
探讨实体器官移植后发生移植物抗宿主病(GVHD)的诊治方法和可能的发病机制。
回顾性分析1例罕见肾移植术后GVHD受者的诊治经过并复习相关文献。受者肾移植术后50 d因皮肤散发皮损再次入院,皮肤活体组织检查病理提示为GVHD。为明确诊断,进一步对患者进行了外周血CD3+淋巴细胞富集后的短串联重复序列(short tandem repeats, STR)嵌合分析和皮肤组织供者特异性人类白细胞抗原(HLA)抗体免疫荧光实验,同时进行降低免疫抑制为主导的治疗。
STR分析结果显示,患者外周血淋巴细胞嵌合率为0,但皮肤组织供者特异性HLA抗体免疫荧光结果证实,皮肤组织大量浸润淋巴细胞为供者来源,从而确诊为肾移植术后GVHD。经过降低免疫抑制治疗,小剂量甲泼尼龙冲击治疗后,该患者迅速好转出院,目前肾功能正常。
结合文献复习,外周血STR嵌合分析和供者特异性HLA染色是确诊实体器官移植后的GVHD有力手段;肾移植术后的GVHD预后较好;推测实体器官移植后GVHD可能是免疫抑制的结果。
版权归中华医学会所有。
未经授权,不得转载、摘编本刊文章,不得使用本刊的版式设计。
除非特别声明,本刊刊出的所有文章不代表中华医学会和本刊编委会的观点。
移植物抗宿主病(GVHD)是实体器官移植后罕见并发症,尤其是肝移植术后一旦发生,病情进展迅速且凶险,致死率高达90%[1,2]。GVHD主要临床特征如皮疹、腹泻、发热及淋巴细胞减少等,呈现非特异性,较难与病毒感染及药物反应区分,因此,快速而准确的诊断方法对GVHD的治疗和预后具有十分重要的临床意义。已有文献报道,皮肤及胃肠道活体组织检查结合外周血供者来源淋巴细胞嵌合率分析被认为是确诊GVHD快速有效的诊断方法[3,4]。本文报道1例肾移植术后疑似GVHD患者,该患者皮肤活体组织检查显示,典型GVHD特征,但外周血CD3+淋巴细胞富集后嵌合率阴性,相互矛盾的结果对GVHD的确诊和治疗带来了困难。最终,我们通过供者特异性HLA抗原染色免疫荧光实验,证实患者皮肤组织中大量浸润的淋巴细胞为供者来源,从而确诊为GVHD。通过降低免疫抑制治疗,患者痊愈出院。现总结诊疗经过并复习文献如下。
患者为男性,年龄51岁,2017年2月21日因慢性肾小球肾炎、肾功能衰竭在我院行肾移植术,手术过程顺利。供者器官捐献为中国三类(C-Ⅲ),供受者血型均为O型,HLA抗原位点分别是A2,11, B75,62, DR4,12和A24,2, B75,60, DR9,12。患者术后移植肾功能恢复良好,术后免疫抑制方案为他克莫司+吗替麦考酚酯+醋酸泼尼松三联用药,术后17 d出院,定期门诊随诊,他克莫司浓度维持在7~8 ng/ml。术后第50天,患者因头部、颈部、背部和腿部皮肤出现散发皮损十余天再次入院,体格检查如图1所示(图1A、图1B、图1C、图1D),患者同时伴有淋巴细胞减少(7.4%, 正常范围为20%~50%)和轻度贫血(112.0 g/L,正常范围为130~175 g/L),无发热及腹泻等症状,巨细胞病毒和EB病毒核酸检测均为阴性。


为明确皮损性质,获取患者皮损处组织进行活体组织检查,皮肤组织置Bouin’s固定液中固定3 h,随后梯度脱水、浸蜡和常规石蜡包埋固定、2 μm连续切片、苏木精-伊红染色(hematoxylin-eosin, HE)及Masson染色,Olympus BX51显微镜下观察。
为明确患者外周血供受者淋巴细胞嵌合情况,分别收集供者器官获取时常规留存外周血,受者术前和皮损发生时外周血标本,对供者及受者术前标本提取脱氧核糖核苷酸(deoxyribonucleic acid, DNA),对患者皮损时外周血标本先进行CD3+淋巴细胞富集后提取其DNA,进行包括D8S1179,D21S11,D7S820,CSF1PO,D3S1358,THO1,D13S317,D16S539,D2S1338,D19S433,vWA,TPOX,D18S51,D5S818,FGA等15个STR基因位点和性染色体基因位点AMEL测序,检测供者来源的淋巴细胞嵌合率(中国医学科学院/北京协和医学院血液学研究所)。
