
探讨细胞排斥反应与不同胎龄大鼠后肾同种和异种移植发育的关系。
不同胎龄(E14~E19)大鼠后肾分组植入远交系(Sprague Dawley, SD→SD鼠分6组,每组n≥10;E15~E17SDCsA三组,每组n=15)、同系(Lewis→Lewis鼠分5组每组n=8)、同种异体(Lewis→BN鼠,E15BN组n=6,E15BNCsA组n=10,E16BNCsA组n=10)或异种(Lewis→C57BL/6鼠,E15C57组n=10,E15C57CsA组n=8;Lewis→Balb/c裸小鼠分三组,各组n=10)受鼠网膜,观察移植后肾组织病理、Banff排斥分级和电镜结构,测量移植后肾生化和泌尿功能。
移植后4周,SD→SD移植Banff分级E14SD、E15SD较轻,E16SD、E17SD次之;E18SD、E19SD最重。环孢素A(Cyclosporine A,CsA)8 mg·kg-1·d-1抗排斥,E15~E17SDCsA三组Banff分级明显减轻(P<0.01)。Lewis→BN移植,E15BN后肾完全排斥;CsA12 mg·kg-1·d-1给药,E15BNCsA和E16BNCsA组Banff分级皆减轻(P<0.05),停用CsA后两组后肾被排斥。Lewis→Lewis同系移植,E15~E17Lewis三组后肾皆发育良好;E14Lewis和E18Lewis较差。Lewis→C57BL/6异种移植后14 d,E15后肾严重排斥,使用CsA 15 mg·kg-1·d-1无改善。Lewis→Balb/c裸小鼠移植,E15~E17Balb/c三组皆发育良好,结构正常,湿重和移植后肾肌酐、尿素氮差异无统计学意义(P>0.05)。E15Lewis和E16Lewis后肾湿重最轻,内生肌酐清除率最高,E15SDCsA、E16SDCsA居中,E15SDCsA后肾湿重最重,内生肌酐清除率最低(P<0.01)。
大鼠E15、E16和E17后肾原基在控制排斥反应后,同种和异种移植的发育性能相似;细胞排斥反应是阻碍不同胎龄后肾同种和异种移植发育的主要因素。
版权归中华医学会所有。
未经授权,不得转载、摘编本刊文章,不得使用本刊的版式设计。
除非特别声明,本刊刊出的所有文章不代表中华医学会和本刊编委会的观点。
1998年Rogers等[1]首先报道不使用免疫抑制剂,Sprague Dawley(SD)大鼠E15后肾原基植入远交系SD大鼠网膜获成功;接着报道[2,3,4]在异种小鼠和猪移植中获得成功,甚至诱导出移植耐受。研究也发现原基具有未血管化、低免疫原性和移植操作简便等特点,但同种和异种移植并不如Rogers等报道那么理想[5,6,7,8]。本研究通过后肾原基远交系、同系、同种异体和异种移植实验,探究细胞排斥反应与不同胎龄大鼠后肾移植发育的关系。
远交系清洁级(Sprague-Dawley,SD)大鼠由浙江大学医学院实验动物中心提供,6~10周龄,体重180~250 g;近交系Lewis(RT11)大鼠和BN (RT1n)大鼠,8~10周龄,体重160~200 g,购自北京维通利华公司。近交系C57BL/6 (H-2b)和无胸腺Balb/c裸小鼠,8~10周龄,体重18~25 g,购于中国医学科学院上海实验动物中心,以上实验动物雌雄不限,清洁饲养,术前禁食12 h,自由饮水。环孢素A注射液(Cyclosporine A,CsA ,250 mg/5 ml)购自瑞士Novartis公司。
