
总结肾移植术后急性胰腺炎的临床诊治体会。
回顾性分析2007年9月至2017年12月12例肾移植术后发生急性胰腺炎受者的临床资料。
12例受者均在出现上腹部疼痛后72 h内确诊为急性胰腺炎,其中4例肾移植术后1周内发病,经非手术治愈2例,行胰腺周围间隙穿刺引流治愈2例;8例移植1年后发病,经非手术治疗治愈3例,手术治疗5例,1例接受腹腔镜胆囊切除术,1例经内镜逆行胰胆管造影下胆道取石治疗,2例接受胰腺周围间隙穿刺引流术,1例接受胰腺周围坏死组织清创引流术;1例因发生多器官功能衰竭而死亡。
肾移植术后急性胰腺炎的发生可能与免疫抑制剂干扰血脂和胰腺微循环有关,对于胆石症相关胰腺炎者应手术清除诱因,非结石性重症胰腺炎优选微创介入穿刺引流,必要时手术治疗。
版权归中华医学会所有。
未经授权,不得转载、摘编本刊文章,不得使用本刊的版式设计。
除非特别声明,本刊刊出的所有文章不代表中华医学会和本刊编委会的观点。
肾移植是目前治疗慢性肾功能衰竭的有效手段,肾移植术后排斥反应、肺部感染等并发症较为常见,而并发急性胰腺炎的病例较为少见,且未引起临床医生的充分重视。我们回顾性分析了2007年9月至2017年12月郑州大学第一附属医院普通外科收治的12例肾移植术后发生急性胰腺炎受者的临床资料,同时综合文献复习,总结诊治经验。
12例肾移植术后发生急性胰腺炎的受者中,男性8例,女性4例,平均年龄34.2岁(28~40岁);其中4例术后7 d内发病,8例术后1年后发病;右侧髂窝肾移植者10例,左侧2例;合并胆囊结石者1例(例2),胆总管结石1例(例7),发病前酗酒者2例(例2、12)。12例受者的临床资料详见表1。

12例肾移植术后发生急性胰腺炎受者的一般资料
12例肾移植术后发生急性胰腺炎受者的一般资料
| 病例 | 性别 | 年龄 | 原发病 | 免疫抑制方案 |
|---|---|---|---|---|
| 例1 | 男 | 36 | 慢性肾炎 | Tac+MMF+泼尼松 |
| 例2 | 男 | 30 | 肾病综合征 | Tac+MMF+泼尼松 |
| 例3 | 女 | 39 | 慢性肾炎 | Tac+MMF+泼尼松 |
| 例4 | 男 | 35 | 慢性肾盂肾炎 | Tac+MMF+泼尼松 |
| 例5 | 男 | 28 | 慢性肾炎 | Tac+MMF+泼尼松 |
| 例6 | 男 | 40 | 高血压 | 环孢素A+MMF+泼尼松 |
| 例7 | 男 | 36 | 糖尿病 | 环孢素A+MMF+泼尼松 |
| 例8 | 女 | 34 | 系统性红斑狼疮 | Tac+MMF+SRL+泼尼松 |
| 例9 | 女 | 32 | 慢性肾炎 | Tac+MMF+泼尼松 |
| 例10 | 男 | 28 | 慢性肾炎 | Tac+MMF+泼尼松 |
| 例11 | 女 | 34 | 慢性肾炎 | Tac+MMF+泼尼松 |
| 例12 | 男 | 36 | 高血压 | Tac+MMF+泼尼松 |
注:Tac为他克莫司,MMF为吗替麦考酚酯,SRL为西罗莫司
12例受者发病时均出现上腹部持续疼痛、呕吐等症状,8例明显腹胀,11例体温超过38.5 ℃(3例超过40 ℃),12例出现局限性腹膜刺激征,4例腹腔穿刺抽出淡红色液体,12例血、尿淀粉酶均明显升高;CT检查显示急性胰腺炎8例,急性重症胰腺炎4例。本组受者中,甘油三酯、总胆固醇同时明显升高者8例(表2)。

12例肾移植术后发生急性胰腺炎受者的诊治情况
12例肾移植术后发生急性胰腺炎受者的诊治情况
| 病例 | 发病时间 | 甘油三酯(mmol/L) | 总胆固醇(mmol/L) | 治疗方法 | 转归 |
|---|---|---|---|---|---|
| 例1 | 4 d | 26.35 | 6.82 | 胰腺周围间隙穿刺引流术 | 治愈 |
| 例2 | 1年 | 20.04 | 8.48 | 胆囊切除术 | 治愈 |
| 例3 | 4 d | 10.86 | 4.92 | 胰腺周围间隙穿刺引流术 | 治愈 |
| 例4 | 3 | 1.65 | 3.30 | 非手术 | 治愈 |
| 例5 | 2年 | 23.77 | 6.43 | 胰腺周围间隙穿刺引流术 | 治愈 |
| 例6 | 6年 | 30.62 | 10.39 | 非手术 | 治愈 |
| 例7 | 5年 | 17.91 | 7.73 | ERCP | 治愈 |
| 例8 | 7 d | 1.24 | 5.01 | 非手术 | 治愈 |
| 例9 | 3年 | 24.83 | 9.18 | 胰腺周围间隙穿刺引流术 | 治愈 |
| 例10 | 4年 | 15.96 | 7.65 | 非手术 | 治愈 |
| 例11 | 4年 | 10.86 | 3.95 | 非手术 | 治愈 |
| 例12 | 2年 | 16.74 | 6.87 | 胰腺周围坏死组织清创引流术 | 死亡 |
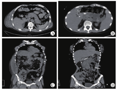
12例受者均在出现上腹部疼痛后72 h内确诊为急性胰腺炎(4例为急性重症胰腺炎),其中4例于术后7 d内发病,通过纠正低血容量休克及水电解质酸碱平衡紊乱,并给予胃肠外营养支持等非手术治疗后痊愈2例,2例行胰腺周围间隙穿刺引流术治愈;8例于术后1年后发生急性胰腺炎,其中3例经非手术治疗痊愈,5例接受了手术治疗;5例手术治疗的受者中,1例接受腹腔镜胆囊切除术,1例经内镜逆行胰胆管造影(ERCP)下胆道取石治疗,2例接受胰腺周围间隙穿刺引流术,1例接受胰腺周围坏死组织清创引流术;1例因发生多器官功能衰竭而死亡(表2,图1)。