为明确患者皮肤浸润淋巴细胞是否存在供者来源可能,我们进一步对患者皮肤组织内供者特异性抗原HLA-A11抗体(abcam,货号:ab31574)进行免疫荧光染色。获取患者皮损处皮肤组织,切片脱蜡,柠檬酸缓冲液加热抗原修复,1%牛血清蛋白(bovine serum albumin, BSA)封闭后经HLA-A11抗体4 ℃孵育过夜,使用磷酸缓冲盐溶液(phosphate buffer saline, PBS)漂洗三次,再使用异硫氰酸荧光素(fluorescein isothiocyanate, FITC)标记山羊抗小鼠IgG(Servicebio,货号:GB22301)和CY3标记山羊抗小鼠IgG(Servicebio,货号:GB21301)荧光二抗室温同时孵育1小时,PBS漂洗三次,4’,6-二脒基-2-苯基吲哚(4’,6-diamidino-2-phenylindole, DAPI)染核1分钟后封片,通过荧光显微镜镜下观察获得数据。
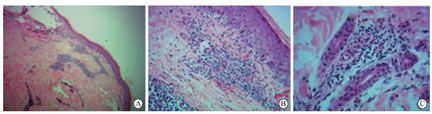
皮损处皮肤活体组织检查病理显示,皮肤组织沿鳞状上皮基底部,皮肤附属器周边和毛囊上皮内可见大量淋巴细胞侵润,符合典型GVHD改变(图2A、图2B、图2C)。


鉴于患者只表现为散在的皮损,无其他临床症状,为进一步明确GVHD诊断,我们对患者进行了CD3+淋巴细胞STR测序,结果显示患者外周血无供者来源的淋巴细胞存在(图3A、图3B、图3C、图3D、图3E、图3F)。


皮肤活体组织检查与外周血嵌合体检测结果出现的矛盾,对患者疾病的确诊和进一步治疗带来困惑。经过仔细对比供受者HLA抗原差异,对皮肤病理切片进行了针对供者来源特异性HLA-A11抗原免疫荧光染色。荧光染色结果显示,患者皮肤组织中大量侵润淋巴细胞为供者特异性来源(图4A、图4B、图4C)。综合上述结果,我们最终成功确诊该患者为GVHD。因患者未出现腹泻等胃肠道不适等症状,患者不同意行胃肠道活体组织检查。


由于GVHD多病程进展快,病情凶险,因此当皮肤活体组织检查结果提示GVHD后,分子学检测嵌合体结果尚在等待时,我们即对治疗方案进行如下调整:采用小剂量甲泼尼龙激素冲击治疗(80 mg维持9 d,60 mg维持4 d,继而40 mg维持4 d);降低免疫抑制(停用吗替麦考酚酯,他克莫司减量,血他克莫司浓度维持在3~4 ng/ml);同时积极预防感染(头孢哌酮舒巴坦,复方复方磺胺甲噁唑),免疫球蛋白10 g静脉滴注5天增强免疫力。经过17 d治疗后,患者皮损逐渐愈合,肾功能正常,痊愈出院。
实体器官如肝、胰腺、肺和肾等移植后GVHD的发生率仅有1%~2%[5],已发表文献多为全球各移植中心个案病例报道,这类GVHD临床典型症状与骨髓移植后GVHD类似,以皮疹、腹泻和发热最为常见,但是这些早期临床症状不典型且多变,较难与移植后感染和腹泻相区分,极易造成临床误诊,延误治疗。当患者腹泻加重、皮疹成片出现及高热持续不退时,病情已经非常危重,多伴有严重的骨髓抑制和感染,此时患者即使诊断明确,治疗的最佳时机已经错过,预后极差。因此,对于此类临床可疑患者,快速确诊尤为重要。
迄今为止,实体器官移植后GVHD具体发病机制和风险因素尚未完全阐明,目前认为其最主要发病机制是:实体器官移植物所携带的供者来源T淋巴细胞经受者抗原呈递细胞(APC)直接识别途径激活,然后对受者皮肤黏膜、骨髓和器官等进行攻击[2]。因此,在这些被攻击的组织和器官病理检查中可以看到大量的淋巴细胞浸润,典型的表现为淋巴细胞特异性浸润组织上皮基底部及附属器周边。如果能够证实这些淋巴细胞是供者来源的,是确诊GVHD的较直接可靠的证据。但如何确定这些浸润的淋巴细胞就是供者来源的,目前有效的方法是对供者来源的抗原进行特异性染色,如果供者为男性,受者为女性,可以进行Y染色体原位杂交(Fluorescence in situ hybridization, FISH)检测[12],但是该患者不适合此方法。当供者淋巴细胞较多或者出现骨髓浸润时,检测患者外周血或者骨髓血中供受者淋巴细胞嵌合率,也是GVHD的确诊方法之一[4]。其基本原理是富集外周血或者骨髓血标本中的CD3+淋巴细胞后,通过STR测序检测供者来源淋巴细胞比例,该方法快速有效,但是否存在假阴性尚无文献讨论。本病例中,患者皮损组织的活体组织检查病理HE染色提示典型GVHD表现,但患者外周血CD3+淋巴细胞富集后STR检测嵌合率却为阴性。