
版权归中华医学会所有。
未经授权,不得转载、摘编本刊文章,不得使用本刊的版式设计。
除非特别声明,本刊刊出的所有文章不代表中华医学会和本刊编委会的观点。
患者,男,36岁,发现右肩背部肿块8月余,当时未予重视及特殊治疗,自觉肿块进一步增大,于2016年1月19日入院。查体:右侧肩背部可见局部皮肤隆起,表面无红肿破溃,可扪及一肿块,大小约8 cm×6 cm,质软,轻压痛,活动度好,与周围界限清楚。入院查血常规、凝血未见明显异常。CT平扫表现:右侧岗上肌、斜方肌、肩胛提肌间隙内软组织及脂肪混合成分肿块,脂肪成分为主,CT值约-68 HU,大小约7.2 cm×4.6 cm,边界尚清晰,见图1。MRI平扫+增强表现:右侧岗上肌、斜方肌、肩胛提肌间隙内可见一不规则软组织肿块,大小约7.4 cm×4.7 cm,边界尚清晰,信号不均匀,T1WI呈高信号,T2WI高信号,脂肪抑制序列部分区域呈高信号,增强后病灶明显强化,且强化不均匀,并见线样血管强化。见图2,图3,图4。


手术诊疗:全身麻醉成功后,患者取左侧卧位,沿肩背部包块表面做横行梭状切口,长约15 cm。电刀切口皮肤、皮下,逐步暴露右侧岗上肌、岗下肌及右侧斜方肌,沿岗上肌向其周边间隙扩展,行肌间隙钝性、锐性分离。向后切除至大小圆肌肌膜,向下切除至岗下肌肌膜,向外切除部分斜方肌,向内侧切除至脊柱棘突,向前切除至锁骨下间隙。
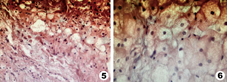
病理检测:整体标本约15 cm×12 cm大小,剖开标本后,可见中央一9 cm×8 cm大小脂肪性肿块,呈分叶状,色泽黄,边界较清楚。内可触及两处硬化区域,肿瘤大小9.0 cm×7.0 cm×4.5 cm;免疫组化结果:肿瘤细胞CD34+、S-100+、MDM2-、Ki-67+(约2%),见图5,图6。诊断:(肩背部)棕色脂肪瘤,即冬眠瘤。


冬眠瘤(hibernoma),又称棕色脂肪瘤(brown fat tumor),是由棕色脂肪细胞组成的良性肿瘤。冬眠瘤是罕见的生长缓慢的良性脂肪瘤样肿瘤,起源于残余的棕色脂肪细胞。在20世纪初,Merkel第一次描述为"假脂瘤(pseudolipomas)" 。由于它们与冬眠动物的棕色脂肪相似,1914年Gery将其定义为"冬眠瘤" [1]。冬眠瘤多发生在30~40岁的成年人,通常生长在胎儿和新生儿棕色脂肪发现的地方,如肩、颈、腋下、肩胛和肩胛间区、胸、腹膜后腔,其他少见的部位包括腹部、大腿,臀部、腘窝和颅内、脊柱旁软组织[2,3]。
一般冬眠瘤无明显临床表现,或表现为生长缓慢的软组织肿块,通常无疼痛和相对可以移动。由于肿瘤血管丰富,在触诊时局部的温度可以升高,当压迫邻近结构可以产生症状[1]。
目前病因不明确,可能与遗传因素有关,分子遗传学研究发现,冬眠瘤肿瘤细胞存在染色体1p36、2q33、5q22、11q13结构异常。大体病理上,冬眠瘤是柔软的,具有完整包膜,由结缔组织间隔分成无数小叶,肿瘤供养血管丰富。由于有丰富血管和充足的线粒体肿瘤通常表现为棕色或黄褐色。肿瘤大小可以达20 cm,边界清晰位于肌间隙、肌肉内、皮下或腹膜后病变,趋向于沿筋膜和周围结构生长,而非侵犯[1]。
