
探讨肾移植受者继发新型冠状病毒感染的肺炎(COVID-19)临床特点、诊治和预后。
回顾性分析2例肾移植受者继发COVID-19的病例资料,从临床表现、血常规、炎症因子、细胞免疫、胸部CT、治疗效果方面,对比《新型冠状病毒肺炎诊疗方案(试行第五版)》。 2例受者均以中低热起病,初期无咳嗽、乏力,血常规提示白细胞正常范围,淋巴细胞计数明显减少,C-反应蛋白增高,降钙素原稍偏高,细胞免疫极低,胸部CT提示双肺多发斑片状磨玻璃影。
起病1周后2例受者均病情进展明显,与已报道的普通人COVID-19发病过程及影像学改变高度相似。给予抗病毒、停免疫抑制剂、中小量激素维持、丙种球蛋白静脉滴注、呼吸支持、避免继发感染及对症支持治疗。目前2例受者病情均明显好转,肾功能稳定,其中1例已康复出院。
肾移植受者COVID-19临床表现与普通患者大体一致。虽无特异性的治疗COVID-19方法,但停用免疫抑制剂、中小剂量激素维持、积极恢复免疫力、及时给予呼吸支持是行之有效的。
版权归中华医学会所有。
未经授权,不得转载、摘编本刊文章,不得使用本刊的版式设计。
除非特别声明,本刊刊出的所有文章不代表中华医学会和本刊编委会的观点。
2019年12月开始出现的新型冠状病毒感染的肺炎(COVID-19)病例,截至笔者撰文时,官方公布累计确诊66 576例,疑似病例8 969例,死亡1 524例[1]。
肾移植是目前治疗终末期肾病的最佳方法,肾移植术后1年存活率已提高到90 %以上[2]。因术后长期应用免疫抑制剂,免疫机制受损,易伴发感染,特别是肺部感染的风险比一般人群明显增高[3]。目前的数据显示,2019新型冠状病毒(2019-nCoV)具有极强的传染性和人群普遍易感性,理论上,肾移植受者应归于易感高危人群。 武汉大学人民医院肾病与透析移植中心在2020年1月收治2例出现COVID-19的肾移植受者,目前2例受者临床症状均明显好转,病情稳定,其中1例已康复出院。本研究通过分析肾移植术后COVID-19的病例,探讨该类人群继发COVID-19的临床特点、诊治和预后。
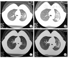
例1 女性,39岁,肾移植术后22个月。长期居住于武汉市东西湖区,2019年1月16日因发热2 d就诊,最高体温37.4 ℃,无咳嗽咳痰,尿量约2 L/d。既往史:2018年3月因"尿毒症"行肾移植术,目前口服泼尼松+吗替麦考酚酯+他克莫司三联抗排斥治疗,在本院门诊定期复诊,血肌酐约170 μmol/L;高血压10年,最高血压250/120 mmHg,目前口服厄贝沙坦150 mg/d、苯磺酸氨氯地平10 mg/d(一日2次)、倍他洛克缓释片23.75 mg/d,自述血压控制可。查体:体温37 ℃,脉搏90次/min,呼吸20次/min,血压112/69 mmHg,余无特殊。我院门诊血常规检查提示白细胞正常范围,淋巴细胞减低,他克莫司血药浓度8.3 μg/L,血肌酐182 μmol/L,胸部CT提示肺部感染(图1)。


入院后立即停服吗替麦考酚酯,完善移植肾B型超声检查、细胞免疫、体液免疫、真菌G试验、GM试验、EB病毒检测、BK病毒DNA定量、巨细胞病毒DNA定量、呼吸道病原抗体定性(9种)、流感病毒抗原检测、痰涂片常规、痰培养,嘱体温>38.5 ℃时留取血培养标本,复查血常规、C反应蛋白(CRP)、降钙素原(PCT)、肝功能、肾功能、电解质,给予抗排斥[泼尼松(5 mg/d)+他克莫司(3 mg/d,一日2次)]、抗感染[注射用头孢哌酮钠他唑巴坦钠(4.5 g/d,一日2次)+磺胺(6片/d,一日3次)]、抗病毒[注射用更昔洛韦(250 mg/d)+磷酸奥司他韦(150 mg/d,一日2次)]、抗真菌[(泊沙康唑(30 ml/d,一日3次)]治疗,监测他克莫司血药浓度、指脉氧饱和度,嘱受者除进食时间外一直佩戴医用口罩(科室提供)。
例2 男性,40岁,肾移植术后10个月。长期居住于武汉市蔡甸区,2019年1月17日因畏寒发热3 d就诊,最高体温38 ℃,无咳嗽咳痰,尿量约2.5 L/d。既往:2018年3月因"尿毒症"行肾移植术,目前口服泼尼松+吗替麦考酚酯+他克莫司三联抗排斥反应,在本院门诊定期复诊,血肌酐120~159 μmol/L;患高血压病10年,肾移植术后血压正常,目前未使用降压药。查体:体温37.8 ℃,脉搏83次/min,呼吸20次/min,血压103/74 mmHg,余无特殊。我院门诊血常规检查无异常,他克莫司血药浓度6.2 μg/L,血肌酐159 μmol/L。
