
探讨不同的供受者肝重量比(GW/RLW)对于大鼠部分肝移植术后排斥反应的影响。
以BN大鼠为供鼠,Lewis大鼠为受鼠,分别行全肝移植(A组)、GW/RLW>33%部分肝移植(B组)和GW/RLW<30%部分肝移植(C组)。术后观察28 d,通过比较术后各组存活时间、黄疸、体重曲线和移植肝脏Banff RAI评分来评估急性排斥反应。再另设GW/RLW>33%部分肝移植(B1组)和GW/RLW<30%部分肝移植(C1组),在术后48 h和第7天比较移植物中的白细胞介素2(IL-2)、颗粒酶B、穿孔素和CD3的mRNA水平。并在术后第7天,比较B1组和C1组中的肝功能、总胆红素、B7-H1的mRNA水平和Ki67阳性肝细胞数。
A、B两组受鼠术后28 d内全部存活,C组受鼠在术后22 d内全部死亡。B、C组受鼠黄疸出现时间早于A组(P<0.01),体重增长曲线低于A组(P<0.05)。C组的体重增长曲线则低于B组(P<0.05)。A组移植肝可见少量淋巴细胞浸润,未见血管内皮增厚;B组移植肝可见汇管区存在淋巴细胞的浸润,中央静脉内皮明显增厚;C组移植肝内可见大量淋巴细胞浸润,血管内皮明显增厚,正常的肝细胞排列形态被破坏,其Banff RAI评分高于A组和B组。移植术后第7天,C1组肝移植物中的穿孔素、颗粒酶B、IL-2和CD3 mRNA水平,以及肝酶和移植肝增重均高于B1组,差异有统计学意义(P<0.05)。且C1组的免疫抑制共刺激分子B7-H1的mRNA水平低于B1组(P<0.05)。但两组间的Ki67阳性的肝细胞数比值的差异没有统计学意义。
GW/RLW降低时,大鼠部分肝移植术后的免疫排斥反应被增强。
版权归中华医学会所有。
未经授权,不得转载、摘编本刊文章,不得使用本刊的版式设计。
除非特别声明,本刊刊出的所有文章不代表中华医学会和本刊编委会的观点。
劈离式肝移植及亲属活体肝移植等手术方式可以通过利用肝脏再生的特性来节约器官以及扩大器官来源。但是,此类减体积的部分肝移植(partial liver transplantation,PLTx)可能导致术后相应的各种损伤,比如小肝综合征等[1,2],也可非特异性的激活固有免疫系统,进而增加术后排斥反应发生的强度[3,4,5]。对于PLTx术后排斥反应的研究,可以为术后移植肝的保护提供理论支持。在前期研究中,我们已经证实,Brown Norway(BN)→Lewis大鼠全肝移植是一种免疫接受(immune acceptance)模型。该模型在全肝移植术后会出现低强度的排斥反应,且此排斥反应并不导致受鼠死亡,最终移植肝被"接受"[6]。因此,利用该模型研究PLTx术后的同种异体免疫反应可避免高强度急性排斥反应对实验结果的影响。本研究在BN→Lewis大鼠上行全肝移植和PLTx术。通过术后的供受者肝重量比(graft weight to recipient liver weight,GW/RLW)分组,比较全肝移植后和部分移植肝后排斥反应的相关变化。
健康雄性BN大鼠作为供鼠,体重为200~350 g。Lewis大鼠作为受鼠,体重为200~350 g(北京维通利华动物实验技术公司)。饲养于本医院动物中心无特异性抗原的无特定病原体级动物房。
其中18对BN→Lewis大鼠用于全肝或PLTx术后28 d内行受鼠生存状态观察和组织学分析。24对BN→Lewis大鼠用于PLTx术后48 h和7 d行移植肝mRNA和组织学。
首先依据BN和Lewis大鼠的体重和肝重量相关曲线[7],在术前初步评估BN大鼠和Lewis大鼠的肝重量,尽可能在术后达到相应的GW/RLW入组标准。
全肝移植采用传统双套管法[8]。在Kamada等的方法基础上做了如下修改:体积分数5%异氟烷(美国Baxter Healthcare公司)混合0.5 L/min氧气被用来诱导麻醉,体积分数2%异氟烷维持麻醉。供鼠门静脉灌注采用4℃生理盐水。长约8 mm 22G留置针(美国BD公司)做为胆管内支架。长约2 mm 14G和12G静脉留置针(美国BD公司)分别作为门静脉及肝下下腔静脉套管。供肝取出后,称重量并记录。受鼠肝脏切除后,同样称重量并记录。
当行PLTx时,则先对BN大鼠行部分肝切除术[9],其中BN供肝左侧外叶及中叶被切除。剩余的肝脏称重后作为供肝再移植到Lewis大鼠。移植方法同全肝移植。术后根据供鼠肝脏重量和受鼠肝脏重量计算GW/RLW。
在生存状态观察试验中,BN→Lewis全肝移植列入A组(n=6)。PLTx术后均计算GW/RLW。按不同GW/RLW,分别归入GW/RLW>33%组(B组,n=6),和GW/RLW<30%组(C组,n=6)。如GW/RLW在30%~33%的受鼠,则排除出实验。记录各组Lewis受鼠生存时间、黄疸首次发现时间以及体重曲线。
在mRNA定量试验中另行纳入BN→Lewis PLTx 24对,根据GW/RLW分为GW/RLW>33%组(B1组,n=12)和GW/RLW<30%组(C1组,n=12)。各组内分别在术后48 h(n=6)和术后第7天(n=6)检测部分肝移植物内的颗粒酶B、穿孔素、白细胞介素2(IL-2)和CD3的mRNA水平。此外,仅在术后第7天检测两组的移植肝重量、血清谷氨酸转氨酶(ALT)、血清天冬氨酸转氨酶(AST)、胆红素总量、Ki67阳性细胞数的比例以及B7-H1共刺激分子的mRNA水平。
所有受鼠移植术后每天早8点及晚8点检查大鼠鼠笼垫料中是否有深黄色的尿渍及大鼠生存状态。如早8点发现黄色印迹则归入前一天,晚8点发现则归入当天。同法记录受鼠生存时间。以移植当天受鼠体重为基线,每天早8点记录体重。术后每天体重以占基线体重的百分比(%),即(术后体重/移植当日体重)×100%来表示,绘制体重变化曲线。上述指标观察时限均为28 d。B1和C1组受鼠观察期结束时获取移植肝样本,称量移植物重量(单位为g)。
移植肝样本在死亡或者观察期结束时切取后,于体积分数4%的多聚甲醛溶液中固定后切片行HE染色。置于光学显微镜下观察,观察肝脏的组织结构、肝窦间隙的宽度、淋巴细胞浸润、中心静脉及门静脉的血管结构和层次。
通过Banff的半定量RAI评分标准评估移植物术后的急性排斥反应[10],其评估包括了肝脏汇管区的炎症细胞浸润、胆管炎和血管内皮炎症。每部分评分根据Banff的标准分为0~3分。最后3部分评分相加来评估急性排斥反应的程度[10]。
移植物术后第7天的肝再生情况通过Ki67的免疫组织化学法来检测,步骤简述如下:取肝组织石蜡切片,脱蜡,乙醇梯度脱水,然后再加入体积分数为0.3%的双氧水温孵育30 min。再加入0.03 mmol/L的枸橼酸热修复1 h。洗脱后加入体积分数5%牛血清白蛋白(美国sigma公司)封闭1 h,再加入一抗(英国Abcam公司)后4℃孵育过夜。洗脱后,二抗再室温孵育30 min。通过DAB法显色后封片。每只受者随机取10个400倍视野,通过计数每个400倍视野中阳性肝细胞数/总肝细胞数的比值来评估肝细胞再生。
取PLTx术后第7天的移植肝组织,参照Fang等[11]的方法,采用RNeasy试剂盒(德国Qiagen公司)提取总RNA。吸取总RNA 2~5 μg,采用First-Strand cDNA synthesis试剂盒(美国Invitrogen公司)逆转录成cDNA。将定量的1 ng cDNA和引物加入预混好的体系QPCR Master Mix试剂盒(美国Agilent公司)。将混合好的PCR体系放入Mx3000P QPCR System(美国StratageneUSA),采用95℃预热,95℃ 30 s变性,50℃ 30 s退火,72℃ 30 s延长程序,进行30次循环扩增。利用正常的肝组织cDNA进行梯度稀释,同法行PCR扩增,建立标准曲线[11]。通过绝对定量法,来定量目的mRNA的表达量。HPRT被设为内参照。目标基因的表达量/HPRT基因的表达量的倍率被用来进行组间统计学分析,引物序列详见表1。

