
探寻骨骺损伤的大鼠模型中生长板形态学变化及骨形态发生蛋白(bone morphogenetic protein,BMP)12,13动态变化的意义。
本研究将40只4周龄SD大鼠(110~140 g)随机分为5组,对每只大鼠的右侧胫骨造成骨骺损伤,分别于损伤后1、7、14、28、42 d取材,使用游标卡尺测量损伤后大鼠双侧胫骨长度的变化,通过苏木精-伊红染色观察损伤后胫骨的组织病理学改变,使用实时定量聚合酶链式反应(quantitative real time-polymerase chain reaction,qRT-PCR)检测BMP-12,13在RNA水平的变化,用免疫组织化学染色检测BMP-12,13在胫骨生长板中的表达分布及变化,最后通过5-乙炔基-2'脱氧尿嘧啶核苷(5-ethynyl-2'-deoxyuridine,EdU)染色检测骨骺损伤后生长板软骨细胞增殖速度的改变。
在骨骺损伤后可以观察到典型的损伤修复过程,并且第14天观察到生长板内骨桥的形成;在第14、28、42天,损伤侧肢体的长度明显短于正常对照组肢体;与对照组相比,实验组生长板中的BMP-12表达在第1天(P=0.037)和第42天(P=0.026)显著升高,但在第7天(P=0.004)、第14天(P<0.001)和第28天(P=0.026)显著下降,BMP-13的表达在损伤后第1天显著增加(P=0.037),但在第42天显著下降(P=0.02);在损伤后42 d,实验组生长板EdU阳性软骨细胞的百分比显著低于对照骨(P=0.011)。
骨骺损伤早期BMP-12,13表达变化表明其参与骨桥形成,这将对骨骺损伤后肢体短缩和畸形的防治提供新思路。
版权归中华医学会所有。
未经授权,不得转载、摘编本刊文章,不得使用本刊的版式设计。
除非特别声明,本刊刊出的所有文章不代表中华医学会和本刊编委会的观点。
儿童骨骺骨折损伤占据儿童骨折总数的6%~15%。骨骺损伤后诱导骨骺与干骺端之间骨桥形成,而骨桥形成是导致患肢畸形的内在原因[1,2]。目前临床中对于如何预防骨桥形成尚无有效办法,因此阐明骨骺损伤后骨桥形成的分子机制可以为临床提供新的分子学治疗思路。
研究表明,骨桥的形成可能与生长板静止区中干细胞或干骺端基底膜的损伤有关[3,4]。骨骺损伤后炎症、纤维生成、成骨和骨重塑反应依次参与了骨骺损伤修复过程[5],骨形态发生蛋白(bone morphogenetic protein,BMP)是TGF-β家族的成员,BMPs可在胚胎形成和组织修复过程中诱导骨骼和软骨的形成[6]。BMP-12和BMP-13也被称为生长分化因子(growth differentiation factor,GDF)7和GDF-8。BMP-13首次发现于牛软骨中,BMP-12可以延长软骨细胞肥大期的持续时间,并且BMP-12的缺乏可以导致更小的骨横截面积[7,8],生长板软骨细胞对于骨骼的纵向生长至关重要,它们可以从静止阶段分化为肥大的软骨细胞,最终在成骨细胞凋亡区被入侵的破骨细胞所取代。有研究认为BMP家族分子可以促进成骨细胞的定向分化[9],并以此调节骨的纵向生长,但未见阐明BMP-12,13在骨桥形成及骨骺损伤修复中的作用及相关机制的研究。
本研究采用大鼠胫骨骨骺损伤模型,探讨骨骺板组织形态、BMP-12和BMP-13表达及细胞增殖的动态变化,并以此探究大鼠骨骺损伤后BMP-12和BMP-13在骨骺异常修复中的作用及其可能机制。
40只4周龄的体重110~140 g雄性SD大鼠(山西医科大学实验动物中心)按数字随机法分为5组(每组8只)并饲养于无菌室内,饲以纯净水及大鼠饲料。首先向大鼠腹腔注射0.5 mg/g的硫喷妥钠(深圳振强生物科技有限公司),并沿胫骨前内侧做5 mm纵行皮肤切口,显露右后肢胫骨近端,用2 mm的高速牙钻垂直于生长板中心区域钻入[10,11],拔出牙钻,重复2~3次造成长约5 mm损伤,缝合皮肤切口。术后立即用小动物X线机验证大鼠骨骺损伤造模成功,并给予抗生素预防感染,部分大鼠在安乐死前连续10 d腹腔注射5-乙炔基-2'脱氧尿嘧啶核苷(5-ethynyl-2'-deoxyuridine,EdU)(5 mg/kg,广州锐博生物)。该研究获山西医科大学第二医院伦理委员会审批通过,审批号为2018008。
