
比较和分析器官移植术后肺曲霉病与细菌感染CT表现的差异。
收集器官移植术后诊断肺曲霉菌感染的62例受者,与同期匹配的肺细菌感染的68例受者比较,CT将病变描述为实变、肿块、大结节(≥1cm)、小结节、树芽征等形式,对每一种征象,按照有鉴别诊断价值的细节如数量、晕征、空气支气管征、反晕征及病变内低密度征、空洞等进行进一步区分,比较两者之间的差别。
器官移植术后肺曲霉菌感染多为两种及以上形式。其中最常见表现为大结节,约占75.8%,其次为实变(48.4%)及肿块(29.0%),小结节(16.1%)和树芽征(12.9%)多为伴随表现。曲霉菌感染表现为肿块的比例高于细菌(分别为29.0%和8.8%,P<0.05),细菌感染实变表现高于曲霉菌(分别为69.1%和48.4%,P<0.05)。大结节中,细菌及曲霉菌感染各种征象比例差异无统计学意义。实变表现中,空气支气管征细菌感染比例高于曲霉菌感染(分别为78.8%和40.0%,P<0.05),曲霉菌形成空洞的比例高于细菌(分别为63.3%和27.7%,P<0.05)。肿块表现中,曲霉菌感染病变多为单发(单发66.7%),内容易看到空洞(83.3%)、空气新月征(77.8%)。出现晕征的比例为30.7%。
器官移植后曲霉菌感染表现多样,可表现为大结节、实变、肿块、小结节及树芽征。与细菌感染表现既有一定的区别,又有一定的重叠。
版权归中华医学会所有。
未经授权,不得转载、摘编本刊文章,不得使用本刊的版式设计。
除非特别声明,本刊刊出的所有文章不代表中华医学会和本刊编委会的观点。
最近30多年,实体器官移植(solid organ transplantation,SOT)已成为挽救肝脏、肾脏、心脏和肺等器官疾病终末期患者生命的重要手段。免疫抑制剂的应用,延长了受者生存期,但受者感染的风险也增加了[1]。尸检发现高达60.1%受者感染至少一种病原体,其中真菌感染占14.3%[2]。SOT后肺真菌感染包括曲霉菌、念珠菌、隐球菌和毛霉菌等,其中最主要的是曲霉菌感染[3]。肺曲霉菌感染是SOT后重要的致死原因[4],死亡率高达90%[5]。肺曲霉菌感染临床和实验室诊断比较困难,影像学检查在诊断中具有重要的提示价值,从众多病原体感染中发现提示曲霉菌感染的征象对早期启动特异性治疗至关重要,本文对SOT后肺曲霉菌感染与细菌感染的CT表现进行比较,总结鉴别诊断的征象。
搜集我院2006年至2018年间接受SOT后诊断肺曲霉菌感染的受者62例,男性32例,女性30例,年龄32~65岁,平均年龄43.8岁,其中行肝移植28例,肾移植例28例,心脏移植4例,肺移植2例。搜集同期SOT后临床资料与肺曲霉菌感染匹配的细菌感染的受者68例。男性34例,女性34例。年龄30~64岁,平均年龄44.2岁,其中行肝移植30例,肾移植例30例,心脏移植4例,肺移植4例。
所有曲霉菌感染受者的诊断基于EORTC-MSG标准[5],62例受者中3例为确诊(1例手术病理证实,2例穿刺活检证实),余为临床诊断,拟诊病例未纳入。
细菌感染受者的诊断为经血培养、痰培养、肺泡灌洗液培养阳性,其中草绿色链球菌16例,金黄色葡萄球菌9例,嗜麦芽窄食单胞菌11例,铜绿假单胞菌7例,克雷伯菌8例,大肠埃希菌8例,产气肠杆菌9例。
所有受者均于感染症状出现后1个月内行胸部CT平扫检查,层厚1~1.25 mm。部分受者复查了CT,3例行增强CT检查。
所有图像经2位经验丰富的放射科医师独立阅片,意见不一致时协商确定,将异常发现描述为实变、肿块、大结节(≥1cm)、小结节、树芽征、空洞等形式。病变的数量、大小、含气支气管征、晕征、反晕征或病变内低密度征、空气半月征等特点以及胸腔积液等伴随征象进行评价和记录。受者复查CT时将这些改变进行对比,记录为进展、好转或无变化,新出现的病变情况也进行记录。
