
分析胆道闭锁(biliary atresia, BA)肝纤维化临床病理特点,提出其肝纤维化评分方法并提示预后。
选取2010年1月到2014年7月尸检(患儿死于非肝胆疾病)4例,BA肝活检22例(称为Kasai组),BA肝移植组自体肝活检12例(称为移植组)进行苏木素/伊红(HE)、马松(Masson)、CK19(上皮细胞特异性分子标志细胞角蛋白)染色观察患儿肝纤维化情况并收集其临床肝功能生化指标。双盲条件依据患儿肝病变特点将38例肝组织分为0-6共7级,测定门管区、P-P区(门管区-门管区)及增生胆管等病变面积做统计分析。结合患儿血生化检验值探究BA肝纤维化分级与临床肝功能关系。
①BA肝内门管区、P-P区、胆管反应、假小叶及炎细胞变化显著,纤维化进程可分为0-6级,0级各部分无纤维组织增生,1级门管区增宽至3倍大小,界板可见,间质炎细胞轻度浸润,P-P区轻度增生,2级纤维化继续加重,3级门管区增宽>4倍,界板模糊坏死,P-P区重度增宽,4级假小叶出现,肝纤维化进展至硬化期,门管区增宽无法界定、消失,至6级时纤维间隔弥漫,大量瘢痕形成。0-4级门管区及P-P区纤维组织增宽面积差异有统计学意义(P<0.05),胆管反应逐渐加重;4-6级以假小叶和间质病变为主,假小叶数量逐渐增多,炎细胞、纤维细胞等活性下降,胆管反应逐渐消失;②Kasai组患儿肝标本大部分在1-3级,1例出现假小叶归为4级,移植组患儿为4-6级。0-4级BA患儿血生化ALT、AST、胆红素及其组分先升高后下降肝功能逐渐下降。
本分级标准较好体现BA患儿肝纤维化实际情况,3级以上预示已有肝硬化倾向,提示预后不良。
版权归中华医学会所有。
未经授权,不得转载、摘编本刊文章,不得使用本刊的版式设计。
除非特别声明,本刊刊出的所有文章不代表中华医学会和本刊编委会的观点。
胆道闭锁(biliary atresia, BA)是一种发生于胚胎期和婴幼儿时期的胆道梗阻性疾病,发病率为1.39/10000[1],畸形常诱发胆管大量增生及炎症反应伴随肝内纤维组织增生、肝脏进行性纤维化,纤维化进展迅速形成肝硬化危及生命。长期以来分析BA肝纤维化进程以Ishark评分[2]或Okamoto's分级[3]为准,但经过大量临床观察发现这些慢性肝纤维化评分方法对于评价BA肝纤维化存在较大偏倚。本研究选取尸检及BA患儿共38例,应用免疫组化等特殊染色方法对BA肝纤维化病程进行计量分析,试图找到符合BA特点的病理纤维化分级方法,指导临床对BA的预测及预后病程进展。
肝标本来自天津市儿童医院2010年1月至2014年7月间尸检4例(患儿死于非肝胆疾病其肝脏为正常肝组织)、BA患儿22例(称为Kasai组),天津市第一中心医院2013年1月至2014年1月BA肝移植期自体肝活检12例(组内所有病例曾做Kasai手术,称为移植组),双盲条件下随机混合38例标本请病理科医生于HE、Masson染色后光镜下依据BA病理特征改变,如门管区、界板、纤维间隔等进行分级(表1),将病例分为0-6共7个等级。收集患儿术前3 d及术后7~10 d左右白蛋白(血清蛋白电泳百分比)、谷丙转氨酶(ALT)、谷草转氨酶(AST)、总胆汁酸、胆红素及其组分,术后胆管炎程度及次数。本研究经天津市儿童医院及天津市第一中心医院伦理委员会审查通过。

BA纤维分级依据
BA纤维分级依据
| 分级 | 例数 | 门管区 | 界板 | 纤维间隔 | 假小叶 | 间质炎细胞 |
|---|---|---|---|---|---|---|
| 0 | 4 | 无增宽 | 清晰 | 无纤维增生 | 无 | 少见 |
