
分析儿童肝移植术后肝穿活检常见并发症的临床及病理特点。
回顾性分析2015年1月至2018年5月间168例儿童肝移植术后240例次肝穿刺活检的临床和病理资料,总结分析各种并发症的发生率及病理特点,分析各类急性排斥反应(AR)的病理特点以及C4d染色结果和Banff评分之间的相关性。
86.67%(208/240)可作出明确病理诊断,各种并发症的检出率依次为T淋巴细胞介导性急性排斥反应(TCMR)60.57%(126/208)、药物性肝损伤(DILI)17.31%(36/208)、胆道并发症8.17%(17/208)、血管并发症3.37%(7/208)、缺血再灌注损伤(IRI)2.88%(6/208)、抗体介导的急性排斥反应(AMR)1.92%(4/208)、乙型肝炎病毒(HBV)感染1.92%(4/208)、非酒精性脂肪性肝病(NAFLD)1.44%(3/208)、慢性排斥反应(CR)0.96%(2/208)和丙型肝炎病毒(HCV)感染0.48%(1/208)。AR中,TCMR和AMR分别占96.92%(126/130)和3.08%(4/160)。TCMR中门管区(PB)型占96.03%(121/126),术后30 d内检出率为26.45%(32/121),"Banff ACR RAI"评分3~5分、6~7分和8~9分别为65.87%(83/126)、25.40%(32/126)和4.76%(6/126),RAI评分与术后时间呈现负相关(r=-0.127,P=0.084)。BP型TCMR的中央静脉周围炎(CP)和门管区嗜酸性粒细胞浸润(PEI)的发生率分别为63.63%(77/121)和43.80%(53/121),PEI程度与RAI评分成正相关性(P<0.05)。CP型TCMR和AMR分别见于术后30~365 d和8~180 d,2例CR见于术后1095 d和1335 d,排斥反应类型和术后发生时间具有相关性(Z=9.231,P=0.026)。C4d阳性检出率为10%(24/240),与Banff评分和术后时间具有相关性,C4d阳性及强度与排斥反应类型和RAI评分具有相关性。DILI多见于术后90 d内和180 d后,胆道并发症术后180 d内检出率82.35%(14/17),IRI在术后30 d内,肝动脉并发症占血管并发症57.14%(4/7),发生时间均在术后90 d内,肝炎病毒感染>365 d,CMV感染<90 d,NAFLD见于术后365 d内。
儿童肝移植术后各种并发症的临床和病理表现具有相对的特异性,肝穿刺活检对排斥反应的分型及分级的诊断具有决定性作用,在非排斥反应并发症的鉴别诊断中具有重要价值。
版权归中华医学会所有。
未经授权,不得转载、摘编本刊文章,不得使用本刊的版式设计。
除非特别声明,本刊刊出的所有文章不代表中华医学会和本刊编委会的观点。
随着肝移植技术的不断完善,肝移植已经成为治疗儿童终末期肝病最为有效的方法[1]。儿童终末期肝病大多为先天性或遗传性疾病,不同病因儿童的自身免疫免疫状态、手术方式和术后治疗方案等与成人肝移植存在差异,导致术后并发症类型与成人不同[2]。肝穿刺活检病理检查已被公认为肝移植术后常见并发症的重要诊断方法之一,在成人肝移植中各种并发症的临床及病理特征已被详细描述[3,4],但在儿童肝移植中尚未见系统性报道。为此,我们回顾性分析我中心240例次儿童肝移植术后肝穿刺活检的临床和病理资料,现总结如下。