分别在造模后第1天、第7天、第14天、第28天和第42天,对大鼠(每组8只)实施安乐死,解剖其损伤的右侧胫骨及正常对照左侧胫骨(图1A),这些时间点反映了骨骺损伤的不同愈合阶段,包括急性炎症期(第1天)、骨桥和软骨形成期(第7天和第14天)和骨痂形成期(第28天和第42天),每个时间点每组随机选取6根胫骨,用游标卡尺测量其长度。


使用药匙在胫骨生长板两断端(骨骺侧及干骺端侧)刮取生长板以备后续实验(图1B),每组分离6对生长板组织后立即在液氮中研磨成粉末,提取RNA进行定量实时聚合酶链反应(quantitative real-time polymerase chain reaction,qRT-PCR),每组中剩余的胫骨组织(n=2)在4%的甲醛溶液中固定36 h,在10%乙二胺四乙酸(ethylenediaminetetraacetic acid,EDTA,湖南华腾制药有限公司)中脱钙14 d后用石蜡包埋,并进行后续的免疫组织化学染色、HE染色及EdU细胞增殖分析。
按照说明书,用M5 Universal RNA Mini Kit试剂盒(北京聚合酶生物科技有限公司)从每份生长板样本中提取RNA,再使用PrimeScript RT Master Mix试剂盒(日本Takara)逆转录成cDNA,以GAPDH为内参,使用2×M5 HiPer Realtime PCR Super mix with Low Rox试剂盒(SYBR green,含抗Taq,北京聚合美生物科技有限公司)在ABI QuantStudio(TM)6 Flex系统(美国生命技术公司)中检测BMP-12和BMP-13的RNA表达水平。PCR反应程序设定:95 ℃下35 s,60 ℃下34 s,此条件下循环40次。
引物序列:BMP-12前引物5'-CTGGGCTGG GACGACTGGATC-3',后引物5'-GATGATGGC GTGGTTGGTAGGC-3';BMP-13前引物5'-GGT TTCCAGCAGGCTTCCATCTC-3',后引物5'-TC TTCCCTCTTGCGGTTCC-3'。结果经2-Ct分析后,将第1天对照组胫骨BMP-12和BMP-13的RNA水平设为1。
为了评估生长板损伤后的组织形态学变化,将石蜡以4 μm切至载玻片并进行常规HE染色,并在显微镜下观察。
使用抗BMP-12(bs-11461R)和BMP-13(bs-11843R,北京博奥森生物技术有限公司)的原代兔抗体,通过免疫组织化学方法分析BMP-12和BMP-13在生长板中分布的动态变化。首先,将4 μm石蜡组织切常规脱蜡至水,3%H2O2去离子水室温孵育5~10 min,然后在37℃孵育箱中使用复合消化液(AR0022,武汉博士德生物技术有限公司)进行抗原修复30 min,5%BSA封闭液37℃孵育30 min,滴加Ⅰ抗(1:100)在37℃孵育2 h或4℃过夜,滴加Ⅱ抗37℃孵育30 min,用链霉亲和素-生物素复合物(SABC,武汉博士德生物技术有限公司)37℃孵育30 min,用二氨基联苯胺(DAB,武汉博士德生物技术有限公司)染色,最后苏木精复染,封片后在光镜下观察。
使用EdU(广州锐博生物)和cell-Light Apollo 567染色试剂盒(广州锐博生物)对切片中生长板软骨细胞进行EdU增殖分析。将石蜡组织切片(4 μm)常规脱蜡至水,滴加0.5%Trion X-100(北京索莱宝科技有限公司)处理,加入100 μL的1×Apollo染色反应液(广州锐博生物)后避光室温孵育30 min,用0.5%Trion X-100和甲醇冲洗后,用Hoechst3342(广州锐博生物)在黑暗中染色30 min,最终切片在荧光显微镜下观察,EdU阳性细胞呈红色,Hoechst3342阳性细胞呈蓝色。