选用SPSS 21.0统计软件进行统计分析,对曲霉菌和细菌感染的上述征象进行Pearson’s卡方检验,存在理论数小于1或n<40时用Fisher's精确概率法。如果理论数小于5但大于等于1,并且n≥40,则用连续性校正的卡方检验,检验水准为P<0.05。
本组病例中,曲霉菌感染与细菌感染影像表现形式多样,均可表现为实变、肿块、大结节、小结节、树芽征等形式。与细菌感染相比,曲霉菌感染肿块比例较高(P<0.05),而实变比例较低(P<0.05)。大结节、小结节及代表小气道病变的树芽征两者占比无区别(P>0.05)。
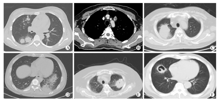
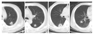
曲霉菌感染最常见的影像表现是多发大结节(图1),占75.8%,伴或不伴晕征(图2A),伴或不伴内部低密度及空洞(图2B),部分可见空气半月征。其他表现依次为实变(图2C、图2D)、肿块(图2E、图2F)、小结节及树芽征,大结节、实变及肿块可单独出现,小结节及树芽征多为伴随表现。出现胸腔积液的比例差异无统计学意义。




对几种主要病变的征象细节进行分析可以发现,以大结节为主要表现者,晕征、反晕征或病变内低密度、含气支气管征、空洞在两种感染中差异无统计学意义(P>0.05),体现空洞特点的内壁光滑与否,两种感染间差异无统计学意义(P>0.05)。表现为实变者,含气支气管征在细菌感染病例多见(P<0.05),空洞在曲霉菌感染多见(P<0.05),晕征、反晕征和病变内低密度影、胸膜下楔形实变两者比例差异无统计学意义(P>0.05)。表现为肿块者,曲霉菌感染病变多为单发(P<0.05),内容易看到空洞、空气新月征,但空洞内壁的光滑与否两者无区别(P>0.05)。晕征、含气支气管征、反晕征及病变内低密度的比例差异无统计学意义(P>0.05)。
本组所有曲霉菌感染病例中,与粒细胞缺乏患者曲霉菌感染相比[6],晕征出现的比例较低,占30.7%(表1)。

器官后移植肺曲霉菌感染与细菌感染各种征象的比较病例数(百分比)
器官后移植肺曲霉菌感染与细菌感染各种征象的比较病例数(百分比)
| 征象 | 曲霉菌感染(62例) | 细菌感染(68例) | P值 | |
|---|---|---|---|---|
| 实变 | 30(48.4) | 47(69.1) | 0.020 | |
| 单发 | 17(56.7) | 26(55.3) | 1.000 | |
| 多发 | 13(43.3) | 21(44.7) | ||
| 胸膜下楔形阴影 | 11(36.7) | 9(19.1) | 0.112 | |
| 含气支气管影 | 12(40.0) | 37(78.8) | 0.001 | |
| 反晕征或内部低密度 | 12(40.0) | 23(48.9) | 0.448 | |
| 空洞 | 19(63.3) | 13(27.7) | 0.004 | |
| 内壁光滑 | 6(31.6) | 8(61.5) | ||
| 内壁不光滑 | 13(68.4) | 5(38.5) | 0.149a | |
| 周围晕征 | 5(16.7) | 7(14.9) | 1.000 | |
| 肿块 | 18(29.0) | 6(8.8) | 0.003 | |
| 单发 | 15(66.7) | 2(33.3) | ||
| 多发 | 3(33.3) | 4(66.7) | 0.038a | |
