
利用小鼠急性肝功能衰竭模型和辅助性部分原位肝移植模型,初步研究辅助性部分原位肝移植治疗急性肝功能衰竭的作用机制。
小鼠急性肝衰竭模型作为受体,小鼠左外叶肝作为移植供肝,门静脉吻合采用袖套法,供肝流出道静脉与受体的肝上下腔静脉行端侧吻合,胆总管使用空心管套入小肠实现胆肠吻合。观察两组小鼠术后7 d存活率、转氨酶指标、自身肝细胞凋亡指数、供肝和自身肝细胞再生等情况。
急性肝功能衰竭组小鼠术后48 h的总体存活率为13.6%(3/22),辅助性部分肝移植组的术后48 h存活率为81.8%(27/33),两者存活率存在明显差异。在术后的样本检测对比中,与急性肝功能衰竭组相比,肝移植组小鼠的血清谷丙转氨酶、总胆红素、血氨浓度明显降低,自身肝细胞的凋亡比例有明显减少。肝移植组的自身肝比对照组的自身肝HE染色显示其肝细胞坏死和肝小叶结构紊乱程度明显减轻,且移植组的自身肝在供肝的支持下,发生了明显的肝细胞分裂和再生。
辅助性部分原位肝移植作为治疗急性肝功能衰竭的一种有效手段,其机制是在一定体积的辅助肝脏的支持下,通过减少自身肝细胞的凋亡、促进自身肝再生,恢复肝脏功能等途径来提高存活率,同时供肝在移植后会迅速再生,也对肝功能的恢复起到重要作用。
版权归中华医学会所有。
未经授权,不得转载、摘编本刊文章,不得使用本刊的版式设计。
除非特别声明,本刊刊出的所有文章不代表中华医学会和本刊编委会的观点。
急性肝功能衰竭(ALF)是一种在临床上比较少见但死亡率极高,且伴有大量肝细胞坏死和多器官功能衰竭的综合征,临床表现多为血转氨酶和胆红素明显升高或者持续性升高、血氨升高,凝血功能障碍和肝性脑病[1,2]。发病原因多为病毒性感染、药物性毒性损伤、肝脏大手术,Wilson病以及自身免疫性肝炎等。肝移植是治疗急性肝功能衰竭的根本方法,但是全肝移植的关键问题不仅是供肝短缺,而且全肝移植切除了自体肝脏,使自体肝细胞再生完全不可能,病人需要终身服用免疫排斥药物。亲属活体肝移植(LDLT)虽然部分解决了供肝短缺的问题,但其手术难度大、对供肝的功能要求高,更重要的是对供者安全的顾虑以及可能发生小肝体积综合征均影响其广泛开展。
辅助性部分原位肝移植(APOLT)的出现有望部分解决移植物短缺的问题[3],供肝仅需要一小部分即可,并且在辅助肝的支持下,自身肝脏还有可能缓慢再生,帮助受者渡过危险期,之后受者可以停止服用免疫抑制剂,供肝可以逐渐萎缩,自身肝脏发挥主要功能。但目前,对于辅助性肝移植后自身坏死的肝脏能否再生、何时再生以及供肝和自身肝再生的关系、供肝是否会萎缩、何时萎缩等均了解甚少。本实验利用小鼠辅助性部分原位肝移植和小鼠急性肝功能衰竭两个模型来研究辅助性部分原位肝移植治疗急性肝功能衰竭的效果,观察其术后存活率、各项肝功能指标以及肝细胞再生等,为研究辅助性部分原位肝移植的作用机制进行初步的探索。
C57雄性小鼠,SPF级别的饲养环境,体重25~28 g,受鼠体重略小于供鼠,小鼠的饲养环境模拟日照规律,术前供鼠和受鼠均禁食10 h,不禁水。实验分三组,第一组为假手术组,只在异氟烷全麻下做开关腹手术,一共10只;第二组为急性肝功能衰竭组(ALF组),模型制作方式是采用常温下大范围的肝切除联合第一肝门阻断,22只;第三组为辅助性部分原位肝移植组(APOLT组),供鼠和受鼠均为33只。术后小鼠放入34℃恒温箱中复苏,术后单笼饲养。