2015年1月至2018年5月我院168例儿童肝移植术后肝穿刺活检的临床及病理资料。168例受者中,男性82例,女性86例,中位年龄12个月(7~214个月);原发病包括胆道闭锁153例,进行性家族性肝内胆汁淤积症5例,Ⅰ型酪氨酸血症3例,尿素循环障碍性疾病3例,糖原累积症2例,Caroli病1例,以及先天性肝纤维化1例。受者术后给予他克莫司+糖皮质激素的免疫抑制方案,他克莫司剂量为0.1~0.15 mg·kg-1·d-1,术后1个月内血药浓度为8~12 μg/L,第2~6个月为7~10 μg/L,第7~12个月5~8 μg/L,12个月后维持在5 μg/L左右;糖皮质激素于术后第1天静脉注射剂量为4 mg·kg-1·d-1,随后逐渐减量,术后1周更换为口服糖皮质激素,剂量0.25~1 mg·kg-1·d-1。受者出现无法解释的肝酶学检查结果异常时行肝穿刺活检。
纳入本研究的病例满足以下标准:(1)临床及实验室资料完整;(2)肝穿活检组织中门管区数量≥5个、中央静脉数量≥3个;(3)肝穿刺活检后随访时间≥14 d;(4)依照病理诊断结果治疗2周内肝酶学指标下降50%或回复正常者。
受者经全身麻醉和局部消毒后,在超声引导下采用经皮穿刺活检(活检针型号18)于受者腋中线或腋前线第7~9肋间隙的肝浊音区穿刺获取1条完整肝活检组织,若组织长度<1 cm,则再取活检组织1条,穿刺结束后局部压迫止血,卧床休息。
肝穿刺活检组织经100 g/L中性甲醛溶液固定、快速脱水、常规包埋,并连续切片(厚4 μm),行HE染色,每例样本观察6个组织切面,由两名专职移植病理医师分别阅片,并记录病变特点及汇管区内嗜酸性粒细胞浸润(PEI)数量,依据Banff ACR RAI标准对TCMR进行评分[5]。所有病例行C4d、CD3、CD20、CK19、HBsAg、HBcAg、HCVAg、CMV、EBV免疫组织化学染色(IHC),判定淋巴细胞分类、胆管损伤及病毒感染情况。IHC由罗氏全自动免疫组化染色机完成,抗体由罗氏诊断产品(上海)有限公司提供。所有病例行Masson三色和网状纤维染色评价肝脏纤维化及坏死程度,试剂由珠海贝索生物技术有限公司提供。依照《肝移植常见并发症病理诊断指南(2016版)》对C4d染色结果进行判定和强度分级[3]。
肝穿刺活检当日或前1 d内及治疗后2周内检测血清丙氨酸转氨酶(ALT)、天冬氨酸转氨酶(AST)、ALP、GGT及TB水平,结果来自于我院检验科。
所有数据应用SPSS(17.0)版软件进行处理。定量资料以One-Sample Kolmogorov-Smirnov Test(1 sample K-S Test)检验计量资料的正态性,采用均数和标准差(符合正态分布)或者中位数与四分位数间距(不符合正态分布)的形式表示;定性资料采用例数(百分比)形式表示。两组间定量资料的比较采用独立样本t检验(正态分布)或者非参数检验(Mann-Whitney Test,非正态分布)。多组间比较采用方差分析(One-way ANOVA,正态分布)或者Kruskal-Wallis(H)检验(非正态分布)。两组间定性资料的比较采用Pearson卡方检验。P<0.05为差异有统计学意义。
术后总计进行肝穿刺活检240次,其中1次、2次、3次、4次和5次活检分别占73.21%(123/168)、17.26%(29/168)、4.17%(7/168)、4.17%(7/168)和1.19%(2/168)。肝穿活检时间中位数为术后30 d(术后4~1825 d)。
肝穿刺活检后TCMR、药物性肝损害(DILI)和胆道并发症检出率分别为60.57%(126/208)、17.31%(36/208)和8.17%(17/208),其他并发症包括血管并发症、缺血再灌注损伤(IRI)、抗体介导的排斥反应(AMR)、HBV/HCV/CMV感染、非酒精性脂肪肝(NAFLD)和慢性排斥反应(CR)(图1)。本组病例中无特异性病变(无法做出明确病理诊断)32次,占13.33%(32/240),包含肝穿刺活检后治疗效果复查和某些并发症的早期或不典型病理表现,临床和病理结果均难以明确诊断。


