
版权归中华医学会所有。
未经授权,不得转载、摘编本刊文章,不得使用本刊的版式设计。
除非特别声明,本刊刊出的所有文章不代表中华医学会和本刊编委会的观点。
例1 男,3岁,因左侧阴囊空虚入院,初诊为"左侧隐睾"。体格检查时于左侧阴囊及腹股沟区未触及睾丸组织。超声检查示:左侧阴囊空虚并左侧腹腔髂血管旁类睾丸样回声,左侧腹股沟杂乱回声(考虑腹股沟疝)。实验室检查示性激素在正常参考值范围内。入院后拟行"左侧睾丸下降固定术+疝囊高位结扎术"。术中于左侧睾丸引带处见一类睾丸样肿物(图1),大小约10 mm×6 mm×5 mm,质软,包膜完整,表面光滑,肿物与同侧主睾丸、附睾及输精管分离,同侧主睾丸、附睾无明显异常,给予切除肿物,同时下拉固定左侧主睾丸,结扎疝囊。术后病理检查报告:镜下见生精小管基底膜增厚,生精细胞及支持细胞减少,部分小管内生精细胞缺如,仅见少许支持细胞,睾丸间质增生,间质细胞减少,符合睾丸发育不良(图2)。患儿术后3 d出院,术后1个月复诊双侧睾丸、附睾未见明显异常。


例2 男,1岁2个月,因右侧阴囊空虚、左侧阴囊内肿物入院,诊断为"右侧异位睾丸"。体格检查时患儿右侧阴囊空虚,于右侧阴囊及腹股沟区均未触及睾丸,左侧阴囊发育可,阴囊内下方可触及睾丸,大小约10 mm×8 mm×7 mm,睾丸上方可触及两个类睾丸样肿物,最上方大小约8 mm×6 mm×6 mm,中部大小约6 mm×5 mm×4 mm;彩色超声检查示:右侧隐睾,左侧阴囊内睾丸上方睾丸样实性低回声(2个,考虑右侧睾丸横过异位合并多睾症),包膜光滑,形态规则,实质回声均匀;肿瘤标志物及性激素在正常范围内。术中见患儿左侧腹股沟区为2条精索血管及3枚睾丸样组织,右侧一条精索发育较差,较细,其末端可见一发育较差睾丸及附睾,睾丸大小约9 mm×7 mm×6 mm,左侧一条精索发育尚可,其末端可见两枚睾丸组织(图3),结合紧密,共享附睾及输精管,较大者约10 mm×7 mm×6 mm,较小者约6 mm×5 mm×4 mm,右侧精索血管及睾丸经阴囊中隔隧道固定于右侧阴囊内,左侧精索血管及睾丸固定于左侧阴囊内。患儿术后顺利出院。术后3个月及1、2、3年复查彩色超声均提示多睾症,双侧睾丸体积偏小(图4)。


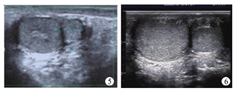
例3 男,4岁,因无意间发现右侧阴囊内肿物1月余就诊于我院门诊。查体见右侧阴囊内睾丸下方可及一类圆形肿物,大小约8 mm×7 mm×5 mm,边界清,质地较硬,活动度可,无触痛、按压痛。彩色超声检查示:双侧睾丸不等大,左侧大小约19 mm×16 mm×15 mm,右侧大小约14 mm×12 mm×11 mm,包膜光滑,回声均匀,右侧睾丸下方可见一大小约8 mm×6 mm×5 mm实性等回声,边界清晰,内回声均匀,与睾丸组织相类似(考虑多睾症)。实验室检查示甲胎蛋白及绒毛膜促性腺激素均在正常参考值范围内。采取保守治疗,定期复查。患儿采取保守治疗,每年复查一次彩色超声检查均提示多睾症(图5、图6),复查甲胎蛋白、绒毛膜促性腺激素均在正常参考值范围,随访5年至今,未见明显不适。