实时定量逆转录聚合酶链反应引物序列
实时定量逆转录聚合酶链反应引物序列
| 目的基因 | 序列 |
|---|---|
| 白细胞介素2 | 上游引物:ctgcaaaggaaacacagcag |
| 下游引物:tggggagtttcagattcttgtaat | |
| 颗粒酶B | 上游引物:tctcgacgctgggaccta |
| 下游引物:catgtcccccgatgatct | |
| 穿孔素 | 上游引物:cacagtggagtgtcgcatgt |
| 下游引物:tgctctgtggagctgttaaagt | |
| CD3 | 上游引物:ttggtgtatacttcattgctgga |
| 下游引物:cagagtctgcttgtctgaagctc | |
| B7-H1 | 上游引物:aaaggacctgtacgtggtgg |
| 下游引物:tccccttcaaaagctggtcc |
注:所有引物通过Universal Probe Library设计
应用SigmaStat 3.5软件进行数据分析,图表通过SigmaPlot 10.0及Powerpoint制作。计量数据用均数±标准差(
±s)表示。多组样本之间采用单因素方差分析,各组之间的两两比较采用独立样本t检验。如数据不能通过正态分布检验,则行Mann-Whitney秩和检验。存活率通过Kaplan-Meier法表示,Gehan-Breslow检验被用来计算组间的存活率差异。P<0.05为差异有统计学意义。
A、B、C三组间GW/RLW的差异均有统计学意义(P<0.01,表2)。受鼠观察28 d。其中A、B组受鼠在观察期结束时全部存活,存活率为100%。而C组受鼠最早一例于术后9 d死亡,其后存活率开始下降。直到术后第22天,该组受鼠全部死亡(图1)。C组受鼠的存活率与其他两组有显著的统计学差异(P<0.001)。