| 晕征 | 2(11.1) | 1(16.7) | 1.000a | |
| 反晕征或内部低密度 | 3(16.7) | 1(16.7) | 1.000a | |
| 含气支气管征 | 5(27.8) | 2(33.3) | 1.000a | |
| 空洞 | 15(83.3) | 2(33.3) | 0.038a | |
| 内壁光滑 | 6(40.0) | 1(50.0) | ||
| 内壁不光滑 | 9(60.0) | 1(50.0) | 1.000a | |
| 空气新月征 | 14(77.8) | 1(16.7) | 0.015a | |
| 大结节 | 47(75.8) | 28(41.2) | 0.000 | |
| 单发 | 15(31.2) | 10(35.7) | ||
| 多发 | 32(68.1) | 18(64.3) | 0.182 | |
| 晕征 | 10(21.3) | 5(17.9) | 0.775 | |
| 反晕征或内部低密度 | 9(19.1) | 7(25.0) | 0.572 | |
| 含气支气管征 | 7(14.9) | 5(17.9) | 0.754b | |
| 空洞 | 19(40.4) | 12(42.9) | 1.000 | |
| 内壁光滑 | 7(36.8) | 6(50.0) | ||
| 内壁不光滑 | 12(63.2) | 6(50.0) | 0.710 | |
| 小结节 | 10(16.1) | 13(19.1) | 0.819 | |
| 单发 | 0(0) | 0(0) | ||
| 多发 | 10(100) | 13(100) | — | |
| 晕征 | 2(20) | 0(0) | — | |
| 含气支气管征 | 3(30) | 2(15.4) | — | |
| 空洞 | 6(60) | 7(53.8) | 1.000 | |
| 内壁光滑 | 6(100) | 7(100) | ||
| 内壁不光滑 | 0(0) | 0(0) | — | |
| 树芽征 | 8(12.9) | 17(25.0) | 0.118 | |
| 晕征 | 19(30.7) | 13(19.1) | 0.155 | |
| 胸腔积液 | 24(38.7) | 33(51.5) | 0.067 | |
注:a为Fisher's精确概率法,b为连续性校正的卡方检验
肺曲霉菌感染根据感染者免疫状态分别有非侵袭性、半侵袭性和侵袭性三种形式[7]。SOT后肺曲霉菌感染多属于侵袭性感染,根据侵袭的主要结构又分为两种:血管侵袭性和气道侵袭性。前者指真菌菌丝侵犯肺血管后引起栓塞、肺梗死和出血,影像表现为斑片样的气腔阴影、区域性的实变和模糊的结节浸润[8]。气道侵袭真菌感染相对少见,可引起上呼吸道或下呼吸道感染。真菌菌丝侵犯呼吸道基底膜,可在腔内形成由坏死组织、纤维素条带和菌丝缠绕形成的假膜进而阻塞气道,亦可形成气道壁的结节样增厚。对应的CT表现为气管支气管壁增厚、多发小叶中心结节、树芽征、实变。
EORTC/MSG诊断侵袭真菌感染的2008标准[5]包括:肺内致密的边界清楚的病变,周围伴或不伴晕征或磨玻璃密度影、空气新月征、空洞形成。此标准针对所有真菌感染患者,包括免疫抑制的患者如粒细胞缺乏、器官移植、HIV感染等。迄今为止,尚无出台针对SOT后侵袭真菌感染的诊断标准[9]。
