
探讨NF-κB信号转导通路在先天性巨结肠(Hirschsprung's disease,HSCR)相关性小肠结肠炎(Hirschsprung's disease associated enterocolitis,HAEC)发病中的作用。
选择21日龄Ednrb基因敲除小鼠(Ednrb-/-小鼠)建立HSCR小鼠模型作为实验组,以相同日龄野生型小鼠作为对照组,每组各6只。收集结肠标本,依据形态将实验组小鼠结肠分为狭窄段及扩张段,对照小鼠肠管相应分为结肠远段、近段。采用HE染色法检查结肠组织的病理改变;采用酶联免疫吸附法定量分析各组结肠组织的乙酰胆碱含量;采用蛋白质印迹法检测结肠组织磷酸化ⅠκBα(p-ⅠκBα)、ⅠκBα、TNF-α蛋白的表达水平;采用实时荧光定量聚合酶链反应(RT-qPCR)检测结肠组织ⅠκBα mRNA的水平。
对照组小鼠结肠远段和近段结肠组织炎症损伤的病理评分均为0级,实验组小鼠结肠狭窄段为Ⅱ级或更低,而扩张段为Ⅲ级或更高,结果显示HAEC主要发生在结肠的扩张段。实验组小鼠扩张段结肠组织p-ⅠκBα、ⅠκBα、TNF-α蛋白的相对表达量分别0.208±0.058、0.068±0.013和2.230±0.142,狭窄段结肠组织分别为0.099±0.030、0.046±0.014和0.135±0.011,扩张段较狭窄段结肠组织均显著升高,差异均有统计学意义(P<0.05);实验组小鼠扩张段结肠组织ⅠκBα mRNA的表达水平明显高于狭窄段,差异有统计学意义(P<0.05);实验组小鼠扩张段结肠组织乙酰胆碱含量下降,狭窄段升高,两者差异有统计学意义(P<0.05)。
HSCR小鼠模型结肠扩张段的炎症程度较狭窄段严重,其机制与NF-κB信号转导通路被激活有关;而狭窄段炎症较轻,与NF-κB信号转导通路被抑制有关,为HAEC的治疗提供新的思路和靶点。
版权归中华医学会所有。
未经授权,不得转载、摘编本刊文章,不得使用本刊的版式设计。
除非特别声明,本刊刊出的所有文章不代表中华医学会和本刊编委会的观点。
先天性巨结肠(Hirschsprung's disease,HSCR)是由于结肠远段神经节细胞的缺如引起便秘为主要临床症状的一种消化道发育畸形,其主要的并发症是HSCR相关性小肠结肠炎(Hirschsprung's disease associated enterocolitis,HAEC),该并发症是导致HSCR患儿死亡最多见的原因。引起HAEC的原因和机制尚不明了,与之相关的因素甚多,如肠梗阻、细菌毒素、粘蛋白的改变、局部免疫功能低下以及肠黏膜屏障的损伤等[1]。我们前期的研究表明,在HSCR小鼠模型中,肠壁巨噬细胞活化可能与扩张段肠管组织的损伤相关,但具体胞内分子机制并不甚清楚[2]。而NF-κB是一种非常重要的核转录因子,在炎症过程中对许多相关信号分子的表达发挥着重要的调控作用,影响炎症性疾病的发生发展。本研究中,我们旨在探讨NF-κB信号转导通路在小鼠HSCR相关性HAEC中的作用及其机制,为临床治疗儿童HAEC提供新思路和靶点。
无固定病原体级(SPF级)Ednrb基因敲除小鼠(背景小鼠为B6:129)培育和繁殖于华中科技大学同济医学院动物实验中心[批号:SCXK(湖北)2014-0004],首批基因敲除鼠是由美国俄亥俄州立大学全国儿童医院捐赠。本研究遵循赫尔辛基宣言的原则。
乙酰胆碱试剂盒,甘油醛-3-磷酸脱氢酶(GAPDH),组蛋白H3,辣根过氧化物酶(HRP)标记的山羊抗兔IgG,HRP标记的山羊抗大鼠IgG,HRP标记的山羊抗小鼠IgG,HRP标记的驴抗山羊IgG,磷酸化的蛋白酶抑制剂,抗肿瘤坏死因子α(TNF-α)抗体、引物和RNA提取物全部购于武汉赛维尔生物科技有限公司;FastStart Universal SYBR Green Master(Rox)、RevertAid First Strand cDNA Synthesis Kit、HyPure™ Molecular Biology Grade Water分别购于(罗氏公司,瑞士)、(赛默飞公司,美国)及(HyClone公司,美国)。
筛选出Ednrb基因敲除小鼠的杂合小鼠,杂交后获得纯合小鼠。6只21日龄纯合小鼠(Ednrb-/-小鼠)作为HSCR模型小鼠(实验组),对照组选用6只相同日龄的野生型小鼠。
脊髓脱臼法处死小鼠,切取结肠后洗净,根据形态将实验组结肠分为狭窄段和扩张段,对照组相对应的肠段分为远段和近段(图1)。各段标本分为4段,分别用于小鼠结肠组织病理学检查,结肠组织TNF-α、NF-κB抑制蛋白(IκBα)、磷酸化NF-κB抑制蛋白(p-IκBα)的蛋白水平和IκBα mRNA表达水平及乙酰胆碱含量的检测。


