
探讨肾移植术后BKV相关性肾病(BK virus associated nephropathy,BKVAN)的诊断与治疗方法。
针对62例血肌酐进行性升高的受者行血液及尿液BKV-DNA定量检测,阳性受者常规行移植肾穿刺活检以明确诊断。
21例受者发现有BKV感染,20例受者停用吗替麦考酚酯(MMF)并用来氟米特替代,减少他克莫司用量,1例尿液(-)血液(+)受者以西罗莫司替代他克莫司并减少MMF用量。其中11例尿液(+)血液(-)受者中,4例受者尿液BKV-DNA转阴且血肌酐明显下降,4例受者尿液BKV-DNA载量有所下降且血肌酐维持稳定,1例受者因肺部感染合并肝肾功能衰竭导致死亡,1例受者尿液BKV-DNA较前下降但血肌酐较前上升,1例受者合并急性排斥反应及移植肾积水,血肌酐较前上升,BKV-DNA尚未复查;9例尿液(+)血液(+)受者中,6例尿液BKV-DNA载量下降并血液检测转阴且血肌酐明显下降,2例受者血液BKV载量有所下降,尿液BKV载量无变化且血肌酐维持稳定,1例受者血肌酐稳定,尚未复查;1例尿液(-)血液(+)受者因大幅度减少免疫抑制剂引起急性排斥反应,最终因治疗不及时导致移植肾功能丧失,恢复血液透析。
通过降低免疫抑制强度对治疗BKVAN疗效确切,但需警惕因减少免疫抑制剂引起的急性排斥反应。
版权归中华医学会所有。
未经授权,不得转载、摘编本刊文章,不得使用本刊的版式设计。
除非特别声明,本刊刊出的所有文章不代表中华医学会和本刊编委会的观点。
肾移植受者由于服用抑制剂机体长期处于免疫抑制状态,各类病菌感染的风险高于正常人。他克莫司及吗替麦考酚酯等强效免疫抑制剂的广泛应用显著提高了移植受者的存活率及移植肾的存活时间,但由此也使BK病毒相关性肾病(BK virus associated nephropathy,BKVAN)的发病率显著增加[1,2,3]。肾移植术后BKV感染发生率为5.7%,BKVN的发生率约为1%~10%,50%的BKVAN受者最终会发展为不可逆的移植肾功能衰竭。武汉大学人民医院对肾移植术后血肌酐进行性升高且排除其他病因的受者常规行血液及尿液BKV-DNA定量检测,现总结报告如下。
选择血肌酐进行性升高的62例肾移植受者常规行血液及尿液BKV-DNA定量检测,其中男性49例,女性13例,年龄23~70岁。62例受者均为公民逝世后器官捐献供肾,术前以巴利昔单抗进行诱导,术后采用他克莫司+吗替麦考酚酯(MMF)+醋酸泼尼松的三联免疫抑制方案,其中有6例合并有移植肾输尿管狭窄。其中21例BKV-DNA检测阳性患者,男性17例,女性4例,年龄26~70岁,平均年龄45岁,2例受者合并有移植肾输尿管膀胱吻合口狭窄。
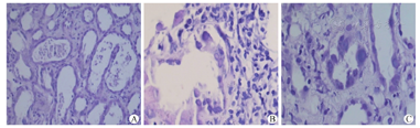
62例受者常规行血液及尿液BKV-DNA定量检测。其中检测结果阳性的受者行移植肾穿刺活检术进一步明确诊断(图1)。另外通过收集受者尿液进行decoy细胞检测也可以初步诊断BKV感染,但decoy细胞监测BKV感染的灵敏度和特异度均较低,存在细胞收集困难、细胞破坏、标本污染等问题,同时与JC病毒鉴别困难,判断的主观性强,因此我科并未进行这一检测。


我科对于BKV检测阳性受者予以停用MMF,用来氟米特替代MMF,减少他克莫司用量,将他克莫司谷浓度维持在<6 μg/L,定期监测受者血液及尿液BKV-DNA载量及血肌酐变化情况。
62例受者中,41例受者尿液及血液BKV-DNA检测呈阴性,11例受者尿液检测呈阳性而血液呈阴性,9例受者尿液及血液均呈阳性,1例受者血液检测呈阳性而尿液检测呈阴性。
