
武汉儿童医院为一例首发症状为急性阑尾炎的隐匿新型冠状病毒肺炎患儿进行了急诊腹腔镜阑尾切除术。术后肺部CT所示:右肺下叶背段见一类圆形致密影,边缘略呈磨玻璃样改变。咽拭子2019新型冠状病毒(SARS-CoV-2)核酸检测呈阳性,COVID -19诊断成立。患儿发病前与确诊为COVID -19的祖母密切接触,提示家庭内传播是儿童2019-nCoV感染的重要传播途径。本例患儿发病初期新型冠状病毒肺炎呼吸道症状不明显,早期以恶心、呕吐、腹痛为主。在疫情未结束之前,来自疫区或有接触史,涉及外科急症需要手术的患儿,术前肺部CT检查筛查新型冠状病毒肺炎非常必要。
版权归中华医学会所有。
未经授权,不得转载、摘编本刊文章,不得使用本刊的版式设计。
除非特别声明,本刊刊出的所有文章不代表中华医学会和本刊编委会的观点。
患儿 男,5岁7个月,因"持续性右下腹腹痛18 h"于2020年2月4日急诊入院。患儿于2020年2月3日晚无明显诱因持续性右下腹痛,疼痛进行性加重,拒按,休息及排便后无明显缓解,伴恶心、呕吐一次,为胃内容物,量少。无发热及腹泻。患儿母亲联系物业及社区后,转运至我院急诊就诊。腹部CT平扫提示"阑尾炎、阑尾粪石",以"急性阑尾炎"收入普外科。入院时家属诉患儿既往身体健康,无基础疾病,按计划免疫接种。否认有新型冠状病毒肺炎患者接触史。入院体格检查:体温36.8℃、心率92次/min、血压102/74 mmHg(1 mmHg=0.133 kPa)、呼吸24次/min、外周脉搏血氧饱和度(SpO2)98%。神志清楚,全身浅表淋巴结未见肿大。心音正常,各瓣膜区未闻及杂音。双肺呼吸运动均匀对称,双肺呼吸音清,未闻及干湿啰音及胸膜摩擦音。腹部平坦,未见胃肠型;右下腹压痛明显,反跳痛阳性,腹肌稍紧,未扪及包块;移动性浊音阴性;肠鸣音正常,4次/min;双下肢无出血点。入院后完善术前检查:血液分析(五分类)检查示白细胞总数16.09×109/L,中性粒细胞总数13.97×109/L,中性粒细胞百分数86.7%,淋巴细胞总数1.38×109/L,淋巴细胞百分数8.6%,单核细胞总数0.69×109/L,单核细胞百分数4.3%,红细胞4.50×1012/L,血小板278×109/L;肝功能检查示丙氨酸氨基转移酶(alanine aminotransferase,ALT)20 U/L,天冬氨酸氨基转移酶(alanine aminotransferase,AST) 31 U/L;肾功能、血糖、凝血象、电解质、心电图正常;胸部X线片未见明显异常。已与患儿家属沟通并签署知情同意书。
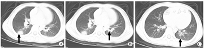
完善术前准备后拟行腹腔镜下阑尾切除术。术前测量体温时,发现患儿体温达38℃,手术医生见患儿母亲神情紧张,反复追问病史,患儿母亲诉患儿祖母已临床诊断为新型冠状病毒肺炎,正在隔离治疗中。患儿曾于2020年1月24日(除夕夜)与其祖母吃年夜饭时接触,后未再接触。考虑患儿为新型冠状病毒肺炎患者密切接触者,有发热症状,不能排除新型冠状病毒感染,立即予以安排单间隔离,同时通知手术室、麻醉科,所有接触医务人员均加强防护(穿防护服、佩戴护目镜、医用防护口罩、鞋套等)。密切接触人员单间隔离,病区内全部患儿及家属戴口罩和加强手卫生防护。