取小鼠结肠组织标本,经甲醛固定、石蜡包埋、HE染色,于光镜下观察结肠的病理学变化。采用Teitelbaum等[3]所述的标准(表1)评估两组小鼠结肠组织的炎症损伤程度。病理评分高于或等于Ⅲ级判断为HAEC,并用于后续实验。

结肠组织病理学分级系统
结肠组织病理学分级系统
| 分级 | 组织病理学表现 |
|---|---|
| 0级 | 无异常 |
| Ⅰ级 | 隐窝扩张和粘蛋白潴留 |
| Ⅱ级 | 隐窝炎或两个隐窝脓肿 |
| Ⅲ级 | 多个隐窝脓肿 |
| Ⅳ级 | 纤维化脓性碎屑及黏膜溃疡 |
| Ⅴ级 | 坏死或穿孔 |
采用蛋白质印迹法进行检测。用RIPA裂解液(含1%PMSF)提取两组小鼠结肠组织的总蛋白,采用BCA法测定蛋白浓度;蛋白样本变性后经SDS-PAGE电泳、转膜;而后将膜转至含5%脱脂奶粉的封闭液中,于室温下脱色摇床摇动封闭1 h,后用TBST溶解的5%脱脂牛奶稀释一抗(TBST溶解的5%BSA稀释磷酸化蛋白)在4℃冰箱中孵育过夜,再用TBST稀释二抗在室温下孵育30 min,最后在室温下脱色摇床在TBST中摇动清洗5 min(共3次)。将ECLA和ECLB两种显色液在保鲜膜上等体积混合,1 min后将膜与混合好的显色液反应,后将膜取出在暗室中曝光、显影、定影后进行分析。以目的蛋白与内参β-actin的密度比值作为目的蛋白的相对含量,并进行组间比较。
采用RT-qPCR测定IκBα的mRNA水平。Trizol试剂提取两组小鼠结肠组织的总RNA,Nanodrop 2000测定RNA浓度及纯度。RNA定量后,用RevertAiM-MuLV逆转录酶将RNA模板逆转录成cDNA。采用RT-qPCR检测mRNA表达量。结果处理用ΔΔCT法:A=CT(目的基因,待测样本)-CT(内标基因,待测样本),B=CT(目的基因,对照样本)-CT(内标基因,对照样本),K=A-B,表达倍数=2-K。GAPDH上游引物:5'-CCTCGTCCCGTAGACAAAATG-3';下游引物:5'-TGAGGTCAATGAAGGGGTCGT-3'。IκBα上游引物:5'-CCGCACAGCCATGTTTCAG-3';下游引物:5'-CATGGAGTCCAGGCCGCTGTCGTG-3'。PCR反应条件:预变性95℃10 min;循环(40次)95℃15 s,60℃60 s;熔解曲线60℃至95℃,每15 s升温0.3℃。
采用酶联免疫吸附试验(ELISA)测定两组小鼠结肠组织的乙酰胆碱水平,严格按照乙酰胆碱试剂盒操作说明书进行标准测量,酶标仪为Synergy公司的HI型号。
采用SPSS(20.0版)软件进行统计学处理,计量资料以Mean±SD表示,组间比较采用t检验,P<0.05为差异有统计学意义。
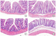
实验组小鼠结肠狭窄段中黏膜下神经丛和肌间未见神经节细胞,神经丛失去正常形态且增厚明显;而在扩张段中神经丛神经节细胞形态正常,且数目减少。对照组中各个结肠段神经丛神经节细胞正常,结构正常,胞质丰富,胞核大而圆。结肠组织炎症损伤的病理评分:对照组小鼠结肠远段和近段均为0级;实验组小鼠结肠的狭窄段为Ⅱ级或更低,而扩张段为Ⅲ级或更高。该结果显示HAEC主要发生在结肠的扩张段(图2)。