| 1 | 6 | 轻度增宽 | 可见 | 轻度增生 | 无 | 轻度浸润 |
| 2 | 10 | 中度增宽 | 模糊 | 中度增生 | 无 | 中度浸润 |
| 3 | 5 | 重度增宽 | 无 | 重度增生 | 形成趋势 | 重度浸润 |
| 4 | 6 | 无法明确界定 | 无 | 重度增生 | 形成 | 重度弥漫 |
| 5 | 4 | 消失 | 无 | 弥漫 | 增多 | 中度 |
| 6 | 3 | 消失 | 无 | 弥漫 | 大量 | 轻度 |
术中取BA患儿肝右叶前缘为活检标本用4%甲醛溶液固定8~24 h后经石蜡包埋储存,所有过程均处于同一实验条件。尸检组为储存于病理科的肝脏蜡块。
由病理科医生将已包埋肝蜡块切成4 mm厚切片分别经HE、Masson及CK19(上皮细胞特异性分子标志细胞角蛋白)染色,在光学显微镜下观察38例标本。
HE镜下按照门管区、P-P区病变面积由大到小的顺序经计算机成像系统在10×10镜下分别依次选取5个门管区、P-P区图像,使用IPP系统计算其面积取5个图像平均值为最终值(面积用IPP系统面积灰度值表示)。
在CK19、HE10×10镜下使用IPP系统随机选取5个门管区图像,每个图像阳性细胞区域面积除以视野总面积为这个图像胆管反应(ductular reaction, DR),并计数胆管数量,肝小叶、门管区胆栓数目,取5个图像平均值为最终值。无门管区者选取间质面积。
根据Desmet[4]方法,以门管区围绕间质轴心呈环形排列的胆管板或不规则的胆管结构作为BA胆管板畸形的参照。在CK19镜下每例标本选取5个门管区具有上述特征即为胆管板畸形,胆管细胞≤2层为单纯型胆管板畸形,>2层为团块型胆管板畸形。
HE20×10镜下随机选取5个视野,观察每例肝内界板、假小叶及间质中炎细胞、纤维细胞及胆管,使用IPP系统计算炎细胞及纤维细胞个数、各种细胞占间质总细胞比例。
查病历获取每例患儿在Kasai术、移植术前3 d及术后7~10 d左右血中白蛋白、谷丙转氨酶(ALT)、谷草转氨酶(AST)、胆红素及其组分含量,患儿Kasai术后胆管炎发病情况。
本实验有腔胆管/胆管总数比值采用Kruskal-Wallis非参数检验,实验结果用四分位数表示,其他实验数据为正态资料使用方差分析,结果表现为
±s,检验水准α=0.05。用Microsoft Excel 2007和SPSS15.0处理数据和统计分析。
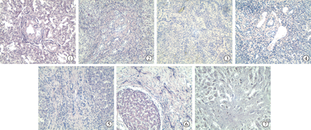
0-3级门管区呈倍数增宽,P-P区增宽显著,界板从清晰、可见逐渐模糊坏死,4-6级门管区、界板消失,肝内主要变化为假小叶形成、增多及间质纤维组织弥漫,炎细胞逐渐减少,纤维细胞从幼稚型转向向成熟型直至形成大量瘢痕(图1,图2,图3,图4,图5,图6,图7)。


0-3级门管区、P-P区(门管区-门管区)纤维组织增生面积都有统计学意义(P<0.05),随着分级增高纤维增生病变显著加重;门管区及P-P区胆管面积逐渐增大(表2)。由表2可见,P-P区面积增速最显著,3级时P-P区面积甚至接近门管区,HE镜下可见重度增宽桥接组织、P-C甚至C-C结构。4-6级肝内假小叶增多,炎细胞、纤维细胞等间质成分逐渐纤维化、硬化(表3)。

0-3级BA肝纤维化组各部分面积变化(
±s)
0-3级BA肝纤维化组各部分面积变化(
±s)
| 分级 | 例数 | 门管区面积 | P-P区面积 | 门管区胆管面积 | P-P区胆管面积 | 界板状态 |
|---|---|---|---|---|---|---|
| 0 | 4 | 122522±68203 | 0±0 | 5537±2773 | 0±0 | 清晰 |
