
探讨新型冠状病毒(COVID-19,也称严重急性呼吸综合征冠状病毒2型,SARS-CoV-2)对骨骼肌损伤的机制。
分析两例COVID-19患者骨骼肌相关的临床和实验室特征以及组织病理学发现,其中1例来自多器官功能衰竭死亡后患者腓肠肌穿刺标本,另1例来自血栓形成所致左下肢截肢的标本。
患者均出现肌肉疼痛症状、实验室检查显示与骨骼肌损伤有关的生化指标异常,如肌酸激酶同工酶和乳酸脱氢酶升高;病理改变较轻微,在所检查的两个肌肉病例中未发现明显的急性组织学改变或炎症。1#患者的病理显示主要是散在的肌纤维萎缩,而2#患者则出现肌纤维坏死和轻微炎症。CD68和白细胞共同抗原(LCA)免疫组织化学染色证实浸润的炎性细胞主要是组织细胞和淋巴细胞。1#患者鉴别诊断包括慢性神经肌肉疾病,2#患者则存在血栓形成引起的筋膜室综合征的可能性。
两例COVID-19患者与骨骼肌损伤有关的临床证据和病理改变表明SARS-CoV-2与肌肉组织之间可能存在一些潜在的作用部位。
版权归中华医学会所有。
未经授权,不得转载、摘编本刊文章,不得使用本刊的版式设计。
除非特别声明,本刊刊出的所有文章不代表中华医学会和本刊编委会的观点。
严重急性呼吸系统综合征冠状病毒2(severe acute respiratory syndrome coronavirus,SARS-CoV-2,也被称为新型冠状病毒coronavirus disease-19,COVID-19)病原体是感染人类的冠状病毒家族的第7个成员。它具有4种主要的结构蛋白,包括刺突表面糖蛋白、小包膜蛋白、基质蛋白和核衣壳蛋白[1,2]。SARS-CoV-2的刺突蛋白主要与宿主细胞表面的血管紧张素转换酶2(angiotensin converting enzyme 2,ACE2)金属肽酶结合[3,4]。ACE2广泛存在于人类上皮细胞和几乎所有器官的各种平滑肌细胞中[5]。11%~48%的COVID-19患者出现肌肉疼痛。我们对来自1例死亡后穿刺样本和另一例在COVID-19治疗过程中发生动脉血栓而致截肢的标本进行研究,探讨在这些SARS-CoV-2感染患者中骨骼肌的临床病理改变。
本研究经武汉大学中南医院伦理委员会批准(2020015)。这两个病例符合中国国家卫生健康委员会指南规定的临床诊断标准。检索电子病历以确定患者的临床特征和实验室检查结果,对患者的临床信息、病史、胸部计算机断层扫描(computed tomographic,CT)、病程、核酸检测、全血细胞计数(complete blood count,CBC)和肌肉的生化指标[包括肌酸激酶、肌酸激酶同工酶-MB(creatine kinase-MB,CK-MB)、乳酸脱氢酶(lactate dehydrogenase,LDH)]等实验室检查结果进行了回顾分析。
标本按照常规生物安全标准进行处理。制备苏木精和伊红染色切片。免疫组织化学染色(Immunohistochemistry staining,IHC)采用抗ACE2(购自北京Bioss公司)、白细胞共同抗原(leukocyte common antigen,LCA)、CD20、CD3、CD4、CD8和CD68(购自美国Agilent Technologies公司)的抗体进行。所有抗体均为即用型,并使用全自动Leica Bond Max免疫组化仪进行免疫组织化学染色。
在选定的组织块上进行SARS-CoV-2的RT-PCR检测。收集甲醛固定和石蜡包埋的组织样品,将每例厚4 μm的20片连续切片组织置于离心管中。根据试剂盒说明书进行总RNA的提取和RT-PCR检测,靶基因和结果判读见参照文献[6]。
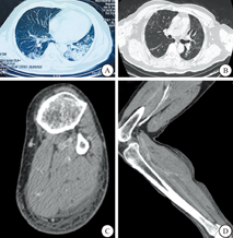
1#患者是一位81岁的男性,患者因疲劳、肌肉酸痛和厌食症状2周入院。他有20多年糖尿病和高血压的既往病史。患者与感染COVID-19的家庭成员有接触史,1周后CT提示病毒性肺炎。SARS-CoV-2的核酸检测阳性证实诊断。他接受了口服抗病毒治疗并在家中隔离。然而他的病情恶化,在另一家医院住院了1周后转入武汉大学中南医院的重症监护室。他接受综合治疗包括静脉注射抗生素、输氧和口服药物以控制高血压和血糖,皮质类固醇用于控制细胞因子风暴和稳定体内平衡。他的体温波动在正常至37.4 ℃之间。但是他的状况没有任何改善。他于2月20日死于多器官衰竭,临床病程为24 d(图1)。2#患者因乏力、纳差、肌肉酸痛1月余及左下肢肿胀半月余入院(图2)。1月11日无明显诱因出现全身肌肉酸痛、纳差、不明原因乏力,否认发热,恶心呕吐等不适。1月21日外院CT提示双肺见斑片及磨玻璃密度影,胸膜下病灶较密集,密度不均且边缘不清。1月25日重复CT提示两肺见斑片状磨玻璃密度影,与前次相比双肺病灶稍增厚。