各组之间移植肝重量/受鼠肝重量比值(GW/RLW)的比较
各组之间移植肝重量/受鼠肝重量比值(GW/RLW)的比较
| 组 别 | n | GW/RLW | 观察期 |
|---|---|---|---|
| A组(全肝移植组) | 6 | 77.6%±0.06a | 28 d |
| B组(GW/RLW>33%) | 6 | 37.1%±0.04a | 28 d |
| C组(GW/RLW<30%) | 6 | 27.3%±0.01a | 28 d |
| B1组(GW/RLW>33%) | 12 | 36.8%±0.03b | 48 h+7 d |
| C1组(GW/RLW<30%) | 12 | 26.2%±0.02b | 48 h+7 d |
注:三组之间单因素方差分析,aP<0.05;两组之间t检验,bP<0.01


对受鼠黄疸的监测通过鼠笼垫料上的尿渍来观察。在术后(7.4±2.8)d C组开始出现深黄色尿渍,而B组深黄色尿渍开始出现在术后(9.3±2.8)d。C组黄疸开始出现的时间较早,但两组间差异未达到统计学意义(P>0.05)。A组黄疸开始出现的时间为(12.8±0.04)d,晚于B、C两组,与两组之间的差异均有统计学意义(P<0.01,图2)。


术后在对三组受鼠体重的持续观察中,发现各组呈现不同的体重变化曲线(图2)。术后第8天,A、B组受鼠体重出现显著差异,B组的体重明显低于A组,两组体重分别占基线值的(88.9±7.0)%和(95.3±5.7)(P<0.05)。C组受鼠术后体重加速下降,在术后第4天体重开始明显低于A组和B组,C组体重占基线值的(84.4±3.6)%,A组占(90.7±2.5)%,B组占(89.4±6.4%)(P<0.05)。,在经历约2 d左右的体重反弹后,术后第8天体重再次开始下降。其后的观察时间由于该组存活的受鼠减少,无法计算统计学差异。不同于A组,B组和C组受鼠均在术后体重稳定后再次出现下降,提示受鼠一般情况恢复差,可能是由于排斥反应所致。
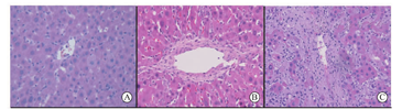
在三组受鼠死亡或者观察期结束后,受鼠的移植肝被立即取出并行HE染色。A组观察到门静脉周围出现胆管增生,有少量的淋巴细胞浸润,肝窦未见明显扩张。在中心静脉区未观察到内皮的增生,周围肝窦有淋巴细胞浸润。B组门静脉周围可以同样观察到胆管上皮的增生,淋巴细胞的浸润,肝窦稍有增宽,但没有明显的扩张。在中央静脉区可观察到内皮明显增厚,周围伴有淋巴细胞浸润,提示血管炎症反应。C组死亡受鼠肝脏组织中可以看到门静脉周围大量的淋巴细胞浸润,肝窦明显扩张,被浸润的淋巴细胞充填。正常的肝细胞排列形态被破坏。中心静脉附近同样可见大量淋巴细胞浸润。血管内皮明显增厚。上述组织学表现提示C组受鼠死于急性排斥反应(图3)。C组的Banff RAI评分明显高于A组和B组,C组为9.0±0.0 ,A组为5.0±1.1,B组为6.0±1.4(P<0.05),而B组和A组间Banff RAI评分的差异无统计学意义(表3)。