供鼠雌雄同笼,次日出现阴道栓提示受孕,该日视作受孕第0天(Embryonic day 0,E0)。取受孕第14~19天(E14~E19)大鼠麻醉后摘取胚胎,提取胚胎后肾。随机数字法分组,分期将成对后肾分组植入成年远交系(SD→SD鼠)、同系(Lewis→Lewis鼠)、同种异体(Lewis→BN鼠)或异种(Lewis→C57BL/6鼠、Lewis→Balb/c裸小鼠)受鼠网膜。术后SD鼠按CsA 8 mg·kg-1·d-1,BN鼠CsA 8 mg·kg-1·d-1,C57鼠以CsA 15 mg·kg-1·d-1皮下注射。移植后根据排斥反应和功能测定时间开腹观察和检查。
移植后肾按照孕龄、受体鼠品系以及是否使用CsA,分别以胎龄/品系/CsA显示,如E16BNCsA表示:Lewis鼠E16后肾植入BN受鼠网膜,术后按12 mg·kg-1·d-1使用CsA,以此类推。
术后观察受体鼠的精神、活动和饮食情况,体重增减,大便性状等。
部分受体鼠切取移植后肾,标本常规苏木素-伊红(HE)染色,光镜下阅片,排斥反应强度参照Banff分类标准[9,10]。部分以质量分数2.5 %戊二醛溶液固定,制作超薄切片,染色,透射电镜(TECNAI 10型)观察。
移植后4周,部分移植后肾积尿,测定肌酐、尿素氮含量。部分受体鼠发育后肾的输尿管(积尿)与受体鼠单肾切除后输尿管间断吻合(11-0缝线)重建。移植后8周受鼠肾脏切除,行静脉套管留置导尿,股动脉和股静脉以Y型静脉留置针插管,微量天平测定后肾湿重,测定内生肌酐清除率,并以每克后肾湿重校正。
实验所得计量数据以Mean±SD表示,两独立样本比较采用t检验,频数表资料Wilcoxon秩和检验,其它参数作方差分析。P<0.05表示有统计学意义。
使用CsA的受体鼠和裸小鼠术后分别死亡12只和15只,部分死于肺部或腹腔感染,部分死于肠梗阻,予以对应配对补足,其余受体鼠一般状态好。
E14后肾最大径约400 μm,只有原始的输尿管芽及正在浓聚的生后肾母基,不含S形小体和逗号小体。E15后肾最大径约700 μm,包含输尿管芽分支及浓聚的生后肾母基、少量S形小体和逗号小体,但是不含肾小体。E16、E17后肾的皮质和髓质初具雏形,原始皮质区含有生后肾母基、S形小体和逗号小体;输尿管芽分支较少。E16最大径约1.0 mm,分层少,原始肾小体很少;E17最大径约1.5 mm,皮质区内有较多的分层,已出现原始的肾小体,肾小管结构发育不明显。E18、E19后肾具有各期发育的肾单位,输尿管芽分支较多;E18具有3~5代发育各期的肾小体,但未见成熟的肾小管和髓放线。E19后肾最大径约3 mm,可区分皮质和髓质,皮质区内已出现成熟的肾小管结构,并可见髓放线。
1.远交系SD→SD移植4周后,不使用CsA,分6组,每组n≥10,E14~E17SD组后肾皆有生长发育,但都存在不同程度Banff排斥分级,以E14、E15SD较轻,E16、E17SD次之,差异有统计学意义(P<0.01);E14SD后肾25.0 %(4/16只)呈疤痕结节;E18、E19SD后肾呈严重排斥和疤痕结节表现(表1)。根据以上结果,我们选择E15SDCsA、E16SDCsA及E17SDCsA共3组(n=15),移植后使用CsA(8 mg·kg-1·d-1)4周,移植后肾较未使用CsA受体鼠显得更稚嫩,体积较小,色泽和质地与受体肾脏更为接近,发育肾单位、集合管结构正常,且淋巴细胞浸润较少。E15SDCsA~E17SDCsA三组Banff排斥分级与对应不使用CsA的E15SD~E17SD比较,程度减轻,差别有统计学意义(P<0.01,表1)。E15SDCsA与E16SDCsA组(P>0.05)、E17SDCsA(P>0.05)之间Banff排斥分级差异无统计学意义。

各实验组移植后肾Banff排斥强度病理分类结果
各实验组移植后肾Banff排斥强度病理分类结果
| 组别* | 鼠数 | 正常 | 交界性改变 | 急性排斥 | 慢性改变** | ||
|---|---|---|---|---|---|---|---|
