
通过回顾性分析2~6岁发育性髋关节脱位儿童一期行切开复位+Salter骨盆截骨+股骨近端截骨术的联合手术方法的临床和影像学的随访结果,探讨2~3岁行一期联合手术是否会增加股骨头缺血性坏死(AVN)的风险。
收集2009年1月1日至2010年12月31日期间,在我院一期行切开复位+Salter骨盆截骨+股骨截骨术的联合手术,年龄在2~6岁之间的发育性髋关节脱位患儿共31例(45髋),进行临床功能和影像学的随访研究。所有患儿按照手术时的年龄分为两组,1组为≤3岁(28髋),2组为>3岁(17髋)。根据Tönnis分型,Ⅲ型30髋(1组21髋,2组9髋),Ⅳ型15髋(1组7髋,2组8髋)。股骨头缺血性坏死分级评价采用Kalamchi-MacEwen分型,临床功能结果采用McKay评分标准。
患儿手术时平均年龄为(37.22±11.60)个月。术后随访(5.93±0.76)年。最终随访时拍摄的骨盆X线正位片,采用Kalamchi-MacEwen分型判定未发生AVN共31髋(68.2%),发生AVN共14髋(31.1%)。1组共19(67.9%)髋未发生AVN,共9髋(32.1%)发生AVN。2组分别为12髋(70.6%)和5髋(29.4%),两者之间差异并无统计学意义(P=0.560)。在1组发生AVN的患儿中,Ⅰ型4髋(44.4%),Ⅱ型1髋(11.1%)Ⅲ型3髋(33.3%),Ⅳ型1髋(11.1%),2组分别为Ⅰ型3髋(60%),Ⅱ型1髋(20%),Ⅲ型0,Ⅳ型1髋(20%)。根据McKay评分系统,优秀33髋(73.3%),良好7髋(15.6%),一般4髋(8.9%),差1髋(2.2%)。两者之间差异并无统计学意义(P=0.944)。所有45髋中,只有1例出现半脱位行二次手术,再手术的发生率为2.22%。
发育性髋关节脱位儿童在2~6岁时行一期联合手术长期随访的临床功能和影像学结果是满意的。儿童在2~3岁时行一期联合手术并没有显著增加AVN的发生,并获得良好的髋关节临床功能。这说明2~3岁时行一期联合手术可以获得良好的效果,是安全有效的。
版权归中华医学会所有。
未经授权,不得转载、摘编本刊文章,不得使用本刊的版式设计。
除非特别声明,本刊刊出的所有文章不代表中华医学会和本刊编委会的观点。
发育性髋关节脱位(developmental dislocation of the hip,DDH)是一种儿童最常见的先天性下肢畸形。对超过2岁晚期诊断的DDH的治疗选择仍是困扰儿骨科医生的一大挑战,选择何种治疗方法仍没有达成一致[1,2]。早期诊断及早治疗,尽早获得良好的头臼对位关系是治疗DDH的主要目的。一期切开复位+骨盆截骨术+股骨近端截骨术的联合术式已广泛用于治疗行走后的DDH患儿[3,4,5,6,7,8]。但在2岁后DDH患儿何时行一期联合手术仍有争议,一些学者报道了不同年龄下的治疗结果不同,一些学者倾向于3岁以后行一期手术治疗[3,9],但也有学者尝试3岁以前应用此手术方式[4,8]。此研究的目的是分析2~6岁DDH患儿在行一期联合手术治疗后的随访结果,对比2~3岁和3~6岁行一期联合手术治疗DDH的影像学和髋关节功能差异,探讨2~3岁行一期联合手术是否会增加股骨头缺血性坏死(avascular necrosis ,AVN)的风险。
2009年1月至2010年12月共有48例(共68髋)患儿于本治疗组行一期联合手术,其中外院既往手术史2例(3髋),病理性髋脱位1例(1髋),曾行保守治疗10例(14髋)。
①2009年1月至2010年12月在我科治疗且年龄为2~6岁的DDH患儿;②手术方式:一期行切开复位+Salter骨盆截骨+股骨近端去旋转内翻短缩截骨术的联合手术;③术前未经过牵引等保守治疗;④术前骨盆平片Tönnis分型为Ⅲ型或Ⅳ型;⑤手术操作者为本组成员。
①年龄低于2岁或超过6岁;②术前经过牵引等保守治疗;③外院既往手术史;④手术方式为其他术式;⑤病理性髋脱位。