所有计量资料采用
±s表示,以阳性细胞的百分比及染色深度半定量描述BMP-12,13在生长板不同区域的表达强度,正态分布数据的组间比较采用配对t检验,非正态分布数据的组间比较采用Man-Whitney U秩和检验,用Pearson相关系数分析两个变量之间的相关性,P<0.05的双尾P值具有统计学意义,使用SPSS软件(版本21.0)进行统计分析,使用GraphPad Prism(版本8.0.1)制作图形。
以X线片可以看到,骨骺损伤后有高密度影充填于骺板中导致其连续性变差(图2A),测量双侧胫骨长度发现(表1,图2B),损伤后第14天(P=0.002,n=6)、28天(P=0.001,n=6)和42天(P=0.02,n=6),损伤侧胫骨的长度明显短于对照组(图2C),而在第1天和第7天两组间差异没有统计学意义。



骨骺损伤后胫骨长度变化(mm)
骨骺损伤后胫骨长度变化(mm)
| 序号 | 第1天 | 第7天 | 第14天 | 第28天 | 第42天 | |||||
|---|---|---|---|---|---|---|---|---|---|---|
| 实验 | 对照 | 实验 | 对照 | 实验 | 对照 | 实验 | 对照 | 实验 | 对照 | |
| 1 | 30. 65 | 30. 54 | 31. 05 | 31. 95 | 33. 13 | 33. 88 | 32. 15 | 36. 25 | 37. 14 | 40. 64 |
| 2 | 30. 46 | 30. 12 | 30. 52 | 31. 94 | 31. 78 | 33. 11 | 32. 93 | 38. 82 | 37. 81 | 39. 70 |
| 3 | 29. 97 | 30. 11 | 31. 79 | 32. 07 | 30. 41 | 32. 35 | 35. 43 | 37. 31 | 33. 38 | 39. 29 |
| 4 | 30. 02 | 31. 13 | 31. 25 | 31. 04 | 31. 60 | 34. 20 | 32. 63 | 37. 32 | 38. 22 | 40. 22 |
| 5 | 30. 06 | 29. 86 | 30. 94 | 31. 94 | 30. 48 | 32. 16 | 33. 12 | 37. 91 | 38. 07 | 41. 54 |
| 6 | 30. 64 | 31. 04 | 31. 80 | 32. 14 | 32. 55 | 35. 40 | 32. 94 | 37. 46 | 37. 88 | 41. 65 |
±s | 30. 30±0. 32 | 30. 47±0. 53 | 31. 23±0. 50 | 31. 85±0. 40 | 31. 66±1. 09 | 33. 52±1. 23 | 33. 20±1. 145 | 37. 51±0. 84 | 37. 08±1. 85 | 40. 51±0. 96 |
| P值 | 0. 477 | 0. 05 | 0. 002 | 0. 001 | 0. 02 | |||||
注:每组数据以6条胫骨长度取
±s表示,组间差异采用配对t检验分析。
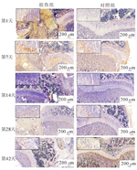
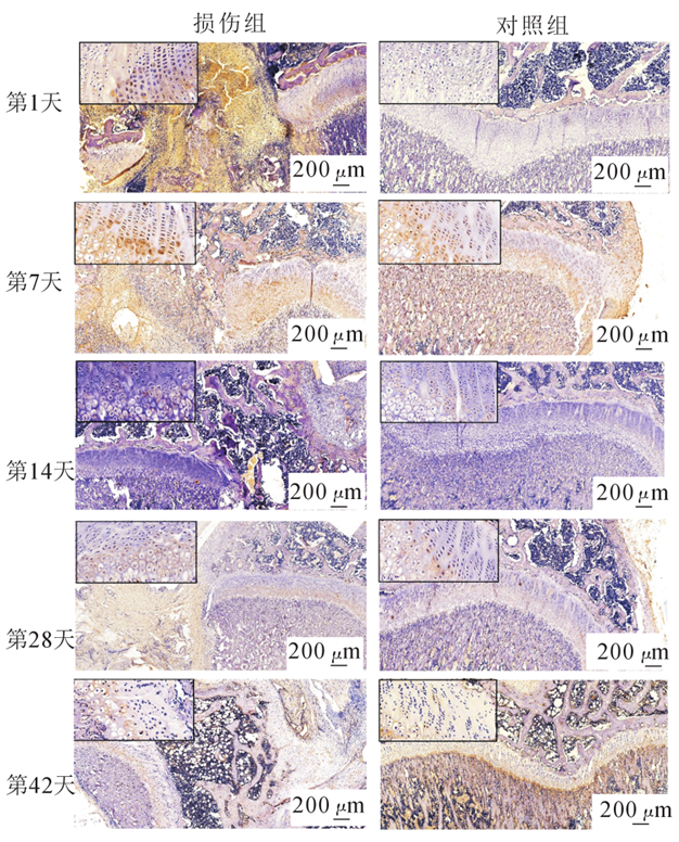
