
探讨儿童脾囊肿的诊治情况,提升临床治疗效果。
收集2014年1月至2021年1月上海儿童医学中心普外科收治的入院诊断为脾囊肿的14例患儿临床资料。其中,男10例,女4例,年龄为(8.7±3.1)岁,术前病程时间为(5.1±4.7)个月。术前腹痛8例,余6例无临床症状。术前均行B型超声和腹部增强CT检查,其中3例术前行腹部磁共振成像(magnetic resonance imaging,MRI)检查。按术中是否输血,将患儿分为输血组(5例)和未输血组(9例)。收集患儿的年龄、性别、临床症状、手术前病程时间、术前影像学检查结果、手术方式、手术时间、输血情况、并发症、术后引流管置管时间、病理诊断、术后住院天数、出院后影像学随访结果。
开放手术4例,腹腔镜手术10例,其中2例腹腔镜手术中转开放手术。本研究患儿手术时间为(125.4±52.9) min,输血组手术时间明显长于未输血组,(176.0±49.2 )min比(97.2±29.1) min,差异具有统计学意义(P=0.002)。术后病理诊断为假性囊肿4例,先天性囊肿10例,10例中表皮样囊肿1例,皮样囊肿9例,无并发症。术后引流管置管时间为(5.1±1.7) d,术后住院时间为(7.9±3.4) d。术后引流管置管时间、术后住院时间在输血组和非输血组之间的差异均无统计学意义(P>0.05)。术后1、3、6个月复查B型超声,随访时间为(20.8±10.3)个月,术后复发1例,病理诊断为皮样囊肿,再次行腹腔镜手术治疗,完整切除脾脏。
对于脾囊肿行保脾手术存在一定的复发率,需密切随访,必要时再次手术切除脾脏。
版权归中华医学会所有。
未经授权,不得转载、摘编本刊文章,不得使用本刊的版式设计。
除非特别声明,本刊刊出的所有文章不代表中华医学会和本刊编委会的观点。
脾囊肿是一种在临床中少见的脾占位性病变,多见于儿童和青壮年,大多无任何症状,常在影像学检查时偶然发现。囊肿较大时可有腹痛、呕吐等临床表现。根据囊壁内有无上皮细胞分为真性脾囊肿(原发性脾囊肿)和假性脾囊肿(继发性脾囊肿),假性脾囊肿通常在外伤后发生,真性脾囊肿分为寄生虫性脾囊肿和非寄生虫性脾囊肿,非寄生虫性脾囊肿包括先天性(表皮样、皮样、单纯性)和肿瘤性(血管瘤、淋巴管瘤)脾囊肿[1,2]。
利用上海儿童医学中心的电子病历系统检索入院诊断包含"脾囊肿"且行手术治疗的患儿,时间跨度为2014年1月1日至2021年1月31日。共14例,其中男10例,女4例,年龄为(8.7±3.1)岁,术前病程时间为(5.1±4.7)个月。术前腹痛8例,余6例无临床症状。术前均行B型超声和腹部增强CT检查(图1),其中3例术前行腹部磁共振成像(magnetic resonance imaging,MRI)检查。按术中是否输血,将患儿分为输血组(5例)和未输血组(9例)。


本研究已获得患儿家长知情同意,并通过上海交通大学医学院附属上海儿童医学中心伦理委员会批准,批件号为SCMCIRB-W2021022。
腹腔镜下脾囊肿切除术,患儿取平卧位,左腰部下方垫高,床稍向右侧倾斜。使用三孔法,脐部用直径10 mm Trocar放入视镜,在左上腹和中腹各放1个直径为10 mm Trocar作为操作孔,术中视情况需要悬吊胃壁,如囊肿张力较大可在腹腔镜监视下先行穿刺抽出部分囊液,囊液常规送检。结扎相应的脾动脉分支血管,沿缺血线用超声刀切除大部分囊壁组织,残留的少量囊壁组织用电灼烧破坏,创面覆盖大网膜并缝合关闭(图2)。


收集患儿的年龄、性别、临床症状、手术前病程时间、术前影像学检查结果、手术方式、手术时间、输血情况、并发症、术后引流管置管时间、病理诊断、术后住院天数、出院后影像学随访结果。
运用SPSS 25.0软件进行数据的统计与分析。定量资料统计用
±s表示。组间均数比较采用独立样本t检验,当P<0.05时为两组之间差异具有统计学意义。
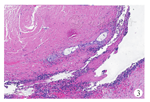
