
版权归中华医学会所有。
未经授权,不得转载、摘编本刊文章,不得使用本刊的版式设计。
除非特别声明,本刊刊出的所有文章不代表中华医学会和本刊编委会的观点。
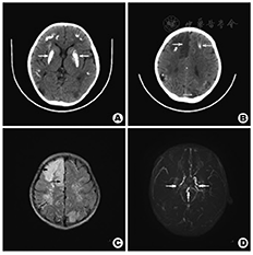
患儿,男,5岁,因"发热3 d,精神萎靡伴四肢乏力1 d"于2013年12月20日入院。3 d前开始出现发热,体温最高达38.8 ℃,伴寒战,无抽搐,有咳嗽,无气喘,无呕吐及腹泻。起病后输液3次(头孢等)热退,入院当天家属诉患儿精神萎靡,不愿言语,表情淡漠,且伴四肢明显无力,冰凉,不能站立。既往史及家族史:出生时正常。家族无遗传、代谢病史,也无类似的疾病史。患儿近1年来经常诉头晕,未检查治疗。入院体格检查:精神萎靡,表情淡漠,问之不答,颈软,双肺及心脏听诊正常,腹平软,肝脾未及,左上肢及左下肢肌力Ⅱ级,右上肢及右下肢肌力Ⅳ级,其余体检均正常。入院初步诊断:中枢神经系统感染?入院后头颅CT提示"双侧大脑半球皮质可见多发性斑片状钙化影,呈对称分布,双侧额叶、右枕叶及左顶叶可见片状低密度灶,边界欠清,部分囊性变"(图1A, 图1B)。诊断:⑴双侧大脑半球多发性高密度钙化灶,考虑为代谢性疾病"Fahr综合征"(特发性非家族性基底节钙化综合征)。⑵双侧大脑半球多发性低密度灶,考虑大面积脑梗死。急诊头颅MRI+MRA(磁共振血管成像)显示:双侧顶叶及颞叶,可见片状长T2信号,右侧额叶及左侧枕顶叶脑回肿胀,并可见片状长T2信号,DWI上呈现高信号改变,双侧基底节区及额叶可见斑片状混杂信号灶,双侧颈内动脉虹吸曲C1段狭窄,双侧大脑前、中、后动脉不同程度狭窄,大部分分支未显影,颅内见多发扭曲管影(图1C, 图1D)。诊断:⑴亚急性脑梗死,⑵Moyamoya病(烟雾病),⑶双侧基底节区钙化灶。血常规正常,肝肾功能、心肌酶谱正常,血氨正常,免疫全套正常,病原学检查均为阴性,风湿全套正常,脑脊液常规检查正常;血钙及血磷均正常,其他电解质均正常。甲状腺激素水平均正常。甲状旁腺激素水平2.95 pmol/L(正常值1.5~10 pmol/L)。综合患儿的临床表现及辅检结果,诊断为"Moyamoya病合并Fahr综合征"。入院后给予扩管,脱水,营养神经等处理,患儿精神反应、语言表达逐渐好转,右侧肢体肌力恢复正常,左侧肢体肌力逐渐恢复Ⅳ级。病情稳定后,转北京协和医院神经内科进一步确诊,完善相关检查排除了"线粒体脑肌病"等遗传性疾病,诊断为Moyamoya病合并Fahr综合征。


Moyamoya病由1957年日本学者Takenchi和Shimizu首先描述,1969年Suzuki将其命名为Moyamoya病[1],本病是以双侧颈内动脉虹吸部及大脑前、中动脉起始部狭窄或闭塞,导致颅底小血管代偿性增生性扩张,脑实质和脑膜广泛侧支循环形成的不明性血管性疾病。本文Moyamoya病合并Fahr综合征1例,前者是儿童少见性神经系统疾病,而Fahr病在儿童中也很罕见,二者同时发生在一个患儿身上,更是十分罕见,也未见相关的报道。
烟雾病在东亚国家的发病率也明显高于世界其它地区,日本发病率为0.1/(10万),年发病率为0.07%,女性∶男性为1.8∶1[2]。但儿童发病率国内未见相关报道。本病有两个发病年龄高峰段:5岁及40岁左右。Moyamoya病在儿童主要表现:一过性的脑缺血发作;脑梗死;癫
