
版权归中华医学会所有。
未经授权,不得转载、摘编本刊文章,不得使用本刊的版式设计。
除非特别声明,本刊刊出的所有文章不代表中华医学会和本刊编委会的观点。
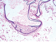
患者,男,25岁,发现躯干部有囊性结节7年于2015年9月11日在本院就诊。患者7年前入伍后洗澡时无意间发现胸部有数个绿豆大囊性结节,无自觉症状,尔后皮疹逐渐增大增多,并蔓延至腹部。患者平素体健,家族中未发现类似疾病患者。体格检查:一般情况可,心、肺、腹部等系统查体未见异常。皮肤科专科检查:胸腹部见大量粟粒至黄豆大圆形或类圆形、皮色或淡黄色的囊肿,无自觉症状(图1)。组织病理学检查结果:囊肿位于真皮,有上皮围绕,囊壁由鳞状上皮组成,囊壁内可见皮脂腺小叶,囊腔内容物为皮脂、少许角质物及毛干。诊断为单纯性多发性脂囊瘤(图2)。未予以治疗。




多发性脂囊瘤(steatocystoma multiplex)往往有家族史,有时伴有先天性厚甲病,少数患者损害为原发性,无家族史,可称为单纯性脂囊瘤(steatocystoma simplex),是一种少见的遗传性疾病,多呈染色体显性遗传,也可散发[1]。本病可并发诞生牙、化脓性汗腺炎、双侧耳前窦道、多发性毛母细胞瘤、家族性低β脂蛋白血症、小脑共济失调、颅内皮样囊肿、Leopard综合征和Alagille综合征等,但不常见[2]。临床表现为多发性脂囊瘤,其瘤直径0.2~0.5cm、多发性、皮色或淡黄色、囊性结节,无自觉症状,多见于胸部、上臂、腋窝和股部和男性的阴囊等部位,严重时可播散性分布于除掌跖外的全身皮肤,常在青春期出现[3]。有时皮损局限于头部和面部,则认为本病的特殊变异型,囊肿常含有糖浆样、微黄、无臭的油性物质[4]。治疗上小囊肿可采用切除或电干燥治疗,较大囊肿需切开引流。本例患者18岁躯干部开始出现皮色或淡黄色囊肿,无家族史,现表现为胸腹部多发性的皮色或淡黄色的囊肿,诊断单纯性多发性脂囊瘤,囊肿较小可采用手术切除。





















