
探讨维甲酸改善氟他胺诱导隐睾大鼠生精功能的相关机制,为临床预防隐睾患儿发生不育提供动物实验基础。
30只雌性SD大鼠合笼成功后采用随机数字表法平均分为:对照组10只,孕期第12~20天皮下注射1 mg/ml的玉米油25 mg·kg-1·d-1;氟他胺诱导隐睾组10只,孕期第12~20天皮下注射玉米油配制的氟他胺25 mg·kg-1·d-1;维甲酸干预组10只,在氟他胺诱导隐睾组处理基础上,予子代雄鼠生后1~10 d及28~30 d玉米油配制的维甲酸1 mg·kg-1·d-1。于生后30 d及60 d观察子代雄鼠睾丸组织病理、精子数量及质量,免疫组织化学及蛋白质印迹法检测氧化应激水平蛋白、凋亡水平蛋白及血睾屏障相关连接蛋白水平改变。
对照组无隐睾发生,睾丸重量为(0.56±0.17) g,体积为(0.44±0.12)cm3,精子数量为(2.25±0.14)个/ml;睾丸组织各级生精细胞排列整齐,层次清楚,可见较多精子细胞;氧化应激蛋白SOD1、HO-1、Gpx表达量分别为0.92±0.02和0.62±0.06、0.93±0.12,凋亡蛋白Bax及Bcl-2表达量分别为0.67±0.06和0.80±0.04,血睾屏障相关连接蛋白Cx43及Zo-1表达量分别为1.44±0.07和3.84±0.10。氟他胺诱导隐睾组隐睾发生率为62.50%(20/32),睾丸重量为(0.13±0.03) g、体积为(0.07±0.02)cm3,精子数量为(0.65±0.17)个/ml,上述指标与对照组比较,差异均有统计学意义(P<0.05);睾丸组织各级生精细胞排列紊乱,层次不清,结构破坏;氧化应激蛋白SOD1、HO-1、Gpx表达量分别为1.23±0.07和0.90±0.09、1.70±0.01,凋亡蛋白Bax及Bcl-2表达量分别为0.87±0.01和0.53±0.20,血睾屏障相关连接蛋白Cx43及Zo-1表达量分别为0.51±0.07和1.48±0.25,上述指标与对照组比较,差异亦均有统计学意义(P<0.05)。维甲酸干预组睾丸重量为(0.29±0.11) g、体积为(5.21±0.30)cm3,精子计数为(1.49±0.31)个/ml,与对照组比较差异无统计学意义,但较氟他胺诱导隐睾组明显升高,差异有统计学意义(P<0.05)。维甲酸干预组隐睾发生率为61.76%(21/34),与氟他胺诱导隐睾组比较差异无统计学意义;睾丸组织各级生精细胞排列相对整齐,整体表现更接近于对照组;氧化应激蛋白SOD1、HO-1、Gpx表达量分别为0.94±0.01、0.76±0.02和0.96±0.02,凋亡蛋白Bax及Bcl-2表达量分别为0.68±0.02和0.76±0.06,血睾屏障相关连接蛋白Cx43及Zo-1表达量分别为1.12±0.04和2.07±0.17,与对照组比较,差异无统计学意义,但较氟他胺诱导隐睾组明显降低/升高,且差异均有统计学意义(P<0.05)。
氟他胺诱导的隐睾大鼠基础上,予以生后维甲酸干预可通过明显降低隐睾睾丸组织内的氧化应激及凋亡水平,部分修复已受损的血睾屏障,进而使隐睾大鼠生精功能得到部分改善。
版权归中华医学会所有。
未经授权,不得转载、摘编本刊文章,不得使用本刊的版式设计。
除非特别声明,本刊刊出的所有文章不代表中华医学会和本刊编委会的观点。
隐睾是男童中最常见的先天畸形之一,通常表现为一侧或双侧睾丸长期不能下降至阴囊中,一般新生儿发生率在2%~5%[1]。随着孕期及生后环境因素、生物暴露等风险增加,儿童隐睾的发生率有逐渐上升的趋势[2]。近年有国外调查发现在单侧隐睾患儿中成年无精子症的发生率约为13%;在未经治疗的双侧隐睾患儿中,无精子症的发生率高达89%[3,4]。目前临床治疗中所采取的措施并不能有效改善隐睾生精细胞发育。因此亟需探索有效手段改善隐睾患儿预后,以降低隐睾患儿在成年后产生无精子症的发生率,提高生育率。维甲酸(retinoic acid,RA)是维生素A在体内代谢的一种活性形式。在哺乳动物实验研究中,众多研究者发现RA的储存和代谢可有效调节生精细胞的减数分裂,且和减数分裂相关因子Stra8的产生密切相关[5,6,7,8,9]。RA能否有效改善隐睾所引起的生精障碍仍不得而知。本实验旨在探索RA对隐睾大鼠生精功能的影响。