完善准备工作后,患儿于2020年2月4日晚20点40分在喉罩全身麻醉下行腹腔镜下阑尾切除术,术中见阑尾化脓,中段穿孔,右下腹局限性腹膜炎,手术顺利。术后给予抗感染、补液等对症支持治疗。患儿2020年2月5日晨出现咳嗽、低热。考虑患儿系疑似新型冠状病毒肺炎,进一步行胸部CT平扫提示右肺下叶背段见一类圆形致密影,边缘略呈磨玻璃样改变,截面大小约12 mm×20 mm(图1A);右肺上叶后段近胸膜处见小片状淡薄影,左肺下叶局部见条状影(图1B);双侧胸膜下见弧形致密影(图1C)。影像学诊断:病毒性肺炎,建议进行病原学检查,短期复查。患儿随即转入传染病区疑似病房,行咽拭子2019新型冠状病毒(2019-nCoV)核酸检测,予以普米克及干扰素雾化、头孢哌酮抗感染治疗,并监测血氧饱和度。2020年2月6日患儿仍有咳嗽、发热,无胸闷气促,无呕吐、腹痛、腹泻;首次咽拭子核酸检测呈阴性。同时,患儿祖母于武汉市某医院住院治疗,查得咽拭子病毒核酸检测阳性。2020年2月6日第2次取患儿咽拭子标本行2019-nCoV核酸检测,结果为阳性。2020年2月7日患儿咳嗽较前稍缓解,仍有发热,最高体温39℃,予以双氯芬酸钠栓纳肛后可缓慢降至正常,大便黄稀,尿量可;同时行第3次咽拭子2019-nCoV核酸检测。2020年2月8日患儿仍有轻微咳嗽,间断发热,最高体温39℃。第3次咽拭子核酸检测再次阳性,间隔24 h以上2次新型冠状病毒核酸检测阳性,患儿明确诊断新型冠状病毒肺炎,随即转入传染病区确诊病区治疗。2020年2月10日患儿精神、食欲较前变好,轻微咳嗽,未再发热,未诉胸闷及乏力,无呕吐、腹痛、腹泻,大小便正常,咽拭子2019-nCoV核酸检测阴性。2020年2月12日患儿再次行咽拭子2019-nCoV核酸检测阴性。2020年2月14日患儿精神反应、食欲明显好转,无发热,无咳嗽及咳痰,无胸闷、气促,无呕吐及腹泻,大小便正常。患儿临床症状好转,连续2次复查咽拭子2019-nCoV核酸检测阴性,达出院标准,予出院。嘱注意饮食,避免受凉及再感染,居家隔离2周。


新型冠状病毒感染初期引起重视的病例主要为肺炎表现,后续在确定人-人的传播过程中,发现其临床表现不仅仅为肺炎,轻症病例和无症状病原携带者陆续出现,WHO根据疾病谱特征建议将其命名为"COVID -19"[1,2]。与严重急性呼吸综合征(severe acute respiratory ayndrome,SARS)和中东呼吸综合征(middle east respiratory syndrome,MERS)比较,新型冠状病毒肺炎的致死率较低,但传染性更强。值得特别关注的是,SARS和MERS都曾在医疗机构内流行,并造成十分严重的后果,甚至直接导致医务人员和普通住院病人的死亡[3,4,5]。来自武汉大学中南医院的一篇最新的回顾性临床研究同样指出,医院相关性感染所导致的新型冠状病毒肺炎并不少见,占所报道病例的41.3%(57/138),其中医护人员感染40例(29.0%)[6]。在发生院内感染的医护人员中,31例(77.5%)来自普通病房,7例(17.5%)来自急诊科,2例(5.0%)来自重症监护病房[6]。医疗机构的普通病房欠缺相应隔离措施很难杜绝疫情蔓延。儿童病毒感染后症状不典型,有时合并外科急腹症,使得这部分患儿更加隐匿,容易因为漏诊而进入防护不够的普通病房导致院内感染暴发。我院作为新型冠状病毒肺炎患儿定点收治单位,按照收治患儿不同分为新型冠状病毒肺炎疑似病区、新型冠状病毒肺炎确诊病区和普通病区,并根据级别不同采取了相应防护措施。普外科为普通病区,所有医护人员按照要求规范常规行一级防护。接诊医生在发现本例可疑病例后加强了防护,并参与了手术。接诊的所有医护人员,手术结束后观察至2020年2月19日,尚未发现感染者。