双人双目外科手术显微镜,Matrx小动物异氟烷麻醉机,微量容积注射泵,BL610型精密电子天平,无损伤化纤带线缝合针(11-0和8-0规格),放大镜固定架,手术丝线,显微手术器械若干,包括显微持针器、显微线剪、显微镊、显微打结镊、超细无损伤血管钳等,低热单极电凝笔及显微血管夹,聚乙烯导管。
异氟醚,5-溴脱氧尿嘧啶核苷(Brdu)购自美国SIGMA公司,胆红素测试盒、血氨检测试剂盒,免疫组化试剂盒为DAKO公司产品。
手术在清洁级小动物手术室中完成,手术采用异氟烷+氧气一起持续吸入麻醉,其中氧气流量为0.2L/min,异氟烷浓度为2%,取仰卧位固定四肢,皮肤常规消毒。用眼科剪沿腹部正中纵向剪开皮肤至剑突上。开腹后充分暴露肝脏。用电凝离断肝周韧带,显露出肝门部血管,切除胆囊,使用无损伤钛夹夹闭第一肝门部血管,开始计时,使用6-0丝线在25 min时间内切除小鼠肝脏的约82%体积,包括左外叶、尾状叶、右叶上部、右叶下部和中叶的左侧部分。25 min时间到后,松开第一肝门部的血管夹,肝脏恢复血供,缝合小鼠肌肉层和皮肤。
利用双袖套法,在异氟烷+氧气混合持续吸入麻醉中进行小鼠辅助性部分原位肝移植手术,供肝为小鼠肝脏的左外叶,原位移植到受鼠的左外叶位置[4],在进行肝移植过程中,同时进行ALF的模型制作,包括大范围的肝切除和25 min的门静脉阻断。
术后小鼠头低脚高位放入恒温箱中,温度控制在34 ℃左右,温箱与外界空气相通,小鼠苏醒时间为(28.6±5.5)min,术后每日腹腔注射头孢地嗪钠(100 mg/kg)预防感染,不禁饮食和水。
手术后在6 h、24 h和36 h取小鼠血液和肝组织,一部分肝组织用稀甲醛溶液保存,另一部冻存于液氮中,保存备用。小鼠血液使用EDTA-K2试管储存后离心(1200×g)5 min,取上清液每管100 μl存放于EP管中,置于-70 ℃冰箱备用。一部分肝脏于质量分数为100 g/L甲醛溶液内固定24 h后,石蜡包埋制成切片,便于行免疫组织化学检查。
血清丙氨酸转氨酶(ALT)、总胆红素和血氨浓度测定(DAKO公司试剂盒)。血液采集通过小鼠内眦静脉取血,滴入2 ml的EDTA-K2的试管中,常温下离心(1200×g)5 min,小心取上清液检测。
应用SPSS 13.0统计软件分析,计量数据以均数±标准差表示,组间均属比较采用χ2检验,P<0.05表示差异有统计学意义。存活率的比较采用Log-rank检验方法。
ALF组和APOLT组术后7 d的小鼠存活率曲线差别有明显统计学意义(P<0.0001)。ALF组的小鼠7 d存活率仅4.5%。经过辅助性部分原位肝移植的治疗,ALF组7 d的存活率从4.5% (1/22)提高到81.8% (27/33)(图1)。此外,急性肝功能衰竭小鼠手术做完后到发生肝昏迷,平均时间为(32±4.3)h,移植的供肝体积占受鼠肝脏总体积的(33.1±4.5)%,术后小鼠在恒温箱的苏醒时间为(28.6±5.5)min。


为了观察术后两组小鼠的肝功能指标情况,我们采集了术后6 h、24 h和36 h的小鼠血清,测定ALT、总胆红素和血氨浓度(表1)。

小鼠急性肝功能衰竭组和辅助性部分原位肝移植组术后6、24和36 h丙氨酸转移酶、总胆红素和血氨浓度
小鼠急性肝功能衰竭组和辅助性部分原位肝移植组术后6、24和36 h丙氨酸转移酶、总胆红素和血氨浓度
