
累及全胃肠道的肠神经元发育不良是一种罕见的肠神经元发育缺陷性疾病,本文旨在分析其临床特点、病理特性及其转归,总结其相应诊疗手段。
回顾性分析自2007年1月至2012年12月间收治并具有明确病理诊断的全胃肠道肠神经元发育不良8例患儿的临床资料。其中,女5例,男3例;发病年龄11 d~12个月;临床症状均表现为腹胀、呕吐及排便困难。腹部X线直立位平片显示肠腔广泛充气,BE检查无明显移行段改变,5例患儿行肛门直肠测压,其中4例可见内括约肌松弛反射,但基线回复延迟。调查内容包括影像学特点、病理分析结果、手术方式及其随访结果等。
手术方案包括肠造口、Rehbein手术等。在保守治疗期间所采取的措施包括清洁灌肠、肛管排气、开塞露通便以及泻药、中医针灸等。随访3~45个月,死亡2例,失访1例,余5例仍不同程度存在腹胀、排便困难等表现,需按医嘱实施保守治疗措施以缓解症状。
儿童全胃肠道肠神经元发育不良发病率低,但病情极其严重,死亡率高,手术治疗并非根治性措施,其顽固性症状、体征仍需通过泻药、胃肠动力激动剂等药物治疗来加以缓解,理气类中药及针灸对改善生存质量具有肯定意义,但个体化的饮食控制、预防肠道感染在保守治疗期间显得尤为重要。
版权归中华医学会所有。
未经授权,不得转载、摘编本刊文章,不得使用本刊的版式设计。
除非特别声明,本刊刊出的所有文章不代表中华医学会和本刊编委会的观点。
1971年Meier-Ruge[1]首先描述并提出了肠神经元发育不良(intestinal neuronal dysplasia,IND)的概念。然而,鉴于其与先天性巨结肠(hirschsprung's disease,HD)极其相似的临床症状、体征,以及与HD常常合并存在的状况,尤其是婴幼儿胃肠道肠神经元存在渐进成熟发育的现象,导致IND作为一独立疾病而被认同始终存在争论[2,3]。直至上世纪九十年代多例家族性IND病例被不同文献报道,提示基因缺陷与发病相关[4,5],这一论断才被最终确认。
近二十年来,随着对先天性肠神经元发育缺陷性疾病的深入认识,新的问题和困惑却不断增加,涉及到发病原因、病理诊断、病理生理以及治疗措施等各个方面,而诊疗效果不佳是造成上述问题的主要原因,尤其是累及全胃肠道的肠神经元发育不良病例,不仅在于其极其罕见的发病率,更由于其顽固的症状,根治性治疗措施的匮乏,给临床诊疗措施的制定带来了极大困难,本文将就近年来本院收治的全胃肠道IND确诊病例,经由回顾分析,探讨其临床特点、病理特性,并藉由其转归,总结诊疗经验。
回顾性分析2007年1月至2012年12月间,由上海交通大学医学院附属新华医院小儿外科收治,并藉由病理检查,明确诊断存在全胃肠道肠神经元发育不良病例8例。入选病例均具有术中包括胃、空肠、回肠及结肠各部位的多点全厚层冰冻及石蜡病理,并都存在各部位肠神经元发育不良的病理结论。
调查内容包括发病年龄、临床症状、手术方式、病理特点,尤其是其转归随访,关注其饮食状况、排便特点以及保守治疗措施的应用情况。采用描述性分析方法,总结全胃肠道肠神经元发育不良病例的临床特点及其可行的诊疗手段。
随访患儿中,女5例,男3例,除1例为36w+5早产外,其余患儿均为足月出生。胎粪排出时间仅2例明确存在延迟,另有1例为排尽时间延迟。发病年龄介于11 d~12个月;临床症状均表现为腹胀、呕吐及排便困难;腹部X线直立位平片显示肠腔广泛充气,钡剂灌肠检查无明显移行段改变。5例患儿行肛门直肠测压,其中4例可见内括约肌松弛反射,但基线回复延迟。
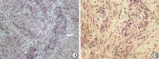
