
探讨先天性多关节挛缩症双侧髋关节脱位的治疗方法。
回顾性分析2008年7月至2012年7月收治的先天性多关节挛缩症双侧髋关节脱位患儿8例的临床资料。其中,男5例,女3例;年龄5~39个月,平均16个月。采用S-P前侧入路和内侧入路治疗髋关节脱位,同时选择性行骨盆截骨和股骨截骨术。
本组随访2~5.2年,平均约3.5年。8例中2例步态基本正常,1例轻微跛行,2例步态不稳,1例需佩戴长腿支具行走,2例不能独立行走。4个髋活动基本正常,8个髋活动轻度受限,4个髋活动明显受限。根据Severin的X线片评定标准和修改的McKay临床评定标准,优4髋,良8髋,一般4髋。髋关节屈伸活动范围左右两侧术后比术前提高约30°。其中,左髋关节术前活动度为70.4°±6.3°,术后活动度为104.1°±9.6°;右髋关节术前活动度为72.0°±10.2°,术后活动度为102.5°±8.9°,两者术前与术后比较,差异均有统计学意义(P<0.001)。本组有3个髋关节发生股骨头坏死,Kalamchi and MacEwen分级Ⅰ、Ⅲ、Ⅵ各1例。
先天性多关节挛缩症双侧髋关节脱位者应早期行切开复位来恢复正常髋关节解剖结构,经S-P前侧入路以及骨盆截骨和股骨截骨术是治疗脱位的有效方法。
版权归中华医学会所有。
未经授权,不得转载、摘编本刊文章,不得使用本刊的版式设计。
除非特别声明,本刊刊出的所有文章不代表中华医学会和本刊编委会的观点。
先天性多关节挛缩症(arthrogryposis multiplex congenita, AMC)是一种比较少见的先天性疾病,病因不清,多有神经、肌肉和结缔组织病变损害,其特征为出生时2个及以上不同部位关节的挛缩畸形。AMC在新生儿的发病率约为0.03%[1,2,3,4],多发于四肢关节,髋关节受累约占80%[4,5,6],其中髋关节半脱位和全脱位发生率在15~30%[2,7,8]。AMC髋关节脱位行闭合复位多不能获得成功。大部分学者认为,单侧脱位者需行切开复位来获得稳定的髋关节和水平的骨盆,预防患儿在行走年龄因骨盆不水平,引起代偿性骨盆倾斜、坐姿不平衡及脊柱侧弯等[3,5,6,7,8,9]。对于双侧脱位者,目前是手术还是保守治疗存在较大争议。我科自2008年7月至2012年7月间收治了8例AMC双侧髋关节脱位的患儿,采用S-P入路行切开复位,部分病人联合骨盆截骨与股骨截骨,获得了比较满意的效果。
本组8例中,男5例,女3例;初次手术年龄5~39个月,平均16个月。8例合并有双侧先天性马蹄内翻足(congenital clubfoot, CCF),占100%;1例合并双侧先天性垂直距骨(congenital vertical talus, CVT),占12.5%;4例合并单侧膝关节畸形(3例膝关节脱位、1例膝关节过伸),占25%;2例合并双侧腕关节屈曲挛缩畸形,占25%。病例纳入标准符合以下条件:①初次诊断和治疗均在我院,并获得连续随访者;②X线片诊断为双侧髋关节脱位;③出生时至少身体2个不同部位有关节挛缩畸形;④排除进行性神经疾病及其他畸形髋关节脱位者;⑤关节两端变细伴广泛肌肉失用性萎缩;⑥正常关节皮肤皱褶消失(图1、图2)。


术前对体重<12 kg的患儿均行皮肤悬吊牵引1~2周,手术采取S-P前侧入路行切开复位并联合内侧入路经皮松解内收肌,松解缝匠肌、股直肌、髂腰肌、剥离粘黏于髂骨的关节囊、T形切开关节囊、清除髋臼内软组织及肥厚的圆韧带、切断髋臼横韧带,复位后被动活动髋关节,评估其稳定性,稳定者(术中髋关节不稳者、股骨脱位较高或复位后关节紧张者行骨盆截骨或股骨短缩截骨)缝合关节囊,行蛙式石膏(骨盆、股骨截骨者行髋人字石膏固定,外展15°,屈髋10°,屈膝15°,双下肢中立位)屈髋100°、屈膝90°、外展60°固定6~8周,最后再佩戴外展支具3个月,期间逐渐开始关节活动和负重行走。
所有病例均获随访,随访时间2~5.2年,平均3.5年,其中2例步态基本正常,1例轻微跛行,2例步态不稳,1例需佩戴长腿支具行走,2例不能独立行走。4个髋关节活动基本正常,8个髋关节活动轻度受限,4个髋关节活动明显受限。根据Severin X线片评定标准和修改的McKay临床评定标准,优4髋,良8髋,中4髋,优良率为75%(图3,图4,图5,图6)。