对照组小鼠近段与远段结肠组织中p-IκBα、IκBα、TNF-α的蛋白表达水平的差异均无统计学意义(P>0.05)(图3,表2)。实验组小鼠扩张段结肠组织中p-IκBα、IκBα、TNF-α的蛋白表达水平较狭窄段结肠组织升高,差异均有统计学意义(P<0.05)(图3,表2)。

两组小鼠结肠组织p-IκBα、IκBα、TNF-α蛋白相对表达量的比较(Mean±SD)
两组小鼠结肠组织p-IκBα、IκBα、TNF-α蛋白相对表达量的比较(Mean±SD)
| 组别 | n | p-IκBα | IκBα | TNF-α |
|---|---|---|---|---|
| 实验组狭窄段 | 6 | 0.099±0.030a | 0.046±0.014a | 0.135±0.011a |
| 实验组扩张段 | 6 | 0.208±0.058 | 0.068±0.013 | 2.230±0.142 |
| 对照组远段 | 6 | 0.075±0.029 | 0.057±0.019 | 0.212±0.016 |
| 对照组近段 | 6 | 0.109±0.037 | 0.047±0.008 | 0.164±0.012 |
注:a,与实验组扩张段比较,P<0.05


注:EDNRB-D,实验组小鼠狭窄段结肠组织;EDNRB-P,实验组小鼠扩张段结肠组织;WT-D,对照组小鼠远段结肠组织;WT-P,对照组小鼠近段结肠组织
对照组小鼠近段与远段结肠组织IκBα mRNA表达水平的差异无统计学意义(P>0.05)。实验组小鼠扩张段结肠组织IκBα mRNA表达水平较狭窄段显著升高,差异有统计学意义(P<0.05)(图4)。


注:EDNRB-D,实验组小鼠狭窄段结肠组织;EDNRB-P,实验组小鼠扩张段结肠组织;WT-D,对照组小鼠远段结肠组织;WT-P,对照组小鼠近段结肠组织;a,EDNRB-D与EDNRB-P相比,P<0.05;b,WT-D与WT-P相比,P>0.05
对照组小鼠远段和近段结肠组织中乙酰胆碱含量的差异无统计学意义(P>0.05)。实验组小鼠扩张段结肠组织的乙酰胆碱含量较狭窄段结肠组织显著下降,差异有统计学意义(P<0.05)(图5)。


