
版权归中华医学会所有。
未经授权,不得转载、摘编本刊文章,不得使用本刊的版式设计。
除非特别声明,本刊刊出的所有文章不代表中华医学会和本刊编委会的观点。
患者,女,64岁,孕5产2。2007年前自然绝经,绝经后无异常阴道出血及流液,2016年前因"子宫肌瘤"及"卵巢囊肿"在外院开腹行全子宫切除术、左侧附件切除术及右侧输卵管切除术。因"发现腹部包块3周,伴下腹坠胀感"于2017年5月27日收入本院。入院体查:T 36.4 ℃,P 78次/min,R 18次/min,BP 150/80 mmHg(1 mmHg=0.133 kPa),精神欠佳,心肺未见明显异常,下腹可见一纵行长约13 cm手术瘢痕。行妇科检查示外阴已婚型,阴道残端愈合可,右侧附件区可扪及一大小约13 cm×14 cm包块,质硬,边界清,活动度差,无明显压痛,双侧腹股沟无淋巴结肿大。妇科超声提示盆腔内可见两个囊实性回声,右侧大小约13.1 cm×11.9 cm×10.0 cm,边界清,以低回声为主,内可见多发不规则无回声区,CDFI:其内可见少许血流信号,RI:0.46,左侧大小约5.5 cm×5.0 cm×4.6 cm,边界清,可见低回声及多发不规则无回声区,CDFI:其内可见丰富血流信号,RI:0.22。盆腔MRI示盆腔内巨大囊实混合性占位,考虑双侧附件来源于囊腺癌可能性大,伴右侧髂内淋巴结肿大,右侧臀肌间隙结节灶,考虑血管瘤可能性大,子宫切除术后表现,见图1。胸片未见明显异常。肿瘤标志物:CA125:67 U/ml(正常值:CA125<35 U/ml),CEA、CA199、HE4、AFP无明显异常。


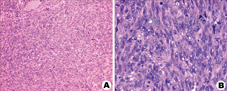
于2017年6月2日行剖腹探查术,术中见:盆腔右侧有一灰褐色囊实性肿物,直径约10 cm左右,来源于右卵巢,肿块包膜光滑,可见破裂口,囊内有暗红色液体流出,与盆底及侧壁、肠管致密粘连,阴道残端可见蚕豆大小瘤体,探查毕,先分离盆腔粘连,切除阴道残端瘤体,再切除右侧卵巢肿瘤,术中快速送病检。病检提示:肉眼可见右卵巢,灰褐色肿物,大小约12 cm×10 cm×10 cm,表面光滑,切面囊实性,质韧,另见灰褐色结节一枚,直径2 cm,切面实质性,灰褐色,质韧。见图2,镜下可见右侧卵巢肿瘤组织排列成束状,纵横交织,坏死显著,瘤细胞为长梭形,界限不清,胞浆丰富红染,胞核圆形、卵圆形,部分核仁不清,病理性核分裂像易见,异型性显著[1]。免疫组化示:SMA(+)、Desmin(-)、Vimentin(+)、CD34(血管+)、部分CD68(+)、Ki-67(+,40%)。病检结果为右侧卵巢梭行细胞性间叶源性恶性肿瘤,结合免疫酶标示卵巢平滑肌肉瘤。术中探查肿瘤直径约10 cm,肿瘤累及右侧卵巢,有包膜破裂,无盆腔淋巴结转移,符合FIGO分期Ⅱc期表现。术后征求患者及家属意见,拒绝行化疗。定期对患者进行随访。2017年9月27日患者来门诊复查示肿瘤标志物CA125水平恢复正常,阴道彩超未见明显异常,肝胆脾胰及泌尿系彩超可见肝多发囊肿及左肾囊肿。2017年10月30日患者因"腹胀不适"及"心慌胸闷"来本院就诊,上腹部MRI示下腔静脉肝段以下水平及右侧髂总静脉多发血栓形成,肝内多发囊肿,双肾多发小囊肿,左肾盂肾盏及所示输尿管上段积水,双侧肾周筋膜增厚,左侧略明显,右侧腰部及双侧背部皮下水肿。肺部CT示双上肺结节,考虑结核。CA125及其他肿瘤标志物水平正常。此后电话随诊患者,患者于2018年4月9日在家中死亡。


