
脑出血是指原发性非外伤性的脑室质出血,是脑卒中的最危重者,占新发脑卒中的10%~15%[1]。高血压病是导致脑出血的主要病因之一,基底节内囊区是最常见出血部位[2],其他脑叶出血非高血压出血的典型位置。出血累及不同脑叶,可出现不同的临床特点。
版权归中华医学会所有。
未经授权,不得转载、摘编本刊文章,不得使用本刊的版式设计。
除非特别声明,本刊刊出的所有文章不代表中华医学会和本刊编委会的观点。
脑出血是指原发性非外伤性的脑室质出血,是脑卒中的最危重者,占新发脑卒中的10%~15%[1]。高血压病是导致脑出血的主要病因之一,基底节内囊区是最常见出血部位[2],其他脑叶出血非高血压出血的典型位置。出血累及不同脑叶,可出现不同的临床特点。
枕叶脑血管病临床表现多为视野缺损或者偏盲,其中右侧大脑后循环供血区域发生病变时,可伴有面容失认,即难以识别熟悉的面孔;而左侧后循环支配区域病变可能会出现失读症[3],命名性失语或经皮质感觉性失语[4],以及古茨曼综合征(Gerstmann syndrome)[5]。古茨曼综合征是一种特殊的认知功能障碍,主要表现在手指失认,计算不能,书写障碍,左右定向力障碍,可伴有失语[6]。
面孔失认和古茨曼综合征的发生率较低,但严重影响患者的日常生活、心理状态和回归社会。目前,认知言语训练是面孔失认和古茨曼综合征的主要康复治疗方法,但往往周期较长,效果不显著[6]。本课题组采用经颅直流电刺激(transcranial direct current stimulation,tDCS)对面孔失认和古茨曼综合征患者进行了干预,并制定了个体化的治疗方案方案,取得了较好的疗效。本案例报道的患者第一次出血为右侧枕叶,主要临床表现为轻度视野缺损和面孔失认;第二次脑出血为左侧颞枕叶,临床又合并了以手指失认、失读、失写、失计算为主要表现的古茨曼综合征。
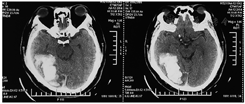
既往史:患者,男,58岁,基础疾病为高血压、高脂血症、痛风。于2014年6月12日出现突发头痛伴右侧眼眶部剧烈疼痛,当即就诊于当地医院急诊科,头颅CT示"右枕叶出血",量约90 ml,诊断为"右侧枕叶脑出血",详见图1。当地医院行"开颅血肿清除+骨瓣回纳术",术后调整脂代谢、控制血压等药物治疗后病情稳定。于2014年7月24日转入北京和睦家康复医院。入院评估,患者双眼外侧轻度视野缺损、图片识别障碍,面孔失认主要表现为患者难以认出熟悉的面孔(比如妻子和女儿),但可以通过衣服、说话声音等判断。经过4周康复治疗,患者图片和面孔识别障碍均明显改善后出院。


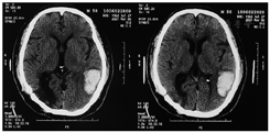
现病史:2021年3月6日再次出现头部不适,视力障碍,就诊于当地医院,头颅CT示"左颞枕叶脑出血"(图2),量约15 ml,予以降压等药物保守治疗,目前主要功能障碍为视野缺损、失读、失写、失计算、命名障碍、记忆力障碍等言语认知障碍。发病1个月后再次转入北京和睦家康复医院。入院评估,患者的主要功能障碍为手指失认、失读、失写、计算障碍、记忆障碍、时间定向力障碍,伴有经皮质感觉性失语。根据患者认知功能障碍、影像学特点,诊断为脑出血后古茨曼综合征。经过6周康复治疗,患者认知功能明显改善后出院。