在损伤后的任意一天,对照组的生长板都表现出正常组织形态(图3)。在损伤侧胫骨中,第1天(图3A)生长板中央产生较大裂缝,并在其中充斥着炎性细胞及红细胞,其余生长板区域连续性较差;在第7天(图3B),生长板中紊乱的细胞开始重新整合,静止区软骨细胞表现出明显的分化特征,生长板增宽并向干骺端延伸,损伤区新生软骨细胞排列紊乱;在第14天(图3C),可以观察到明显的骨桥形成,并可在生长板两断端之间见到新生血管形成,增殖区软骨细胞聚集成团;在第28天(图3D),观察到生长板延伸分布于干骺端,静止区细胞几乎完全分化为增殖区细胞,在生长板断端中充斥着成纤维细胞和纤维组织;在第42天(图3E),生长板结构进一步紊乱,并有初级骨化中心形成。


为探讨BMP-12和BMP-13在骨骺损伤修复中的作用,采用qRT-PCR法测定对照组和损伤组胫骨生长板中BMP-12和BMP-13RNA的相对水平。如图4A所示,与对照组相比,实验组胫骨生长板中BMP-12表达在损伤后第1天(P=0.037)和第42天(P=0.026)显著升高,但第7天(P=0.004)、第14天(P<0.001)和第28天(P=0.026)下降,BMP-13表达在第1天显著增加(P=0.037),但在第42天下降(P=0.02)(图4B)。


注:每组(n=6)数据来源于三次独立实验,并以
±s来表示,对照组第一天胫骨生长板BMP-12和BMP-13的mRNA转录水平设为1;aP<0.001,bP<0.01,cP<0.05,ns表示P>0.05
如表2所示,采用免疫组化方法比较BMP-12和BMP-13在损伤和正常生长板中的分布。结果显示,在损伤后第7天,BMP-12在对照胫骨生长板的静止区、增殖区、前肥大区和肥大区均有表达(图5A)。BMP-12和BMP-13在生长板软骨细胞的胞核和胞浆中均有表达。在实验组中,BMP-12和BMP-13在第1、7、14天均分布于静止区、增殖区、前肥大区和肥大区,而在第28、42天不表达于静止区。在对照组中,BMP-12和BMP-13在第1、7、14、28天分布于静止区、增殖区、前肥大区和肥大区,但在第42天不表达于静止区(图5B、图6)。





BMP-12和BMP-13在两组生长板软骨细胞中的分布和表达强度
BMP-12和BMP-13在两组生长板软骨细胞中的分布和表达强度
| 软骨区域 | 损伤组 | 对照组 | |||||||||
|---|---|---|---|---|---|---|---|---|---|---|---|
| 第1天 | 第7天 | 第14天 | 第28天 | 第42天 | 第1天 | 第7天 | 第14天 | 第28天 | 第42天 | ||
| BMP-12 | 静止区 | ++ | + | ++ | - | - | ++ | + | + | + | - |
| 增殖区 | ++ | + | + | ++ | + | + | ++ | ++ | ++ | + | |
| 前肥大区 | +++ | +++ | ++ | +++ | + | ++ | ++ | +++ | +++ | + | |
| 肥大区 | + | + | + | ++ | ++ | + | + | ++ | ++ | + | |
| BMP-13 | 静止区 | +++ | + | + | - | - | + | + | + | + | - |
| 增殖区 | ++ | ++ | ++ | + | + | ++ | ++ | ++ | + | ++ | |
| 前肥大区 | +++ | +++ | ++ | +++ | ++ | + | +++ | ++ | ++ | ++ | |
| 肥大区 | + | + | + | ++ | ++ | + | + | + | ++ | + | |
注:-,无表达;+,弱表达;++,中等表达;+++,强表达
EdU染色发现,在对照组和实验组胫骨的生长板中都有许多红染的EdU阳性增殖软骨细胞。定量分析显示,损伤后第42天,损伤胫骨生长板中EdU阳性软骨细胞的百分比显著低于对照组(P=0.011,图7),在其他时间点,对照组和实验组胫骨生长板中EdU阳性软骨细胞的百分比差异无统计学意义。最后,增殖软骨细胞的百分比与生长板中BMP-12(P=0.73,r=0.13)和BMP-13(P=0.61,r=0.19)mRNA水平之间相关性没有统计学意义(图8)。