本研究患儿开放手术4例,腹腔镜手术10例,其中2例腹腔镜手术中转开放手术。中转开放手术的1例因病灶靠近脾门,腹腔镜下操作困难,术中出血中转开腹手术,切除囊肿,灼烧囊壁;另1例因腹腔镜下脾创面渗血多,中转开腹手术,行脾切除术。本研究患儿手术时间为(125.4±52.9)min,输血组手术时间明显长于未输血组,(176.0±49.2)min比(97.2±29.1)min,差异具有统计学意义(P= 0.002)。术后病理诊断为假性囊肿4例,先天性囊肿10例,10例中表皮样囊肿1例,皮样囊肿9例(图3),无并发症。术后引流管置管时间为(5.1±1.7) d,术后住院时间为(7.9±3.4) d。输血组和非输血组的术后引流管置管时间分别为(4.8±1.9) d和(5.3±1.7) d,两组之间的差异无统计学意义(P= 0.605);术后住院时间分别为(7.4±1.1) d和(8.1± 4.3) d,两组之间的差异无统计学意义(P=0.726)。


所有患儿术后1、3、6个月复查B型超声,如半年内无囊肿复发,则改为每年复查B型超声1次,如半年内囊肿复发则改为每3个月复查B型超声1次。随访时间为(20.8±10.3)个月。术后复发1例,病理诊断为皮样囊肿,因囊肿持续增大伴腹部不适3个月后再次行腹腔镜手术治疗,完整切除脾脏(表1)。

本研究14例患儿的临床资料等相关情况
本研究14例患儿的临床资料等相关情况
| 序号 | 性别 | 年龄(岁) | 症状 | 病程 | 手术方式 | 手术时间(min) | 囊肿位置和切除范围 | 囊肿大小(cm×cm×cm) | 病理诊断 | 输血 | 术后引流管置管时间(d) | 术后住院天数(d) | 复发 | 再手术 |
|---|---|---|---|---|---|---|---|---|---|---|---|---|---|---|
| 1 | 女 | 7 | 腹痛 | 12个月 | OP | 105 | 下极,囊肿切除 | 8.7×6.8×5.0 | 假性囊肿 | 是 | 3 | 6 | 无 | 无 |
| 2 | 男 | 7 | 腹痛 | 12个月 | LP | 55 | 上极,囊肿切除 | 4.5×4.3×4.0 | 皮样囊肿 | 否 | 7 | 8 | 有 | 无 |
| 3 | 男 | 8 | 无 | 11个月 | LP | 90 | 下极,囊肿切除 | 7.4×6.3×5.6 | 皮样囊肿 | 否 | 4 | 3 | 无 | 无 |
| 4 | 女 | 6 | 腹痛 | 14 d | OP | 100 | 下极,囊肿切除 | 6.1×5.8×4.5 | 皮样囊肿 | 否 | 6 | 17 | 无 | 无 |
| 5 | 女 | 9 | 无 | 2个月 | LPOP | 190 | 下极,囊肿切除 | 6.0×5.4×7.8 | 皮样囊肿 | 是 | 4 | 7 | 无 | 无 |
| 6 | 男 | 3 | 腹痛 | 3个月 | LP | 150 | 下极,囊肿切除 | 5.4×6.3×8.5 | 皮样囊肿 | 否 | 5 | 9 | 有 | 无 |
| 7 | 男 | 7 | 腹痛 | 5个月 | LPOP | 150 | 脾门下方,囊肿切除 | 2.9×2.5×2.5 | 皮样囊肿 | 是 | 5 | 7 | 无 | 无 |
| 8 | 男 | 5 | 腹痛 | 6个月 | LP | 80 | 脾门上方,囊肿切除 | 6.5×4.9×6.1 | 表皮样囊肿 | 否 | 4 | 5 | 无 | 无 |
| 9 | 男 | 12 | 无 | 12个月 | LP | 80 | 上极,囊肿切除 | 5.9×5.0×5.0 | 假性囊肿 | 否 | 4 | 5 | 无 | 无 |
| 10 | 女 | 13 | 无 | 4个月 | LP | 130 | 上极,囊肿切除 | 12.6×8.3×7.8 | 皮样囊肿 | 否 | 4 | 5 | 无 | 无 |
| 11 | 男 | 9 | 无 | 1个月 | OP | 110 | 上极,囊肿切除 | 4.6×4.5×4.3 | 假性囊肿 | 否 | 5 | 11 | 无 | 无 |
| 12 | 男 | 12 | 无 | 1个月 | OP | 205 | 上级,囊肿切除 | 18.0×16.0×15.0 | 假性囊肿 | 是 | 8 | 9 | 无 | 无 |
| 13 | 男 | 12 | 腹痛伴胸骨旁疼痛 | 7 d | LP | 80 | 中部偏外侧,囊肿切除 | 12.3×3.9×13.8 | 皮样囊肿 | 否 | 9 | 10 | 有 | 有 |
