
探讨尿道下裂尿道板周围尿道海绵体的组织形态学特征性改变。
选取2017年2月至2018年10月在我院诊治的尿道下裂男性患儿46例,年龄为(2.1±1.1)岁,年龄范围为9个月至4岁。其中,远端型20例,近端型26例。对照组6例来自尿道断裂外伤患儿,年龄(14±4.9)岁)。术中评估尿道板周围海绵体形态,并活检行HE、Masson、α-SMA、CD34免疫组化评估海绵体组织学特征。行TGF-β1的免疫组化、免疫印迹和qRT-PCR检测尿道下裂和对照组海绵体间质TGF-β1的表达情况。
远端型尿道下裂尿道板周围海绵体的宽度与近端型相比显著增宽[远端为(0.36±0.12)cm,近端为(0.18±0.10)cm,P<0.05]。组织学和血管组化结果提示尿道下裂尿道板周围尿道海绵体海绵窦结构异常,表现为血管腔隙宽大[对照组(7.20±1.12)μm,尿道下裂组(13.75±8.08)μm,P<0.05]、血管壁增厚[对照组(5.40±1.28)μm,尿道下裂组为(14.11±7.59)μm,P<0.05]、海绵窦血管密度减少(尿道下裂组为15.66±1.17,对照组为7.24±4.19,P<0.05)及海绵体小梁密度减少(尿道下裂组为9.80±1.92,对照组为3.68±2.87,P<0.05),尿道下裂中近端组较远端组结构变异程度明显。同时免疫组化结果提示尿道下裂尿道海绵体间质TGF-β1表达降低(P<0.05),免疫印迹和qRT-PCR结果同样显示近端型尿道下裂海绵体TGF-β1表达降低(均P<0.05)。
尿道下裂患儿尿道板周围尿道海绵体存在组织形态异常,其变异程度和尿道下裂严重程度呈现正相关趋势。
版权归中华医学会所有。
未经授权,不得转载、摘编本刊文章,不得使用本刊的版式设计。
除非特别声明,本刊刊出的所有文章不代表中华医学会和本刊编委会的观点。
尿道下裂是男性生殖结节雄性化不全导致的阴茎腹侧发育异常。尿道海绵体发育不全是其中一个重要的特征性改变[1,2]。一些学者对此做过初步研究,如形态特征方面,Gearhart等[3]认为尿道下裂患儿的尿道海绵体自尿道开口近端开始向阴茎头方向呈分叉样结构,走行于尿道板的深面和两侧。该分叉点近端的尿道海绵体形态正常。组织学方面,虽然Baskin等[4]描述了胎儿尿道海绵体和阴茎头的血管腔隙不规则扩大,但对分叉点远端的尿道板周围海绵体组织形态结构特点及其与尿道下裂严重程度的相关性缺乏研究。本研究拟进一步探讨不同严重程度尿道下裂病例的尿道板周围海绵体组织形态学差异,并与尿道下裂严重程度做相关性分析。
本研究经上海市儿童医院伦理委员会审核通过(编号:2018R070-E01),所有纳入对象的监护人均被充分告知并签署知情同意书。选取我院2017年2月至2018年10月诊治的尿道下裂男性患儿46例,根据阴茎脱套后尿道开口位置[5]分为远端型(尿道开口于阴茎头、冠状沟及阴茎体20例)和近端型(尿道开口于阴茎阴囊交界处、阴囊及会阴26例)。患儿年龄为(2.1±1.1)岁,年龄范围为9个月至4岁。另取6例无先天性疾病的后尿道断裂男性患儿的尿道海绵体组织做正常对照组,年龄(14±4.9)岁。
手术记录及取材均由同一主刀医生完成。阴茎脱套后观察尿道板周围海绵体的外观,测量其位于尿道海绵体分叉处两侧的海绵体宽度。取宽度平均值评估尿道板周围海绵体发育程度(图1)。取其中发育明显的一侧海绵体,在分离阴茎头翼过程中,取尖端组织(大小约0.2 cm×0.2 cm)进行组织学研究。


注:虚线部分为尿道板两侧尿道海绵体,箭头指示取材部位,三角形指示异位尿道口