该研究已获得北京和睦家医院伦理委员会批准,患者本人签署知情同意书。
积极控制血压血脂尿酸,药物改善脑功能,包括硝苯地平控释片,每日1次,每次30 mg;厄贝沙坦,每日1次,每次150 mg;辛伐他汀,每日睡前1次,每次10 mg;艾地苯醌每日3次,每次30 mg;多奈哌齐每日1次,每次5 mg;非布司他每日1次,每次20 mg。
认知和言语训练,主要包括视空间训练和注意力训练等。每日1次,每次1 h,每周训练5 d,连续治疗4周。
认知和言语训练,包括听名词-指图、听描述-指图训练、命名训练、听写和抄写训练等。每日1次,每次1 h,每周训练5 d,连续治疗6周。
采用成都产ZN8020型tDCS智能刺激器,刺激电极为3 cm×7 cm的渗水明胶海绵电极。
第1次住院:入院后当天即开始tDCS治疗,阳极刺激右枕颞区,阴极置于对侧肩部,刺激强度为1.2~1.4 mA,每日1次,时间20 min,每周治疗5 d,连续治疗4周。
第2次住院:入院后前2周进行基础药物治疗以及认知和言语治疗,复查头颅CT出血完全吸收后,于入院第3周开始增加tDCS治疗。阳极刺激左颞枕区,阴极置于对侧肩部,刺激强度为1.2~1.4 mA,每日1次,每次20 min分钟,每周治疗5 d,连续治疗4周。
治疗前,患者的MMSE总分为30分,无明显认知功能障碍;治疗2周后,患者的黑白线条图命名和面孔识别功能均有所改善,于治疗4周后的改善幅度更为明显,详见表1。

患者第1次住院的图片和面孔识别检查结果
患者第1次住院的图片和面孔识别检查结果
| 时间 | 黑白线条图命名 | 面孔识别 | |||||||||
|---|---|---|---|---|---|---|---|---|---|---|---|
| 物体命名 | 植物命名 | 动物命名 | |||||||||
| 得分(分) | 正确率(%) | 反应时间(s) | 得分(分) | 正确率(%) | 反应时间(s) | 得分(分) | 正确率(%) | 反应时间(s) | 得分(分) | 正确率(%) | |
| 治疗前 | 2 | 18 | 24.3 | 3 | 33 | 15.1 | 1 | 10 | 20.7 | 5 | 50 |
| 治疗2周后 | 5 | 45 | 15.0 | 4 | 44 | 11.1 | 6 | 60 | 11.0 | 6 | 60 |
| 治疗4周后 | 11 | 100 | 10.0 | 8 | 89 | 9.0 | 9 | 90 | 10.0 | 9 | 90 |
治疗前,患者的MMSE总分为18分;治疗6周后,其MMSE总分恢复至29分,详见表2。

患者第2次住院的MMSE量表评分结果(分)
患者第2次住院的MMSE量表评分结果(分)
| 时间 | 时间定向 | 地点定向 | 语言即刻记忆 | 注意和计算 | 短时记忆 | 物体命名 | 语言复述 | 阅读理解 | 语言理解 | 言语表达 | 图形插画 | 总分 |
|---|---|---|---|---|---|---|---|---|---|---|---|---|
| 治疗前 | 3 | 4 | 3 | 0 | 1 | 1 | 1 | 0 | 3 | 1 | 1 | 18 |
| 治疗4周后 | 4 | 3 | 3 | 2 | 1 | 2 | 1 | 0 | 3 | 1 | 1 | 21 |
| 治疗6周后 | 5 | 5 | 3 | 5 | 2 | 2 | 1 | 1 | 3 | 1 | 1 | 29 |
治疗前,患者的蒙特利尔认知功能评分总分为6分;治疗6周后,其蒙特利尔认知功能评分总分恢复至23分,详见表3。

患者第2次住院的蒙特利尔认知功能评分结果(分)
患者第2次住院的蒙特利尔认知功能评分结果(分)
| 时间 | 视空间与执行功能 | 命名 | 注意 | 语言 | 抽象 | 延迟回忆 | 定向 | 总分 |
|---|---|---|---|---|---|---|---|---|
| 治疗前 | 0 | 3 | 1 | 0 | 0 | 2 | 6 | |
| 治疗4周后 | 3 | 2 | 5 | 1 | 1 | 2 | 5 | 19 |
| 治疗6周后 | 4 | 3 | 6 | 1 | 1 | 2 | 6 | 23 |
治疗前,患者的听词图匹配正确率为60%,视词图匹配正确率为50%,视图命名正确率为27%,高低频表象词朗读正确率为45%,听写完全不能,延迟抄写的正确率为13%。治疗6周后,听词指图匹配、视-词指图匹配、视觉命名和高低频表象词朗读的正确率均恢复至90%以上,听写正确率达23%,延迟抄写正确率也恢复至80%,详见表4。