| 1 | 6 | 369668±1.45912E5 | 191874±1.28552E5 | 116644±25955 | 40141±22905 | 可见 |
| 2 | 10 | 551624±1.35234E5 | 364037±1.83750E5 | 131842±82654 | 89602±52378 | 模糊 |
| 3 | 5 | 601695±1.37755E5 | 533531±1.39020E5 | 142235±33999 | 80254±42938 | 坏死 |
| P值 | - | <0.05 | <0.05 | <0.05 | <0.05 | - |
注:门管区及P-P区胆管面积0级与1、2、3级间有差异,但1、2、3组间无差异。4-6级门管区、P-P区及其胆管增宽至无法界定表内未列出。面积大小使用IPP系统像素数量表示,反映各分级间相对变化,单位为个数

4-6级BA肝硬化组各主要组分变化(
±s)
4-6级BA肝硬化组各主要组分变化(
±s)
| 分级 | 例数 | 假小叶(个) | 间质 | |||
|---|---|---|---|---|---|---|
| 炎细胞(个) | 炎细胞/间质细胞 | 纤维细胞(个) | 纤维细胞活性 | |||
| 4 | 6 | 2±1 | 72±2.6 | ≥50%,弥漫浸润 | 49.1±11 | 幼稚型>50% |
| 5 | 4 | 5±1 | 37.4±9.7 | 50%-20%,轻度浸润 | 50.1±23 | 成熟型>50% |
| 6 | 3 | 7±1 | 23.4±3.9 | <20%,散在 | 28.7±11 | 大片瘢痕组织 |
| P值 | - | <0.05 | <0.05 | - | <0.05 | - |
注:假小叶、炎细胞及纤维细胞数量在4与6级间有差异,炎细胞/间质细胞指炎细胞与间质总细胞比值。1-3级无假小叶,间质未见明显变化,因此未列出
胆管反应及胆管总数在0-4级间升高随后下降,有腔胆管/总数比值逐渐下降,随分级加重胆管反应增强而有腔胆管比例下降;0-6级肝小叶胆栓逐渐减少,门管区逐渐增多;2级处团块状胆管板畸形较多同时胆管炎复发频次最多(表4)。

肝纤维化分级间胆管、胆栓变化(
±s)
肝纤维化分级间胆管、胆栓变化(
±s)
| 分级 | 胆管反应 | 胆管数量(个) | 胆栓(个) | 胆管板畸形(个) | 胆管炎术后(次) | |||
|---|---|---|---|---|---|---|---|---|
| 总数 | 有腔/总数 | 肝小叶 | 门管区 | 单纯型 | 团块型 | |||
| 0 | 0±0 | 1.5±0.5 | (0~0)% | 0±0 | 0±0 | 0±0 | 0±0 | 无 |
| 1 | 0.12±0.06 | 9.91±3.1 | (33~75)% | 9.03±3.2 | 3.45±1.4 | 1.4±1 | 0.3±0.3 | 3 |
| 2 | 0.15±0.11 | 11.0±3.1 | (0~43)% | 8.49±2.1 | 3.8±1.9 | 1.5±1 | 0.9±1 | 7 |
| 3 | 0.16±0.09 | 12.0±2.9 | (3~34)% | 7.00±3.9 | 5.21±5.2 | 2.5±1 | 0.6±0.5 | 缺失 |
| 4 | 0.18±0.10 | 17.3±6.4 | (0~0)% | 0.17±0.3 | 0.29±1.7 | 缺失 | 缺失 | 4 |