为进一步明确诊断,我们首先通过对比供受者配型找出了供者来源特异性抗原HLA-A11,然后对皮肤病理切片进行A11抗原免疫荧光染色,结果显示皮肤组织浸润的淋巴细胞A11抗原染色阳性,确认浸润淋巴细胞就是供者来源,为最终确诊提供了直接证据。该例患者外周血嵌合率检测阴性,可能的解释是,当供者来源的淋巴细胞较少或者在GVHD早期,CD3+淋巴细胞富集后STR测序法存在假阴性的可能。所以对于GVHD的患者,应根据病情进展,多次取样检测,且对于皮疹或腹泻加重的患者,采集多处组织进行检测,可以有效降低误诊率。而采用供者特异性淋巴细胞抗原的免疫荧光检测方法确诊,其优点在于不仅可以直接确定组织或器官中浸润的淋巴细胞为供者来源,而且证实供者来源淋巴细胞正处于激活攻击状态。综上所述,结合包括活体组织检查及多种分子检测方法相互辅助,对于GVHD的快速确诊具有重要的意义。
在针对实体器官移植后GVHD的治疗方案的选择上,目前已有报道和研究结果存在争议:一种理论认为既然体内存在大量活化淋巴细胞攻击组织,就应该加强免疫抑制治疗,所以提倡大剂量激素冲击,增加口服免疫抑制剂的剂量,治疗方案类似于骨髓移植后GVHD;另一种理论则完全相反,认为此类患者大都死于感染和多器官功能衰竭,提示免疫抑制过度,认为应该加强抗感染,适当减少免疫抑制剂。而在本文复习文献报道的26例GVHD患者中,增加免疫抑制剂患者存活率明显低于降低免疫抑制剂的患者存活率(22.2%与63.6%)。
与骨髓移植后GVHD相比,实体器官移植后GVHD,治疗效果差,死亡率高,可能是因为两者发病机制存在本质区别。实体器官移植后发生GVHD时,移植器官功能大多良好,而供者淋巴细胞却处于活化攻击状态,提示在同等免疫抑制下,受者的淋巴细胞处于抑制状态。移植后实体器官中淋巴细胞通常是被受者的免疫系统清除的,但是当发生GVHD时,受者免疫系统抑制过度,所以难以彻底清除供者的淋巴细胞。基于以上认识,我们认为有效的治疗需要做到两点,第一是停用抗排斥反应的药物,解除受者的免疫抑制状态,通过提高受者的免疫力既能清除供者的淋巴细胞,也可以降低GVHD时感染的死亡率;第二是迅速清除或者抑制活化的供者来源淋巴细胞,减轻受者组织和器官损伤。然而,目前已知的药物或技术很难特异性清除供者来源的淋巴细胞。有文献报道[4],在肝移植术后GVHD的成功案例中应用体外光分离置换疗法(Extracorporeal photopheresis, ECP),先给患者使用8-甲氧补骨脂素(8-MOP),8-MOP选择性交联到淋巴细胞DNA双链,在体外紫外线照射作用下,可以在24~48 h内诱导淋巴细胞亚群细胞凋亡,从而达到清除淋巴细胞的目的,该治疗方法在国内开展较少。一种可能有效的替代治疗方案是,短时间大剂量甲泼尼龙冲击或抗人胸腺细胞球蛋白(ATG)同时清除供受者淋巴细胞,再行血浆置换以避免ATG的持续滞留引起患者免疫抑制过度,理论上亦可能达到ECP类似的治疗效果,但还需要病例进行临床验证。
对于治疗方案和治疗时机的选择,我们有如下体会:(1)对于疑似GVHD的患者,先于最终确诊的抢先治疗十分重要。一方面目前还没有用以确诊GVHD的金标准,另一方面根据以往报道,GVHD的病情进展十分迅速,如等最终确诊再进行治疗,可能延误最佳治疗时机。因此,本病例中,在皮肤活体组织检查提示GVHD后,我们立即开始进行抢先治疗,为病情的控制争取了时间;(2)对于治疗方案的选择,我们倾向于GVHD是免疫抑制过度的结果,因此通过降低免疫抑制强度,同时提高移植受者自身免疫水平,是GVHD有效的治疗方案。本病例中,我们在"抢先治疗"时,首先停用吗替麦考酚酯,他克莫司浓度维持在3~5 ng/ml,注射丙种免疫球蛋白增强患者免疫力,予以小剂量甲泼尼龙冲击治疗,患者病情迅速得到控制;(3)增强免疫力同时积极抗感染治疗十分必要,本病例中采用头孢哌酮舒巴坦联合复方碱胺甲噁唑进行预防性治疗,患者在发生GVHD期间未发生感染,当然患者病情起病缓和也为治疗争取了时间。本病例中患者最终痊愈,目前随诊受者的肾功能及血常规各项指标均保持正常。与肝移植和多器官联合移植比较,肾移植术后发生GVHD更加罕见[6],肾脏所携带的供者来源淋巴细胞相较于肝脏等免疫器官而言数量更加有限可能是原因之一,所以肾移植术后GVHD的临床表现较为温和,如尽早确诊和积极治疗,预后明显好于其他实体器官移植后GVHD[7,8,9,10,11]。





