多睾症是指阴囊内除存在2个正常睾丸外,还有1个或1个以上额外睾丸,是一种罕见的先天性泌尿生殖系统畸形,目前文献报道约200例,其中以3个睾丸最为常见[1,2,3],也有更罕见的4、5个睾丸的情况[4,5,6,7]。1670年多睾症由Blasisus发现,1880年Ahlfeld首次进行组织学描述,1895年Lane于术中发现本病,其后多睾症逐渐被人们所认识[8,9,10]。多睾症不仅限于人类,也可发生在猫[11]、狗[12]、蜂鸟[13]等动物中。
多睾症的发生机制尚不完全清楚,可能是胚胎的生殖嵴在衍化成睾丸的过程中因某种因素使胚胎早期生殖嵴内上皮细胞索分裂所致[14,15]。睾丸发育取决于Y染色体短臂上的SRY基因,7周时SRY蛋白促使生殖脊分化形成睾丸,而附睾和输精管产生于第8周的中肾管[16,17]。如胚胎期6~8周时,睾丸始基分裂或附睾、输精管发育异常可能会导致多睾畸形[18]。
Leung[19]根据发生机制将多睾症分为4型,也有学者根据额外睾丸有无潜在的生殖能力把多睾症分为2型[20,21]。Bergholz和Wenke[22]提出了一个创新的分类方法,分为A型:额外睾丸有相连输精管;B型:额外睾丸无输精管相连。其中A型又分为A1:额外睾丸有独立附睾和输精管;A2:额外睾丸有独立附睾,与主睾丸共享输精管;A3:额外睾丸与主睾丸共享附睾和输精管;A4:额外睾丸有独立输精管,与主睾丸共享附睾。B型又分为B1:额外睾丸有独立附睾;B2:仅含有睾丸组织。例1患儿额外睾丸包膜完整,与左侧主睾丸、附睾及输精管分离,不与其共享附睾及输精管,也未见独立附睾和输精管,仅含有睾丸组织,属B2型。例2左侧两睾丸结合紧密,额外睾丸与主睾丸共享一个附睾及输精管,属于A3型。例3彩色超声检查可见右侧额外睾丸位于主睾丸下方,双侧附睾及精索无异常,可见右侧额外睾丸可能仅含有睾丸组织,或与主睾丸共享一个附睾及输精管,属于B2或A3型。
多睾症一般无特异性临床表现,常在合并隐睾、鞘膜积液、腹股沟疝、睾丸扭转、尿道下裂等疾病时偶然发现,有时可表现为阴囊或腹股沟区无痛性肿块[21]。额外睾丸可位于睾丸下降过程中的任何部位,但以阴囊处稍多(66%),其次为腹股沟区(23%)和腹腔(9%)[23]。多睾症左侧较右侧多见,可能是由于左侧睾丸体积较大以及独特的血管解剖,使其更易分裂[24,25]。例1入院初诊"左侧隐睾",手术治疗时偶然发现左侧腹腔额外睾丸;例2因右侧隐睾,左侧阴囊肿物,初诊"右侧异位睾丸",行彩色超声检查时发现右侧睾丸横过异位合并多睾症;例3因阴囊内肿物行彩色超声检查时发现额外睾丸。3例均无特异性临床症状;2例额外睾丸位于左侧,1例位于右侧;2例位于阴囊,1例位于腹腔,与文献报道相符。因此,当诊断阴囊或腹股沟区肿块时,应考虑多睾可能,但需与附睾囊肿、精索静脉曲张、肿瘤和睾丸横过异位等相鉴别[24]。超声和磁共振等影像学检查有助于多睾症的诊断和鉴别诊断[23]。超声表现为与正常睾丸相似回声和血流信号[3]。磁共振表现为T1加权像中等强度信号,T2加权像高强度信号[24]。本文中2例彩色超声检查均发现额外睾丸,1例在行彩色超声检查时因设备或技术原因未发现额外睾丸,3例因经济原因均未行磁共振检查。
青春期前未下降的非功能性睾丸恶变率约为2.2%,青春期后则显著上升至5.4%[25]。与正常睾丸相比,额外睾丸发生恶变的概率较高,约为6%[26,27]。其中,非阴囊内额外睾丸恶变率可达7%[28];睾丸恶变种类以胚胎癌、生殖细胞瘤、睾丸腺瘤和精原细胞瘤多见,横纹肌肉瘤则较少[9]。由于多睾症发生率较低,且常常在合并其他疾病时偶然发现,所以额外睾丸的大小、位置、与同侧主睾丸的关系、生殖功能、恶变潜力、病人年龄及其家属意愿等因素都将影响其治疗方案的选择。早期临床实践中多考虑额外睾丸扭转及恶变风险,因此不管额外睾丸位置如何,常采用手术切除治疗策略[7]。随着对多睾症认识的加深及超声等影像技术的进步,定期随访观察经济、便捷、可行,保守治疗成为可能。2009年Bergholz和Wenke[22]在对140例多睾症进行的回顾性分析中发现额外睾丸癌变多位于腹部或腹股沟区,并提出根据额外睾丸的位置决定手术治疗还是保守治疗,位于阴囊外行手术切除,位于阴囊内除非有明显临床症状或影像学提示恶性肿瘤则行保守治疗并定期随访观察。如今,多睾症的治疗策略越来越趋向于随访观察保守治疗,而无需手术探查[29]。具体方案为:位于阴囊内多睾不伴随其他疾病、肿瘤标志物阴性、超声图像无明显异常、年龄较小者均可采用保守治疗,定期行随访和影像学检查;非阴囊内多睾恶变概率较大或多睾合并扭转时应及时手术治疗。本文中例1由于术中偶然发现左侧额外睾丸,体积相对较小,与左侧主睾丸、附睾粘连少,未见独立附睾和输精管,且位于腹腔内,恶变率较高,与家属沟通后要求切除额外睾丸,遂采取手术切除策略。例2右侧阴囊空虚、左侧阴囊内肿物入院,肿瘤标志物及性激素在正常参考值范围,彩色超声检查提示右侧睾丸横过异位合并多睾症,术中可见2条精索及3枚睾丸,左侧精索发育尚可,其末端可见2枚睾丸组织,结合紧密,共享附睾及输精管,遂将双侧精索及睾丸固定于阴囊内,采取保留额外睾丸,随访观察策略。例3表现为阴囊内肿物,行彩色超声检查证实为多睾症,不伴有其他疾病,额外睾丸位于阴囊,考虑患儿年龄较小且未诉明显不适,采取保守治疗,定期观察。
总之,多睾症是一种较为罕见的生殖系统畸形,病因及发病机制尚不完全清楚,分类方法多种多样,一般无特异性临床表现,常在合并其他疾病时偶然发现,或触及阴囊内无痛性肿块,超声和磁共振检查有助于多睾症的诊断及鉴别诊断。治疗策略应综合患儿年龄、额外睾丸位置、生殖能力、恶变风险及患儿及家属意见等而制定。手术切除可防止额外睾丸发生扭转或癌变可能,保守治疗并随访观察避免了手术对机体造成的创伤,且部分额外睾丸具有正常生精功能。我们认为,如额外睾丸位于阴囊,无异常临床表现及辅助检查时应保守治疗随访观察;如额外睾丸位于非阴囊内,或伴有额外睾丸扭转、肿瘤等其他疾病时应及时手术切除。但多睾症的治疗策略仍需进一步探讨。
所有作者均声明不存在利益冲突





