| 5 | 0.04±0.04 | 12.0±3.5 | (0~0)% | 0.5±0.5 | 0.83±0.8 | 缺失 | 缺失 | 反复多次 |
| 6 | 0.001±0.0 | 6.67±3.8 | (0~0)% | 0±0 | 0.33±0.6 | 缺失 | 缺失 | 反复多次 |
注:胆管反应使用阳性胆管面积与视野总面积比值表示;有腔/总数指有腔胆管与胆管总数的比值采用25%~75%四分位数间距表示;胆管板畸形及术后胆管炎存在缺失情况,仅作参考
0级为尸检患儿无血生化值,1-6级的患儿年龄差异无统计学意义(P>0.05),但分级与年龄呈正相关趋势,说明BA肝纤维化病变可能随年龄增长而加重。术前白蛋白等6项指标统计值见表5,0-6级其变化关系如表5所示:①1-2级患儿血ALT、AST、TBil、DBil、胆汁酸逐渐增高,2-3级ALT、AST降低而胆红素及其组分仍上升出现"胆酶分离"现象,随着纤维化加重肝功能逐渐下降;②3-4级血生化值继续下降;③4-6级患儿血生化指标出现波动各组分先增高后下降,这可能由于患儿经历Kasai术肝功能得到一定改善,然而随着硬化程度加重又逐渐恶化。术后ALT、AST未见明显变化,TBil、DBil在1、2级降低,1级降低程度>2级,3级未见下降,4-6级临床资料缺失,纤维化分级较轻时术后退黄、肝功改善较明显(表6)。

7级BA血生化值(Kasai术及移植术前,
±s)
7级BA血生化值(Kasai术及移植术前,
±s)
| 分级 | 例数 | 年龄(d) | 白蛋白(%) | ALT(U/l) | AST(U/l) | TBil(mg/l) | DBil(mg/l) | IBil(mg/l) | 胆汁酸(μmol/L) |
|---|---|---|---|---|---|---|---|---|---|
| 0 | 4 | 0±0 | 0±0 | 0±0 | 0±0 | 0±0 | 0±0 | 0±0 | 无 |
| 1 | 6 | 74±13 | 70±5 | 145±96.1 | 204.3±77 | 131.7±67.8 | 94.9±52 | 37±30 | 106.7±22 |
| 2 | 10 | 76±25 | 72±2 | 228±103.6 | 387.8±175 | 146.5±89 | 106.7±65 | 40±27 | 137.3±40 |
| 3 | 5 | 79±17 | 71±2 | 81.8±23.1 | 184.8±49 | 147.2±37.8 | 108.1±31.4 | 39±12 | 174.8±58 |
| 4 | 6 | 985±1014 | 无 | 87.6±56.7 | 80.3±29.8 | 113.6±85.6 | 65.7±50.1 | 47.8±38.4 | 83.6±7.3 |
| 5 | 4 | 630±490 | 无 | 137.2±103 | 260±272.2 | 278±225.1 | 149.1±107.6 | 128.9±120.7 | 无 |
| 6 | 3 | 1037±788 | 无 | 48±38.1 | 84.9±78.5 | 14.4±13 | 7.1±6 | 7.4±7.1 | 无 |
注:ALT,谷草转氨酶;AST,谷丙转氨酶;TBil,总胆红素;DBil,直接胆红素;IBil,间接胆红素;白蛋白为血清电泳值,移植组未找到白蛋白血清蛋白电泳值

BA肝纤维化进展期Kasai术前术后生化值比较(
±s)
BA肝纤维化进展期Kasai术前术后生化值比较(
±s)