入院后立即完善与例1相同的辅助检查,另胸部CT提示双肺感染;血常规检查提示白细胞正常范围(4.24×109个/L,参考区间3.5~9.5×109个/L);淋巴细胞计数低(0.65×109个/L,参考区间1.1~3.2×109个/L),发病前随访结果,淋巴细胞计数均在正常值范围);CRP增高(15.1 mg/L,参考区间0~10 mg/L);PCT临界范围(0.15 μg/L,参考区间<0.1 μg/L);细胞免疫检查提示机体免疫力极低(CD4计数80×109 /μL,参考区间404×109~1 612×109 /μL)。给予例1相同处理。
例1 2020年1月17日最高体温38.7 ℃,后体温逐日下降,2020年1月18日最高体温37.3 ℃,2020年1月19日最高体温36.9 ℃,自感无异常,睡眠、食欲、精神均可。入院辅助检查结果:细菌、真菌、病毒等均阴性;复查血常规白细胞正常范围(4.24×109/L,参考区间3.5×109~9.5×109/L),较入院时有下降趋势;淋巴细胞计数低(0.60×109/L,参考区间1.0×109~3.2×109/L,发病前随访淋巴细胞计数均在正常值范围);CRP增高(43.4 mg/L,参考区间0~10 mg/L);PCT临界范围(0.101 μg/L,参考区间<0.1 μg/L);细胞免疫提示机体免疫力极低(CD4计数186×109/μL,参考区间404×109~1 612×109/μL)。受者体温逐渐恢复正常,未调整治疗方案。2020年1月20日再次出现发热,最高体温38.3 ℃,少许干咳,尿量约2 L/d,查体无明显阳性体征,辅助检查结果:他克莫司血药浓度7.6 μg/L、血肌酐197 μmol/L,排斥反应可能性小。立即复查胸部CT对比2020年1月16日CT提示:双肺感染,较前进展(图1)。拟行纤维支气管镜检查,受者拒绝。调整治疗方案:停服他克莫司,改为甲泼尼龙40 mg/d静脉滴注,给予人血丙种球蛋白10 g/d静脉滴注,口服头孢哌酮钠他唑巴坦钠改为盐酸莫西沙星继续联合磺胺抗感染,继续更昔洛韦+奥司他韦抗病毒,继续泊沙康唑抗真菌治疗,申请2019-nCoV核酸检测,同时给予单间病房隔离治疗。
受者持续发热,伴有干咳,体温维持在38 ℃左右。入院时未吸氧下指脉氧饱和度(SpO2%)波动在98 %以上。2020年1月20日再次发热后未吸氧下SpO 2%下降至92 %左右,伴胸闷、乏力,调整甲泼尼龙为20 mg/d静脉滴注,余治疗不变,给予鼻导管吸氧可维持SpO2%在95 %以上。后逐渐增大给氧流量方能维持SpO2%在90 %以上。2020年1月22日改为面罩吸氧。2020年1月25日面罩下氧流量10 L/min,SpO2%不能维持在90 %以上,立即给予无创呼吸机改善低氧血症。目前已脱离无创呼吸机,尚需间断鼻导管吸氧,可间断脱离氧气床旁活动,每日尿量约2 500 ml,血肌酐约170 μmol/L。目前治疗方案:甲泼尼龙40 mg/d静脉滴注抗感染,人血丙种球蛋白10 g静脉滴注增强免疫力,泰能静脉滴注抗感染,更昔洛韦抗病毒治疗,病情稳定好转。
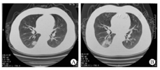
例2 2020年1月17日最高体温37.8 ℃,后体温逐日下降,2020年1月18日最高体温37.1 ℃,2020年1月19日最高体温36.9 ℃,受者自我感觉可。2020年1月20日再次发热,最高体温38 ℃,出现少许干咳,复查胸部CT对比2020年1月17日CT提示双肺感染性病变,右肺上叶病灶较前吸收,两肺下叶病灶较前进展,余大致同前(图2)。治疗方案调整同例1后,2020年1月21日起受者未再发热。2020年1月23日2019-nCoV RNA检测回报,2例受者均双阳性:COVID-19核壳蛋白基因阳性、2019nCoV开放阅读编码框lab阳性。根据国家传染病法规定,转至指定医院继续治疗。后该受者自我感觉无异常,每日尿量约2 500 ml,血肌酐约130 μmol/L。复查胸部CT提示感染灶已基本吸收,复查2019-nCoV RNA阴性,2020年2月8日康复出院。


冠状病毒亚科分为α、β、γ和δ四个属,加上这次新发现的冠状病毒,已知感染人的冠状病毒有7种。大多数冠状病毒引起上呼吸道感染。COVID-19为2019-nCoV引起的急性呼吸道传染病。临床表现以发热、乏力、干咳为主要表现,重症患者多在1周后出现呼吸困难和/或低氧血症,严重者快速进展为急性呼吸窘迫综合征、脓毒症休克、难以纠正的代谢性酸中毒和出凝血功能障碍等。胸部影像学早期呈现多发小斑片影,进而发展为双肺多发磨玻璃影、浸润影,严重者可出现肺实变,胸腔积液少见。多数患者预后良好,老年人和有慢性基础疾病者预后较差[4]。
