
总结多囊肾合并多囊肝受者肾移植术后肝内囊肿反复感染接受肝移植的诊治经验。
回顾性分析首都医科大学附属北京朝阳医院收治的1例多囊肾合并多囊肝患者肾移植术后肝内囊肿反复感染行肝移植的临床资料,并进行文献复习。
受者为男性,60岁,31年前发现多囊肾合并多囊肝,2年前因肾功能衰竭(血肌酐700 μmol/L)开始规律接受血液透析,15个月前(2018年3月20日)接受右肾切除术,并于9个月前接受肾移植。受者应用巴利息单抗行免疫诱导,免疫维持采用他克莫司+麦考酚钠+醋酸泼尼松。术后移植肾功能稳定(血肌酐在120~150 μmol/L),术后2周顺利出院。6个月前,受者反复因高热伴左侧腰痛等症状入院,经与感染科、肝胆外科、呼吸科等相关科室会诊,考虑肝囊肿反复感染,决定行肝移植。肝移植术中病肝内可见多发囊肿,囊腔内大量脓性粘稠物质。术后感染得到迅速控制,移植肝功能良好,移植肾功能稳定,未发生严重并发症。截至末次随访,移植肾和移植肝功能均正常。
肾移植术后对于多囊肝囊肿感染的处理,抗生素联合适当外科干预是必不可少的;对于反复感染,严重影响生存质量的受者,应考虑行肝移植术。
版权归中华医学会所有。
未经授权,不得转载、摘编本刊文章,不得使用本刊的版式设计。
除非特别声明,本刊刊出的所有文章不代表中华医学会和本刊编委会的观点。
多囊肾常累及全身多个器官,最常见的肾外表现是多囊肝,但仅有少数多囊肝患者会继发肝囊肿相关的临床表现[1,2]。目前国际上对于多囊肾或多囊肾合并多囊肝的治疗意见不一,绝大部分根据各中心经验对相应的并发症对症处理[3,4]。通常多囊肝的囊内感染治疗困难,迁延不愈,由于感染发生在密闭的腔隙且部位较深,常规的抗感染治疗及外科干预难以完全控制囊内感染。特别是对同种异体肾移植术后的多囊肝患者,他们是多囊肝囊肿继发感染的高危人群,而感染若不及时控制会对受者造成致命打击[5]。首都医科大学附属北京朝阳医院收治了1例多囊肾合并多囊肝患者在肾移植术后因多囊肝囊肿反复感染行肝移植的病例,通过对本例病例的分析和总结,并查阅相关文献,以提高临床对多囊肾合并多囊肝患者接受肾移植和肝移植的诊治与管理。
受者,男性,60岁,31年前发现多囊肾合并多囊肝,2年前因肾功能衰竭(血肌酐700 μmol/L)开始规律接受血液透析;受者伴高血压40余年,口服硝苯地平30 mg/d,血压控制满意,伴乙型肝炎病史50余年,其母亲与妹妹均患有多囊肾。15个月前(2018年3月20日),受者因"腹胀5年"入我院行右肾切除术,9个月前接受肾移植。受者应用巴利息单抗行免疫诱导,免疫维持采用他克莫司+麦考酚钠+醋酸泼尼松。术后血他克莫司浓度控制在8~12 μg/L,麦考酚钠360 mg/d。术后移植肾功能稳定(血肌酐在120~150 μmol/L),术后2周顺利出院。
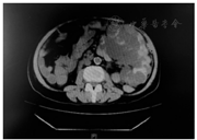
6个月前,受者以"高热伴左侧腰痛、恶心呕吐6日"入院,体温最高39.5 ℃,给予哌拉西林钠/他唑巴坦钠4.5 g/d经验性抗感染治疗,血培养提示大肠埃希菌(+),腹部CT检查(图1)显示,左肾明显增大,左肾实质内可见多发大小不等的类圆形低密度灶,内可见散在结节状致密高密度灶,考虑左侧多囊肾囊内破裂继发感染,调整抗生素为美罗培南2 g/d,并行左肾切除术,术后受者体温恢复正常,血肌酐稳定(波动在129~156 μmol/L)。