| 分级 | ALT(U/l) | AST(U/l) | TBil(mg/l) | DBil(mg/l) | ||||
|---|---|---|---|---|---|---|---|---|
| 术前 | 术后 | 术前 | 术后 | 术前 | 术后 | 术前 | 术后 | |
| 1 | 145±96.1 | 164±87.6 | 204.3±77 | 235±48.7 | 131.7±67.8 | 126±33 | 94.9±52 | 84±20 |
| 2 | 228±103.6 | 282±206.7 | 387.8±175 | 427±336 | 146.5±89 | 142±64 | 106.7±65 | 102±54 |
| 3 | 81.8±23.1 | 134±68 | 184.8±49 | 171±79.4 | 147.2±37.8 | 155±56 | 108.1±31.4 | 107±24 |
注:0级为尸检患儿无血生化检验值,4-6级肝移植患儿较多缺乏术后血生化值因此未列出
肝纤维化是肝脏对损伤的代偿修复反应同时又促进肝损伤,BA肝内伴随胆管反应、门管区及P-P区纤维组织增生分割肝小叶纤维化迅速加重,这个纤维化过程为BA肝纤维化进展期,纤维化进展到一定程度假小叶出现逐渐进入肝硬化过程,这个过程为硬化期[5,6,7]。
本研究双盲条件下由病理科医生按照纤维化病程将所有标本分为无纤维化组、纤维化组和硬化组后发现:尸检组肝标本未见纤维组织增生为无纤维化组,门管区胆管数量≤2个,无或少见炎细胞、纤维细胞浸润,门管区与肝小叶间界板清晰;Kasai组肝标本门管区、P-P区有不同程度炎细胞及纤维组织增生造成门管区、P-P区逐渐增宽,界板模糊坏死归为纤维化组,但1例标本出现假小叶归为硬化组;移植组假小叶及间质内细胞、纤维组织增生程度逐渐严重归为硬化组。38例肝标本纤维化病程主要体现在5个方面:门管区、界板、P-P区(纤维间隔)、假小叶、间质炎细胞。Ishark、Ohkuma’s等肝纤维化分级方法依据肝内门管区、P-P区纤维增生程度开展与本研究类同,但BA随着胆管、炎细胞等大量增生肝纤维化进展迅速,本研究依据其自身主要病理特征对其纤维化病程进行分级以建立BA肝纤维化分级标准。
本研究中无纤维化组其肝纤维化程度定为0级。纤维化组分为轻、中、重度对应1、2、3级,经计算3级间门管区及P-P区纤维组织增生差异明显,0-3级门管区面积成倍数增宽,P-P区面积增速具显著特点:从无纤维化到细带状、宽带状直至P-C(门管区-中央静脉)甚至C-C(中央静脉-中央静脉)形成。界板指肝小叶周边的环形肝板,是肝小叶与门管区、肝小叶与肝小叶之间接壤结构[6],随着门管区纤维组织、炎细胞、胆管细胞等大量增生浸润界板长入肝小叶造成界板结构从0级清晰、1级尚可见残留到2-3级模糊坏死至完全消失。硬化组门管区逐渐消失代之以假小叶和间质,随着纤维增生、分割,假小叶逐渐增多,而间质最明显的改变是炎细胞、胆管细胞、纤维细胞的数量和活性。纤维细胞活性分为幼稚型和成熟型,幼稚型指纤维细胞中幼稚型纤维细胞核多于50%,细胞梭形、核较大,分泌的胶原成分较少,成熟型指成熟纤维细胞核多于50%,分泌大量胶原纤维成分[8]。硬化期炎细胞等各种成分变化明显,随着炎细胞逐渐减少、纤维细胞进一步成熟及胆管的增生、退化、纤维化其程度可分为4、5、6级。