| 组别 | n | 丙氨酸转移酶(U/L) | 血清总胆红素(U/L) | 血氨浓度(μmol/L) | |||||
|---|---|---|---|---|---|---|---|---|---|
| 24 h | 36 h | 6 h | 24 h | 36 h | 6 h | 24 h | 36 h | ||
| ALF组 | 22 | 1984.1±239.2 | 3104.6±335.9 | 121.4±18.6 | 161.9±25.4 | 172.6±23.2 | 131.4±22.6 | 215.3±28.4 | 373.7±33.4 |
| APOLT组 | 33 | 673.3±98.0 | 438.2±57.1 | 38.3±9.1 | 23.6±10.1 | 29.1±11.4 | 44.5±7.3 | 50.8±13.1 | 48.2±16.1 |
| P值 | <0.01 | <0.01 | <0.01 | <0.01 | <0.01 | <0.01 | <0.01 | <0.01 | |
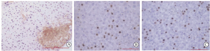
急性肝功能衰竭的过程中除了有大量的肝细胞坏死,也有相当的肝细胞会凋亡,而凋亡细胞的比例对于肝衰竭的进展和预后都有较大影响。TUNEL染色常用于细胞凋亡的检测。我们将小鼠急性肝功能衰竭和辅助性部分原位肝移植组术后36 h自身肝细胞行凋亡组织化学染色,可见小鼠急性肝功能衰竭经过辅助性部分原位肝移植后凋亡细胞占肝细胞的百分比明显减少。治疗组和肝衰竭组术后36 h自身肝细胞凋亡细胞占肝细胞数量百分比分别为1%和9%,两组比较差异有统计学意义(P<0.05,图2)。


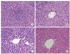
小鼠急性肝功能衰竭组和辅助性部分原位肝移植组术后6 h和24 h肝脏组织HE染色。急性肝功能衰竭组术后6 h可见肝组织有大量中性粒细胞和淋巴细胞浸润,24 h可见肝细胞大量水肿坏死,正常肝小叶的结构紊乱。辅助性部分原位肝移植组术后6 h和24 h,受鼠自身肝脏的组织结构相对正常,中央静脉周围细胞无水肿,肝细胞无明显坏死、无明显炎性细胞浸润和结构紊乱。
为了研究辅助性部分原位肝移植治疗急性肝功能衰竭术后自身肝脏的再生情况,我们在采集小鼠术后36 h的肝脏标本,使用Brdu(5-溴脱氧尿嘧啶核苷)标记法检测各组肝细胞的增殖情况。可见急性肝功能衰竭组仅见少量Brdu阳性增殖期肝细胞(1%),而辅助性部分原位肝移植组的自身肝脏可见大量Brdu阳性增殖期肝细胞[(35±4.5)%],两者差异有统计学意义(P<0.05,图4)。移植组自身肝脏重量和急性肝功能衰竭组相比,术后36 h的移植组自身肝重增加比例更高,也提示移植组自身残余肝脏增殖再生速率高于急性肝衰竭组(图4)。