SPF级SD大鼠雌/雄性各30只,均购于重庆医科大学动物中心[SYXK(渝)2018-0003]。重量280~310 g,饲养于重庆医科大学附属儿童医院动物中心[SYXK(渝)2017-0012],饲养室温度20℃~25℃,相对湿度40%~60%,自由饮食。适应性饲养1周后,按雌、雄1∶1比例将雌、雄鼠合笼,每日晨8时固定查看笼内有无阴栓,若有,则记为妊娠0 d;若无,则日间将雌雄鼠分开,于下午16时再次合笼。
受孕后,30只孕鼠采用随机数字表法平均分配至3个组内,即:①对照组10只,正常饲养,于孕12~20 d每日晨8时颈背部皮肤消毒后,皮下注射1 mg/ml的玉米油25 mg·kg-1·d-1;②氟他胺诱导隐睾组10只,正常饲养,孕12~20 d每日晨8时皮下注射氟他胺25 mg·kg-1·d-1;③RA干预组10只,正常饲养,氟他胺注射方法同前,在氟他胺诱导隐睾组处理基础上,予子代雄鼠生后1~10 d及28~30 d玉米油配制的RA 1 mg·kg-1·d-1。
氟他胺(flutamide,Flu)(F9397)购自Sigma公司,维甲酸(retinoic acid,RA)(R2625)购于Sigma公司,玉米油(F1309033)购自阿拉丁公司,兔来源Connexin43(ab11370)、兔来源紧密连接蛋白ZO-1(ab59720)、兔来源超氧化物歧化酶(superoxide dismutase,SOD)一抗(ab13498)、兔来源谷胱甘肽过氧化物酶(glutathione peroxidase,GPx)一抗(ab22604)、兔来源血红素加氧酶Ⅰ(Heme Oxygenase 1,HO-1)一抗(ab13248)、兔来源Bcl-2一抗(ab59348)均购于abcam公司,山羊抗兔二抗试剂盒(SP-9001)、DAB染色试剂盒(ZLI-9017)购自北京中杉公司,10%水合氯醛及4%多聚甲醛为自行配制。
取各组生后30 d子代雄鼠睾丸(氟他胺诱导隐睾组及RA干预组仅取隐睾侧睾丸),腹腔注射10%水合氯醛,用AL104/AL204电子天平分别称其体重、睾丸重量,用睾丸重量/体重计算睾丸脏器系数,再用游标卡尺分别测量睾丸的长、宽、高,并按照公式V=1/4π×D2×L×K计算睾丸体积。其中,D为宽、高的平均数,L为长,K为系数0.9。
水合氯醛麻醉后,取各组生后60 d子代雄鼠附睾(氟他胺诱导隐睾组及RA干预组只取隐睾雄鼠),置于装有Hank's液的六孔板中,仔细剪碎,吸取20 μl注入4 ml Hank's液,37℃水浴15 min,滴至细胞计数板上,显微镜下计数。另取消毒后载玻片,将混匀后附睾悬液滴一滴至载玻片上,取另一载玻片以约30°角涂片,室温至完全干燥,甲醛固定10 min,伊红染色,显微镜下随机计数50个视野,计算精子畸形率。
取生后30 d及60 d睾丸于4%多聚甲醛充分固定,常规脱水,石蜡包埋,用切片机切成4 μm厚切片,行HE染色中性树胶封片。观察睾丸内生殖细胞发育情况。
石蜡包埋睾丸组织常规包埋脱水,切片,烘片不少于24 h后,常规脱蜡后行微波抗原修复,0.5% BSA封闭,按抗体说明浓度滴加一抗Connexin43、ZO-1、SOD、GPx、HO-1、Bcl-2、Caspase-3,4℃孵育过夜,次日滴加山羊抗兔二抗(1∶200)孵育,用抗荧光淬灭剂封片,荧光显微镜下及时观察,照相。
取每组雄性仔鼠睾丸组织100 mg(氟他胺诱导隐睾组及RA干预组只取隐睾侧睾丸),按照凯基总蛋白提取试剂盒说明书步骤行蛋白提取;提取物12 000转/min,离心10 min(离心半径10 cm),BCA法检测蛋白浓度。上样量30 ng/孔,80~120 V,1.5 h,转膜(60 V,2 h),5%脱脂牛奶封闭1 h,一抗Connexin43、ZO-1、SOD、GPx、HO-1、Bcl-2、Caspase-3(稀释浓度1∶1 500),β-actin(稀释浓度1∶5 000)4℃孵育过夜,二抗(稀释浓度1∶5 000)常温下孵育2 h(摇床轻摇),化学发光显色。
