一种新的治疗策略受到了广泛关注,转化治疗利用放疗、化疗、靶向治疗等综合治疗手段,使初始不可切除的肿瘤转化为可根治性切除的肿瘤,从而延长患者的生存期,并提高其生命质量。现报道1例腹膜转移的Ⅳ期胃癌患者,经术前3个周期转化治疗后,影像学评估为部分缓解,腹腔镜探查腹腔未见转移病灶,行腹腔镜下根治性全胃切除术。术后患者接受了4次系统的SOX化疗(奥沙利铂+替吉奥),随访1年,未见复发。
版权归中华医学会所有。
未经授权,不得转载、摘编本刊文章,不得使用本刊的版式设计。
除非特别声明,本刊刊出的所有文章不代表中华医学会和本刊编委会的观点。
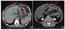
患者男,43岁。3个月前无明显原因出现腹胀,偶有上腹部隐痛不适,间断黑便,无恶心、呕吐,未在意,后腹胀进行性加重,就诊于当地医院,2018年12月7日行胃镜检查提示:胃体狭窄,狭窄段黏膜粗糙不平,局部隆起胃窦黏膜点片状红斑。病理提示:低分化腺癌。患者为求进一步诊治来我院,门诊以"胃癌"收入胃结直肠外科。辅助检查:腹部CT(图1)提示胃体占位,考虑胃癌;腹膜、网膜弥漫性增厚,考虑转移;腹腔积液。CT分期考虑cTNM:T4aN2M1。


注:图A箭头标志处为肿瘤、腹腔积液及肿大淋巴结;图B箭头标志处为增厚网膜
实验室检查:CA-724为300 U/ml,CA-125为481.6 U/ml;腹腔积液脱落细胞检查找到腺癌细胞。临床诊断:胃癌,腹腔转移。诊疗过程:给予全身化疗联合腹腔热灌注治疗。转化治疗方案:化疗第1天依据患者体表面积给予奥沙利铂(80 mg/m2),静脉滴注2 h;化疗第1~14天,口服替吉奥胶囊,60 mg/次,2次/d;化疗第3天给予顺铂腹腔热灌注治疗,顺铂50 mg/m2,加入0.9%氯化钠溶液2 000 ml,灌注速度35~45 ml/min,水温控制在41 ℃左右,灌注45~60 min。3个疗程后依据实体肿瘤评价标准进行影像学评估:患者ycTNM分期为T3N0-1M0,肿瘤缩小,淋巴结缩小,肿大淋巴结数量减少,腹腔积液消失,疗效评价为部分缓解(图2)。肿瘤标志物:CA-724为2.63 U/ml,CA-125为7.06 U/ml。化疗毒性反应:0级。进一步行腹腔镜探查术,术中见腹膜纤维化改变,未见腹腔转移(图3)。遂行根治性全胃切除术(图4、图5)。术后病理①低分化腺癌;②Lauren分型:弥漫性;③脉管浸润:+;④神经浸润:-;⑤淋巴结:0/30;⑥ypTNM:T3N0M0(图6)。患者术后恢复良好,术后第7天顺利出院。术后第3周开始进行了4个疗程SOX化疗(奥沙利铂+替吉奥)。随访1年,未见肿瘤复发。






注:图A箭头处为脾动脉及脾静脉;图B箭头处为肝总动脉及门静脉




胃癌是世界上最常见的恶性肿瘤之一,由于胃癌发病隐匿,许多患者在发现时已经出现了腹膜转移、远隔器官转移等非治愈性因素,失去手术根治的机会,使后续治疗变得极为困难。化疗、放疗、靶向治疗、姑息性手术和最佳支持性治疗已被广泛用于治疗晚期胃癌患者[1]。目前,对于转化治疗,尚缺乏大规模的临床数据。此例患者在治疗过程中,充分展现了转化治疗模式的可观前景,对于延长晚期胃癌患者生存期及提高其生命质量发挥重要作用。
大量研究表明术前辅助化疗可以提高R0切除率和总生存,而不影响围手术期并发症的发生率[2,3,4,5,6]。术前辅助化疗原理是通过将肿瘤降期和消除隐匿性转移来增加R0切除[7]。目前,化疗的临床疗效评估主要有分子标志物分析、分子影像学评估、解剖影像学评价和组织病理反应评价[8,9,10,11]。而后两种手段是化疗后评估肿瘤消退的常用手段。
胃癌不可切除的因素主要包括:腹膜转移、肝转移、局部侵犯、肺转移、骨转移等。腹膜是Ⅳ期胃癌最常见的转移部位,14%~43%的胃癌患者出现腹膜转移,而腹膜转移占所有远处转移的35%[12]。近年来,针对腹膜转移的腹腔热灌注治疗正逐渐被应用,一些研究显示腹腔热灌注治疗可以改善腹膜转移胃癌患者的预后,延长患者生存期[13,14,15]。该病例报道中患者初诊断时已经发现腹腔转移,并有大量腹腔积液,无法达到R0切除,给予转化治疗后影像学提示部分缓解,肿瘤病灶及腹腔内淋巴结转移灶均缩小,达到了临床降期的目的,腹腔镜探查时未见腹腔转移,并完成了腹腔镜下根治性全胃切除术。腹膜转移患者经过术前转化治疗后,患者病灶部分缓解,进而可接受R0切除,效果显著,全身化疗联合腹腔热灌注治疗是腹膜转移的胃癌患者的重要治疗手段。目前转化治疗仍处于探索阶段,不同转化化疗方案获得的反应率差别很大,且缺乏高质量、多中心、大样本数据支持,在病例筛选、化疗方案选择等方面尚未达成一致,还需要更高水平的临床随机对照试验进行验证和指导。
所有作者均声明不存在利益冲突





















