
本研究对华中科技大学同济医学院附属同济医院收治的1例儿童肝移植及2例成人肾移植术后并发可逆性后部白质脑病综合征(posterior reversible encephalopathy syndrome,PRES)的临床资料进行回顾性总结,分析其发病特点、诊疗经过并复习相关文献,为临床诊疗提供参考。
版权归中华医学会所有。
未经授权,不得转载、摘编本刊文章,不得使用本刊的版式设计。
除非特别声明,本刊刊出的所有文章不代表中华医学会和本刊编委会的观点。
可逆性后部白质脑病综合征(posterior reversible encephalopathy syndrome,PRES)是较少见的神经系统疾病,可见于恶性高血压、子痫、慢性肾衰竭、自身免疫性疾病以及服用化疗药、免疫抑制剂的患者[1,2,3,4,5]。钙调磷酸酶抑制剂(CNI)是移植后受者发生PRES的主要危险因素[6]。该病发病突然、症状凶险,诊治不及时会引起持久性神经后遗症,严重者导致脑出血死亡。国内关于实体器官移植术后并发PRES的报道较少。本文回顾性分析我中心1例儿童肝移植受者及2例成人肾移植受者术后并发PRES的诊疗过程,结合文献复习,以期为实体器官移植术后并发PRES的早期识别和有效治疗提供经验。
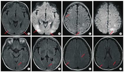
受者,女,6岁,2021年3月因"先天性胆道闭锁,胆汁性肝硬化失代偿期"于华中科技大学同济医学院附属同济医院行肝移植术。术后第2天给予他克莫司+吗替麦考酚酯(MMF)+泼尼松三联免疫抑制治疗,移植肝功能恢复顺利。术后第4天早晨该儿童出现神志淡漠、视物不清、听力下降,并间断抽搐,神经系统检查无定位体征。当晚症状加重,表现为间断癫痫发作、呼之不应,呈浅昏迷,血压152/102 mmHg,心率149次/分,体温38.4℃。予以镇静(咪达唑仑)、降颅压(甘露醇)、降血压及降温等对症处理后癫痫症状消失,各项生命体征恢复平稳。该儿童受者发作前血压正常,他克莫司血药浓度11.0 μg/L。急诊头颅CT平扫提示双侧顶叶低密度影,进一步MRI检查提示双侧额颞顶枕叶、丘脑、部分海马T2液体衰减反转恢复序列(FLAIR)多发异常高信号灶,皮层受累为主,扩散加权成像(DWI)呈高信号(图1A-D),结合临床考虑为PRES,遂停服他克莫司改服环孢素A并继续对症处理。治疗5d后上述症状完全消失。目前术后随访14个月,肝功能稳定,无神经系统后遗症。


受者,女,62岁,2021年8月因"慢性肾脏病5期"于华中科技大学同济医学院附属同济医院行肾移植术。术后第2天给予他克莫司+MMF+泼尼松三联免疫抑制治疗,移植肾功能恢复顺利。术后第8天受者陆续出现头痛、睡眠障碍和间断性神志淡漠等症状,予以对症处理未见明显好转。术后第13天该受者突发癫痫,伴有右下肢肌力下降,血压113/78 mmHg。受者发作前血压控制稳定,他克莫司血药浓度16.8 μg/L。头颅MRI检查显示左侧颞枕叶皮层下多发不规则点状及条索状长T1长T2 FLAIR信号(图1E-F),结合临床考虑为PRES。予以镇静(地西泮)、降颅压(甘露醇)和他克莫司减量,癫痫症状缓解,治疗6 d后受者神志恢复正常。经过2周康复治疗后,受者下肢肌力恢复。目前术后随访9个月,移植肾功能稳定,无神经系统后遗症。
受者,女29岁,2022年3月因"慢性肾脏病5期"于华中科技大学同济医学院附属同济医院行肾移植术。术后第2天给予他克莫司+MMF+泼尼松三联免疫抑制治疗,移植肾功能恢复顺利。术后第15天该受者出现左侧枕叶搏动性头痛,数小时后突发癫痫,意识丧失,血压124/83 mmHg。受者发作前血压控制稳定,他克莫司血药浓度11.6 μg/L。急诊头颅CT平扫未提示异常,予以镇静(地西泮)、降颅压(甘露醇)和他克莫司减量,癫痫症状缓解,但受者仍感头痛伴耳鸣,头颅MRI显示双侧额顶叶多发斑点状等及稍长T1、T2 FLAIR信号(图1G-H),结合临床考虑为PRES,继续上述治疗,11 d后头痛消失。目前术后随访3个月,复查MRI显示头颅异常病灶消失,移植肾功能稳定,无神经系统后遗症。
PRES于1996年首次被提出,是与急性高血压、子痫/子痫前期、尿毒症、脓毒症、自身免疫性疾病和服用化疗药以及免疫抑制药等多种因素相关的一组神经疾病[7,8]。其具体病理生理机制尚不明确,通常认为与急性高血压诱发脑血管高灌注或内源、外源性细胞毒素激活炎症损伤脑血管内皮细胞相关,最终引起血脑屏障破坏,血清及大分子外渗导致血管源性脑水肿。造血干细胞移植术后PRES报道较多,发病率1.1%~20 %不等,可能与术前全身照射诱发炎症因子释放和使用大剂量的抗排斥药物相关[9]。实体器官移植术后PRES发病率在0.49%~5%之间[10],2014年一项包含4 222例实体器官移植受者的研究中仅21例(0.49%)发生PRES,心、肺、肝、肾、胰腺、多器官移植等不同移植类型间发病率无明显差异[10]。实体器官移植术后并发PRES国内外报道较少,认识尚浅,容易误诊或漏诊,尽早诊断是获得良好预后和避免远期并发症的关键。