Western blot条带用软件Image J处理后,测量目的蛋白与β-actin的灰度值之比。两组率的比较采用χ2检验,均数比较采取两组间独立样本t检验。数据结果用SPSS 20.0行统计学分析,P<0.05为差异有统计学意义。

各组仔鼠隐睾统计表(只/%)
各组仔鼠隐睾统计表(只/%)
| 组别 | 雄性鼠(只) | 单侧隐睾 | 双侧隐睾 | 总计 |
|---|---|---|---|---|
| 对照组 | 68 | 0 | 0 | 0 |
| 氟他胺诱导隐睾组 | 32 | 18/56.25 | 2/6.25 | 20/62.50 |
| RA干预组 | 34 | 20/58.82 | 1/2.94 | 21/61.76 |
对照组,孕鼠共产仔鼠117只,雄性仔鼠68只,无隐睾发生。Flu隐睾组孕鼠产仔104只,雄性仔鼠32只。其中,单侧隐睾18只,发生率为56.25%(18/32);双侧隐睾2只,发生率为6.25%(2/32)。RA干预组中孕鼠产仔108只,雄性仔鼠34只。其中,单侧隐睾20只,发生率为58.82%(20/34);双侧隐睾1只,发生率为2.94%(1/34)。
对照组睾丸重量为(0.56±0.17) g,体积为(0.44±0.12)cm3,睾丸/体重脏器系数为(6.23±0.38)‰;氟他胺诱导隐睾组分别为(0.13±0.03) g、(0.07±0.02)cm3和(3.4±0.19)‰;RA干预组分别为(0.29±0.11) g、(0.15±0.02)cm3和(5.21±0.30)‰。氟他胺诱导隐睾组睾丸重量、睾丸体积、睾丸/体重脏器系数3个指标均较对照组及RA干预组明显降低,且差异有统计学意义(P<0.05,表2)。

各组仔鼠睾丸重量、睾丸体积、睾丸/体重脏器系数、精子计数及精子畸形率比较(Mean±SD,n=10)
各组仔鼠睾丸重量、睾丸体积、睾丸/体重脏器系数、精子计数及精子畸形率比较(Mean±SD,n=10)
| 组别 | 睾丸重量(g) | 睾丸体积(cm3) | 睾丸/体重脏器系数(‰) | 精子计数(个/ml) | 精子畸形率(%) |
|---|---|---|---|---|---|
| 对照组 | 0.56±0.17 | 0.44±0.12 | 6.23±0.38 | 2.25±0.14 | 4.52±0.40 |
| 氟他胺诱导隐睾组 | 0.13±0.03b | 0.07±0.02b | 3.40±0.19b | 0.65±0.17b | 8.81±0.19b |
| RA干预组 | 0.29±0.11c | 0.15±0.02c | 5.21±0.30c | 1.49±0.31c | 5.57±0.45c |
注:与对照组比较,bP<0.05;与Flu组比较,cP<0.05
取生后60 d子代雄鼠进行分析,三组精子染色结果示,对照组精子计数为(2.25±0.14)×108个/ml,精子畸形率为(4.52±0.40)%;氟他胺诱导隐睾组精子计数为(0.65±0.17)×108个/ml,精子畸形率为(8.81±0.19)%;RA干预组精子计数为(1.49±0.31)×108个/ml,精子畸形率为(5.57±0.45)%(图2)。氟他胺诱导隐睾组中精子数量较对照组明显降低,精子畸形率明显升高,组间比较,差异有统计学意义(P<0.05);RA干预组,附睾中精子数量较氟他胺诱导隐睾组明显增高,精子畸形率明显降低,组间比较,差异亦有统计学意义(P<0.05,表2)


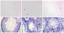