132例次排斥反应中,TCMR检出率最高,其中以门管区(PB)型为主,多见于术后30 d内,术后16~30 d检出率最高。中央静脉周围炎(CP)型TCMR检出时间均在术后30 d后,AMR均在术后180 d内检出,CR发生率较低,均发生于术后2年后(表1)。

132次排斥反应类型及发生时间(次)
132次排斥反应类型及发生时间(次)
| 术后时间(d) | TCMR(BP型) | TCMR(CP型) | AMR | CR | 总计 |
|---|---|---|---|---|---|
| ≤7 | 15(12.40%) | - | - | - | 15(11.36%) |
| 8~15 | 14(11.57%) | - | 1(25.00%) | 15(11.36%) | |
| 16~30 | 32(26.45%) | - | 1(25.00%) | - | 33(25.00%) |
| 31~180 | 24(19.83%) | 1(20.00%) | 2(50.00%) | - | 26(19.70%) |
| 181~365 | 15(11.36%) | 3(60.00%) | - | - | 19(14.39%) |
| 366~730 | 12(9.92%) | 1(20.00%) | - | - | 13(9.85%) |
| >730 | 13(10.74%) | - | - | 2(100%) | 14(10.61%) |
| 总计 | 121(91.67%) | 5(3.79%) | 4(3.03%) | 2(1.52%) | 132 |
注:Kruskal Wallis秩和检验得出,Z=9.231,P=0.026,说明排斥反应类型与发生时间相关;TCMR为T淋巴细胞介导性急性排斥反应,AMR为急性抗体介导的排斥反应,CR为慢性排斥反应
非AR并发症中在术后≤30 d内检出率较高,其中DILI检出率最高,多见于术后30 d内和365 d后;其次为胆道并发症,其中82.35%于术后180 d内检出。血管并发症中肝动脉并发症检出率57.14%,呈现术后90 d内和365 d后双峰发生,IRI见于术后30 d内,HBV和HCV感染均在术后365 d检出,CMV感染见于术后90 d内,NAFLD无明显时间分布特点(表2)。

76次非排斥反应并发症发生时间(次)
76次非排斥反应并发症发生时间(次)
| 并发症类型 | 术后不同时间检出例数 | 总计 | |||||
|---|---|---|---|---|---|---|---|
| ≤30 d | 31~90 d | 91~180 d | 181~365 d | >365 d | |||
| 药物性肝损伤 | 10(27.77%) | 7(19.44%) | 2(5.56%) | 8(22.22%) | 9(25.00%) | 36(47.37%) | |
| 胆道并发症 | 6(35.29%) | 4(23.53%) | 4(23.53%) | 1(5.88%) | 2(11.76%) | 17(22.39%) | |
| 血管并发症 | 7(9.21%) | ||||||
| 肝动脉 | 2(50%) | 2(50.00%) | 0 | 0 | 0 | 4(5.19%) | |
| 肝静脉 | 1(50%) | 0 | 0 | 0 | 1(50.00%) | 2(2.59%) | |
| 门静脉 | 0 | 1(100%) | 0 | 0 | 0 | 1(1.30%) | |
| IRI | 6(100%) | 0 | 0 | 0 | 0 | 6(7.89%) | |
| HBV感染 | 0 | 0 | 0 | 0 | 4(100%) | 4(5.26%) | |
| NAFLD | 1(33.33%) | 1(33.33%) | 0 | 1(33.33%) | 0 | 3(3.95%) | |