注:aP<0.05,ns表示P>0.05


骨骺骨折是导致骨骺骨桥形成最常见的原因[11]。目前已有多种动物模型用以研究骨骺损伤后骨桥形成机制,比如猪、狗、大鼠、兔子和绵羊等[1, 12,13,14,15]。本研究使用较为成熟的大鼠骨骺损伤模型研究骨骺生长板损伤后骨桥形成并导致肢体短缩的可能机制。
2017年,neumayer等[16]在动物模型中发现新生血管的形成对骨塑形、骨修复及骨桥形成至关重要,另外,Kusumbe[17]及Diomede[18]等观察到新生血管可以明显促进骨组织的形成,与本研究结果相似。本组观察到了骺板损伤后新生血管及骨桥的形成,前期研究表明高浓度的氧气(97.9%)可以促进成骨细胞的分化[19],浓度为21%和3%的氧气最有助于生长板软骨细胞糖胺聚糖和蛋白聚糖的合成[20],我们的研究发现在损伤后第42天生长板软骨细胞增殖率明显下降并且观察到生长板与新生血管之间更加充分接触(图3E),这提示新生血管促进损伤骺板骨桥的形成可能是局部氧气浓度增加的结果。然而本组对于损伤后软骨细胞增值率的检测是浅显的,仍需更多地去研究其分子机制。
骨的纵向生长由外源性激素和内源性生长因子组成的系统精确调节,生长板软骨细胞对于骨骼的纵向生长至关重要,它们可以从静止阶段分化为肥大的软骨细胞,最终在成骨细胞凋亡区被入侵的破骨细胞所取代。本研究首先以大鼠骨骺损伤模型证实了生长板软骨细胞的破坏及随之而来的骨桥形成可以造成肢体短缩畸形,并以BMP为研究对象来探讨可能存在的机制。有研究认为BMP家族分子可以促进成骨细胞的定向分化[9],BMP-12可以延长软骨细胞肥大期的持续时间,并且BMP-12的缺乏可以导致更小的骨横截面积[7,8]。本研究测量了大鼠损伤骺板中BMP-12在mRNA水平表达的动态变化,发现与对照组相比,损伤后第1天大鼠生长板中BMP-12的表达量显著增加,也观察到其在损伤后第7天、第14天、第28天的表达显著下降,表明其在损伤之初被激活而在修复期被显著抑制,因此推测在骨骺损伤后骨桥介导的短肢畸形的过程中,BMP-12是被持续抑制的因子,而其被抑制的过程至少是导致骨纵向分化紊乱的原因之一,与前期的研究结论一致,但其早期的激活原因尚需进一步研究,或与损伤早期炎症风暴及氧气暴露有关。BMP-13是从牛软骨中首次鉴定和分离出来的[21],能够促进结缔组织的愈合。与健侧相比,损伤侧骺板中BMP-13的表达在第1天显著升高,在第7、14、28天与健侧持平,但在损伤后晚期及42 d出现表达下降,根据已有研究推测BMP-13虽早期被激活但并不参与介导骨骺愈合及骨桥形成,但骨桥的出现其表达则处于被抑制状态,具体机制需进一步研究。研究中观察到,对照组第28天BMP-12表达明显增加,这可能与生长板标本中骨组织混入使结果增高有关,或潜在的全身炎症因子正在影响健侧肢体,这种推测尚需进一步的研究予以证明。BMP-12和BMP-13表达的动态变化机制期待进一步探索,本研究的发现可能为骨骺损伤和修复过程提供新的认识。
本研究仍有很多局限性,生长板样本中可能会难以避免地混入少量骨组织,并因此影响PCR表达的结果。其次,本研究是观察性研究,只检测了BMP-12和BMP-13表达水平的变化,而没有验证其调控骨桥形成的深层分子机制,因此,我们已准备建立相关的基因敲除或沉默模型以进一步探究BMP-12和BMP-13在骨桥形成和软骨发育中的作用机制。
总之,本研究的数据表明,胫骨生长板损伤诱导了大鼠骨桥的形成并造成肢体短缩,急性损伤使大鼠胫骨骺板内BMP-12和BMP-13表达出现显著变化,这为胫骨生长板损伤修复过程提供新的认识,并为BMP-12和BMP-13调控骨骺损伤后骨桥形成的分子机制提供了新的见解。
所有作者均声明不存在利益冲突

±s



