| 轻度 | 中度 | 重度 | |||||
| E14 SD | 16 | 5 | 3 | 2 | 2 | 0 | 4 |
| E15 SD | 18 | 7 | 4 | 3 | 3 | 1 | 0 |
| E16 SD | 16 | 5 | 3 | 5 | 2 | 1 | 0 |
| E17 SD | 16 | 2 | 1 | 4 | 3 | 6 | 0 |
| E18 SD | 10 | 0 | 0 | 0 | 1 | 3 | 6 |
| E19 SD | 10 | 0 | 0 | 0 | 0 | 1 | 9 |
| E15 SDCsA | 15 | 9 | 2 | 2 | 2 | 0 | 0 |
| E16 SDCsA | 15 | 8 | 3 | 2 | 2 | 0 | 0 |
| E17 SDCsA | 15 | 4 | 6 | 2 | 3 | 0 | 0 |
| E15 BN | 6 | 0 | 0 | 0 | 0 | 0 | 6 |
| E15 BNCsA | 10 | 0 | 1 | 1 | 2 | 3 | 3 |
| E16 BNCsA | 10 | 0 | 1 | 1 | 1 | 3 | 4 |
| E14 Lewis | 8 | 2 | 2 | 0 | 0 | 0 | 4 |
| E15 Lewis | 8 | 7 | 1 | 0 | 0 | 0 | 0 |
| E16 Lewis | 8 | 7 | 1 | 0 | 0 | 0 | 0 |
| E17 Lewis | 8 | 6 | 1 | 0 | 0 | 0 | 1 |
| E18 Lewis | 8 | 1 | 1 | 0 | 0 | 0 | 6 |
| E15 C57CsA | 8 | 0 | 0 | 0 | 0 | 0 | 8 |
| E15 Balb/c | 10 | 7 | 2 | 1 | 0 | 0 | 0 |
| E16 Balb/c | 10 | 8 | 1 | 1 | 0 | 0 | 0 |
| E17 Balb/c | 10 | 6 | 2 | 1 | 0 | 0 | 1 |
注: **后肾同系Lewis→Lewis或异种Lewis→Balb/c裸小鼠等移植中,未发育后肾在受体网膜里呈疤痕结节表现时归入Banff排斥分级慢性改变。
2.同种异体Lewis→BN移植,不使用CsA,E15 BN组(n=6)后肾移植后14天即完全,排斥(n=6),HE染色检查显示为疤痕结缔组织,部分可见硬化肾小球和肾小管残迹。使用CsA(12 mg·kg-1·d-1) 4周,E15BNCsA(n=10)和E16BNCsA(n=10)之间Banff排斥分级程度减轻,差异无统计学意义(P<0.05,表1)。若停用CsA 14天后,发育尚可的E15BNCsA、E16BNCsA后肾则被完全排斥(n=5)。
3.同系Lewis→Lewis分5组(n=8),移植4周后,E15Lewis与E16Lewis(P>0.05)、E17Lewis(P>0.05)组Banff排斥分级差异无统计学意义。E14Lewis(P<0.05)、E18Lewis(P<0.05)与E16Lewis组差异有统计学意义(表1)。
1.Lewis→C57BL/6异种移植后14天(n=10),Lewis大鼠E15组后肾增大明显,但质地硬,病理显示几乎完全被纤维结缔组织替代。使用CsA 15 mg·kg-1·d-1移植14天后,E15C57CsA组(n=8)结果无改善(表1)。
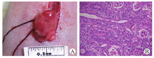