HE染色病理图片示,对照组曲细精管内各级生精细胞排列整齐,层次清楚,可见较多精子细胞(2A);氟他胺诱导隐睾组的睾丸组织形态学有明显改变,各级生精细胞排列紊乱,发育幼稚,层次不清,可见部分生精细胞脱落及空泡化形成(2B);RA干预组隐睾睾丸组织虽不能完全恢复至正常形态学表现,但各级生精细胞排列相对整齐,发育接近正常,整体表现更接近于对照组(2C)。
Western-blot检测氧化应激相关蛋白后发现,与对照组相比,氟他胺诱导隐睾组SOD1、Gpx及HO-1灰度值表达明显升高,组间比较,差异有统计学意义(P<0.05);RA干预组上述指标较氟他胺诱导隐睾组表达明显降低,组间比较,差异亦有统计学意义(P<0.05,表3)。但RA干预组与对照组比较,差异无统计学意义(P>0.05,表3)。

各组氧化应激蛋白、凋亡相关蛋白、血睾屏障相关连接蛋白表达情况(Mean±SD,n=10)
各组氧化应激蛋白、凋亡相关蛋白、血睾屏障相关连接蛋白表达情况(Mean±SD,n=10)
| 组别 | 氧化应激蛋白 | 凋亡相关蛋白 | 血睾屏障相关连接蛋白 | ||||
|---|---|---|---|---|---|---|---|
| SOD1 | HO-1 | Gpx | Bax | Bcl-2 | Connexin43 | Zo-1 | |
| 对照组 | 0.92±0.02 | 0.62±0.06 | 0.93±0.12 | 0.67±0.06 | 0.80±0.04 | 1.44±0.07 | 3.84±0.10 |
| 氟他胺诱导隐睾组 | 1.23±0.07de | 0.90±0.09de | 1.70±0.01de | 0.87±0.01de | 0.53±0.20de | 0.51±0.03de | 1.48±0.25de |
| RA干预组 | 0.94±0.01 | 0.76±0.02 | 0.96±0.02 | 0.68±0.02 | 0.76±0.06 | 1.12±0.04 | 2.07±0.17 |
注:SOD1,超氧化物歧化酶1;HO-1,血红素加氧酶1;Gpx,谷胱甘肽过氧化物酶;Bax,BCL2相关X蛋白;Bcl-2,B淋巴细胞瘤-2相关蛋白;Connexin43,连接蛋白43;Zo-1,紧密连接蛋白1;与对照组比较,dP<0.05;与RA干预组比较,eP<0.05
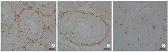
免疫组织化学检测示,对照组睾丸组织内有大量Bcl-2表达,氟他胺诱导隐睾组表达量很少,RA干预组Bcl-2表达水平与对照组接近(图3)。Western-blot检测发现在氟他胺诱导隐睾组Bax的灰度值较对照组、RA干预组明显升高,Bcl-2灰度值较对照组、RA干预组明显降低,组间比较,差异均有统计学意义(P<0.05)。RA干预组与对照组比较,Bax及Bcl-2的灰度值差异均无统计学意义(P>0.05,表3)。


免疫荧光检测发现,Connexin43蛋白在对照组围绕在生精小管基膜周围表达明显;在氟他胺诱导隐睾组仅少量表达,且荧光亮度很低;在RA干预组围绕生精小管基膜呈断续状表达,但较氟他胺诱导隐睾组已明显改善(图4)。Western-blot检测表明缝隙连接蛋白Connexin43及紧密连接蛋白Zo-1在氟他胺诱导隐睾组均较对照组和RA干预组明显降低,组间比较,差异有统计学意义(P<0.05);RA干预组上述指标与对照组比较,差异无统计学意义(P>0.05,表3)。


隐睾所致的男性不育是临床常见难题,寻找相关干预措施改善隐睾患儿预后具有重要意义。目前临床治疗措施对于隐睾患儿预后无明显改善,研究人员一直在试图探讨隐睾的具体发生机制及新的治疗措施。在构建模型方面,一些研究采取假手术方法建立隐睾模型,但此方法仅以其解剖学位置为出发点建模,不能切合病理情况下隐睾的发生情况。
