
版权归中华医学会所有。
未经授权,不得转载、摘编本刊文章,不得使用本刊的版式设计。
除非特别声明,本刊刊出的所有文章不代表中华医学会和本刊编委会的观点。
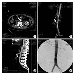
患者,男,64岁,因"便血3 d"入院。患者于2014年3月29日进食后突感腹胀、恶心、呕吐胃内容物1次,呈深褐色,无鲜血。随即排鲜血样便500 ml,伴头晕、乏力。遂至当地医院就诊,大便常规隐血4+,予制酸剂等药物止血治疗效果不佳,仍有便血。遂转本院急诊,血常规:白细胞9.4×109/L;血红蛋白94 g/L;血小板164×109/L,全腹CT平扫未见明显异常改变,拟诊"消化道出血"于2014年4月1日收住消化内科。入院体格检查:T 37.6℃;P 79次/min;R 21次/min;BP 114/54 mmHg(1 mmHg=0.133 kPa);神志清楚,轻度贫血貌,全身浅表淋巴结未扪及肿大,双巩膜无黄染,心肺(-),腹软,无压痛反跳痛,腹部未扪及搏动性包块,无血管杂音,肠鸣音轻度活跃。初步诊断:消化道出血(消化道肿瘤?消化道血管畸形?炎症性肠病?)。既往有吸烟史,1包/d,30多年,未戒。入院后完善内镜检查,胃镜提示:十二指肠球降部糜烂;肠镜:结肠多发毛细血管团。全腹螺旋CT(2014年4月4日):未见明显异常。胶囊内镜检查:小肠血管畸形,予止酸、止血、补液对症支持治疗,患者病情一度稳定。2014年4月9日患者突发剧烈腹痛、反复大量呕血,急诊行床旁胃镜检查,见高位胃体巨大血凝块形成伴活动性出血,血管性病变首先考虑。外科会诊有手术指征。遂于2014年4月11日行"胃切开止血术" ,术中见胃体小弯侧一大小约3 mm溃疡灶,术后转ICU治疗。此后病情稳定,2014年4月13日脱机拔管,但患者2014年4月14日再次呕血、解暗红色血便,量较多。遂行腹腔动脉CT血管造影(CTA)检查:肠系膜上动脉、腹主动脉硬化,腹主动脉右肾下极水平局部囊袋状外突改变,动脉瘤可能;肠系膜上动脉CTA示:肠系膜上动脉壁欠光滑,内未见明显充盈缺损改变,肠管内未见造影剂溢出。见图1,图2,图3。2014年4月16日患者再次消化道大出血,进而出现失血性休克,血压波动在60~70/40~50 mmHg,予继续输血补液抗休克治疗,并联系放射科,行腹主动脉造影检查,术中考虑"腹主动脉瘤局部出血" ,遂予微创覆膜支架一枚行腹主动脉腔内修复术,造影提示支架展开良好,未见出血,腹主动脉血流通畅,见图4。术毕回病房后,患者持续出血,胃管减压在短时间内引流出1 500 ml鲜血,经快速补液补血,血压仍持续下降,遂剖腹探查。术中探查见腹腔内无明显渗夜,胃及肠腔内大量积血,切开胃前壁可见大量鲜血及凝血块,予以清除,见鲜血于十二指肠涌出,术中胃镜探查见十二指肠水平部后壁一活动性出血,胃镜下钛夹止血无效,遂切开十二指肠水平部,止血后见十二指肠外活动性出血,考虑腹主动脉假性动脉瘤十二指肠瘘伴大出血,遂阻断腹主动脉,分离十二指肠和腹主动脉后,见腹主动脉上一0.5 cm×0.5 cm破口,予缝合止血。但术中患者出血大量并发弥漫性血管内凝血(DIC),腹腔及后腹膜广泛渗血,无法止血而死亡。


主动脉消化道瘘(aortoenteric fistula,AEF)可分为原发性主动脉消化道瘘(primary aortoenteric fistula,PAEF)和继发性主动脉消化道瘘(secondary aortoenteric fistula,SAEF)两类,SAEF常见于主动脉重建术后,PAEF最常见于腹主动脉瘤,好发于>60岁老年人,男性多于女性,尤其是吸烟者,大多由动脉粥样硬化所致,少见原因是主动脉先天发育不良、梅毒、创伤、感染、大动脉炎等引起。本例属于PAEF。通常,AEF只有穿透到消化道才会出现症状,典型的"三联征":腹痛、腹部包块、呕血或黑便,发生率为11%~25%[1],约94%的PAEF有特征性的"前哨性出血",此为一种间隙性的轻中度出血,是出现大出血的前兆症状。"前哨性出血"可持续数小时到1周甚至数月,逾70%患者超过7 h,50%超过24 h,29%超过1周[2]。该患者腹主动脉瘤瘤体较小,从反复"前哨性出血"到"灾难性出血"时间为2周之多,又合并有胃肠道多发病灶,属临床罕见病例,给临床医生的早期明确诊断带来了巨大困难。从本病例诊断治疗中总结出下列不足与思考:⑴本病例的诊断过程中,临床医生诊断思路狭窄,将诊断思路局限于消化道疾病而忽略了肠道外因素可能性,仅仅满足或纠结于内镜下发现的溃疡、血管畸形等不具特征性的表象,从而导致了误诊漏诊的现象。⑵内镜检查对发现十二指肠远端PAEF有困难,而且可能因移动瘘管处新鲜血栓而导致大出血,更值得注意的是内镜检查虽可发现活动性病灶,对鉴别诊断非常重要,但其易使临床医师迷惑于炎症,溃疡等表象诊断,而忽略了更深层次的病因,导致延误抢救时机[3]。本例多次内镜检查均有异常阳性结果,以致误导了医生早期诊断,并导致了胃切开手术等不必要的伤害。此例教训说明内镜对PAEF的诊断存在局限性。⑶腹主动脉瘤的腔内修复术(endovascular aneurysm repair,EVAR)经历了20多年的发展,早期效果令人满意,与开腹手术在防止动脉瘤破裂死亡方面同样有效[4]。且来自欧美的一些大规模研究表明,越来越多的破裂腹主动脉瘤患者选择EVAR治疗,因为EVAR带来了较低的病死率、更少的住院天数及更高的出院率[5]。但需要注意的是,该患者为破裂腹主动脉瘤,当时已经是失血性休克状态,需要争分夺秒以抢救生命。传统的观点是破裂腹主动脉瘤为腔内治疗的禁忌。Chaikof等[6]认为腹主动脉瘤已经破裂,血流动力学极不稳定以及腹主动脉瘤侵犯了腹腔脏器,引起肠道出血的患者宜首选传统开放手术。对于危重病人可能会因进行EVAR而错失开放手术时机。目前尚缺乏高质量的随机对照试验,尚无确切的依据证明腔内修复比开放手术更具优越性。在技术成熟的前提下,腔内手术的安全性和有效性仍需要长期随机对照观察[7]。EVAR在破裂腹主动脉中的应用主要受限于病变的解剖因素及不稳定的血流动力学特点,以及手术中心的条件和医生的能力。应当根据自身技术水平及具体条件,严格掌握手术指征,本着为患者谋求最大治疗效果为目的,客观地评价及选取有利于患者的手术方式[8]。





