2.Lewis→Balb/c裸小鼠移植后4周,E16Balb/c移植后肾(n=5),呈肾形,质软,输尿管发育良好,内有较多的囊性积尿;皮质和髓质清晰显现。皮质中含红细胞的肾小球、近端小管、远端小管和集合管发育完好,少有淋巴细胞浸润(图1)。电镜显示:肾小球的内皮、系膜和足细胞,基底膜及足突形态结构正常;近端小管和远端小管的上皮细胞,集合管上皮细胞发育良好(图2)。E15Balb/c、E16Balb/c和E17Balb/c三组(n=10)Banff排斥分级差异无统计学意义(P>0.05,表1)。




移植后4周,部分Balb/c裸小鼠移植后肾积尿现象,呈淡黄色、澄清。E15Balb/c与E16Balb/c湿重(P>0.05,t=0.61)、积尿尿素氮(P>0.05,t=-0.17)和肌酐值(P>0.05,t=0.33)差异无统计学意义。E16Balb/c与E17Balb/c湿重(P>0.05,t=0.09)、积尿尿素氮(P>0.05,t=0.52)和肌酐值(P>0.05,t=0.34)差异无统计学意义(表2)。

移植后肾湿重、积尿尿素氮和肌酐值比较(Mean±SD,n=10)
移植后肾湿重、积尿尿素氮和肌酐值比较(Mean±SD,n=10)
| 组别 | 湿重(mg) | 肌酐(μmol/L) | 尿素氮(mmol/L) |
|---|---|---|---|
| E15 Balb/c | 14.35±2.02a | 4932±1061.70a | 487.73±132.59a |
| E16 Balb/c | 12.35±3.61 | 4861±1371.05 | 512.14±98.51 |
| E17 Balb/c | 10.80±6.89b | 4528±1576.25b | 498.12±124.88b |
备注:a与E16 Balb/c组比较P>0.05;b与E16Balb/c组比较P>0.05
移植后8周,E15Lewis比E15SDCsA后肾湿重(P<0.01,t=-4.58)低,但肌酐清除率(P<0.01,t=3.62)高;与E16Lewis比较后肾湿重(P>0.05,t=-0.35)及内生肌酐清除率(P>0.05,t=0.19)差异无统计学意义。E15SDCsA与E16SDCsA比较后肾湿重(P>0.05,t=0.07)及内生肌酐清除率(P>0.05,t=-0.38)差异无统计学意义。E15 SD与E15 SDCsA比较后肾湿重(P<0.01,t=3.74)最重,肌酐清除率最低(P<0.01,t=-3.57,表3)。

同种移植不同组后肾湿重、移植后肾内生肌酐清除率比较(Mean±SD)
同种移植不同组后肾湿重、移植后肾内生肌酐清除率比较(Mean±SD)
| 分组 | 鼠数 | 湿重(mg) | 尿量(μl /h) | 后肾肌酐清除率(μl·min-1·克后肾-1) |
|---|---|---|---|---|
| E15 Lewis | 6 | 43.9±16.1*# | 24.0±4.7*# | 36.7±4.9*# |
| E16 Lewis | 6 | 44.1±10.8 | 23.7±5.1 | 35.1±5.6 |
| E15 SDCsA | 6 | 78.5±14.2** | 15.1±2.3** | 26.2±4.1** |
| E16 SDCsA | 5 | 78.0±9.3 | 16.0±3.2 | 26.7±4.2 |
| E15 SD | 5 | 105.8±13.8## | 15.0±2.4## | 18.7±2.9## |
注:*与E15 SDCsA比较P<0.01;#与E16 Lewis比较P>0.05;**与E16 SDCsA比较P>0.05;##与E15SDCsA比较P<0.01