注:Ach,乙酰胆碱;EDNRB-D,实验组小鼠狭窄段结肠组织;EDNRB-P,实验组小鼠扩张段结肠组织;WT-D,对照组小鼠远段结肠组织;WT-P,对照组小鼠近段结肠组织;a,EDNRB-D与EDNRB-P相比,P<0.05;b,WT-D与WT-P相比,P>0.05;c,每μg组织含有多少μg乙酰胆碱
HSCR是结肠远端或直肠的肠管由于缺乏神经节细胞处于持续痉挛状态,近端结肠粪便淤滞导致肠管扩张、肥厚,是儿童常见的消化道畸形[4,5]。HAEC是引起HSCR患儿最严重和最常见的病因,但发病机制目前尚未明确,可能的相关因素有感染、黏膜免疫缺陷及机械性梗阻等,而且免疫细胞及分泌的细胞因子参与了HAEC的发生发展过程。肠道黏膜是机体抵御肠道细菌、病毒等微生物感染的第一道防线,定植于肠道固有层的巨噬细胞参与多种免疫炎症反应,在抵抗病原菌过程起着关键作用,维护肠道微生态平衡,保障正常生理功能[6]。
由于HSCR的扩张肠段黏膜屏障受损,致使病原微生物趁机进入固有层,激活定居的巨噬细胞产生适应性免疫反应,并募集血液中的单核细胞释放大量炎症因子,导致组织的损伤。在炎症反应中,巨噬细胞起着重要的作用,肠道脂多糖通过与巨噬细胞Toll样受体4(TLR4)结合引发巨噬细胞活化,从而活化丝裂原活化蛋白激酶(MAPK)信号通路和NF-κB,导致细胞因子白细胞介素-6(IL-6)、TNF-α等产生[7]。NF-κB是众多细胞因子和炎症介质表达的主要转录因子,在许多炎症因子及生长因子的表达调节中起着关键作用。IκBα的磷酸化是NF-κB活化的重要标志,也是日前发现的NF-κB活化的最重要途径。Ednrb-/-小鼠模型是研究HSCR肠炎发病机制非常好的模型,表现为远端结肠细小,近端扩张明显,小鼠在21日龄时尤为明显,且体重较野生型轻[8](图1)。在我们前期研究的基础上,本研究中我们进一步发现扩张段结肠组织TNF-α、p-IκBα、IκBα蛋白及IκBα mRNA的表达水平较狭窄段升高,从胞内机制方面提示实验组小鼠结肠组织炎症主要发生在扩张段。
人类HSCR在无神经节段肠管的乙酰胆碱转移酶明显高于有神经节段,在无神经节段肠管的神经元型一氧化氮合酶明显低于有神经节段,而且这些神经递质的改变在HSCR动物模型中也得到证实[9,10]。乙酰胆碱对免疫细胞产生效应的主要受体为α7nAChR。α7nAChR在多种免疫细胞(如巨噬细胞、T淋巴细胞、树突状细胞、肥大细胞等)上均有表达,对巨噬细胞活化的抑制作用则尤为突出[11,12,13]。研究还发现,肠道中胆碱能神经纤维周围密集分布着α7nAChR表达阳性的巨噬细胞,这为乙酰胆碱通过α7nAChR抑制巨噬细胞的活化奠定了形态学基础[14]。本研究结果也提示了HSCR小鼠结肠中乙酰胆碱的含量变化具有位置差异性,但与炎症发生部位相反,其在扩张段含量下降,而在狭窄段含量明显升高。结合我们前期的研究(在HAEC中,巨噬细胞M1型在近段结肠百分比明显增加,而M2型在远段结肠较近段高),提示巨噬细胞参与了远近段结肠炎症反应的调节,而该调节机制与乙酰胆碱有关[2]。
巨噬细胞是参与炎症反应过程的主要靶细胞,而通过活化巨噬细胞表面的α7nAChR能够起到抗炎的作用,α7nAChR被乙酰胆碱激活后明显抑制TNF-α、IL-1β、IL-6、高迁移率族蛋白B1(HMGB1)等,是其介导抗炎作用的主要机制[15]。目前认为,α7nAChR的激活主要影响NF-κB通路,α7nAChR被激活可迅速抑制NF-κB及蛋白激酶被激活,阻止IκB被磷酸化,从而保持它对NF-κB的抑制性,进而抑制促炎症因子TNF-α等的产生[16,17]。本研究中我们发现HSCR小鼠狭窄段肠壁乙酰胆碱含量相对增高,但炎症较轻,推测激活了巨噬细胞α7nAChR,使p-IκBα、IκBα蛋白及IκBα mRNA的表达水平下降,从而抑制了NF-κB,进而抑制TNF-α的产生。
综上所述,HSCR小鼠模型中炎症主要发生于扩张段,与NF-κB炎症通路被激活相关,而狭窄段炎症相对较轻,与巨噬细胞α7nAChR被乙酰胆碱激活后抑制NF-κB炎症通路相关,为HAEC的治疗提供新的思路和靶点,但其分子机制仍需进一步深入研究,如巨噬细胞何时表现为针对微生物的免疫反应及机体的免疫损伤,何时又参与机体的修复起到抗炎的作用。
所有作者均声明不存在利益冲突





