本研究采取孕期注射氟他胺建立隐睾模型,取生后隐睾仔鼠的睾丸组织,此方法与病理状态下隐睾睾丸不能完全下降至阴囊的现象更为接近。在此之前本实验室应用氟他胺已成功建立隐睾大鼠模型[10]。本实验隐睾发生率约为62%(20/32),建模成功率与近年国外研究报道相近[11]。本课题组前期采用高效液相色谱法(high performance liquid chromatography,HPLC)证明在隐睾睾丸组织内其RA的含量是降低的[12,13]。
维甲酸作为维生素A在体内代谢的主要产物,有报道在孕期缺乏后可以引起多个系统的发育畸形,包括神经系统、泌尿系统及血管系统等,严重者甚至死胎;然而,孕早期摄入过量的RA亦可引起畸形[12,13]。本研究与既往研究不同,未在孕期予以补充RA,而是模拟生后发现隐睾,在生精细胞发育的关键时期予以RA干预后观察其生殖功能,因而有效规避了孕期补充过量可能引起其他系统发育畸形的副作用。
一项儿童调查发现,摄入过量维生素A(60 mg)仅引起了皮肤黄疸,长期随访未引起其他副作用[14]。孕妇孕期服用超过上限剂量100倍的维生素A可引起头痛、恶心等反应,但未见引起发育受阻或认知损害[14]。本研究采用1 mg/kg RA生后灌胃方法,换算为人体用量约为0.16 mg/kg(533 UI/kg),该剂量远低于世界卫生组织规定的上限摄入量300 000 UI/d[15]。研究报道发展中国家儿童的维生素A摄入仍存在不足;今年我国一项报道也指出在调查区域有近一半的居民维生素A的摄入不足[15,16]。故此,本实验所采取的生后予以RA的给药方式可有效规避其引起其他系统损害的风险,同时给药剂量亦在安全范围内,不失为一种潜在可行的干预措施。有研究报道,给予生后雄鼠维生素A缺乏的配方喂养,发现其睾丸组织在凋亡指标、减数分裂及血睾屏障相关指标方面较对照组均有明显改变;当补充维生素A后,上述损害得以改善[17]。本研究发现在生后仔鼠生精细胞发育的关键期给隐睾大鼠补充RA后,隐睾大鼠睾丸组织的形态学改变有较明显改善,精子质量也有明显上升。这些研究结果与本研究发现的结果类似。
近年有临床队列研究报道,约30%~80%的精子质量下降与活性氧(reactive oxygen species,ROS)的释放增多而引起的氧化应激反应相关[18]。隐睾睾丸因未降至阴囊内,长期处于不适宜的外部环境中,易引起氧化应激反应[19]。本研究结果示,隐睾睾丸组织中SOD、HO-1、Gpx等氧化应激指标相对于对照组明显上升;氟他胺诱导隐睾组凋亡相关蛋白BCl-2、Bax的变化提示隐睾睾丸组织凋亡水平明显上升。Tsounapi等[20]研究发现,在隐睾大鼠的睾丸组织中凋亡水平是明显上升。Bea等[21]研究发现RA可以通过减少TXNIP的表达起抗氧化作用。本研究发现RA可改善隐睾睾丸组织过度的氧化应激水平及凋亡水平。因此,我们推测,隐睾睾丸内氧化应激水平过高,进而引起凋亡水平升高,而凋亡水平的升高又反馈引起氧化应激损伤,导致正常生精微环境的破坏,进而引起精子发生障碍。
睾丸的生精微环境对于正常生精过程是不可或缺的,生精微环境的建立有赖于血睾屏障的完整性[9]。在睾丸支持细胞(sertoli cell)体外培养及维生素A相关基因敲除动物模型上研究减数分裂及血睾屏障功能时,发现减数分裂不能正常进行且血睾屏障完整性被破坏[22,23]。本研究中,氟他胺诱导隐睾组隐睾大鼠的睾丸组织,在免疫荧光、Western-blot检测中,血睾屏障相关蛋白Zo-1及connexin 43较对照组有明显下降;而RA干预组血睾屏障相关蛋白表达水平较氟他胺诱导隐睾组上升,且与对照组比较差异无统计学意义(P>0.05)。说明RA的干预可以使隐睾睾丸组织血睾屏障的完整性得到修复进而使精子数量及质量亦得到改善。
综上所述,本研究发现RA可能通过降低隐睾组织过度的氧化应激水平及凋亡水平,进而部分修复隐睾所致生精微环境损伤,改善隐睾大鼠的生精功能。这一结论对改进临床对于隐睾患儿的治疗策略,改善隐睾患儿预后提供实验室基础。但RA改善隐睾生精功能的具体作用机制及在临床应用的可行性仍有待于进一步证实。
所有作者均声明不存在利益冲突





