人类受精前8周为胚期,其后为胎期,经历了前肾、中肾与后肾三个部位的发生,其后肾又称恒肾,发生于胚胎第35~37 d,大鼠胚胎第12 d,起源于输尿管芽和生后肾胚基两部分[4,11]。原基移植是取自胚期的器官芽,此期的器官未血管化,有很强的分化潜能及较低的免疫原性[1]。本实验大鼠E14~E17胚胎后肾取自胚期为原基,不使用免疫抑制,将大鼠E15后肾植入成年SD大鼠网膜,后肾能生长、分化、再血管化,并具泌尿功能;在异种小鼠和猪移植中亦获得成功,甚至诱导出移植耐受移植[1,2,3,4]。但多项研究发现E15SD后肾移植后发生程度不等的排斥反应[5,6,7,8]。
假设细胞排斥反应是后肾同种和异种移植发育的主要障碍,本研究首先将E14~E19SD胚胎后肾植入网膜,其发育后肾都存在不同Banff分级的排斥反应。E18SD、E19最重,E16SD、E17SD次之。E14SD比较E15SD原基免疫原性低,排斥反应轻,但E14SD后肾有25.0 %(4/16)形成疤痕结节,可能与E14后肾分化发育潜能较差有关[12]。进一步应用CNI类药物CsA抑制细胞排斥反应,持续CsA 8~15 mg·kg-1·d-1皮下注射4周,E16SDCsA、E17SDCsA后肾发育显著改善,内生肌酐清除率与E15SDCsA差异无统计学意义。初步验证了细胞排斥反应对后肾原基移植的影响。Churchill等[13]也报道使用一定剂量的CsA不影响肾功能。
推测远交系SD大鼠品系之间亲缘程度较高,细胞排斥反应强度低,故而又选用主要组织相容性复合物(MHC)差异大、细胞排斥反应强度高的Lewis→BN品系验证。不使用CsA,E15 BN后肾(n=6)移植后2周即遭完全排斥,与Rogers等[2]报道不使用免疫抑制剂,在PVG(RT1c)到PVG(RT1avl)MHC不同的大鼠品系间诱导出外周耐受显然不同。为避免样本偏差,再次使用CsA (12 mg·kg-1·d-1)皮下注射4周,发现E1 5CsABN、E16 CsABN发育后肾中度以上Banff排斥分级仍占80 %(8/10例);若停用CsA,后肾皆被排斥。提示单纯CsA皮下注射,可能不足以完全抑制细胞性排斥反应,也间接提示细胞排斥反应是后肾移植的障碍之一。
设想控制细胞排斥反应,E16和E17原基可能与E15后肾原基具有类似的发育性能,本研究进行了E14~E18后肾原基Lewis→Lewis的同系移植。E15 Lewis、E16 Lewis或E17 Lewis移植后肾皆发育良好,后肾湿重和内生肌酐清除率三组之间差异无统计学意义;而E14Lewis和E18Lewis发育差,提示除了排斥因素外,还受自身再血管化和生长发育的其他因素影响。
Lewis→Lewis同系移植参杂有细胞和体液免疫两种因素,为此,本研究进一步选择先天无细胞免疫而体液免疫存在的Balb/c裸小鼠进行移植验证。首先作为对照,Lewis→C57BL/6异种移植,无论是否使用CsA,移植到C57/BL小鼠的Lewis供鼠后肾皆未能生长发育。使用抑制细胞免疫更强抑制剂,后肾原基在大鼠至小鼠[3]、小鼠至大鼠[13]、人到鼠[15]、猪到小鼠[4,16]的异种移植中,都可以在继续分化、生长。这说明细胞排斥反应基本上是原基移植的主要阻碍。
在选择Lewis→Balb/c裸小鼠的移植中,E15~E17Balb/c(n=10)三组皆发育良好,结构正常,移植后肾积尿中肌酐、尿素氮指标差异无统计学意义。由于Balb/c裸小鼠先天无胸腺,其细胞免疫功能缺陷,体液免疫功能仍正常,说明细胞排斥反应的确是未血管化的后肾原基生长发育和形成器官的最主要障碍。
本研究结果表明,大鼠E15、E16和E17后肾原基的免疫原性是量上的免疫优势,在控制排斥反应后,同种和异种移植的生长发育性能类似;细胞排斥反应是阻碍后肾原基同种和异种移植的主要因素。
所有作者均声明不存在利益冲突





