各组之间肝移植物Banff RAI评分的比较
各组之间肝移植物Banff RAI评分的比较
| 组 别 | n | 观察期 | Banff评分 |
|---|---|---|---|
| A组 | 6 | 28 d | 5.0±1.1a |
| B组 | 6 | 28 d | 6.0±1.4be |
| C组 | 6 | 死亡 | 9.0±0.0abcd |
| B1组 | 12 | 7 d | 7.5±0.8de |
| C1组 | 12 | 7 d | 8.5±0.5c |
注:a(A和C组)、b(B和C组)、c(c和C组)、d(B1和C组)和e(B和B1组)为两组之间t检验存在统计学差异(P<0.05),如数据不能通过正态检验,则行Mann-Whitney秩和检验


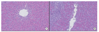
B1、C1组受鼠根据GW/RLW分组,组间GW/RLW差异亦具有显著统计学意义(P<0.01,表1)。移植肝脏在术后的第7天被取出,并行HE染色行组织学分析。两组均可以观察到肝窦扩张,肝窦内门静脉区有较多的淋巴细胞浸润,血管内皮也可见淋巴细胞浸润,提示移植排斥反应的发生,B1、C1组Banff RAI评分分别为8.5±0.5和7.5±0.8,组间差异未见统计学意义(P>0.05,表3,图4),可能是由于均处于急性排斥反应病理变化的早期。


GW/RLW同样大于33%的B组和B1组比较,观察期为28 d的B组的Banff RAI评分低于B1组(P<0.05)。提示在术后28 d,免疫排斥反应相较于术后7 d减弱。GW/RLW同样小于30%的C组和C1组比较时,C组的Banff RAI评分则高于C1组(P<0.05),提示死亡的受鼠肝移植排斥反应较术后7 d增强,可能是随着观察期的延长,排斥反应逐步增强(表3)。
B1、C1两组受鼠于PLTx术后7 d切取移植肝称重。B1组移植肝重量为(8.73±0.96)g,C1组平均移植肝重量为(10.85±0.98)g。对比Lewis受鼠原肝重量为(8.74±0.35)g。可见术后7 d部分肝移植物重量已经再生至受鼠原肝水平。但是C1组术后第7天移植肝/术中移植肝重量的比值高于B1组(P<0.05),提示C1组术后移植肝重量增长较多,可能是由排斥反应所导致的炎症及肿胀(图5)。


C1组的ALT为(690.1±282.8)IU/L,而B1组的ALT为(264.3±72.8)IU/L,C1组的ALT值高于B1组(P<0.05)。同样的,C1组的AST为(2043.0±1630.0)IU/L,也高于B1组的(694.3±422.8)IU/L(P<0.05)。提示C1组的肝损伤较B1组严重,可能是由于较强的排斥反应所致。B1和C1组的胆红素均有升高,分别为(82.7±20.3)μmol/L和(92.2±23.3)μmol/L,但是两组之间的差异无统计学意义(P>0.05,图6)。


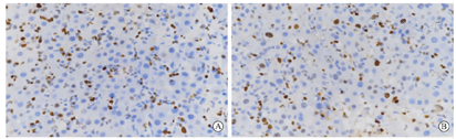
在PLTx术后第7天C1组的Ki67阳性肝细胞数/总肝细胞数的比值为0.15±0.04,而B1组的Ki67阳性肝细胞数/总肝细胞数的比值为0.10±0.02。C1组的肝再生率平均值高于B1组,但是组间差异无统计学意义(P>0.05,图7、图8)。