兔抗人CD34多克隆抗体、兔抗人α-SMA多克隆抗体(美国Abcam公司),兔抗人TGF-β1多克隆抗体(美国Proteintech公司),BCA蛋白浓度测定试剂盒(上海碧云天生物技术有限公司),DAB试剂盒(福建迈新生物技术有限公司)。
组织标本保存于4%多聚甲醛溶液中6 h,石蜡包埋后连续切片,每隔10张切片选取1张行HE染色。HE染色结果由二位病理科主任医师在普通光学显微镜下观察,找出海绵体结构最明显的HE切片。将被选切片邻近的石蜡白片行Masson染色和免疫组化染色。采用DAB法行免疫组化染色,观察海绵体组织平滑肌肌动蛋白(α-SMA)、血管内皮标记物(CD34)和转化生长因子-β1(TGF-β1)的表达和分布情况。关键步骤为石蜡切片脱蜡水化后,采用柠檬酸抗原修复液(pH6.0)微波炉热沸修复,自然冷却后使用3%H2O2溶液阻断20 min,后BSA常温封闭30 min。一抗4℃孵育过夜,相应二抗室温孵育40 min,加上DAB显色液后镜下观察并终止显色。免疫组化阳性反应均表现为细胞(胞质、包膜)被染成黄色至棕黄色。苏木素复染细胞核,1%盐酸酒精分化。TGF-β1-IR评分方法为利用ImageJ软件将组化染色强度转化为平均光密度值(average optical density,AOD)进行比较。
利用蛋白免疫印迹法对5例对照组和6例近端型尿道下裂尿道海绵体样本TGF-β1进行检测。简要步骤如下:新鲜组织剪碎后加入RIPA蛋白裂解液使用低温匀浆机充分裂解,离心后吸取少量上清行BCA法测定蛋白浓度。电泳后将蛋白质转移到PVDF膜上,封闭(常温1 h)、一抗(TGF-β1,浓度1∶600)4℃孵育过夜、二抗室温1 h,ECL化学发光法显色。相对表达量采用灰度值比较方法。
利用RT-PCR检测对照组和近端型尿道下裂尿道海绵体样本的Tgf-β1基因表达情况。按照说明书步骤使用TRIzol试剂(Invitrogen Life Technologies, USA)提取海绵体组织总RNA。取总RNA 1 mg逆转录为cDNA(Takara)。TGF-β1基因引物序列为:F-GGCCAGATCCTGTCCAAGC,R-GTGGGTTTCCACCATTAGCAC;选择Gapdh作为内参基因,序列为:F-AGGTCGGTGTGAACGGATTTG,R-GGGGTCGTTGATGGCAACA。配置10μl的PCR扩增体系,包括2×SYBER Green PCR Master Mix 5μl、前引物和后引物各1 μl、样本cDNA 1 μl、双蒸水2 μl。反应程序为95℃预变性10 min,95℃变性10 s,60℃退火30 s,72℃延伸30 s,40个循环。使用2-ΔCt计算方法比较相对表达量差异。
二位病理科医师在HE及Masson染色下对海绵体的海绵窦血管密度、腔隙宽度、海绵窦血管厚度和小梁密度进行计数和测量。海绵窦血管密度(个/HP)测量方法为:200倍视野下选取具有典型的海绵窦区域,每一个海绵窦腔隙代表1根海绵窦血管,若有海绵窦相通则记为多根血管,视野边缘不完整血管腔亦为1根血管,观察3个视野取平均值。海绵窦腔隙宽度(μm)测量方法:每个切片选取3根典型的海绵窦血管进行宽度测量,最终宽度取平均值。海绵窦厚度(μm)测量方法:选择同上的3根血管,对每根血管最薄最厚处进行测量,最后得出该海绵窦血管厚度平均值。海绵体小梁密度(个/HP):在200倍视野下对红色平滑肌束进行计数,观察3个视野取平均值。