本组髋关节屈伸活动范围左右两侧术后比术前提高约30°(表1)。其中,左髋关节术前活动度为70.4°±6.3°,术后活动度为104.1°±9.6°;右髋关节术前活动度为72.0°±10.2°,术后活动度为102.5°±8.9°,两者术前与术后比较,差异均有统计学意义(P<0.001)。本组有3髋出现股骨头坏死,Kalamchi and MacEwen分级Ⅰ、Ⅲ、Ⅵ型各1例(表2)。

患儿手术前、后髋关节屈伸活动范围对比
患儿手术前、后髋关节屈伸活动范围对比
| 病例 | 术前 | 术后 | ||
|---|---|---|---|---|
| 左髋关节 | 右髋关节 | 左髋关节 | 右髋关节 | |
| 1 | 80° | 90° | 120° | 115° |
| 2 | 75° | 85° | 115° | 110° |
| 3 | 75° | 70° | 98° | 110° |
| 4 | 70° | 68° | 110° | 105° |
| 5 | 70° | 65° | 100° | 95° |
| 6 | 68° | 70° | 100° | 95° |
| 7 | 60° | 68° | 95° | 100° |
| 8 | 65° | 60° | 95° | 90° |
先天性多关节挛缩症髋关节脱位通常被认为是宫内胎儿发育早期就已经发生的一种畸形脱位[8,9]。相较于单纯先天性髋关节发育不良或脱位,其关节僵硬,X线多表现为股骨头向外上脱位,与髂骨形成假臼,同时因相邻关节的受累及肌肉系统的纤维化进一步导致其治疗难度较高和预后较差。
目前,AMC双侧髋关节脱位是手术还是保守治疗存在较大争议。大部分学者认为AMC双侧脱位者,骨盆相对水平,关节活动范围满意,不影响患儿的行走和社会功能,可不行复位,切开复位术后难以获得稳定、相对柔软的髋关节,反而进一步导致关节活动度下降及关节僵硬,严重影响关节功能和社会能力[6,9,13,14]。即使切开复位成功,出现关节半脱位或再脱位、股骨头坏死等并发症风险比较常见。然而,Asif等[3]和Wada等[15]认为,双侧髋关节脱位者早期行切开复位,可获得满意的关节功能,预防和延缓关节退行性变及骨性关节炎等并发症的发生,其4年的短期随访临床结果表明,切开复位术后髋关节优良率达75%。Yau等[8]在长达20多年的临床随访中对AMC双侧髋关节脱位者进行了临床对比分析,发现没有进行手术干预者,其最终日常活动只能依靠轮椅完成,双侧关节评分分别为10和15分,而另一患儿于8月龄行切开复位治疗,在长期随访中最后一次双侧关节评分分别为80和85分,关节活动范围为135°和140°,并且能无疼独立行走,其认为切开复位术后的关节僵硬不会影响最终的髋关节评分。这表明早期切开复位能改善关节的功能,是治疗AMC双侧髋关节脱位的有效方法。本组8例患儿全部行切开复位,4个髋关节屈伸活动基本正常,8个髋关节屈伸活动轻度受限,4个髋关节屈伸活动明显受限,相比术前髋关节屈伸活动范围,差异有统计学意义(P<0.001)。术后较术前屈伸活动度提高约30°,这也证明切开复位能有效改善髋关节的功能,是治疗双侧脱位的有效方法。虽然术后关节稍有僵硬,但是并不影响患儿关节功能和社会活动能力。
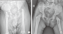
AMC髋关节双侧脱位患儿应尽早进行手术治疗。Wada等[15]建议髋关节的切开复位时间应该等到10~18月龄,因为其治疗的大部分病例联合股骨和骨盆截骨术,而足、膝、髋畸形的矫正应在患儿3~10月龄同时进行,这样可以减少制动时间,降低关节僵硬的风险,使患儿更好适应社会。Stilli等[13]认为治疗的最佳年龄应在8~10月龄,足膝的畸形矫正时间分别为3~4月龄和6~7月龄,这样逐步矫正不会导致手术过程的复杂性。Szöke等[7]建议患儿在3~6月龄时行切开复位同时矫正足膝的关节挛缩,而年长患儿应行一期骨盆截骨及股骨短缩旋转截骨是更好的治疗选择。本组4例<12月龄患儿行了单纯前路切开复位手术,其中2例在5月龄行切开复位者,术后随访中4个髋关节活动基本正常(图7、图8),相比2例12月龄患儿,其髋关节活动范围显著增大、活动范围评分明显高,同时手术操作过程简单。因此,AMC髋关节双侧脱位患儿一经诊断,应早期选择手术切开复位,年龄越小手术过程也相对简单、术后髋关节临床效果越满意,此期间需同时进行其他部位畸形的矫正。