| 感染 | 1(50.00%) | 1(50.00%) | 0 | 0 | 0 | 2(2.63%) | |
| HCV感染 | 0 | 0 | 0 | 0 | 1(100%) | 1(1.32%) | |
| 总计 | 27(35.53%) | 16(21.05%) | 6(7.89%) | 10(13.15%) | 17(23.37%) | 76 | |
注:IRI为缺血再灌注损伤,HBV为乙型肝炎病毒,NAFLD为非酒精性脂肪变性,CMV为巨细胞病毒,HCV为丙型肝炎病毒
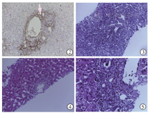
本组病例中共检出C4d+ 24次,AMR和CR病例中各检出C4d+ 4次和2次,其阳性强度均≥2分(图2),TCMR病例中检出C4d+16次,其中81.25%为强度=2分,NAFLD和无特异病变病例中各出现1次C4d沉积,染色强度均为1分(表3)。

24次C4d免疫组化染色阳性及强度(次)
24次C4d免疫组化染色阳性及强度(次)
| C4d+强度 | TCMR | AMR | CR | NAFLD | 无特异 |
|---|---|---|---|---|---|
| 1分 | 3 | 0 | 0 | 1 | 1 |
| 2分 | 13 | 0 | 2 | 0 | 0 |
| 3分 | 0 | 4 | 0 | 0 | 0 |
| 合计 | 12.70%(16/126) | 100%(4/4) | 100%(2/2) | 33.33%(1/3) | 3.13%(1/32) |
注:TCMR为T淋巴细胞介导性急性排斥反应,AMR为急性抗体介导的排斥反应,CR为慢性排斥反应,NAFLD为非酒精性脂肪肝


TCMR中Banff RAI评分3~5分检出率最高,不同分值与术后排斥反应发生时间呈现负相关(r=-0.127,P=0.084)。术后15 d内C4d+检出率最高,C4d+检出率与RAI评分(Z=1.921,P=0.383)和术后时间(Z=10.320,P=0.112)无显著相关性,但呈现C4d+与RAI分值正相关趋势与术后时间呈负相关趋势,扩大样本量其可能存在统计学差异。CP型TCMR于术后30 d后检出,其中80%<365 d,C4d+检出率为20%(表4)。

126次T淋巴细胞介导性急性排斥反应(TCMR)Banff ACR RAI及c4d阳性统计(次)
126次T淋巴细胞介导性急性排斥反应(TCMR)Banff ACR RAI及c4d阳性统计(次)
| 术后时间(d) | RAI评分3~5分(83次,65.87%) | RAI评分6~7分(32次,25.40%) | RAI评分8~9分(6次,4.76%) | CP型(5次,3.97%) | ||||
|---|---|---|---|---|---|---|---|---|
| C4d+ | C4d- | C4d+ | C4d- | C4d+ | C4d- | C4d+ | C4d- | |
| ≤7 | 1 | 4 | 2 | 6 | 1(50.00%) | 1(50.00%) | 0 | 0 |
| 8~15 | 2 | 8 | 2 | 2 | 0 | 0 | 0 | 0 |
| 16~30 | 3 | 18 | 0 | 10 | 0 | 1 | 0 | 0 |
| 31~180 | 3 | 18 | 0 | 2 | 0 | 1 | 1 | 0 |
| 181~365 | 0 | 7 | 0 | 3 | 0 | 1 | 0 | 3 |
| 366~730 | 0 | 9 | 0 | 3 | 0 | 0 | 0 | 1 |
| >730 | 0 | 10 | 0 | 2 | 0 | 1 | 0 | 0 |