4个月前受者因"发热2日"再次入院,腹部CT检查无阳性结果回报,给予头孢哌酮钠/舒巴坦钠9 g/d抗感染治疗,体温恢复正常后出院。2个月前受者再次以"高热、腹泻2日,伴右上腹钝痛"入院,体温最高40.2 ℃,胸部CT检查显示,双肺炎症,双侧胸腔积液;痰培养显示,人肺孢子菌抗酸检测(+),停用麦考酚钠,加用磺胺复方磺胺甲
唑9片/d、卡泊芬净50 mg/d,头孢哌酮舒巴坦钠9 g/d抗感染治疗;血培养结果显示革兰阴性杆菌感染,药敏结果显示仅美罗培南敏感。将头孢哌酮舒巴坦钠9 g/d更换为美罗培南2 g/d。1周后人卡氏肺孢子病肺炎痰培养结果转阴,血培养结果仍显示革兰阴性杆菌感染,受者持续间断高热,降钙素原为130.73,经呼吸科、感染科及肝胆外科等多学科会诊,目前排除泌尿系感染、呼吸道感染,考虑多囊肝囊内感染,遂行B型超声引导下肝囊肿穿刺引流,引流液培养结果显示大肠埃希菌(+),受者肝功能正常(白蛋白29.3 g/L,胆红素11.1 μmol/L,凝血酶原时间11.2 s,天冬氨酸转氨酶55 U/L,丙氨酸转氨酶32 U/L),Child-Pugh分级B级,移植肾功能良好。血肌酐129~156 μmol/L。
经与感染科、肝胆外科、呼吸科等相关科室会诊,并与受者充分沟通后,决定行肝移植。受者于2019年6月12日接受肝移植,术中病肝内可见多发囊肿,囊腔内大量脓性粘稠物质。术后受者体温正常,移植肝功能良好,移植肾功能稳定,血肌酐稳定于85~130 μmol/L,最低达85 μmol/L,术后未发生严重并发症,感染得到迅速控制,受者出院时体温正常,血常规检查显示白细胞计数为6.63×109/L,中性粒细胞60%。现规律随访,截至末次随访,移植肾和移植肝功能正常。目前免疫维持方案为他克莫司(3 mg/d)+麦考酚钠(360 mg/d)+醋酸泼尼松(10 mg/d)。


多囊肝是多囊肾最为常见的肾外表现,80%的多囊肾患者合并有多囊肝,但仅5%的多囊肝有临床表现[6,7,8]。本例受者由影像学确诊为多囊肾合并多囊肝,来我院行相关治疗时已进展至终末期肾病,基因分型未知。多囊肝是一种遗传性疾病,目前没有药物可以逆转或终止疾病的进展,有研究报道生长抑素类似物奥曲肽可以减小肝囊肿的体积;此外,如果生长抑素类似物撤出可使肝囊肿体积再次增大[9,10,11,12]。肝囊肿增大增多可引起压迫症状,例如消化不良、腹痛、腹胀,甚至出现门静脉高压。当疾病进展到一定程度,少数患者会合并囊内出血、囊肿破裂、囊内感染等。囊内出血与破裂的治疗通常较为保守,而囊内感染需要及时尽早处理。与肾囊肿逆行性感染不同的是,多囊肝的囊肿感染来自于门静脉的血型播散,感染发生在密闭的囊腔当中且部位较深,多囊肝囊肿感染患者以发热为主要表现,大部分患者的实验室检查无阳性结果,且影像学检查难以判断是否存在囊内感染,以上共同造成多囊肝囊肿感染诊断与治疗的困难[5,13,14]。本例受者的肝囊肿囊液培养为大肠埃希菌,可能是由于肾囊肿的逆行性感染迁延不愈使致病菌入血,而后随血液播散,继发肝囊肿感染。