Desmet[9]提出胆管反应指胆管的肿胀、增生。本研究中0-4级BA肝纤维化进展期胆管大量增生、胆管反应逐渐加重,而5-6级肝硬化时胆管逐渐纤维化闭塞、消失,胆管反应程度下降。然而分级间胆管反应及胆管数目变化却没有统计学差异,这与差异明显的门管区、P-P区不符。周李等[10]发现BA患儿胆小管增生程度与其肝纤维化进展呈正相关,Abul等[11]在研究中提出BA患儿胆管细胞能够分泌大量TGF-β等细胞因子激活肝星形细胞诱导大量基质成分产生,这说明增生胆管显著诱导细胞外基质扩张,胆管反应在分级间差异不明显可能因为胆管增生速度慢于纤维化病变,导致分级间的差异纤维化明显而胆管反应尚未凸显。BA中有腔胆管意味着可能具引流功能[12],0-6级有腔胆管/胆管总数比值随着纤维化进展逐渐下降,有腔胆管比例下降意味着肝内胆汁引流功能逐渐下降。
综合胆管反应及纤维化病变程度,制定BA肝纤维化分级标准见表7。

BA肝纤维化评分标准
BA肝纤维化评分标准
| 分级 | 肝组织表现 |
|---|---|
| 0 | 门管区无增宽,界板结构清晰;总胆管数量(1-3)个/门管区,有腔/总数~100%;P-P区无纤维组织增生 |
| 1 | 门管区增宽至3倍大小,界板可见;总胆管数量(7-10)个/门管区,有腔/总数~(75-33)%;几乎全部P-P区纤维组织增生,桥接宽度<1/3其门管区宽度,肝小叶周边纤维组织增粗呈H、U形 |
| 2 | 门管区增宽至4倍大小,界板模糊或坏死;总胆管数量(8-14)个/门管区,沿P-P区长入肝小叶,有腔/总数~(43-0)%;全部P-P区纤维桥接,桥接宽度>1/3其门管区宽度,肝小叶周边纤维组织呈口形 |
| 3 | 门管区增宽至>4倍大小,界板消失;总胆管数量(9-15)个/门管区,沿P-P区甚至包绕肝小叶,有腔/总数~(34-0)%;P-P区重度桥接,宽度>2/3其门管区宽度,出现P-C桥接、C-C桥接,肝小叶大小不均,偶见假小叶形成,可能肝硬化 |
| 4 | 门管区增宽至无法界定,总胆管数量(11-24)个/视野,假小叶1-3个/视野,间质大量畸形胆管,炎细胞/总细胞≥50%,纤维细胞呈幼稚型 |
| 5 | 门管区增宽至无法界定,总胆管数量(9-16)个/视野,假小叶4-6个/视野,间质胆管细胞核固缩、间隙增宽炎细胞、纤维细胞长入管腔,炎细胞/总细胞50%-30%,纤维细胞较成熟 |
| 6 | 门管区增宽至无法界定,总胆管数量(3-10)个/视野,假小叶≥7个/视野,超过半数胆管发生纤维化闭塞,炎细胞散在,炎细胞/总细胞<30%,大量瘢痕组织 |
注:炎细胞、纤维细胞等细胞数目在20×10倍镜下观察,其余都在10×10倍镜下观察,有腔/总数值是四分位数间距
Ishark肝纤维化评分标准是根据成人慢性肝炎肝纤维化特点而制定,如表8所示。对比表7与表8,①门管区:BA门管区几乎全部扩张而且进展迅速,表7明确表达了BA扩张程度,界板结构对于门管区扩张程度的区分起辅助作用,而表8对门管区病变的描述较模糊;②P-P区:表7从程度及幅度上说明BA桥接结构的变化,表8无法体现BA肝内桥接纤维化早期至晚期的病变特点;③胆管:BA最具特征的变化就是胆管增生程度,表7说明了BA胆管反应变化,而表8完全没有体现这个特征;④肝硬化:由于纤维化进展迅速BA患儿往往很快肝衰竭、硬化,肝移植期肝脏也是BA病变的重要构成,也是治疗BA需要考虑的重要方面。表7对BA肝移植进行分期,有助于全面了解BA的进展,而表8欠缺。但表7只针对BA肝纤维化进行分级,不如表8分级应用广泛。并且本研究患儿皆为肝外胆道闭锁且例数偏少,对于不同类型BA肝纤维化程度的认识存在欠缺。总体来说,表8是针对成人慢性肝纤维化进展而制定的评分标准,对于BA患儿肝纤维化分级表7更为确切和实用。

Ishark评分标准
Ishark评分标准
| 评分 | 肝组织表现 |
|---|---|
| 0 | 无 |