| 总计 | 9(10.84%) | 74(89.16%) | 4(12.50%) | 28(87.50%) | 1(16.67%) | 5(83.33%) | 1(20.00%) | 4(80.00%) |
TCMR中除典型的门管区"三联征"(图3):门管区炎、小叶间胆管炎及小叶间静脉炎外,CP(图4)和PEI(图5)的发生率分别为64.29%和43.80%(表5),表明CP和PEI在TCMR的病理诊断及鉴别诊断中具有重要价值。5例次CP型TCMR的依照标准评分中度3例次,重度2例次。

不同类型T淋巴细胞介导性急性排斥反应(TCMR)病理特点及检出率(次)
不同类型T淋巴细胞介导性急性排斥反应(TCMR)病理特点及检出率(次)
| 并发症 | 病理特点 | ||||
|---|---|---|---|---|---|
| 门管区T淋巴细胞浸润 | 小叶间胆管炎 | 小叶间静脉炎 | CP | PEI | |
| BP型TCMR | 121(100%) | 102(84.30%) | 113(93.39%) | 77(63.64%) | 53(43.80%) |
| CP型TCMR | 1(20.00%) | 1(20.00%) | 2(40.00%) | 5(100%) | 0 |
| 总计 | 122(96.83%) | 103(83.74%) | 115(91.27%) | 82(65.08%) | 53(42.06%) |
Banff"ACR RAI评分"与CVI的检出率呈正相关,RAI评分>6分时CP的检出率>90%。在"ACR RAI评分"6~7分中PEI的检出率最高,PEI数量5~60个与"ACR RAI评分"呈正相关性(P<0.01,表6,图6)。

不同Banff RAI评分中CP和PEI检出率
不同Banff RAI评分中CP和PEI检出率
| RAI评分 | 病理特点 | 总计 | |
|---|---|---|---|
| CP | PEI | ||
| 3~5分 | 42(50.60%) | 28(33.73%) | 83(65.87%) |
| 6~7分 | 29(90.63%)) | 22(68.75%) | 32(25.40%) |
| 8~9分 | 6(100%) | 3(50.00%) | 6(4.76%) |
| 总计 | 77(63.64%) | 53(43.80%) | 121 |


病理表现包括门管区炎症,门管区水肿,肝实质纤维化,小胆管增生、萎缩、减少,中央静脉和(或)肝窦扩张、淤血,肝细胞水样、脂肪、嗜酸变性,肝细胞坏死及肝实质淤胆等,不同并发症间上述病变检出率不同(表6、表7),有助于各种并发症病理诊断及鉴别诊断。

儿童肝移植术后非T淋巴细胞介导性急性排斥反应(TCMR)并发症常见病理表现
儿童肝移植术后非T淋巴细胞介导性急性排斥反应(TCMR)并发症常见病理表现
| 病理表现 | 并发症类型 | |||||||||||
|---|---|---|---|---|---|---|---|---|---|---|---|---|
| 药物性肝损伤 | 肝动脉狭窄或梗阻 | 肝静脉狭窄或梗阻 | 门静脉狭窄或梗阻 | 胆道狭窄或梗阻 | 胆道缺血病变 | IRI | 肝炎病毒感染 | CMV感染 | NAFLD | CR | AMR | |
| 门管区炎症 | ±a/b | +a | +a | +a | +a | +a | +a | +~+++b | +a | - | ±b | ±a |
| 门管区水肿 | - | + | - | ± | +++ | - | + | - | - | - | - | ++ |
| 肝实质纤维化 | - | - | - | ++1 | - | - | +~+++ | - | - | + | - | |