计量资料用Mean±SD表示,采用SPSS 23.0软件进行统计分析。数据若满足正态分布和方差齐性则采用非配对样本t检验或方差分析,否则采用秩和检验。利用Fisher精确检验比较两组构成比。P<0.05认为差异有统计学意义。
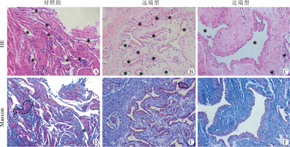
术中观察尿道板周围尿道海绵体外观,多数远端型海绵体形态饱满、颜色鲜红,而多数近端型海绵体形态扁平,颜色苍白(图1)。海绵体的分叉点位于尿道开口近端,分叉后海绵体向远端走行于尿道板深面和两侧。通过比较海绵体分叉处平均宽度来判断海绵体发育情况,远端型尿道下裂尿道板两侧尿道海绵体宽度值为(0.36±0.12)cm,近端为(0.18±0.10)cm,远端型明显宽于近端型(P<0.05),说明远端型海绵体发育较好。
尿道板两侧尿道海绵体和正常对照组尿道海绵体结构上存在差异(图2)。对照组标本海绵体结构一致,均呈现典型的"海绵样"外观:海绵窦血管致密、腔隙狭长、血管壁薄、存在相互沟通。尿道下裂组海绵体结构均发生改变:海绵窦排列松散、腔隙变宽大、血管壁增厚、海绵窦相互沟通减少。另外对照组存在海绵体小梁结构,尿道下裂组海绵体小梁减少。评估对照组和尿道下裂组海绵体海绵窦结构变化(表1),对照组和全部尿道下裂相比,四类指标均存在明显差异。近端组和远端组比较,近端组的海绵体变异程度比远端组明显。


注:*,海绵窦腔隙;虚线框内是海绵体小梁

对照组和尿道下裂尿道板周围海绵体评价指标统计(Mean±SD)
对照组和尿道下裂尿道板周围海绵体评价指标统计(Mean±SD)
| 分组 | 血管密度(个/HP) | 血管宽度(μm) | 血管厚度(μm) | 小梁密度(个/HP) |
|---|---|---|---|---|
| 尿道下裂远端型 | 9.93±3.49 | 11.07±3.38 | 10.59±3.24 | 3.69±2.97 |
| 尿道下裂近端型 | 4.20±2.92 | 18.96±10.45 | 17.42±9.83 | 3.68±2.88 |
| 对照组 | 15.66±1.17 | 7.20±1.12 | 5.40±1.28 | 9.80±1.92 |
| P值(对照组/尿道下裂) | <0.05 | <0.05 | <0.05 | <0.05 |
| P值(远端型/近端型) | <0.05 | <0.05 | <0.05 | >0.05 |
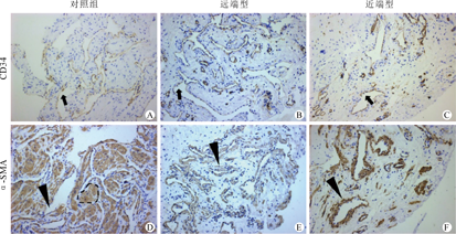
进一步利用CD34标记血管内皮、α-SMA标记血管平滑肌,研究尿道板两侧海绵体海绵窦血管壁增厚的成分,发现尿道下裂组和对照组中,CD34阳性细胞均单层贴附在血管管腔的内侧壁,血管内皮层厚度没有明显差异;而尿道下裂组比对照组的α-SMA阳性细胞层明显变厚(图3),提示尿道下裂组中海绵窦的血管壁增厚主要由血管壁肌层增厚造成。


注:箭头指向的是海绵窦血管内皮层;三角指向的是海绵窦血管肌层;不规则虚线框内是海绵体小梁
TGF-β1研究海绵体间质的变化。免疫组化结果提示对照组TGF-β1-IR强度最高,尿道下裂组TGF-β1-IR减弱,近端型尿道海绵体结构异常减弱程度较轻度明显(图4)。对照组AOD为0.5518±0.098,远端组为0.377±0.077,近端型为0.273±0.9855,三组组间差异有统计学意义(P<0.05),且远端型大于近端型(P<0.05)。蛋白免疫印迹法结果也提示对照组TGF-β1相对表达量显著高于近端型尿道下裂组(0.77±0.24比0.47±0.11,P<0.05),RT-PCR结果显示在转录水平尿道下裂海绵体的Tgf-b1基因表达同样低于对照组(P<0.05)。