肝移植是治疗各种终末期肝病包括肝硬化、肝豆状核变性、肝癌等的最佳方法,急性肝功能衰竭的最终治疗手段也是肝移植。临床上急性肝衰竭目前主要采用的术式是全肝移植或亲属活体肝移植,但上述术式均有一定的局限性:(1)急性肝功能衰竭发病急、进展快,常常因为没有及时获得合适的供肝而不能进行全肝移植手术。(2)急性肝功能衰竭往往是发生在无肝病基础上,一旦通过积极治疗度过急性肝功能衰竭期,残余肝脏可以快速再生,满足患者的生理需要。而全肝移植或者亲属活体肝移植切除了自身的全部肝脏,不可能通过自身的肝再生恢复。急性肝功能衰竭患者在传统移植术后需要长期服用抗排斥药物,比如FK506,并不断检测药物浓度;辅助性部分原位肝移植手术的优势在于不仅可以提供生命支持的肝脏功能来使病人渡过危险期,而且也保留了自身肝再生的可能,恢复以后也不需要服用任何免疫抑制剂,供肝可因为免疫排斥作用而自行萎缩[5,6,7]。


在本实验中,我们使用了一种大范围肝切除联合温缺血再灌注损伤导致的小鼠急性肝功能衰竭模型,同时利用小鼠辅助性部分原位肝移植模型来治疗急性肝衰竭,并初步研究辅助性肝移植治疗急性肝衰竭的机制。小鼠辅助性部分原位肝移植的有效性在此前的治疗小鼠肝豆状核变性的实验中得到了验证[8]。小鼠急性肝衰竭模型的方法是在呼吸麻醉的情况下,切除小鼠肝脏的约82%体积联合25 min的温缺血再灌注。急性肝功能衰竭的对照组12 h和24 h存活率分别为45.5%和22.7%,48 h的存活率更低,只有13.6%。大多数的小鼠均死于急性肝功能衰竭和脑水肿。同时,我们使用的小鼠急性肝功能衰竭模型符合大部分的理想急性肝功能衰竭模型的标准,其主要要求为有较高的死亡率,有合适的方法可以阻止或者延缓死亡;制作方式简单;从发病到死亡有一定的时间窗;不能对实验操作人员的身体有伤害。
因为急性肝衰竭组的小鼠死亡率很高,加上实验例数有限,我们设术后6 h、24 h和36 h这3个时间点,选取血清谷丙转氨酶、总胆红素和血氨作为肝功能是否好转的指标。通过对比发现,肝移植组的术后血清谷丙转氨酶、总胆红素和血氨水平均明显低于对照组,提示术后肝功能恢复迅速。
对急性肝功能衰竭的病理机制研究表明,肝细胞的坏死和凋亡均有着重要的作用,然而,辅助性部分原位肝移植后,自身肝脏的凋亡细胞是否能够改善却没有详细的研究,在本实验中,急性肝功能衰竭组小鼠术后36 h肝脏细胞凋亡(TUNEL染色)比例较高,接近10%,说明凋亡在小鼠急性肝功能衰竭的发生发展过程中有重要作用,而经过辅助性肝移植,相同时间之后,急性肝功能衰竭的自身肝脏细胞凋亡明显减少,说明了辅助性肝移植不仅能够减轻小鼠自身肝脏的肝细胞坏死,还能够减少肝脏细胞凋亡。
在急性肝功能衰竭的基础研究中,一个非常重要的问题就是,急性损伤的肝脏是否能再生?或者通过什么方式来再生?何时能恢复到正常状态?在本研究中,我们使用评价肝细胞再生的金标准的Brdu标记法来进行研究,经过研究发现,发生急性肝功能衰竭的小鼠自身肝脏在术后36 h的时候已经发生了明显的细胞分裂和再生,Brdu阳性细胞数占总细胞数约35%,同时急性肝功能衰竭对照组的肝脏几乎无肝细胞分裂再生,两者差异显著,此时供肝的Brdu阳性细胞数比例约为40%,说明供肝的再生速率快于自身肝脏。其中的原因可能为自身肝脏因为温缺血损伤更为严重,再生速率没有供肝高。同时,我们的初步研究发现供肝的重量在术后先有一定的增加,一段时间后因为自身肝脏的功能恢复,供肝开始萎缩,自身肝脏则逐渐增大。通过本研究,我们从模型研究验证了辅助性部分原位肝移植对于治疗急性肝功能衰竭是非常有效的方式,而且说明了辅助性部分原位肝移植的有效性在于可以促进自身肝再生、减轻缺血再灌注损伤、降低自身肝细胞凋亡和加快肝功能的恢复,从而达到治疗急性肝功能衰竭的目的。





