1月28日两肺见斑片状磨玻璃密度影,部分病灶有吸收。1月28日新型冠状病毒RNA检测阴性。已给予抗病毒治疗(具体不详)。在外院治疗过程中出现左下肢肿胀,外院B超提示左侧下肢动脉血栓合并静脉血栓,给予口服抗凝(利伐沙班+氯吡格雷)治疗。2月13日因症状加重,患者再次被送往该医院接受口服药物治疗。患者主诉咳嗽,左下肢色素沉着和水肿,但没有呼吸困难和呼吸急促,于2月18日转入武汉大学中南医院,胸部CT检查显示有磨玻璃影,左、右下肺叶的胸膜下区域仍可见实变。2月20日下肢血管CT增强显示左下肢有腘动脉血栓形成(图3)。2月22号胸部复查CT示左肺下叶及右肺下叶胸膜下区可见磨玻璃影及实变影,左肺下叶病变内可见含气支气管影。2月24日行大腿中下段截肢手术,术后恢复良好,于3月10号出院。






实验室检查显示两名患者的血常规均异常,包括白细胞计数(white blood cells,WBC)和中性粒细胞计数升高,以及淋巴细胞计数降低,患者1#和患者2# WBC均超过10×109/L,而淋巴细胞计数均低于0.9×109/L。患者1#的CK-MB和LDH升高提示有肌肉损伤,分别为28 U/L和513 U/L,而患者2#这些检查结果不详。患者1#的炎症标志物,如降钙素原(procalcitonin,PCT)、白细胞介素(interleukin,IL)-6和C反应蛋白(C-reactive protein,CRP)升高。两例患者凝血指标包括D-二聚体、活化的部分凝血活酶时间(activated partial thromboplastin time,APTT)和凝血酶原时间(Prothrombin time,PT)等指标均高于正常范围,如PT值分别为14.1 s和20.1 s。
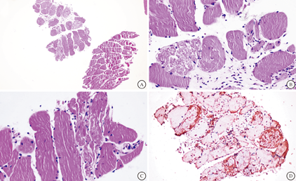
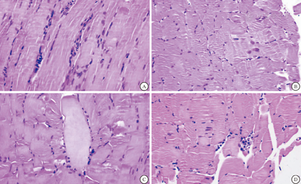
回顾患者1#的腓肠肌穿刺组织检查显示出轻微的慢性变化(图4)。在低倍镜下,不规则和萎缩的肌纤维与正常形状的肌纤维交织在一起,酷似镶嵌排列的大理石地面(图3A,图3B,图3C)。LCA和CD68阳性染色证实极轻微的炎性细胞浸润,可见局灶性纤维化和血管充血。ACE2突出显示不规则和萎缩的肌纤维,而在正常的对照肌纤维中显示胞膜和胞质的混合表达模式(图4D)。从患者2#的左下肢截除标本获得多块组织,包括动脉、静脉、神经、皮肤、滑膜组织、肌肉和软骨。病理结果显示动脉血栓形成和血管内皮细胞脱失,还观察到残留表皮过度角化、棘层松解以及表皮中水泡的形成。在真皮浅表小血管中可见微血栓。在皮下脂肪组织中发现坏死性血管炎和血栓形成,局部基质的黏液样改变。在送检的神经、滑膜组织和软骨标本中未见炎性细胞浸润和结构变化。至于骨骼肌的变化轻微(图5),可见核链和散在的中央核肌纤维(图5A,图5B)及肌纤维坏死和轻微炎症(图5C,图5D)。浸润的炎细胞主要是组织细胞和淋巴细胞,分别通过CD68和LCA染色证实。此外,两名患者的肌肉组织中SARS-CoV-2的RT-PCR检测均为阴性。




本研究中的1#患者在感染前原有高血压和糖尿病等基础疾病,这很可能是其死亡的危险因素。另一位患者没有既往病史。临床上,这两名患者表现出疲劳、厌食和肌肉疼痛等COVID-19感染的常见表现。患者2在临床病程中出现了肢体血栓形成。本研究中的血液生化参数结果显示在重症或危重症患者典型的外周血象(例如WBC计数升高和淋巴细胞减少)。与骨骼肌损伤有关的指标在一名患者中异常,而在另一名患者中未知。凝血时间的延长可能是导致患者2的血栓形成的原因。
本研究结果显示正常肌纤维中胞膜和胞质混合的表达模式。骨骼肌形态和生化参数有一些变化。在所检查的两例肌肉病例中并未见明显的急性组织学改变或炎症,因此没有足够的证据将其直接归因于感染直接引起。患者1的病理结果主要是散在的肌肉萎缩,但由于患者已超过80岁,因此可能是感染前已存在的潜在疾病引起,萎缩性肌肉可能代表肌纤维变性,局灶性纤维化提示该患者可能患有慢性神经肌肉疾病。由于样本较小的限制和缺乏自身前后对照,肌肉的变化不能排除继发性疾病或与潜在疾病(如神经支配)相关的可能性。患者2的病理学发现可能是由于血栓形成所致的骨筋膜室综合征,因为标本来自同一肢体。其他鉴别诊断包括但不限于由于其他原因和药物引起的不良反应引起的神经支配、肌病或肌炎。通常重症或危重症患者具有潜在的基础疾病,例如高血压和糖尿病,并且会被给予很多药物,例如抗生素、抗病毒药和皮质类固醇以及用于治疗潜在疾病的药物。因此,不可能排除包括肌肉在内的各种器官的药物反应。
感谢加州大学洛杉矶分校肌肉病理学家Negar Khonlou博士的专家会诊意见
所有作者均声明不存在利益冲突





