经过治疗后,其中11例BKV-DNA检测尿液(+)血液(-)受者中,4例受者尿液BKV-DNA转阴且血肌酐明显下降,4例受者尿液BKV-DNA载量有所下降且血肌酐维持稳定,1例受者因肺部感染合并肝肾功能衰竭导致死亡,1例受者尿液BKV-DNA较前下降但血肌酐较前升高,1例受者合并急性排斥反应及移植肾积水,血肌酐较前上升,BKV-DNA尚未复查;9例BKV-DNA检测尿液(+)血液(+)受者中,6例尿液BKV-DNA载量下降并血液检测转阴,2例受者血液BKV载量有所下降,尿液BKV载量无变化,血肌酐维持稳定,1例受者尚未复查,但血肌酐维持稳定;1例尿液(-)血液(+)受者因大幅度减少免疫抑制剂引起急性排斥反应,因治疗不及时导致移植肾功能衰竭,最终恢复血液透析。
BK病毒隶属多瘤病毒亚群,是一类无包膜的双链环状DNA病毒。BK病毒包含5 300对碱基,是直径为40~45 nm的20面晶体结构,外面包被VP1、VP2、VP3三种结构病毒颗粒蛋白。其基因组有三个区域:分别为:①早期区域,编码大小T抗原;②晚期区域,编码VP1、VP2、VP3蛋白;③非编码基因调控区。
BK病毒对肾小管上皮细胞具有亲嗜性,当受者免疫功能低下时,病毒可能激活复制。影响BK病毒再活化的危险因素较多,主要包括:①供者BKV血清学阳性;②HLA错配;③移植肾缺血或免疫性损伤;④供者或受者缺失HLA-C7等位基因;⑤放置输尿管支架;⑥皮质激素;⑦新型免疫抑制剂的使用。
BK病毒感染后常伴随输尿管狭窄、淋巴囊肿、泌尿系感染、血尿和巨细胞病毒感染等多种并发症。1例受者肾移植术后血肌酐缓慢上升,尿量减少,并出现移植肾输尿管膀胱吻合口狭窄而怀疑BKVAN。行血液及尿液BKV-DNA定量检测,查出尿液BKV阳性,经移植肾穿刺活检后确诊为BKV相关性肾病。通过移植肾穿刺造瘘术解除移植肾输尿管梗阻,并用来氟米特替代MMF,减少他克莫司用量进行治疗。受者尿量逐渐增多,血肌酐也逐渐降至正常。该受者既往有糖尿病病史,免疫功能较正常人低下,故在强效免疫抑制剂的作用下更易引起BK病毒活化。另外1例受者既往也患有糖尿病,肾移植术后血肌酐缓慢上升,行BKV-DNA定量检测,结果为尿液呈阳性,血液呈阴性,考虑该受者仅尿液BKV检测呈阳性,故仅减少MMF用量,加用来氟米特,他克莫司谷浓度并未严格控制在小于6 μg/L。受者血肌酐进一步上升,尿量有所减少,复查BKV-DNA定量结果为尿液呈阳性,同时血液转为阳性,说明该受者BK病毒感染并未得到有效控制。采取停用MMF,严格控制他克莫司谷浓度维持在6 μg/L以下。受者尿量逐渐增加,血肌酐明显下降,同时再次复查血液BKV转阴。故笔者认为,尿毒症合并有糖尿病的受者较单独尿毒症受者免疫功能更低,一旦免疫抑制强度过大,容易引起受者体内潜伏BK病毒活化。
Verghese等[4]研究表明,肾移植受者BKV血症与供者尿液BKV复制有关。2例受者肾移植术后均出现BK病毒血症及BK病毒尿症,而这2例受者供肾来源于同一供者。因此我们怀疑这2例受者属于供者来源的BKV感染。故供者在捐献之前进行尿液及血液BK病毒筛查具有一定临床意义。同时,我们建议一旦1例受者出现BK病毒感染,需积极筛查同一供者的另1例肾移植受者是否也存在BKV感染。