总体上,多囊肾疾病发展缓慢,大部分多囊肾患者出现临床症状或进展到终末期肾病已是中年。因此,目前国际上绝大多数指南主要是针对儿童和青少年时期疾病筛查与确诊时机的选择以及相关合并症的监测,而对于多囊肾合并多囊肝及其并发症的处理,目前并无明确的指南推荐,大多是各中心的经验性治疗[15,16,17,18]。因此一旦诊断多囊肝囊肿感染或可疑感染,首选抗生素抗感染治疗。由于感染发生在囊腔中,首选喹诺酮类脂溶性强的抗菌药物,若症状72 h内未见缓解,应联合第三代头孢抗感染治疗,同时根据药敏及培养结果调整敏感性抗菌药物,如果感染仍未控制,及时的外科干预是必要的[13,19]。多囊肝感染的外科处理一般包括:经皮肝囊肿穿刺引流、腹腔镜下肝囊肿开窗减压、腹腔镜下肝部分切除术、肝移植等。如果囊肿较大(>5 cm)且临床表现是由个别较大的囊肿所引起,建议早期行经皮穿刺引流;如果囊肿数量较多,穿刺引流难以控制感染症状,可以根据囊肿数量、大小、分布,选择腹腔镜下囊肿开窗减压术或肝部分切除术;如果患者合并恶病质、肌肉萎缩、体重减轻、门脉高压、腹水、反复的囊内感染或严重影响患者的生活质量,可选择进行同种异体肝移植[3,5,19]。
多囊肾患者进展到终末肾病期,需要接受透析或肾移植[20]。由于绝大多数多囊肾患者合并多囊肝,透析或是肾移植术后的免疫抑制状态是肝囊肿感染与感染复发的高危因素。而感染对于移植物和受者来说是致命的,因此对于肾移植受者术后多囊肝并发症的处理方式的选择上,应该更加及时且谨慎,但目前相关报道较少。仅日本报道有1例规律血液透析的多囊肾患者合并多囊肝囊肿感染,因感染反复且外科治疗无效后行肝移植手术,术后感染得到控制,移植肝、肾功能良好[21]。本例受者因肾移植术后免疫抑制状态是感染的高危人群,在肝囊肿感染时同时合并耶氏肺孢子虫病感染,面对这种感染高危受者,出现感染症状时,要进行逐个排查,一一解除感染病灶,受者经过一系列有针对的抗感染治疗之后,泌尿系统和呼吸系统感染均已控制,但受者仍存在间断高热,血培养革兰阴性杆菌阳性,仅美罗培南敏感;可疑多囊肝囊内感染,随后经超声引导下穿刺,引流液培养证实囊内感染。一方面受者目前体内感染较重,迁延反复,且受者肾移植术后免疫抑制状态可能会加重感染;另一方面,对于移植肾来说,体内的任何感染均应及时干预,而肝移植成为彻底解除感染灶的唯一有效手段。考虑受者目前病情及一般情况,决定为受者实施肝移植,术后受者不仅感染迅速得到控制,并且血肌酐降到了85 μmol/L。显然肝移植是解决多囊肝肝囊肿反复感染最有效的治疗手段,但是在肾移植术后短期内行肝移植是一个巨大挑战,而反复的囊肿感染需要尽快控制。此外,在没有明确指南推荐及相关报道的条件下,对于多囊肝患者特别是肝功能良好的患者在外科干预的选择上需要与患者充分沟通,并权衡利弊。
有研究报道了因多囊肾行肾移植或肝肾联合移植,术后短期死亡率高,但是远期预后优于因其他原因接受移植的受者。并且有研究报道,肝移植术后不管是在存活率及生活质量评分等方面,肾移植术后较术前有明显改善,并且95%的受者认为生活质量较移植术前显著提高[22,23]。尽管如此,目前也没有足够的证据表明多囊肝的外科干预使受者完全受益,因为这些外科干预后患者的死亡率及复发率很高,并且干预措施并非常规,因此当需要进行决策时应与肝胆移植外科、泌尿外科等多个学科共同商讨决定。
总之,对于肾移植术后多囊肝囊肿感染的干预上,抗生素联合外科干预必不可少,肝移植可能是彻底解决肾移植术后多囊肝囊肿反复感染的唯一措施;肝功能正常与否不是肝移植手术的绝对指征,若囊肿反复感染或囊肿相关并发症严重影响受者生活质量,应该考虑行肝移植手术。
所有作者均声明不存在利益冲突





