显微镜下,肿瘤的特点是具有异形核和嗜酸性颗粒的多空泡细胞,胞质内泡沫之间可见脂褐素。胞核小而圆,居中或偏向一侧。可见一些散在较大的成熟脂肪细胞。诊断脂肪组织肿瘤经常是非常困难的,分子病理可以更好地对这些病变进行分类。免疫组化结果显示S100蛋白表达阳性,肿瘤细胞CD34、CDK4、MDM2阴性,梭形细胞亚型CD34阳性[3,4]。
根据多角形棕色脂肪细胞的含量和形态、伴有小血管增生的情况及间质背景的不同,将冬眠瘤分为6种亚型。大部分肿瘤是颗粒状或嗜酸细胞型,含有大量棕色脂肪细胞,胞质丰富、颗粒状,胞质内含有多量空泡,核小、居中;棕色脂肪细胞的胞质浅染至不同程度嗜酸性,如果由胞质浅染和嗜酸性的细胞混合构成,则为混合性冬眠瘤。全部由浅染的棕色脂肪细胞构成的称为浅染型。脂肪瘤样亚型在白色的脂肪组织中有小簇状棕色脂肪细胞,常见胞质内含多个空泡的脂肪母细胞样细胞。罕见黏液样亚型(间质呈黏液样)和梭形细胞亚型(伴有梭形细胞成分,粗的胶原纤维束,散在的肥大细胞和成熟脂肪组织)[4]。
CT平扫通常显示一个边界清楚低密度为主的软组织肿块,与皮下脂肪接近但不完全相同,内部可见线样、曲线样分隔。增强后分隔可以强化。所有病例均为弥漫性增强,而内部高线性或曲线密度为内部血管[3]。本病例磁共振表现和文献报道一致[1,2],在磁共振T1WI SE序列,多为相对(皮下脂肪)轻度至中度低信号强度,少数混杂信号强度,但整体上仍略低于皮下脂肪(和白色脂肪相比,质子在棕色脂肪有不同旋磁比和进动频率)。T2WI SE图像显示稍低信号,多数信号强度接近脂肪。STIR和T2脂肪抑制序列显示部分区域脂肪抑制,部分区域的信号强度高于皮下脂肪。MR增强,通常是均匀或不均匀的强化。
文献报道[5]正电子发射断层扫描(PET)对冬眠瘤和其他含脂肪病变鉴别诊断中有作用;冬眠瘤不像其他脂肪细胞肿瘤,冬眠瘤包含丰富的线粒体和高代谢活性,因而表现出强烈的18F-脱氧葡萄糖摄取。
当遇到一个复杂的脂肪成分肿块时,基于影像表现需考虑多种疾病的鉴别诊断;良性病灶包括像脂肪瘤、血管脂肪瘤和含脂肪成分的血管瘤,梭形细胞脂肪瘤、多形性脂肪瘤、血管外皮细胞瘤、血管母细胞瘤;还应考虑的其他实体的棕色脂肪和横纹肌瘤、脂肪肉瘤[1,2,3,6,7]。脂肪瘤表现为均匀脂肪肿块,内部少有零散的间隔,增强无强化。血管脂肪瘤和血管瘤可以通过内部血管的不同形态鉴别。肿瘤内大血管分支的早期强化和动静脉瘘在冬眠瘤的鉴别诊断中具有重要作用,但这些征象并不常见。因此,肿瘤内大血管缺失并不能排除冬眠瘤诊断。高分化脂肪肉瘤的特点是存在不规则增厚间隔(>2 mm)和(或)结节,在T2和增强时病灶明显。此外,在T1WI SE相,高分化脂肪肉瘤脂肪成分信号与皮下脂肪相同,这点有别于冬眠瘤。黏液样脂肪肉瘤和透明细胞肉瘤与棕色脂肪瘤相似,但是黏液样脂肪肉瘤在T2序列表现出强烈的异质性,透明细胞肉瘤主要涉及肌腱、韧带或腱膜。
由于冬眠瘤血管丰富,穿刺活检不被推荐,但实际上穿刺病例并没有并发症发生。切除不完全可导致肿瘤局部复发[1,8],因此完全切除术被认为是治疗的首选。了解它的MRI和CT表现特征,可以帮助缩小鉴别诊断范围和充分修改复杂脂肪肿瘤的术前计划。
总之,冬眠瘤是罕见的良性肿瘤,与棕色脂肪相似,发生在不同软组织。由于冬眠瘤是良性肿瘤,临床应注意与非典型脂肪肿瘤、高分化脂肪肉瘤等进行鉴别。





















