
版权归中华医学会所有。
未经授权,不得转载、摘编本刊文章,不得使用本刊的版式设计。
除非特别声明,本刊刊出的所有文章不代表中华医学会和本刊编委会的观点。
梅克尔憩室(Meckel's diverticulum,MD)是最常见的先天性消化道畸形,儿童期MD以下消化道出血为主要临床表现,而症状性MD是罕见的新生儿急腹症,多表现为气腹或肠梗阻[1,2]。南京医科大学附属儿童医院新生儿外科2006年1月至2017年12月共收治新生儿MD并发肠穿孔7例,现对其临床资料回顾分析和总结如下。
本组7例均为男孩;出生胎龄(36.13±2.71)周,范围在32~40周,早产3例;出生体重1.90~3.21 kg,其中<2.50 kg者3例,均为早产儿;出生后3 d内就诊者5例,5 d和10 d各1例;无围产期窘迫史。7例均有腹胀并呈进行性加重,4例伴呕吐黄绿色液,7例胎粪排出无异常。腹部立位X线平片检查均可见腹腔游离气体。入院时伴发感染性休克1例。
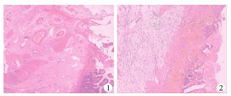
予禁食、胃肠减压、吸氧、暖箱保暖、补液、抗感染及休克者抗休克等治疗。经积极准备后,7例均及早给予手术。术中见憩室位于距回盲瓣10~30 cm的末端回肠地对系膜缘肠壁,憩室基底宽约0.6~1.0 cm、长约0.8~2.0 cm;穿孔均位于憩室顶端,其直径<0.5 cm;除1例伴发感染性休克者憩室近端约5 cm肠管有散在坏死灶外,余6例病变局限于憩室或伴有邻近区域肠管水肿。选择术式:腹腔污染及肠管水肿较轻者5例,其中4例行憩室楔形切除+肠吻合术,1例将憩室处肠段提至切口外行袢式造口;腹腔污染严重伴近端肠管存在坏死灶或肠管水肿严重者各1例均行憩室处肠段切除+近断端单腔造口术。切除的憩室病理检查:均内衬肠黏膜,局部出血、坏死,未见异位组织,5例有较多炎症细胞浸润(图1),2例有憩室肌层缺损(图2)。7例行腹腔液培养:6例阴性,仅1例出生后10 d就诊者培养出鸟肠球菌和大肠埃希菌。术后予抗感染、补液、支持等治疗。


1例伴发感染性休克者于术后6 h自动出院,4例Ⅰ期行憩室切除+肠吻合者痊愈出院,余2例于肠造口术后3个月来院行造口关闭术并痊愈出院。6例痊愈者均获随访1年,生长发育正常,无腹胀、呕吐和便血等不适。
MD是孕早期卵黄管完全闭合失败所致畸形,约发生于2%的人群,其并发症的发生率约为4%,消化道出血、肠梗阻和憩室炎症是MD的3种主要并发症[1,3,4,5,6,7,8]。新生儿症状性MD罕见,文献多为其并发肠穿孔的个案报道[1,2,4,5,6,7,8,9,10,11,12]。新生儿MD穿孔可发生于足月正常出生体重儿、早产儿或低出生体重儿。本组7例中有3例为早产和低出生体重儿。有报道则认为MD穿孔在新生儿罕见且在早产儿极罕见[10]。儿童期症状性MD男女之比约为2∶1[1,4,5,13,14]。有作者回顾文献发现新生儿MD引起的机械性肠梗阻都是男孩,但无穿孔病例性别分布的总结报道,而新生儿症状性MD多表现为气腹或肠梗阻[1,2]。本组7例均为男孩,提示新生儿期症状性MD有较儿童期更多见于男孩的可能,其中5例出生后3 d内即出现症状就诊,表明多在出生后早期发生肠穿孔。
新生儿MD并发肠穿孔主要表现为进行性腹胀,常伴胆汁性呕吐及X线片见腹腔游离气体,无临床特异性,CT在MD并发肠穿孔者有较其他成像技术更高的诊断能力[15]。但新生儿患者常病情危急不宜进一步检查,术前难以明确原发病诊断,需经手术证实。本组病例术中所见提示新生儿MD穿孔常为位于末端30 cm以内回肠的憩室顶端直径<0.5 cm的单一穿孔,病变局限于憩室,常有邻近肠管水肿,偶有坏死改变,结合其腹腔污染程度选择术式,可行病变处肠管切除+肠吻合术或肠造口术。
新生儿MD穿孔大多源于憩室炎和/或憩室的异位黏膜[1,5,6]。急性炎症是其最突出的组织病理学发现,异位黏膜病例约占17%~25%,且均为异位胰腺组织[1,5]。本组病理检查未见异位组织,应与病例数较少有关。有5例(71.4%)有较多炎症细胞浸润,与新生儿MD穿孔多源于憩室炎一致,符合其病理学改变特点,有2例憩室处肌层缺损,提示肠壁肌层缺损可能也是部分新生儿MD穿孔的原因[5,6,7,11]。本组均行腹腔液培养,其中出生后5 d内就诊的6例培养阴性,仅1例出生后10 d就诊者阳性,与新生儿肠道细菌定植通常始于10日龄一致[11]。早期积极的手术干预通常可以使新生儿MD并发肠穿孔病例获得良好的预后,孤立穿孔者甚至可以有100%的存活[1,5,6]。本组中仅1例因并发感染性休克病情危重者自动出院,余6例均获得治愈,这与严密的临床观察、尽早地手术干预、合理的术式选择和有效的围手术期处理密切相关。
所有作者均声明不存在利益冲突





