CNI药物是移植术后受者并发PRES的主要危险因素[5]。目前研究发现,环孢素A和他克莫司通过引起内质网钙离子内流、降低claudin-5的表达和磷酸化、抑制P-糖蛋白的表达等途径损伤大脑毛细血管内皮细胞间的紧密连接,继而增强血脑屏障通透性是其诱发PRES的潜在机制[6]。本研究报道的3例受者术后均服用他克莫司,疾病发作时监测药物浓度均高于常规目标水平。然而值得注意的是,由于药物生物利用度个体差异大,且受病理、生理因素、给药方案及联合用药等影响,CNI的药物浓度与PRES是否发作或严重程度并不相关,即使其血药浓度在安全范围内亦可导致本病发生[2]。此外,急性高血压、服用大剂量激素、尿毒症、脓毒症等也是移植后受者PRES发作的危险因素[11]。其中高血压既是PRES的诱因,同时也是PRES发作时的继发表现之一[12]。本研究2例肾移植受者PRES发作前后血压均控制良好,病例1儿童受者发作前血压正常,在癫痫发作时上升至152/102mmhg,经降压治疗后血压控制稳定,考虑是癫痫的继发表现,而非PRES的诱发因素。
CNI相关PRES临床表现多以头痛、神志改变为前驱症状,进而逐渐进展至癫痫、意识丧失,常伴有视觉障碍以及局灶性功能异常,70%~80%的受者可伴有高血压[6]。本研究中病例1为肝移植术后儿童受者,术后第4天突发视觉障碍、听力下降、癫痫发作、四肢肌力下降和意识丧失等症状,发病凶险,如治疗不及时极易引发缺血缺氧脑病并遗留神经系统后遗症。病例2和病例3为肾移植术后成年受者,分别于术后2周左右出现头痛、癫痫发作和意识障碍等症状,病例2合并一侧下肢肌力受限,病例3头痛耳鸣持续十余天。
儿童肝移植后PRES发生率为1.5%~4.7%,占所有神经系统并发症的5%~19.3%[13,14]。由于儿童脑血流调节系统发育不成熟以及内膜细胞的脆弱性,儿童肝移植受者相较于成人发病率更高,结局更危重[15]。为进一步了解儿童肝移植术后PRES发病的特点,回顾了既往11例有关儿童肝移植术后并发PRES的报道[16,17,18,19,20,21,22,23,24](表1)。由此可见,儿童肝移植术后PRES常在术后早期(3~10 d)发作,临床表现以癫痫、意识障碍为主,且多合并高血压。经过减少CNI剂量或调整免疫抑制药物种类后,精神症状很快消失,影像学改变恢复正常。其中2例儿童受者长期肌力受限,预后不良,均与合并脑出血相关。

既往报道中儿童肝移植术后并发可逆性后部白质脑病综合征的临床特点
既往报道中儿童肝移植术后并发可逆性后部白质脑病综合征的临床特点
| 文献作者 | 年龄 | 抗排斥方案 | Tac/CsA浓度(μg/L) | 发作时间 | 血压(mmHg) | 症状 | 治疗方案 | 远期预后 |
|---|---|---|---|---|---|---|---|---|
| Chen等[17] | 4岁 | Tac-Pred | 6.2 | 7 d | 163/111 | 癫痫,意识障碍,左侧肢体肌力下降 | Tac-SRL | 左侧肢体肌力受限 |
| Sencan等[18] | 5岁 | Tac-Pred | 4.46 | 4 d | 150/100 | 视力听力下降,癫痫,意识障碍 | Tac-CsA | 良好 |
| Antenore等[19] | 6岁 | CsA-Pred | 540 | 10 d | 140/100 | 视觉障碍,癫痫,意识障碍 | CsA减量 | 良好 |
| Robertino等[20] | 3岁 | CsA | 479 | 4 d | - | 癫痫,意识障碍 | CsA-Tac | 良好 |
| Araz等[21] | 12岁 | Tac-MMF-Pred | 正常 | 4 d | - | 癫痫,意识障碍 | 未处理 | 良好 |
| Sanem等[22] | 9岁 | Tac-Pred | 正常 | 7 d | 正常 | 复视,癫痫,意识障碍 | Tac-CsA | 良好 |
| Maria等[23] | 9岁 | CsA-Pred | 200~300 | 7 d | 150/100 | 癫痫,单侧肢体肌力下降 | CsA-Tac | 良好 |
| 13岁 | Tac-Pred | - | 3 d | 140/90 | 癫痫 | Tac-SRL | 良好 | |
| Marchiori等[24] | 17岁 | CsA-Pred-AZA | 412 | 8 d | - | 癫痫 | 停用CsA | 良好 |
| 邓斐文等[25] | 4岁 | Tac-Pred | - | 3 d | - | 视力下降,癫痫,右侧肢体肌力下降 | Tac-SRL | 右侧肢体肌力受限 |
| 本研究 | 6岁 | Tac-MMF-Pred | 11.0 | 4 d | 152/102 | 视觉障碍,癫痫,意识障碍,四肢肌力下降 | Tac-CsA | 良好 |
注:"—"为原文未提供;Tac为他克莫司;CsA为环孢素A;Pred为泼尼松;MMF为吗替麦考酚酯;AZA为硫唑嘌呤;SRL为西罗莫司
所有作者均声明不存在利益冲突





