⑴临床特征 平滑肌肉瘤是一种侵袭性的软组织肿瘤,占所有软组织肉瘤的10%~20%,最常出现于子宫、胃肠道及腹膜后区域[2]。起源于卵巢的平滑肌肉瘤十分罕见。英文文献中报道该病有74例[3],中文文献中约30例,其中来源于血管的卵巢平滑肌肉瘤有11例[4]。报道的文献病例,有以下临床特点:①发病年龄:多为绝经后妇女,发病年龄12~84岁,平均发病年龄约54.9岁[3],该病例患者64岁,符合发病年龄范围;②发病部位:肿瘤大都发生在单侧,少数病例为双侧;③发病症状:该病早期无明显特殊临床症状,随着肿瘤的逐渐增大,会出现腹痛、腹胀、尿频尿急、便秘等周围组织压迫症状,少数合并纤维瘤者可有腹水出现,本例患者主要出现腹胀及恶心呕吐等不适;④疾病早期诊断困难,主要依靠影像学及术后病检确诊,本病例主要依靠彩超及MRI影像学检查,术后行免疫组化确诊。
⑵组织来源 卵巢平滑肌肉瘤是一种卵巢非特异性间质肿瘤,组织来源尚不明确,有以下观点:①来源于卵巢平滑肌瘤恶性变性,其中卵巢平滑肌的来源有卵巢间质血管平滑肌细胞、卵巢韧带在卵巢端附着处平滑肌细胞、副中肾管遗迹、卵巢平滑肌细胞或其间叶组织、卵巢畸胎瘤中多潜能间叶组织[5,6]。②来源于子宫平滑肌瘤的移行,或良性子宫平滑肌瘤的转移,最终恶性变性[3]。Bouie等[7]报道卵巢平滑肌肉瘤患者既往有子宫肌瘤病史。本例报道患者既往也有子宫肌瘤病史,考虑卵巢平滑肌肉瘤的发生与子宫肌瘤变性有关。另本病例免疫组化CD34(+)、Vimentin(+),可考虑肉瘤来源于卵巢血管平滑肌组织。
⑶病因 卵巢平滑肌肉瘤极其罕见,但其发病绝非偶然。与卵巢癌发病类似,卵巢平滑肌肉瘤的发生可能与排卵有关,即月经初潮早以及绝经晚的女性其发病率高[8],本例患者于54岁绝经,绝经较晚,考虑与该病发生有关。Bouie等[7]发现一例正在使用促排卵药物的42岁女性患有卵巢平滑肌肉瘤,考虑促排卵药物的使用(激素水平升高)是该病发生的危险因素。He等[3]认为卵巢平滑肌肉瘤患者多为绝经后女性,考虑该病与绝经后体内性激素水平下降有关。因此考虑体内雌孕激素变化为该病发生的危险因素。
⑷诊断 因卵巢位于盆腔深部,不易触及,患者发病时的临床症状不典型,发现卵巢平滑肌肉瘤时多属于疾病晚期。因此,卵巢平滑肌肉瘤早期诊断困难。Tsuyoshi等[9]认为超声(Ultrasound,US)、计算机化断层显象(Computerized Tomography,CT)或磁共振(Magnetic Resonance Imaging,MRI)等影像学检查可以看出肿块的大小、形态及内部结构,但无法判断肿瘤的来源,更无法准确辨别变性的肌瘤与肉瘤,术前PET-CT能够提供比较详细的功能及解剖数据,对可疑恶性肿瘤患者可做进一步诊断。然而,卵巢平滑肌肉瘤最终确诊主要依靠术后病检及免疫组化[10]。本病例术前彩超、MRI均提示卵巢恶性肿瘤,术后病检示卵巢肿瘤组织排列成束状,病理性核分裂像易见,异型性显著,结合免疫酶标Vimentin阳性、Desmin阴性进一步确诊卵巢平滑肌肉瘤。
⑸治疗及预后 卵巢平滑肌肉瘤发病率低,该病主要以手术治疗为主,术后是否行放化疗没有统一的意见。Tsuyoshi等[9]认为卵巢静脉平滑肌肉瘤患者术后予以吉西他滨和多西他赛化疗可改善肿瘤进展。但Taşkin等[11]指出放化疗并不能改善疾病预后。本例患者在本院开腹行右侧卵巢切除术、肿瘤细胞减灭术、盆腔淋巴结清扫术及肠粘连松解术。根据术前术中情况,本病例诊断为FIGO分期Ⅱc期。术后患者及家属坚持不行化疗。术后5个月患者在本院确诊肺结核,术后10个月患者死亡。





