发作等[3]。其发病机制目前尚不完全明确,可能与遗传因素、感染后的免疫异常及地理环境等因素相关[4]。其诊断金标准虽然为DSA(脑动脉数字减影血管造影),与DSA相比MRA其优点在于无创型,快捷,不需造影剂,能较好的反应颅内血管病变的部位及范围[5]。如果MRA能清晰的显示以下改变[6]:⑴颈内动脉虹吸部,脑动脉前动脉起始段及脑动中动脉起始段严重狭窄和闭塞;⑵脑基底部异常血管网,如果在头颅MRA发现≥2个明显的血流空影,则认为有异常的血管网;⑶上述改变为双侧,可确诊为"Moyamoya病"。本病例均符合上述三个条件,故诊断明确。"Moyamoya病"还需与"脑血管出血、脑血栓、脑动脉内膜炎等"相鉴别,但是上述疾病在影像学(CT或MRI)上没有"Moyamoya病"所表现的特征性的血管病变,易与其鉴别,但有待临床进一步积累资料与探讨。
Fahr综合征(特发性非家族性基底节钙化综合征)由Fahr于1930年报道,本病较少见,儿童更罕见。多于40岁之前起病,无明显性别差异。临床表现:癫
发作、手足抽搐,锥体外系症状等,一部分仅表现为头晕、眩晕等症状。其发病机制:一部分与甲状旁腺的功能低下(真性或假性)、某些脑肿瘤、恶性肿瘤放疗后、脑炎等疾病导致钙磷代谢紊乱所致;但相当一部分原因不清。本病是否产生症状取决于钙盐沉积是否对神经通路造成明显损害和受损部位[7]。其病理改变为不伴动脉硬化的小血管钙化,对称性的终末小动脉周围的钙盐沉着。CT的特征性表现:⑴双侧基底节对称性钙化,呈"八字形",可累及苍白球,壳核,尾状核;⑵双侧丘脑的对称性三角形钙化;⑶小脑齿状核钙化;⑷脑干钙化;⑸多个脑叶皮髓交界区对称性钙化等[8]。CT的特征性表现比MRI更有价值。本例患儿头部CT显示符合其特征性的表现,故确诊。Fahr综合征需与Fahr病(家族性特发性基底节钙化)相鉴别:Fahr病有家族遗传性,遗传方式到目前为止不明,可能为常染色体隐性遗传,也可能为常染色体显性遗传,其临床特点与Fahr综合征相同,只是血钙、血磷代谢正常,甲状旁腺功能正常。至于本病例有一定的特殊性:无明确的家族史,钙磷代谢及甲状旁腺功能正常,考虑其合并"Moyamoya病",是否将Moyamoya病归于"Fahr综合征"更为合理些,有待临床进一步论证。
Moyamoya病合并Fahr综合征治疗比较棘手,Moyamoya病早期可行脑血管外科重建,可改善脑缺血,其疗效明显;因颅内外血管重建手术,可以明显改善脑血流动力障碍和降低以后发生卒中的危险性,对改善患者的运动、智力等具有重要意义[9]。高压氧治疗对发生卒中患者神经系统的恢复有一定意义[10]。但对Fahr病的治疗目前无特效方法,主要改善微循环及对症处理,大多数患者多能改善和控制,对于无症状者则密切观察和随访。
总之,Moyamoya病合并Fahr综合征发生于儿童非常罕见,此病均为脑血管病变,Moyamoya病以血管狭窄性病变为主,而Fahr综合征以脑血管的钙盐沉积性病变为主,两者之间是否有联系,有待进一步研究。





