共35例患儿符合标准纳入随访,其中有4例(6髋)失随访,最终共有31例(45髋)获得随访进行评估。双侧髋关节脱位14例,左侧髋关节脱位10例,右侧髋关节脱位7例。所有的患儿按照手术时的年龄分为两组,1组为≤3岁(28髋),2组为>3岁(17髋)。根据Tönnis分型,Ⅲ型30髋(1组21髋,2组9髋),Ⅳ型15髋(1组7髋,2组8髋)。
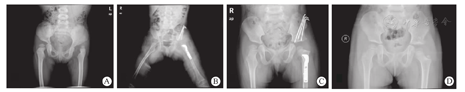
所有患儿术前拍摄骨盆正位片,髋关节三维骨盆CT重建影像,术后按照Kalamchi-MacEwen分型方法判断是否发生AVN并进行分级评估[10](图1)。功能结果采用McKay评分分析。由三位医生记录相关数据。所有测量结果定量参数取其均值,定性参数取多数认同者。
采用SPSS 20.0(SPSS Inc., Chicago, Illinois, Version 20)软件进行统计分析。采用Fisher确切概率法分析两组AVN发生情况,比较两组间Kalamchi-MacEwen分型和McKay评分结果差异是否有统计学意义。检验水准为P<0.05。
31例患儿手术时年龄平均为(37.22±11.60)个月,术后平均随访(5.93±0.76)年。最终随访的骨盆正位片根据Kalamchi-MacEwen分型判定AVN的发生情况。在所有的45髋中,未发生AVN共31髋(68.2%),发生AVN共14髋(31.1%)。按照Kalamchi-MacEwen分型,发生AVN的髋关节中,Ⅰ型共7髋(50%),Ⅱ型共2髋(14.3%),Ⅲ型3髋(21.4%),Ⅳ型2髋(14.3%)。1组中未发生AVN共19髋(67.9%),发生AVN共9髋(32.1%)。2组中未发生AVN共12髋(70.6%),发生AVN共5髋(29.4%)。根据是否发生AVN,经Fisher确切概率法检验,1组和2组之间差异无统计学意义(P=0.560)。在1组发生AVN的患儿中,Ⅰ型4髋(44.4%),Ⅱ型1髋(11.1%),Ⅲ型3髋(33.3%),Ⅳ型1髋(11.1%),2组分别为Ⅰ型3髋(60%),Ⅱ型1髋(20%),Ⅲ型0髋,Ⅳ型1髋(20%)。
根据McKay临床分期:优秀33髋(73.3%),良好7髋(15.6%),一般4髋(8.9%),差1髋(2.2%)。在1组中,优秀21髋(75.0%),良好4髋(14.3%),一般3髋(10.7%),在2组中,优秀12髋(70.6%),良好3髋(17.6%),一般1髋(5.9%),差1髋(5.9%)。两组之间差异并无统计学意义(P=0.944)。典型病例见图2,临床数据及分析见表1。

发育性髋关节脱位患儿≤3岁组与>3岁组临床数据对比及分析
发育性髋关节脱位患儿≤3岁组与>3岁组临床数据对比及分析
| 参数 | ≤3岁组(28髋) | >3岁组(17髋) | P值 | |||
|---|---|---|---|---|---|---|
| 髋数 | 百分比(%) | 髋数 | 百分比(%) | |||
| 性别 | 0.365 | |||||
| 男 | 4 | 14.3 | 1 | 5.9 | ||
| 女 | 24 | 85.7 | 16 | 94.1 | ||
| 侧别 | ||||||
| 左 | 13 | 46.4 | 11 | 64.7 | 0.116 | |
| 右 | 15 | 53.6 | 6 | 35.3 | ||
| Tönnis分型 | ||||||
| Ⅲ型 | 21 | 75.0 | 9 | 52.9 | 0.560 | |
| Ⅳ型 | 7 | 25.0 | 8 | 47.1 | ||
| AVN发生情况 | ||||||
| 否 | 19 | 67.9 | 12 | 70.6 | ||
| 是 | 9 | 32.1 | 5 | 29.4 | ||
| Kalamchi-MacEwen分型 | ||||||
| Ⅰ型 | 4 | 44.4 | 3 | 60.0 | 0.536 | |