SOT后肺侵袭性曲霉菌感染的CT表现有一定的特征[6]。最常见的影像学表现结果不一,肝移植后最常见的表现为实变和肿块,比例为56%[6]~72%[10]。心脏移植后最常见的表现是血管侵袭性占62.9%[11]。国内学者报道肝移植后最常见表现为大结节,比例为54%[12]~64%[13]。本组病例中,最常见的表现为大结节,其次是实变和肿块。尽管最主要表现形式结论不一,但大结节、肿块、实变、小结节、树芽征均为SOT后肺曲霉菌感染的表现。各种影像表现形式的具体细节征象,如晕征、空气半月征等结果差异较大,病变数量、大小、含气支气管征、反晕征或病变内低密度征等特点,文献较少进行报道。出现差异的原因,我们认为由以下原因造成:(1)诊断水平不一致。文献中曲霉菌确诊病例都很少,大部分是临床诊断病例,虽然有统一的推荐标准,但推荐标准本身也在不断发生修正,会影响最终诊断[14]。(2)受者免疫状态的影响。如血液病不同类型免疫抑制者均表现为外周多发结节[15],不同SOT受者,不同免疫抑制状态是否影响其CT表现,还需要进一步研究。(3)受启动抗真菌治疗的时机、是否预防抗真菌治疗[9]的影响。有作者[14]观察到较多早期真菌的表现(结节伴或不伴典型晕征),复查时实变表现也很少看到空洞和空气新月征。而本组受者中,无论实变、肿块还是大结节,均可看到相当数量的空洞,而且本组受者中肿块所占比例较大,可能与启动抗真菌较晚有关。
晕征是血管侵袭曲霉菌感染的征象,代表凝固性坏死结节周围的出血,仅出现在感染的最初10 d内,且持续时间较短。晕征是曲霉菌感染的早期重要征象之一,是独立的放射学预测因子之一[16]。但其出现比例差别较大,本组晕征在大结节病变中出现比例较低,在所有病变中出现的比例约30.7%,可能与CT检查时机有关,也可能与免疫抑制状态不一致有关。晕征并非曲霉菌感染的特异征象,亦可见于多种疾病,如细菌感染的受者中晕征出现比例为19.1%,两组之间差异无统计学意义。但结合受者的免疫状态、出现时间等因素,对提示诊断有一定的价值。
空气半月征是肺曲霉菌感染的另一重要征象,常出现在第2周或以后,此时受者的免疫反应逐渐恢复[7]。此征象出现的概率差异也很大[9],也不是曲霉菌感染的特异征象,可见于细菌感染、肿瘤、血管炎、肺间质疾病甚至外伤。本组受者表现为肿块者较多,多为单发,内出现空洞及空气半月征的比例比细菌感染组高,应该与受者选择有关,部分受者CT检查时间较晚,病变发展增大,实变形成肿块样外观,内出现空洞的比例增高。细菌感染组空气半月征出现比例低,可能因为检查时间较晚,坏死较多,已形成空洞而不是典型的空气半月征。
对反晕征与低密度征的认识并不一致,有人认为低密度征是空气半月征的前驱表现,但本组中反晕征很少进展为空洞及空气半月征,可以进展为低密度征。最初表现为低密度征者,随病变发展容易形成空洞。因存在争议,本组将两种征象归于一起统计。本组此征象在实变中出现的比例高于肿块和大结节,提示实变中的低密度有可能最终进展为空洞。曲霉菌感染中空洞和病变内低密度比例较高,提示曲霉菌感染容易形成坏死,与曲霉菌感染病理上属化脓性感染吻合。但此征象也是细菌性脓肿的表现,即使用内壁是否光滑也不能准确区分。
与血管侵袭曲霉菌感染相比,气道侵袭曲霉菌感染的特异性更差,气道壁增厚及结节、小叶中心结节、实变、树芽征是肺部CT常见表现[7],可见于多种感染及非感染性疾病。SOT术后肺部出现这些征象,应进行支气管镜检查、肺泡灌洗等更准确的方法进行确诊。
综上所述,SOT后真菌感染CT表现复杂多样,没有一个征象具有确诊病原体的价值,血液病粒细胞缺乏患者也得出同样的结论[17],但结合受者临床资料及具有特征性的血管侵袭真菌感染的征象,对于提示曲霉菌感染仍具有重要的价值[18]。
SOT后曲霉菌感染表现多样,可表现为大结节、实变、肿块、小结节及树芽征。与细菌感染表现既有一定的区别,又有一定的重叠。
所有作者均声明不存在利益冲突





