肾移植受者长期使用免疫制剂在有效降低机体排斥反应的同时也极大程度的减低了机体对病毒、细菌等病原体感染的免疫能力,肺部感染是肾移植术后主要的感染类型之一,具有起病隐匿、进展快、病情严重等特点[5,6]。本研究2例肾移植受者于2020年1月14日出现COVID-19的初期症状均是发热(中低热),无咳嗽咳痰,饮食、睡眠、精神均可,受者自我舒适度可,胸部CT为双肺多发的斑片状、片状磨玻璃阴影。2020年1月20日均症状加重,CT提示双肺感染进展,新发病灶主要以双肺中下叶为主。其中例1快速出现低氧血症,CT出现大片状毛玻璃影。例2的临床表现、CT改变与报道的COVID-19发病过程及影像学改变高度相似:以发热为起病表现,1周后出现呼吸困难和/或低氧血症,病情进展后两肺多发磨玻璃影。
肾移植受者重症肺炎的死亡率高达46.2 % ~ 78.3 %[7]。发生感染的常见时间为肾移植术后1~6个月[8]。本研究2例受者COVID-19发病距移植术的时间均较长。例1术后22个月发生COVID-19,发病前免疫抑制剂血药浓度较例2高,病程中出现呼吸衰竭,需要长时间呼吸支持,可能与其机体免疫力低下有关。推测2019-nCoV的感染率、发病程度与机体免疫力有关,与肾移植术后时间不相关。
目前COVID-19无特效治疗药物,主要是对症支持治疗,包括休息、抗病毒、呼吸支持、循环支持等治疗。对于肾移植受者长期口服免疫抑制剂,除以上方案,减少或停用免疫抑制剂、中小量激素维持是恢复机体免疫力的基础。中小剂量激素既可控制高热、肺急性炎症浸润,又可在不使用免疫抑制剂时,控制急性排斥反应。2例受者入院时均停用吗替麦考酚酯,继续口服原有泼尼松+他克莫司(调整剂量至血药浓度为5~6 μg/L),下调免疫抑制程度,恢复机体免疫力。2020年1月20日2例受者均再发热,复查胸部CT双肺感染进展,出现低氧血症,立即停所有免疫抑制剂,仅静脉滴注甲泼尼龙40 mg/d。起病1周后2例受者均病情进展,其中例1快速出现低氧血症,立即调整甲泼尼龙为20 mg/d静脉滴注进一步减轻免疫抑制程度。2例受者入院辅助检查均提示免疫力极低。虽停用免疫抑制剂,但机体免疫力难以在短时间恢复,且感染会加重免疫系统紊乱,甚至出现免疫抑制,因此恢复免疫机制、增强免疫力是关键[9]。我们采用人血丙种球蛋白0.2 g·kg-1·d-1静脉滴注提高机体免疫力。入院时因病原学检查未明确,2例受者均给予广谱抗生素治疗。确诊后,无明确细菌感染证据,不建议常规使用抗细菌药物,可定期监测,警惕细菌感染或真菌感染可能。截止目前,例1仍不能脱离输氧,但病情较前明显缓解,继续给予人血丙种球蛋白静脉滴注,因病情明显好转,为防移植肾排斥反应,调整甲泼尼龙为40 mg/d静脉滴注,继续抗病毒、支持治疗。例2复查胸部CT感染灶明显吸收,复查2019-nCoV核酸检测阴性,逐步恢复常规免疫抑制剂(首选加用他克莫司,调整血药浓度在4~6 μg/L)康复出院。
本报告2例受者住院时间较长,例1已住院1个月仍未达出院标准,例2住院半个月复查胸部CT提示感染灶基本吸收后1周复查2019-nCoV核酸转阴,虽暂无文献统一标准普通感染者平均住院时间,但对比在院其他感染者,肾移植受者病毒清除能力较弱。考虑由于免疫抑制剂使用使机体不能产生足够强度的中和抗体及时清除病毒,故2019-nCoV核酸检查转阴较慢,其传染期可能较长。因观察时间较短,目前暂不能确定肾移植受者术后COVID-19的远期影响。
我们同时收集了门诊定期随访肾移植受者(76例),目前未发现感染病例;与本报告2例确诊病例共同在院的其余肾移植受者(42例),未发现2019-nCoV感染病例。一定程度说明肾移植受者合并COVID-19的发病率、病情变化与普通感染者无明显差异且大多预后良好;但治疗耗时较长,机体清除病毒能力弱;虽尚无特效药,但停用免疫抑制剂、恢复免疫力对改善预后有重要意义。
截至目前,我们接诊过2例确诊病例的医、护人员和其他病患均无2019-nCoV感染病例,考虑与入院时宣教个人防护、长时间佩戴医用口罩、全体医护人员和在院病患均集体佩戴医用口罩、定时消毒等防护措施密切相关。综上所述,COVID-19的防治重在预防。
所有作者均声明不存在利益冲突





