| 14 | 男 | 12 | 腹痛 | 2个月 | LP | 230 | 中下极,囊肿切除,保留上极 | 11.2×9.1×11.0 | 皮样囊肿 | 是 | 4 | 8 | 无 | 无 |
注:OP,开腹手术;LP,腹腔镜手术;LPOP,腹腔镜中转开腹手术
脾囊肿无特异性临床表现,可有腹痛、腹胀、上腹部不适、呕吐以及膈肌持续刺激引起的胸膜疼痛、咳嗽等[3]。本研究14例患儿中8例存在临床症状,以腹痛最常见,其中1例伴胸骨旁疼痛,考虑与囊肿刺激膈肌有关。脾囊肿可引起囊内出血、感染,也可因破裂引起腹膜炎[3]。本研究患儿均无此并发症。
对于成年患者,囊肿直径<5 cm且无临床症状时可密切随访观察,对于直径≥5 cm或有临床症状时建议行手术治疗[4,5]。对于儿童脾囊肿的处理,目前国内缺乏统一的标准。Gezer等[6]报道了对12例囊肿直径≤4 cm的无症状脾囊肿患儿行保守治疗,随访6个月至5年,仅4例囊肿完全消失。本研究中均为手术病例,6例无临床症状,囊肿直径均>4 cm,8例有临床症状的患儿中,部分囊肿直径<4 cm,囊肿切除后腹痛症状消失。因此本研究认为对于儿童脾囊肿,囊肿直径与临床症状并不完全对应相关。儿童活跃好动,自我保护能力相对较弱,更易受外伤撞击,脾是最常见的儿童钝性外伤后受损的实质性器官[7]。为避免外伤引起囊肿破裂,建议用比成年患者更为积极的治疗标准进行外科干预。
近年来国内外有文献报道脾囊肿可伴有血清糖链抗原19-9 (carbohydrate antigen 19-9, CA19-9)异常升高,可在术后3~4周恢复正常[8,9,10]。这可能与内衬的上皮组织产生的富含CA19-9的囊性液体引起的囊内压力增加有关,此外囊性破裂被认为是囊内肿瘤标志物进入循环的一种机制[7]。本研究中有2例上皮样囊肿患儿在术前行血清CA19-9检测,结果未见异常,其余患儿未做此项检测。
脾囊肿的手术方式通常有脾切除术、部分脾切除术、囊肿开窗引流术、囊肿剥除术、囊肿去顶毁底术[11,12]。因囊肿开窗引流术在临床中有较高的复发率,故目前已很少采用。随着腹腔镜技术的开展,腹腔镜下部分脾切除术或全脾切除术已顺利施行。对局限于上极或下极的脾囊肿,可行部分脾切除术。如囊肿靠近脾门、多发性囊肿或怀疑囊肿继发感染可行全脾切除术。既往脾切除术是治疗脾囊肿的经典术式,考虑脾脏对儿童免疫功能的重要性,目前更多的学者倾向于保留脾功能的部分脾切除术或脾囊肿切除术[13,14]。姜洪池和李丹[12]提出脾囊肿去顶毁底术,即先切除大于或相当于囊肿壁一半的囊肿顶部,切除范围一定要足够,然后使用氩气刀、滴水双极或电刀等器械损毁其基底部,该术式具有手术简单、创伤小、手术时间短、复发率低等优点。本研究对14例脾囊肿患儿均行保留脾组织的囊肿切除术,切除大部分囊肿,电灼少许残留的囊壁组织。术后虽有1例复发,但总体疗效满意。回顾复发病例原手术录像,认为残留囊壁组织过多可能是其复发的重要原因。第二次手术时见原手术缝合创面已完全愈合。因此保脾手术残留的囊壁组织不可过多,需尽力破坏少许残留的囊壁组织以减少术后分泌。
尽管超声刀、单极和(或)双极电刀、氩气刀等的应用已改善了止血手段,但如何控制出血,特别是腹腔镜下如何控制出血一直是脾囊肿保脾手术中术者关心的问题。当囊肿位于脾上极或下极时,先用超声刀处理相应的供应血管,保留另一极相对正常的脾组织和周围韧带,可沿缺血线切除脾组织,残留脾脏创面电喷止血并破坏残留的囊壁上皮组织。本研究4例因术中出血需输血治疗,10例腹腔镜手术中2例因术中出血中转开放手术。Maeda等[15]报道了一种镶嵌手术方法,在导管介入下置入球囊间断阻断脾动脉,减少腹腔镜下脾囊肿切除时的术中出血量。然而这需要特殊的手术室和多学科的团队协作,一定程度上也限制了该技术的应用。
综上所述,对有临床症状或囊肿直径≥4 cm的儿童脾囊肿需行手术治疗。腹腔镜下保留脾脏的脾囊肿切除术是一种微创、有效的治疗方法。皮样囊肿行保脾手术后存在一定的复发率,可能与术中残留囊壁组织过多有关,需密切随访,必要时需再次手术切除脾脏。
所有作者均声明不存在利益冲突





