术前评估全身畸形受累程度十分重要,特别是下肢畸形,获得良好的关节功能和下肢力线,是决定患儿能否独立行走的前提条件。AMC髋关节双侧脱位患儿多伴有膝足的畸形,治疗上遵循肢体远端到近端的顺序(足、膝、髋)。本组均采取此手术策略,首次先采用Ponseti方法纠正先天性马蹄内翻足畸形,对合并膝关节畸形者,如第1、3、8例合并膝关节脱位或过伸畸形者,行长腿石膏同时纠正先天性马蹄内翻足和膝关节畸形,待足膝畸形纠正后再行髋关节脱位治疗。对于髋关节是否手术或保守治疗,St Clair和Zimbler[11]建议髋关节活动度较好、上肢关节挛缩受累少、有行走潜能的双侧髋关节脱位患儿,可以行开放复位。虽然本组3髋切开复位术后关节活动良好,但第1、3例因膝关节治疗后残留轻度过伸畸形需借助助行器完成社会活动,第8例患儿因膝关节畸形治疗效果差,关节活动受限、肌力差,社会活动只能依靠轮椅完成。因此,术前对患儿全身畸形受累程度、患儿活动潜能应综合评估,对于关节受累情况多、畸形严重、活动潜能小的患儿需慎重选择手术治疗,术后髋关节功能改善有限,同时其他关节功能差,不能获得满意的行走能力和社会活动能力。
对于手术方式的选择,Szöke等[7]、Staheli等[16]和LeBel等[17]提出经内侧入路小切口切开复位可获得满意的疗效,其临床结果中显示该入路治疗的患儿比前外侧入路更能获得良好的髋关节功能和关节活动度。由于内侧入路已知伴有的股骨头坏死的高发生率[18,19],并且在治疗髋关节脱位中,最常用的是前路[3,17]和前外侧入路[5,8]。Wada等[15]认为,前侧入路能有效显露髋关节,去除阻挡头臼复位的因素(内翻的盂唇、肥厚的股骨头圆韧带、髋臼内增生的脂肪组织、髋臼横韧带,特别是挛缩增厚的关节囊),获得稳定的复位。本组病例均采用了S-P前侧入路联合内侧入路方式,该联合术式不仅可以良好显露髋关节彻底去除阻挡复位因素及松解挛缩紧张的内收肌,而且术中可行缝匠肌、股直肌、髂腰肌的松解,一定程度上纠正髋关节的屈曲挛缩畸形。Szöke等[7]认为,低龄患儿采取切开复位同时矫正足膝的关节挛缩,而年长患儿行一期骨盆截骨及股骨短缩旋转截骨。本组即采取这种治疗策略,6例患儿行单纯切开复位,2例行骨盆截骨及股骨短缩旋转截骨,结果显示优4髋,良8髋,中4髋,优良率为75%。
本组病例中,3个髋关节发生了股骨头缺血坏死,Kalamchi and MacEwen分级Ⅰ、Ⅲ、Ⅵ各1例,在16髋中,股骨头坏死率约占18.8%,其中3例均发生于行单纯切开复位者。Akazawa等[5]认为,关节囊的完全切开,股骨头缺血坏死的风险会增加70%,股骨近端短缩截骨同样也会影响股骨头的血供[6,11],他们建议沿髋臼边缘完全切开关节囊,避开股骨头周围丰富的血管,特别是骨骺外侧动脉,降低股骨头坏死的风险。而本组有3例股骨头坏死均发生于行单纯切开复位者,术前股骨头脱位高,均有髋臼形成假臼,其余脱位高但未见明显假臼形成,我们考虑可能与脱位较高的股骨头和髂骨间形成假关节,粘连挛缩的关节囊导致头和假臼间长期处于较高压力,损害了股骨头的血供。本组中行切开复位合并股骨短缩截骨患儿,没有1例髋关节出现股骨头坏死,也显示术中严格正规的操作对于股骨头的血运破坏是极低的,不是导致股骨头缺血坏死的主要原因。
本组由于病例数少,随访时间短,以及没有闭合复位组进行对照分析,因此,缺乏对于关节的功能和社会生活能力的长期、有效的评估。但是,我们各项结果均能积极说明,对于先天性多关节挛缩症双侧髋关节脱位者早期行切开复位可恢复髋关节同心圆复位,可以获得比较满意的关节活动范围,即使髋关节较术前稍僵硬,但髋关节功能有明显提高。经S-P前侧入路骨盆截骨和股骨缩骨术是治疗脱位的有效方法。






