与术后48 h相比,B1组穿孔素mRNA表达水平由0.22±0.01上调至在术后第7天的0.70±0.08(P<0.01);B1组颗粒酶B mRNA表达水平也由0.18±0.02上调至1.60±0.14(P<0.01)。C1组类似,穿孔素mRNA水平在术后第7天也较术后48 h明显升高,由0.22±0.01升高至1.11±0.34(P<0.01);C1组颗粒酶B由0.06±0.03升高至2.55±0.98(P<0.01)。且在术后第7天,C1组穿孔素和颗粒酶B mRNA表达水平均高于B1组(P<0.05,图8)。穿孔素和颗粒酶B的mRNA上调,提示细胞介导的细胞毒反应的增强。
C1组IL-2 mRNA水平从术后48 h到术后第7天显著增高,由1.31±0.62升高至6.03±4.84(P<0.05);而B1组IL-2 mRNA水平虽然随观察期延长略有升高,分别为2.29±1.34和2.79±1.20,但差异无统计学差异(P>0.05)。在术后第7天,C1组的IL-2的mRNA表达水平为6.03±4.84,高于B1组的2.79±1.20(P<0.05)。提示较低的GW/RLW可以刺激更多的IL-2分泌(图8)。
C1组CD3 mRNA水平在术后第7天也较术后48 h显著上调,由0.05±0.07升高至18.7±20.0(P<0.05);但在B1组术后48 h和术后第7天的CD3 mRNA分别0.12±0.23和0.40±0.70,差异无统计学意义(P>0.05)。术后第7天,C1组CD3的mRNA水平为18.7±20,显著高于B1组的0.05±0.07(P<0.05)。提示C1组受鼠移植肝有更多的CD3+T淋巴细胞浸润(图4、图8)。并且在术后第7天C1组的细胞表面共刺激分子B7-H1的mRNA水平为6.5±0.7,低于B1组的7.8±0.9(P<0.05),提示C1组的维持免疫接受的共刺激分子B7-H1被降低(图9)。