据相关资料表明,肾移植术后受者尿液BK病毒载量一般要高于血液BK病毒载量,但两者之间差异无统计学意义。1例受者初次检测BKV-DNA定量血液呈阳性,而尿液检测呈阴性。通过2个月的治疗后再次复查发现血液及尿液检测结果均呈阴性。有研究者认为可能是BK病毒在其他器官激活,或是由于PCR引物特异性较差引起的JC或SV40病毒交叉反应。除了上述原因外,还有可能是由于BK病毒在尿液中排出呈间歇性或者是由于抽样误差所导致。因此,对于尿液中病毒载量呈阴性而血液BK病毒阳性者,应多次测定尿液及血液BKV-DNA载量以明确诊断。有些移植中心首先查尿液BKV-DNA定量,如果尿液结果呈阴性就不再进一步查血液BKV-DNA定量,这有可能漏诊假阴性受者。
有研究表明,1/3的无症状高载量的BK病毒尿症肾移植受者(尿BKV-DNA>107拷贝数/ml或高载量的decoy细胞)会发展成为BK病毒血症[5]。如果不进行任何干预则会发展成为组织学确定的BKVAN,最终面临10%~90%移植肾功能丧失的风险。有学者认为,当血液BK病毒检测呈阴性,而尿液BKV-DNA载量>107拷贝数/ml时需积极调整免疫抑制方案,反之则可暂时维持原免疫抑制方案。这一观点具有一定的临床参考价值,但是笔者认为如果受者出现肌酐缓慢上升的情况且排除其他可能原因,则应积极调整免疫抑制方案以控制BK病毒尿症。
有学者认为,肾移植术后BK病毒感染的高危因素是免疫抑制剂的剂量,而不是免疫抑制剂的种类。但国外基础研究表明环孢素A(CsA)可能是减少甚至抑制BKV感染的重要因素。由于数据较少并且实施过程中影响因素较多,临床常规将三联免疫抑制剂改为二联,并使用具有抗病毒作用的免疫抑制剂,如来氟米特。来氟米特在体外实验及动物实验被证实有抗病毒作用,但Krisl等[6]研究发现来氟米特的代谢产物A77 1726的浓度与BK病毒载量无关,来氟米特并没有清除BK病毒的作用,具体事宜有待于进一步对来氟米特的抗病毒药理学的研究。
Brennan等[7]和黄刚等[8]研究发现,在他克莫司-MMF治疗组中受者BK病毒尿症和病毒血症的发生率比CsA-MMF治疗组中要高,而单独对比他克莫司和CsA时无明显差异。有研究表明,高浓度的CsA和他克莫司可以特异性抑制抗BK病毒T细胞反应,而高浓度的MMF、西罗莫司或来氟米特没有类似的抑制作用[9]。因此钙调神经蛋白抑制剂(calcineurin inhibitor,CNI)类可能含有某种未知的成分与BK病毒肾病的发病风险有关。但是,进一步的研究发现CsA具有抑制BK病毒再激活及感染初期峰值的作用。这些作用呈非剂量依赖性并与细胞毒性无关,且其并不是通过抵制病毒进入细胞的方式来发挥作用[10]。另一研究显示,CsA不仅能够抑制BK病毒在近端肾小管上皮细胞和尿路上皮细胞复制,而且能够抑制由BK病毒大T抗原调控的早期启动子活性。因此可以认为CsA具有抑制BK病毒复制及非编码区激活的作用[11]。因此有专家建议,如为公民逝世后器官捐献供者的肾移植受者感染BK病毒可考虑以CsA替代他克莫司,浓度维持在150 μg/L左右,同时MMF减量,保持MMF<1 g/d;如为亲属活体肾移植受者感染BK病毒则可考虑以CsA替代他克莫司,以咪唑立宾替代MMF。
1例BKV血液(+)尿液(-)受者在外院通过西罗莫司替代他克莫司并减少他克莫司用量的方案进行治疗,导致移植肾发生急性排斥反应,最终因治疗不及时导致移植肾功能丧失。因此,应谨慎调整免疫抑制剂种类及用量,定期监测血肌酐及移植肾彩色多普勒超声,避免在治疗BKVAN过程中引起急性排斥反应发生。
总之,肾移植术后BKVAN是引起血肌酐进行性升高甚至移植肾功能丧失的重要原因,需常规筛查以排除潜在BK病毒感染风险。一旦确诊BKVAN应立即通过减少免疫抑制剂进行积极治疗,大部分受者能取得良好效果。同时,应防止过度减少免疫抑制剂引起的急性排斥反应。
所有作者均声明不存在利益冲突





