患者第2次住院的汉语失语症心理语言评分结果
患者第2次住院的汉语失语症心理语言评分结果
| 时间 | 听-词指图匹配 | 视-词图匹配 | 视图命名 | 高低频表象词朗读 | 听写 | 延迟抄写 | ||||||
|---|---|---|---|---|---|---|---|---|---|---|---|---|
| 得分(分) | 正确率(%) | 得分(分) | 正确率(%) | 得分(分) | 正确率(%) | 得分(分) | 正确率(%) | 得分(分) | 正确率(%) | 得分(分) | 正确率(%) | |
| 治疗前 | 18 | 60 | 15 | 50 | 8 | 27 | 9 | 45 | 0 | 0 | 4 | 13 |
| 治疗2周后 | 26 | 87 | 27 | 90 | 18 | 60 | 12 | 60 | 0 | 0 | 9 | 30 |
| 治疗4周后 | 27 | 90 | 26 | 87 | 24 | 80 | 17 | 85 | 3 | 10 | 18 | 60 |
| 治疗6周后 | 29 | 97 | 29 | 97 | 27 | 90 | 18 | 90 | 7 | 23 | 24 | 80 |
本研究纳入的患者共脑出血2次,CT均证实为后循环支配区域的脑叶出血,非高血压性脑出血的典型位置(比如,壳核/内囊、尾状核、丘脑、脑桥或小脑),虽然患者存在控制不良的高血压病,但仍需进一步排除特殊脑出血可能,比如血管畸形、肿瘤内出血及淀粉样血管病等原因[10]。结合患者病史和影像学检查结果,患者目前多发腔隙性脑梗塞,脑白质脱髓鞘变性,颅内微出血,脑萎缩等情况,脑小血管病诊断成立[11,12]。颈动脉超声提示,患者双侧颈动脉粥样硬化斑块,多年高血压病史,且服药不规律,血压控制较差,考虑其病因为高血压性出血,同时合并脑小血管病,因此其脑卒中再发风险高,应重点控制血压、血脂和尿酸等,同时需要强调戒烟、戒酒、调整饮食、规律运动、减少精神紧张等。
本例患者第一次脑出血部位为右侧枕叶,而人类的语言优势侧为左半球,所以临床无明显语言障碍。枕叶脑血管病引起的临床症状以视野缺损最常见,面孔失认较少见,而本例患者确实存在双侧外上方轻度的视野缺损,但以图片识别和面孔失认为主要临床症状。面孔失认的发病机制相当复杂且未完全清楚,其纤维联系可能存在是视联合皮质-下纵束-海马,若涉及到这一通路受损就可能导致相应问题[13]。本例患者在第1次入院后,本课题组在药物治疗的基础上增加了认知言语训练和tDCS刺激,治疗4周后,患者的面孔失认有一定程度的恢复。研究表明,tDCS是利用恒定、低强度直流电调节大脑皮质神经元活动的技术,本研究采用tDCS直接刺激的左侧颞顶枕交界区域,可增加病变周围未受损的脑细胞的兴奋性,诱导海马突触体的受体信号和离子通道活性变化,增强与认知、学习和记忆相关的通路,最终促进患者认知功能的恢复[14]。
古茨曼综合征的病因是左侧大脑半球后部功能障碍,多见于优势半球角回区域,有手指失认、计算不能、书写障碍、左右定向力障碍等4种典型症状,伴或不伴有失语。左侧大脑半球后部功能障碍,多见于优势半球角回区域,有手指失认、计算不能、书写障碍、左右定向力障碍4种典型症状,伴或不伴有失语[15]。本例患者有手指失认、失计算、失写、经皮质感觉性失语等症状,病变的区域和临床症状也符合古茨曼综合征的对应诊断。患者第2次入院后,本课题组待其出血完全吸收后采取了包括tDCS在内的综合治疗方案,治疗6周后,患者的认知功能和语言功能均明显改善。
综上所述,在基础药物治疗的同时采用tDCS联合认知和言语治疗可改善脑出血后面孔失认合并古茨曼综合征患者的认知功能和语言功能,未来本课题组将收集更多样本,以期更进一步地确定该方案的有效性。





