| Ⅱ型 | 1 | 11.1 | 1 | 20.0 | ||
| Ⅲ型 | 3 | 33.3 | 0 | 0 | ||
| Ⅳ型 | 1 | 11.1 | 1 | 20.0 | ||
| McKay评分 | ||||||
| 优秀 | 21 | 75.0 | 12 | 70.6 | 0.944 | |
| 良好 | 4 | 14.3 | 3 | 17.6 | ||
| 一般 | 3 | 10.7 | 1 | 5.9 | ||
| 差 | 0 | 0 | 1 | 5.9 | ||


截止最终随访时,1组中有5例下肢不等长,平均短缩1.5 cm。2组中共3例下肢不等长,平均短缩1.67cm。所有的病例均未出现感染、再骨折等并发症。只有1例出现残留半脱位,需要再次行手术翻修。
DDH手术治疗的目的是恢复正常的头臼对位关系,减少并发症的发生。手术方法的选择与其确诊年龄直接相关[6,11,12]。对于延迟诊断的DDH患儿一期行切开复位+Salter骨盆截骨术+股骨截骨术的联合手术方案已经广泛应用,但是联合手术对低年龄尤其是2~3岁患儿的安全性仍有争论[5,11,13,14,15,16,17]。Olney等[18]认为一期联合手术创伤太大,更倾向于保守治疗。Tang等[19]则认为闭合复位可以降低软组织的张力,且再次脱位后再行手术治疗并不会增加AVN的发生。
手术时患儿的年龄是影响手术后治疗效果的重要因素。不同年龄阶段行一期联合手术的髋关节功能优良率为81.63%~91.9%[4,16,20,21](年龄与髋关节功能对比分析见表2) 。有研究认为年龄越小,功能恢复越好。但也有研究认为髋关节功能的恢复与手术时的年龄无关[22]。在本研究中45髋根据最终随访时的McKay临床功能分级总的优良率达88.9%。在1组中优秀21髋(75.0%),良好4髋(14.3%),在2组中,优秀12髋(70.6%),良好3髋(17.6%)。两组之间差异并无统计学意义,这说明2~3岁行一期联合手术治疗高脱位的DDH也可以获得良好的临床功能。

年龄与髋关节功能关系对比
手术方式的选择对AVN发生有不可忽视的影响。不同手术方式AVN的发生率不同。文献报道切开复位联合骨盆和股骨截骨术AVN的发生率为22.2%~50.0%,单纯骨盆截骨术为10.3%~17.0%,切开复位联合股骨截骨术AVN发生率为5.5%~18.0%[15,23,24,25]。我们平均5年的随访结果显示总的AVN的发生率为31.1%。有学者认为是股骨头血供受阻是导致AVN发生的直接原因[26,27],但其发生的确切原因尚未可知。本组患儿均为Tönnis Ⅲ型、Ⅳ型全脱位患儿,术中需将关节囊从臀肌中进行较大范围的剥离,可能会造成关节囊周围血液供应受到更多的影响,可能是导致AVN更容易发生的原因。此外,一期联合手术有降低再次手术风险的优势。Kothari等[23]发现单纯切开复位再次手术的风险有56%,联合骨盆截骨术仅有11%,联合骨盆股骨截骨术为8%。本组病例再手术率为2.2%。
随访时间对AVN的判定也有一定的影响。Weinstein[28]认为随着患儿的生长,真正AVN的发生率要在骨骼接近成熟之后才能准确的判断出来。Gardner等[29]认为,AVN的随访至少要到10年以上,在他们系统评价中,平均10.9年的随访,AVN的发生率为20%。
本组研究还有很多局限性。首先,平均随访时间只有5年,需要进行长期随访至接近骨骼成熟,可能会得到更加准确的AVN实际发生率。其次,病例数有限,需要更多的临床资料来说明问题。本研究涉及较多的测量数据,因此测量误差也不容忽视。
发育性髋关节脱位儿童在2~6岁时行一期联合手术平均5年随访的临床功能和影像学结果是满意的。儿童在2~3岁时行一期联合手术并没有显著增加AVN的发生,并获得良好的髋关节临床功能。这说明2~3岁时行一期联合手术可以获得良好的效果,是安全有效的。
无






