随访周期介于3~45个月。除2例患儿在术中根据冰冻病理切片结果及肠道扩张及肠壁增厚程度切除了肠壁神经元发育相对较差的肠段而将近段肠管经肛门拖出外,其余病例被施以肠造口术,其中2例为Bishop造口,3例为升结肠造口,3例为回肠造口。然而,所有病例在术后仍反复存在腹胀表现,进一步通过石蜡病理切片,可见发育异常的肠壁神经节细胞及其附属结构(图1)。


1A.可见肌间神经丛内粗大的神经节,其内神经节细胞核质深染(×20);1B.可见神经节内神经节细胞体积小(×40)
术后治疗过程中,本组有2例因腹胀、肠炎继发肺炎败血症而死亡,1例放弃治疗失随访,其余5例患儿术后仍需采用导泻、灌肠等保守措施以缓解腹胀症状。在保守治疗期间所采取的措施包括禁食、全肠外营养、清洁灌肠、肛管排气、开塞露通便以及泻药、中医针灸等,其中主要应用益生菌调节肠道菌群,中药成份为"大承气汤"为方底进行配伍以促进胃肠动力。1例Bishop术患儿在术后6个月腹胀症状缓解而行造口回纳,1例回肠末端造口则在术后1年,根据术中冰冻病理检查报告及肠壁形态,将回肠造口近段50 cm处回肠经肛门拖出实施根治。但所当前所随访5例患儿仍不定时存在腹胀,需行上述保守治疗措施综合处置方可缓解。
先天性巨结肠患儿在接受手术过程中,其无神经节细胞肠段近端肠壁存在部分肠神经元发育不良的现象并不罕见,有研究者调查其发生率在25%~35%[6,7]。该病理现象通常是导致先天性巨结肠根治术后患儿仍持续存在肠腔梗阻的直接原因。然而,肠神经元发育不良作为一个特发性疾病而被报道的发病率却存在较大差异,从0.3%至40%不等[8,9,10,11]。导致这一差异的主要原因在于对该肠神经元发育缺陷性病变存在认知上的差异以及基本诊断依据的困惑[12,13]。上世纪九十年代中期由Puri等提出并逐步完善了IND的确诊依据,目前已经被广泛接受[14,15],其具体病理改变为肠神经节增生,并可见巨大的神经节细胞,如在直肠黏膜吸引活检中具备下述任何一项病变即可确诊:①肌间神经丛内存在异位神经节细胞;②乙酰胆碱酯酶阳性神经纤维沿粘膜下血管周围或在肌间神经丛内增生。
即便如此,全胃肠道特发性肠神经元发育不良仍是十分罕见的病例,其具体发病率并未有见诸报道。缺乏典型意义的临床症状或体征,影像学检查缺乏特征性改变,限制了该特殊类型肠神经元发育不良患儿的初诊确诊率,而事实上,由于该畸形的诊断必须具备病理结论,因此,最终诊断的获得往往需待剖腹探查手术胃肠道全厚层病理活检以明确。本组病例中,仅2例在首次剖腹探查手术后明确诊断,而其余6例患儿均在首次手术后因症状未见缓解而再次或多次手术过程中取得消化道多部位全厚层病理活检,方确认存在全胃肠道肠神经元发育不良。值得注意的是,本组病例中钡剂灌肠检查未见明显移行段改变,肛门直肠测压均可见基线延迟的内括约肌松弛反射,而临床表现却都存在进行性加重的腹胀、呕吐及便秘,因此,我们认为对于临床症状体征酷似先天性巨结肠的病例,如果实验室检查缺乏典型巨结肠患儿的改变,应高度怀疑存在肠神经元发育不良的可能,而在手术过程中,应尽可能实施全消化道多部位全厚层病理活检以排除全胃肠道肠神经元发育不良的可能。
对于诊断明确的肠神经元发育不良,多数学者认为采用保守治疗措施是明智的选择,其方案包括导泻剂和灌肠治疗[16,17],也有研究者通过内括约肌肌条切除手术成功治疗了部分肠神经元发育不良的病例[18]。我们对初诊的病例同样采取了类似的保守治疗措施[19],虽然内括约肌肌条切除手术并不是我们的治疗选择,但是通过规范的肛门扩张治疗,同样能够取得不错的促进排便效果,从而缓解便秘、腹胀等症状。