2019-nCoV感染潜伏期为1~14 d,98.6%的患者有发热,但并非首发症状[6]。新型冠状病毒肺炎患者早期常有乏力表现,但在儿童中乏力常难以评估。复旦大学樊嘉团队的RNA-seq数据分析提示:人体消化道高表达ACE2,而ACE2为2019-nCoV结合并感染细胞的重要受体[7]。根据媒体报道,钟南山院士团队也已从患者粪便中分离出活病毒[8]。人体口咽部为消化道和呼吸道共同通道,这些均提示新型冠状病毒可导致胃肠道感染。儿童新型冠状病毒肺炎患者早期肺部体征和发热不明显使其更具有迷惑性,且可能以呕吐、腹泻等消化道症状为首发表现。本例首发症状即为恶心、呕吐,呼吸道症状及体征均不明显,胸部X线片亦未见特异性表现。以消化道症状首次就诊的儿童,如有阳性患者接触史需高度怀疑2019-nCoV感染可能。
武汉此次疫情暴发时间为儿童寒假期间,儿童密切接触人群相对成人简单,外出感染机会相对成人较少,往往在家庭第一代感染人员之后感染,且呼吸道症状轻微不易发现,而家庭成员中成人可能发病较儿童患者早、并且症状明显。本例呼吸道症状不典型,但与患有新型冠状病毒肺炎的祖母有明确的密切接触史。接诊初期由于家长认识局限、担心拒诊的顾虑、险些造成严重后果。反复追问病史,最终依靠接触病史和肺部CT初步临床诊断,最终通过咽拭子2019-nCoV核酸检测阳性予以确诊。因此,家庭聚集性发病应引起重视,详细询问家庭成员患病史非常重要。
低龄儿童多存在体格检查不配合、描述不清晰、呼吸道症状体征不明显等问题,尤其是以急腹症为首发表现且合并2019-nCoV感染的患儿,使得疫情下合理安排手术更加困难。有专家建议常规行肺部CT扫描来筛查新型冠状病毒肺炎。在成人,新型冠状病毒肺炎患者肺部CT具有特征性的片状阴影或毛玻璃样改变[9]。但儿童患者肺部CT表现没有成人典型,病灶相对局限,弥漫性分布相对较少,部分呈淡薄云雾状[10]。本例CT表现为局限性病灶,仅在病灶边缘略呈毛玻璃样改变。病毒核酸检测和高通量测序对于确诊新型冠状病毒肺炎至关重要,但在临床实际操作过程中假阴性过高、耗时长。在急诊情况下依靠常规核酸检测来确诊和排除新型冠状病毒感染不现实,只能严格把控急症手术指征,对怀疑感染病例按照疑似感染病例进行收治防护,并于后期尽早进行病原学检测明确诊断和治疗。
总之,目前无法确定2019-nCoV感染是否和急性阑尾炎直接相关。但本例患儿腹部症状在肺部症状前出现,依据接触史和肺部CT提示患儿2019-nCoV感染期间合并急性阑尾炎,并最后确诊。因此,临床高度怀疑新型冠状病毒肺炎时,应高度重视消化道症状可能为首发表现。详细的家庭成员病史非常重要,家庭聚集性发病为其重要特点。在疫情未结束前,对于来自疫区或有接触史,涉及外科急症需手术的病人,术前肺部CT检查对于筛查新型冠状病毒肺炎非常必要。
所有作者均声明不存在利益冲突





