尿道下裂是男性胚胎期生殖结节雄性化不全导致的先天畸形,外观上表现为:①尿道异位开口于阴茎头至会阴之间;②阴茎腹侧弯曲;③阴茎背侧包皮帽状堆积而腹侧包皮缺如。解剖上,尿道下裂异常包括:①管状尿道不同程度缺如,被尿道板取代;②在管状尿道的末端亦存在发育不良,失去了尿道海绵体组织包裹,仅是薄层皮肤覆盖;③尿道海绵体发生分叉,分叉点近端阴茎腹侧结构均正常[6,7]。Gearhart等[3]首次描述了尿道下裂尿道海绵体的形态学异常,远端尿道海绵体走行于尿道板的深面和两侧,向远端延伸连接阴茎头,其分叉点通常在尿道开口近端。Kureel等[8]通过磁共振成像也证实尿道海绵体在分叉后向远端延伸形成阴茎头。结合以上研究基础,本研究还发现多数远端型尿道下裂海绵体形态饱满、颜色鲜红,而多数近端型的海绵体形态更为扁平,颜色苍白。通过比较海绵体宽度评估海绵体发育情况,发现远端型尿道下裂海绵体比近端型更宽。另外,一些研究认为尿道下裂阴茎海绵体也可能存在结构异常。如Camoglio等[9]采用弹性超声评估尿道下裂患儿阴茎。发现尿道下裂阴茎海绵体直径较小,阴茎海绵体和尿道海绵体弹性减弱,并存在阴茎海绵体夹角差异。虽然需要组织学的进一步研究证明,但从影像学角度提示了尿道下裂的发育异常可能涉及除阴茎腹侧以外的其他部位。
组织学研究方面,van der Putte[10]初步描述了胎儿尿道海绵体的结构变异。他们发现尿道下裂尿道海绵体和阴茎头的血管腔隙不规则变大,而对照组中的血管为规则的小血管。本次研究中我们进一步探讨了这种结构改变。相对对照组海绵体呈现的典型"海绵样"外观:腔隙狭长、血管窦致密、海绵窦相互沟通、血管壁薄,尿道下裂组海绵窦血管密度减少、腔隙宽大、血管壁增厚、小梁减少(图2)。并且这种结构变异程度随尿道下裂严重程度加重而变得更为明显(表1)。因此,我们推测尿道下裂中尿道海绵体的发育可能与尿道发育相互影响。上皮-间质相互作用对胚胎发育至关重要[11],很有可能是尿道下裂中尿道和尿道海绵体发育不全的原因之一。如Kurzrock等[12]在动物研究中去除雄性胚胎小鼠生殖结节尿路上皮组织,失去尿路上皮和间质组织的相互作用最终导致胎鼠生殖结节发育停滞,没有形成正常的阴茎软骨(间质组织)。当补充尿路上皮后可促使生殖结节继续发育,阴茎软骨生长得到恢复。
而间质中的各种细胞因子及其信号通路也会影响尿道的发育[13,14]。本研究中尿道下裂组TGF-β1均较正常组表达减弱,且蛋白免疫印迹法和RT-PCR结果均提示近端型尿道下裂TGF-β1表达明显减少,提示TGF-β1信号异常涉及了疾病的发生。Han等[15]发现汉族尿道下裂人群的TGF-β1受体2基因多态性是尿道下裂发病的独立危险因素,说明了人类尿道发育需要TGF-β信号介导;Li等[16]的动物研究发现雄性胎鼠尿道褶有强烈TGF-β1表达,亦证实尿道褶融合过程需要TGF-β信号。另外,TGF-β还可以调节胚胎血管的发育,局部敲除导致血管发育紊乱,血管生长无组织性,管腔异常变大[17,18]。本研究中近端型尿道下裂海绵体间质TGF-β表达减少,可能是造成尿道海绵体血管发育畸形的原因之一。
总之,本研究结果进一步描述了尿道下裂尿道板周围尿道海绵体的组织形态学异常,而且这种结构变异与尿道下裂程度正相关。
所有作者均声明不存在利益冲突





