| 1 | 部分门管区扩大,纤维增生,伴或不伴纤维间隔形成 |
| 2 | 大多数门管区扩大,纤维增生,伴或不伴纤维间隔形成 |
| 3 | 大多数门管区扩大,纤维增生,偶见P-P型桥样结构 |
| 4 | 大多数门管区扩大,纤维增生,P-P型桥样结构与P-C型一样显著 |
| 5 | 显著P-P型桥样结构与P-C型桥样结构,偶见结节形成(不完全硬化) |
| 6 | 可能或肯定肝硬化 |
Sharma等[13]认为BA患儿Kasai术时肝纤维化程度与术时年龄没有差异,本实验制订的肝纤维化分级标准与患儿Kasai术时年龄也没有差异,但是术时年龄与纤维化分级呈正相关趋势,说明术时肝纤维化程度可能与术时年龄无关但也可能随着术时年龄增长逐渐加重,这需要统计大样本资料进一步检验。
胆红素水平体现BA患儿术前胆汁淤积程度、术后胆汁引流情况、退黄程度等提示预后[14]。术前0-2级ALT、AST、胆红素及其组分尤其是DBil逐渐增高,2-4级出现"胆酶分离"现象——胆红素继续升高而酶值下降此时肝脏严重受损,0-4级纤维化进展期肝功能逐渐下降。而4-6硬化期移植患儿肝组织比例较大、ALT等发生波动,刘丹丹等[15]认为Kasai术有利于BA患儿肝功能恢复,本实验肝移植患儿都经历过Kasai手术,因此4-6级间生化指标的波动可能与Kasai手术有关。术前自然状态下随着0-6级纤维化加重患儿肝功下降。
研究认为Kasai术可以减轻胆管损伤、延长患儿自体肝生存时间,术时肝纤维化程度越重远期预后越差[15,16]。刘丹丹等[12]指出BA胆管直径总和>300 μm患儿术后黄疸消退快,胆管炎频次少,有腔胆管越多意味着术后预后越好。对比患儿术时有腔胆管比例、术前3 d与术后10 d左右胆红素变化及术后胆管炎复发频次发现1级纤维化术前有腔胆管比例较高、术后胆红素尤其DBil消退明显、胆管炎复发频次少,2级次之,3级未见减轻甚至升高,4-6级硬化期患儿血生化资料部分缺失未做统计。临床上部分患儿术后效果令人满意,退黄快、自体肝生存率高而部分患儿术后未见明显改善,哪种病情适合做Kasai术是困扰临床医生的难题,本研究制定的BA肝纤维化分级标准,在1、2级纤维化时有腔胆管比例较高术后退黄较快、术后效果较好,不仅填补了BA术时肝纤维化程度对患儿近期预后的影响而且为术中手术如何进行提供一定帮助。
由于BA患儿胆道梗阻胆汁淤积久之形成胆栓,本实验随0-6级纤维化进展肝小叶胆栓数目减少而门管区胆栓增多,与此同时血中胆汁酸含量0-3级逐渐升高4级下降。研究认为BA胆道梗阻增加胆汁酸的胆-肝循环,淤积的胆汁可能入血也可能不断损害肝细胞、细胞外基质促进纤维化进展[9,17],门管区胆栓增多反映BA肝纤维程度加重。研究未发现胆管板畸形对BA肝纤维化进展有何影响,可见2级纤维化时团块型胆管板畸形较高,患儿术后胆管炎复发次数较多。
随着患儿家属对临床治疗效果的要求越来越高,BA手术探查后是做Kasai还是等待肝移植,这是临床上小儿外科医生需要回答的问题。文献报告Kasai术后1年内肝移植比例高达60%以上[15],这充分说明Kasai手术时对肝脏纤维化状况的评估不够准确,是做Kasai还是等待肝移植目前没有统一标准。本研究建立的肝纤维化分级标准可以在术中冰冻切片下观察门管区、P-P区、界板等结构的情况补充术中判断肝纤维化程度这一空白,准确评价肝脏实际状况为将来工作中指导临床判断预后提供可靠的临床病理依据。由于BA肝移植后大量临床资料难以收集,加上BA患儿术后长期随访较难实现,本实验部分数据较少,期待日后多中心联合研究提供大样本数据再做详尽研究。





