| 小胆管增生 | ± | ± | - | - | +++ | ± | + | +~++ | ± | - | - | ± |
| 小胆管萎缩/减少 | ± | ++c | - | - | +1 | ++ | - | - | - | - | +++ | - |
| 中央静脉扩张/淤血 | ± | + | ++ | - | - | - | - | - | - | - | ||
| 肝细胞病变h | ++ | ++ | ++ | +++ | + | + | ++ | +~+++ | +g | +± | +~++ | + |
| 肝细胞脂肪变性 | +d/e | +d | ±d | +d | - | - | ± | +f | - | +++e | - | - |
| 肝窦扩张、淤血 | ± | - | +++ | - | - | - | ± | + | - | - | - | + |
| 肝实质淤胆 | ±~++ | ++ | +c | +c | +++ | +~+++ | ± | + | - | - | +++ | ± |
注:肝细胞病变包括水样变性、嗜酸性变和点灶性坏死;"±"为偶见和(或)程度轻微;"+"为常见或轻度;"++"为常见或中度;"+++"为常见或重度;a门管区嗜中性粒细胞浸润为主,b门管区淋巴细胞浸润为主,c晚期病变出现,d小泡性脂肪变性,e大泡性脂肪变性,fHCV感染出现大泡性脂肪变性,g肝细胞灶性坏死伴嗜中性粒细胞浸润;IRI为缺血再灌注损伤,CMV为巨细胞病毒,NAFLD为非酒精性脂肪变性,CR为慢性排斥反应,AMR为急性抗体介导的排斥反应
肝穿刺活检病理检查是肝移植术后各种并发症诊断及鉴别诊断的重要方法之一,是排斥反应诊断、分类和分级的"金标准"[4]。长期以来,肝移植术后各种并发症的病理学研究多集中在成人肝移植,鉴于成人和儿童肝移植在原发病、手术方式及术后管理中均存在差异,推断两者在术后并发症的临床及病理表现可能存在差异,因此,总结并分析儿童肝移植术后肝穿活检的临床及病理特点,将有助于发现两者间的异同点,对提高病理诊断的准确性和及时评估肝功能异常原因极为重要。
本研究中并发症类型和检出率仅代表其在儿童肝移植术后肝穿刺活检中的发生情况,术后较为常见的感染、血管并发症和CMV/EBV感染多数不需要通过肝穿刺活检确诊。术后肝穿刺活检中AR仍是主要原因,本组病例中AR检出率为其发生率62.50%,显著高于成人的32.46%[7],主要是由于儿童受者体重的迅速增加,对免疫抑制剂的依从性和利用能力差有关[8]。DILI检出率较高的重要原因归咎于儿童对各类型药物代谢能力不足。儿童胆道直径小是导致胆道并发症主要原因之一[9],肝动脉血栓,供肝获取,手术吻合技术,再灌注损伤以及感染等是常见致病因素,血管并发症包括肝动脉、门静脉和肝静脉并发症,其主要原因是血管腔直径较细,手术吻合比较困难,血管并发症的诊断金标准为血管造影,病理学检查可作为评估移植肝损伤程度和并发症的鉴别诊断主要方法[10,11,12]。由于儿童肝移植大多为父母捐赠,冷热缺血时间较短且质量较好,因此,IRI的检出率较低。儿童出生后常规接种乙肝疫苗,但如果未产生抗体,术后应用血液制品仍可导致新发HBV或HCV感染。儿童肝移植术后CMV感染率较高,但由于多为CMV血症,CMV肝炎检出率较低,常于抗排斥反应治疗后的受者中检出。NAFLD检查率较低,主要是长期服用免疫抑制导致代谢障碍引起。