急性胰腺炎是肾移植术后少见的并发症,发生率约为1%~5%,受者预后较差,死亡率高达50%~100%[1]。关于肾移植术后急性胰腺炎的病因目前尚不清楚,国内外学者推测肾移植术后急性胰腺炎的发生可能与免疫抑制剂的使用有关,当排除了其他可能的诱发因素(胆石症、酗酒、十二指肠液反流、高脂血症、高钙血症、糖皮质激素的使用等)[2,3,4],特别是当免疫抑制剂停止后胰腺炎痊愈,再重复使用时胰腺炎复发时,免疫抑制剂引起胰腺炎的证据将更加明确[5,6,7]。统计资料显示,由于肾移植受者长期使用免疫抑制剂,因此其发生急性胰腺炎时病情进展快、后果严重,重症者达50%以上,而未移植者则仅为20%~30%[7]。
目前,关于免疫抑制剂引起急性胰腺炎的机制尚不明确。本组资料显示,受者在肾移植围手术期均给予甲破尼龙,术后第1天开始口服免疫抑制剂,采用他克莫司+MMF+泼尼松的三联方案,期间血他克莫司浓度维持在8~12 μg/L,在发生急性胰腺炎时,其中9例受者血清中的甘油三酯、总胆固醇均明显高于正常值。参考国内外文献以及本研究的数据,我们推测其可能的机制为,高浓度的他克莫司抑制脂蛋白脂肪酶的生物合成,并通过抑制脂蛋白脂肪酶的活性而改变胰岛素的信号传导途径,从而影响甘油三酯的体内清除。另外,高浓度的他克莫司可抑制胰岛B细胞的功能,使胰岛素的合成减少,血糖升高,进而影响血脂水平,而血脂升高又进一步影响胰腺微循环,从而诱发了高血脂性胰腺炎[8]。
肾移植术后急性胰腺炎的临床症状多表现为上腹部疼痛,可依据CT检查(禁忌时可选择磁共振成像)明确诊断。坏死性胰腺炎、胰腺周围脓肿或急性胰腺假性囊肿是外科手术指征。虽然手术不是治疗急性重症胰腺炎的首选,但肾移植术后急性胰腺炎长期保守治疗将增加受者的死亡风险,因此建议手术治疗,特别是并发急性重症胰腺炎的移植受者,应首选手术治疗。对于发生胆石症相关胰腺炎者应手术清除发病诱因,非结石相关性重症胰腺炎者优选微创介入穿刺引流,必要时手术清创引流。本组12例,经非手术治疗治愈5例,而经手术治疗7例,其中6例治愈,1例因术后多器官功能衰竭死亡。
本研究中,我们在对受者进行治疗时,既积极治疗胰腺炎,又注意保护移植肾功能,根据受者血他克莫司浓度调整药物剂量,使其浓度维持在6~8 μg/L;同时,鼻饲给予降脂药物[9],且对于高血脂受者,结合低分子肝素,使用血液净化治疗去除血脂。另外需要重视的是,由于肾移植术后免疫抑制剂的使用,受者免疫力低下,使得部分受者急性胰腺炎早期临床表现不典型,疾病进展快;且受者焦虑、抑郁发生率高、程度重,因此,治疗期间应为其讲解围手术期各项医护措施的意义,鼓励受者说出自己的感受,减轻其焦虑、恐惧的心理[10]。
综上,我们认为肾移植术后急性胰腺炎的发生与免疫抑制剂导致的血脂代谢紊乱有关。肾移植术后临床应根据受者的血脂改变,进行降脂治疗;在启动免疫抑制治疗时以及随访期间,应考虑所有可能的危险因素,优化免疫抑制剂的使用,术后常规复查肝胆系统彩色超声,降低急性胰腺炎的发病风险。对于发生胆石症相关胰腺炎者应手术清除发病诱因,非结石相关性重症胰腺炎者建议微创介入穿刺引流,必要时手术清创引流。由于本研究的样本较少,关于肾移植术后急性胰腺炎的发病机制及治疗等尚需进一步研究,但本研究提示,专科医生应增加对肾移植术后急性胰腺炎早期诊治的关注度,提高受者复诊的综合性,警惕急性胰腺炎的诱因。
所有作者均声明不存在利益冲突





