部分肝移植物相较于全肝移植物在术中及术后受到更多的损伤,因此也有更多的影响因素牵涉其中。除外同种异体的免疫反应,PLTx还涉及肝再生[2]、门静脉高压[1]、小肝综合征[6,12]以及严重的缺血再灌注损伤[13]等,这些创伤可能导致非特异性的免疫激活。有研究证明,Toll样受体4在PLTx中会高表达[5],而Toll样受体4下游相应的信号通路,被认为可以活化特异性的免疫反应,进而排斥肝移植物。此外,有研究观察到肝再生可以使排斥反应时间提前[14]。在冷缺血再灌注损伤的肝移植物中,B7-H1会被诱导高表达进而控制肝损伤及CD8+的T淋巴细胞浸润。敲除B7-H1可以看到更多的CD8+细胞浸润和更严重的肝损伤[15]。PLTx同时也可以导致危险因子HMGB1的释放[16],而HMGB1可以活化星状细胞[16],激活免疫反应。因此我们推测PLTx可能会导致排斥反应的增强。
PLTx术后的免疫学研究需要一个合适的模型。如果在肝移植排斥反应模型上研究PLTx的免疫学反应,有可能因为高强度急性排斥反应掩盖了因PLTx所导致的免疫反应增强。然而在耐受模型上,又可能观察不到由于PLTx所带来的排斥反应。不同于完全的免疫耐受模型,BN-Lewis大鼠全肝移植模型是一种自发免疫接受模型。BN-Lewis大鼠全肝移植术后会出现一过性的非致死性的排斥反应,但是这种排斥反应可以被自发逆转,最终达到"接受"。可以在图7中观察到受鼠在术后12~13 d开始出现排斥反应导致的尿胆原的升高,但是这种尿胆原升高并不是由于手术原因导致的胆道梗阻,因为其在术后约100 d左右会逐渐降至正常[6]。在本研究中,急性排斥反应还导致术后大鼠体重有一过性的体重增长缓慢,但是在28 d的观察期内,所有的受鼠均存活。组织学上,我们可以看到轻度的淋巴细胞浸润。这提示移植肝内的同种异体排斥反应仍存在,但是并不强烈。我们的存活率、体重和黄疸的观察结果,与其他研究组的结果是相符的[6]。
本实验通过不同的GW/RLW在BN-Lewis大鼠自发免疫接受模型上来诱导急性排斥反应。当GW/RLW>33%时,受鼠均能存活。但是不同于全肝移植,GW/RLW>33%的受鼠的黄疸出现时间较之提前了。与此相符的是,GW/RLW>33%的受鼠的体重恢复速度也出现了相应的滞缓。提示可能存在排斥反应提早出现。术后28 d的病理检查提示淋巴细胞的浸润以及中央静脉血管内膜的增厚同样支持急性排斥反应的推断,但是其Banff RAI评分与全肝组没有显著差异。相较于观察期为7 d的GW/RLW>33%组,28 d观察组有更低的Banff RAI评分,提示急性排斥反应在术后28 d得到了缓解。但是在GW/RLW<30%的28 d观察期的组别中,其受鼠的存活率明显下降,所有受鼠在观察期结束之前全部死亡。术后的病理均支持受鼠死于急性排斥反应的结论,其受鼠部分肝移植的Banff RAI评分显著高于观察期为7 d的GW/RLW<30%组。提示随着观察期的延长,急性排斥反应加剧。在术后第7天,GW/RLW<30%组的AST和ALT也显著高于GW/RLW>33%组。间接支持GW/RLW<30%组中急性排斥更加剧烈。同样的其黄疸出现时间也较全肝移植明显提前,体重曲线明显低于全肝移植组和GW/RLW>33%组,提示可能存在更强烈的急性排斥反应。
除了存活率、黄疸、体重和组织学评估,我们还针对部分肝移植物内的IL-2、穿孔素还有颗粒酶B的mRNA水平进行了检测。IL-2在移植免疫反应中发挥重要作用。它可以以自分泌或旁分泌方式活化T淋巴细胞进行增殖,参与免疫应答,从而诱发移植急性排斥反应。穿孔素和颗粒酶B则在细胞介导的细胞毒反应中由细胞毒性T淋巴淋巴细胞和自然杀伤细胞胞质颗粒储存并分泌,能介导效应细胞对靶细胞进行杀伤作用。术后7 d一般认为是急性排斥反应发生的高发期,且在这个时间点GW/RLW<30%组均未出现死亡,因此被选为检测时间点。在术后第7天,GW/RLW<30%组的穿孔素、颗粒酶B和IL-2的mRNA水平均高于GW/RLW>33%组,提示GW/RLW<30%组存在更强烈的排斥反应。其T淋巴细胞的表面标志物CD3的mRNA水平更是远高于GW/RLW>33%组,提示更多成熟的T淋巴细胞浸润。术后第7天GW/RLW<30%组的移植肝增重比值也是高于GW/RLW>33%组,可能是由于强烈的排斥反应导致移植肝增大增重。据此推测在GW/RLW>33%时,非致死性的排斥反应会被增强,但是不会导致受鼠死亡,而这种程度的排斥反应最终会被逆转成接受。当在GW/RLW<30%时,则非致死性的急性排斥反应会被增强成致死性急性排斥反应。
B7-H1是B7家族的成员,又称为程序性死亡配体(programmed death ligand 1,PD-L1)。有研究证实B7-H1在维持全肝移植的自发免疫接受中重要的作用[17]。研究者发现,B7-H1在小鼠自发免疫接受的肝移植物中高表达。敲除B7-H1基因或者使用抗B7-H1单抗可以打破自发接受,进而引起排斥反应及移植肝功能丧失。而且B7-H1基因敲除后,自发接受的小鼠肝移植物中的CD4+和CD8+T淋巴细胞的凋亡也显著减少[17]。在术后第7天GW/RLW<30%组的B7-H1 mRNA水平显著低于GW/RLW>33%组,提示在GW/RLW降低后,B7-H1共刺激分子的表达下调,从而不能够维持免疫接受,导致急性排斥反应增强。当GW/RLW<30%时,甚至免疫接受被打破,形成致死性的排斥反应。但是其中详细的调节的机制还不明确。在术后第7天,通过Ki67检测两组间的肝再生率,差异未见统计学意义。但术后48 d内早期的肝再生是否影响免疫反应,还有待进一步探讨和研究。





