儿童肝移植术后肝穿刺活检是诊断和鉴别诊断AR的重要方法,依据免疫学特性可分为T淋巴细胞介导和抗体介导两大类,T淋巴细胞介导的排斥反应以病变特点可分为经典的"门管区型"、"小叶中央型"和"混合型"三种[13]。PB型TCMR病理表现以门管区炎、胆管炎和血管炎"三联症"为诊断的Banff评分的主要依据,其他已被描述的常见病变还包括CP和PEI。本研究统计了上述5种病变的发生率,发现CP的发生率为63.64%,提示儿童肝移植术后TCMR多为(BP+CP)混合型,CP的检出率与Banff评分正相关,主要是CP增加了血管内皮炎评分。当出现孤立性CP(ICP),无明显的门管区炎和胆管炎(Banff评分<1分)时,可诊断为CP型TCMR,并应依据病变程度进行分级[14],鉴于CP型TCMR具有耐药性和易复特点,若治疗效果不明显,应在复查肝穿刺活检后调整治疗方案[15]。PEI是TCMR常见的病变特点,提示对糖皮质激素治疗反应性差和由于激素用量不足导致的一种病变特点,本组病例中PEI的检出率为42.06%,且其数量和检出率与Banff评分正相关,符合理论依据和以往报道。通过本组病例分析,CP和PEI在儿童肝移植术后TCMR的病理诊断中具有重要的诊断和鉴别诊断价值,应注意观察。
AMR的诊断标准于2016年提出[3,16],确诊需要满足AMR病理表现、C4d免疫组化染色阳性强度=3分和抗供者特异性抗体(DSA)阳性,其中C4d+是诊断AMR的重要依据。本组病例中4例次AMR均呈现C4d+(强度=3分),2例次CR也呈现C4d+(强度=2分),提示在CR中有抗体参与,但均未检出DSA,考虑与DSA浓度较低有关。其余C4d+病例中88.89%于TCMR中检出且多见于术后15 d内,C4d+与Banff总分呈正相关趋势,提示术后早期和严重的TCMR中可能有抗体成分参与,由于肝脏的特殊生理结构和免疫特惠性,使抗体浓度较低难以形成主导[17]。伴有C4d+的AR能否诊断为T淋巴细胞和抗体共同介导的急性排斥反应,需要大样本随机对照研究,确定诊断标准。2例NAFLD和非特异病例中出现C4d+,但强度=1分,可能是非特异着色所致。肝移植是否存在类似肾移植后C4d阴性的AMR,目前尚无证据。
DILI病理表现多样,以肝细胞变性、坏死及淤胆为主要特点,病理诊断应为排除性诊断,并结合明确相关的用药史做出诊断[18]。血管并发症病变依据血管类型有所不同,肝动脉并发症以肝细胞变性、微泡性脂肪变性、小胆管缺血性损伤及淤胆为主要病变,门静脉并发症以肝细胞嗜酸性变、灶性坏死为主要特征,肝静脉并发症以中央静脉及Ⅲ区肝窦扩张淤血为特征[5]。胆道并发症以门管区水肿伴嗜中性粒细胞浸润为主,部分病例可见嗜酸性粒细胞浸润,此时应与TCMR进行鉴别,边缘区小胆管增生、固有胆管萎缩、显著的肝细胞及毛细胆管淤胆均支持胆道并发症的诊断[19]。IRI病变以肝细胞水肿和轻度淤胆为主,且均出现于术后早期[20]。HBV和HCV感染以肝细胞点、灶性坏死、门管区单个核细胞浸润为主,早期或急性期肝窦轻度扩张、充血,窦壁细胞增生,晚期出现程度不等的纤维化,HCV感染凋亡较明显伴散在大泡性脂肪变性,HBsAg和(或)HBcAg免疫组化染色阳性可确诊HBV感染,HCV免疫组化染色敏感性较低[5]。CMV感染病变以肝细胞灶性坏死伴"小脓肿"形成为主要特点,典型的病毒包涵体很少检查,结合CMV免疫组化染色和或血清学检查结果可以确诊[5]。NAFLD病变以弥漫性大泡性脂肪变性为主,本组病例中脂肪变性程度均>50%,考虑与脂质代谢异常引起[21]。
通过对本组病例的临床及病理资料分析,发现儿童肝移植术后肝穿刺活检各种并发症在术后不同时间检出率不同,且均有相对特征性的病理表现。AR、DILI和血管并发症常见并发症,在诊断中应结合临床资料首先进行鉴别诊断。TCMR呈现早期和低Banff评分特点,诊断时除观察典型"三联征"应着重观察CP和PEI。术后肝穿活检应常规行C4d及有助于诊断的免疫组织化学和特殊染色,有助于各种并发症的诊断及鉴别诊断。总之,儿童肝移植术后肝穿刺活检在判定肝酶学异常原因中具有重要作用,病理特点结合临床、相关实验室和影响学检查结果,可提高病理诊断准确性。





