关于手术时机的问题,当前权威的看法是在保守治疗至少6个月以上而胃肠道症状持续得不到缓解的病例可考虑手术治疗[16]。手术方案包括内括约肌肌条切除术、肉毒杆菌毒素内括约肌注射术,而经肛门拖出病变段结肠并作切除则少有被作为常用手术方案,单一的病理结果并不能作为切除手术的指征,必须以具体患儿的临床症状及其造成的焦虑状况作为确定手术的参考[20]。而对于全胃肠道肠神经元发育不良,当前的文献中少有提及具体手术方案可被参考。本组病例均在手术前经历了规范的保守方案治疗,而临床症状未见缓解,由于腹胀状况严重,并不同程度存在反复肠炎表现,所有病例都接受了剖腹探查。
有关造口手术的选择,我们认为需综合考虑术中冰冻病理切片的结果以及具体肠管扩张、肠壁增厚的状况来决定。因此,对术中冰冻病理切片具有相当的要求,除了需要肠壁全层送检外,病理医师必须根据肠壁神经丛内神经节细胞的大小、染色深浅、质核比例以及神经丛增生状况等明确其不同取材部位肠壁神经元发育的差异,提供手术医师作为参考;而在手术过程中,对于发现存在明显肠壁增厚状况者,我们倾向于在其近端选择肠神经元发育相对较成熟的部位实施造口,Bishop造口在全胃肠道肠神经元发育不良患儿中被选用的目的在于观察其肠神经元是否存在继续发育成熟的可能,也仅在术中未发现存在明显肠壁增厚或肠管直径差异的患儿被采用。
针对造口关闭的问题,我们认为需慎重考虑,同时对患儿家长做好对造口关闭后可能出现的病情反复做好告知,而在实施手术过程中仍需进行多部位冰冻病理活检以确定需要切除的肠段,然而,即便如此,全胃肠道肠神经元发育不良患儿的预后仍不容乐观。我们有1例患儿在将造口肠段于肛门拖出后腹胀状况再次加重,最终死亡,而另1例患儿在将造口肠段拖出后不久,因腹胀、肠炎而不得不再次行肠造口术;对于2例Bishop造口的患儿,术后半年肛门排便量逐渐增加而造口处肠液排出明显减少,其中1例于患儿18月龄时行造口关闭,目前排便良好,而另一例仍因腹胀暂予以随访,对于前者,虽然由于Bishop造口关闭手术无需进腹而无法得到进一步的肠壁病理,但我们倾向于认为其肠壁神经元存在成熟发育的可能,从而缓解了症状,而这一现象Puri等[18,20]也曾有过报道。
显而易见的是,对于全胃肠道肠神经元发育不良的病例,在尚无根治性治疗措施的当下,综合性治疗策略的制定将是缓解症状的唯一思路。简单的说,对于临床症状酷似先天性巨结肠的患儿,若BE检查未见明显的移行段改变者应考虑存在IND的可能,但即便肛门直肠测压在患儿安静状态下若存在基线延迟的内括约肌松弛反射,也并不能作为确诊依据,此时,对于临床症状较轻者,可行直肠黏膜活检,符合IND诊断标准者,可给予对应的保守治疗;而对于腹胀、呕吐等肠道梗阻症状明显者或继发肠炎者,若相应保守治疗措施不能有效缓解,需及时实施探查手术,必要时行全胃肠道多点全厚层冰冻及石蜡病理,根据冰冻病理结果实施造口手术,病理结论需具备至少2位病理科医师认可,其中1位需具备副高以上职称并专司肠神经元病理;造口关闭时机需视个体化并慎重考虑。尤其需要指出的是,中医药及针灸治疗在缓解腹胀,改善肠道蠕动方面存在一定的治疗效果,本组病例中有6例采用了具有"理气"疗效的中药汤剂"大承气汤",1例采用"耳针"治疗,均不同程度改善了临床治疗效果。其次,个体化的饮食控制在治疗过程中也具有影响意义,需要对患儿家长进行严格的宣教、指导。而病程中,不当的饮食以及呼吸道感染对于全胃肠道肠神经元发育不良的患儿而言,极易造成胃肠功能障碍而加重临床症状,因此建议在避免呼吸道及胃肠道感染的基础上,长期遵从医嘱服用肠道益生菌,有利于胃肠道稳态的维护,从而改善该类患儿的生活质量。





















