
通过报道1例精索脂肪肉瘤的临床资料和分析基因检测罕见病的方法,并经过诊断分析和提供治疗方案,探讨其在临床上的应用价值和研究意义。
运用二代高通量基因测序技术,选取病理诊断为精索脂肪肉瘤的石蜡包埋组织,对与免疫治疗、靶向用药、肿瘤驱动和遗传性肿瘤相关基因的全部外显子及其部分内含子区域进行捕获测序,在DNA水平上分析疾病相关基因的突变形式,从而提供个体化的诊疗方案。
精索脂肪肉瘤驱动基因相关突变检测显示:CDK4扩增6.61倍,MDM2基因扩增6.61倍;免疫治疗相关检测显示:突变负荷(TMB)为0.56,微卫星稳定分析为稳定型;胚系突变检测未测出与遗传性肿瘤明确相关的致病突变;靶向药物检测显示:可能对哌柏西利敏感。
通过肿瘤基因检测对精索脂肪肉瘤的病例分析,可以对疾病的分子生物学机制、诊断方法和治疗有更深入的了解。对一些罕见病和特殊疾病,在临床上运用基因检测的方法,能指导医生认识疾病和进行研究。
版权归中华医学会所有。
未经授权,不得转载、摘编本刊文章,不得使用本刊的版式设计。
除非特别声明,本刊刊出的所有文章不代表中华医学会和本刊编委会的观点。
肿瘤的早期筛查与诊断、个体化治疗、预后评估是临床常见的问题。基因检测是通过测序等手段对基因位点进行检测,对肿瘤的认识可以深入到分子层面[1]。第二代基因测序技术又称高通量测序,通过检测DNA序列可以发现基因组的异常变异,从而评估肿瘤的风险[2]。根据肿瘤基因检测结果,让医生能够进行有针对性的治疗并对疾病有更深入的研究。本文通过对1例精索脂肪肉瘤病例的报道,探讨临床上对于一些罕见病进行肿瘤基因检测的方法,并进行诊断分析和提供治疗方案,为肿瘤发生机制的研究和临床诊疗提供更有意义的依据。
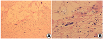
患者,男,68岁。因发现左侧阴囊肿块1年余、进行性增大3个月,于2019年1月10日入院。专科检查:左侧阴囊触及大小约6 cm×5 cm肿块,质韧,活动度较差。阴囊表面未见红肿、溃疡,平卧后包块不能还纳入腹腔。阴囊彩超:左侧精索部位见5.5 cm×4.8 cm无回声区,呈椭圆形,与腹腔和睾丸鞘膜积液不相通,考虑精索囊肿可能。术前诊断:左侧精索肿块。患者于2019年1月11日行左侧精索肿块切除术。术中见左侧精索内侧一大小为6 cm×5 cm肿块,质地软,与附睾处黏连严重,输精管由肿块内部穿出。分离肿块与周围间隙,切除部分黏连附睾组织,切断输精管,完整切除肿块。术后病理:左阴囊脂肪源性肿瘤(图1)。图中可见成熟脂肪细胞,细胞多结节状,局灶梭形细胞增生,见散在核深染色的畸形细胞,不排除非典型性脂肪源性肿瘤/分化良好的脂肪肉瘤可能。病理科建议:①随访、复查;②检测MDM2和CDK4基因扩增情况,明确脂肪肉瘤诊断。


对手术组织病理标本石蜡包埋切块行肿瘤个体化诊疗基因检测,选取仁东医学普益康620TM基因检测方案,使用NextseqCN500测序仪进行目标区域捕获+二代高通量基因测序,对与免疫治疗、靶向用药、化疗药物、肿瘤驱动和遗传性肿瘤等620个相关基因的全部外显子及其部分内含子区域进行捕获测序,在DNA水平上分析相关基因的点突变、插入缺失、重排、拷贝数等突变形式,为临床医生提供个体化的诊疗方案。
本例精索脂肪肉瘤的靶向药物+驱动基因相关突变检测结果显示肿瘤基因CDK4、MDM2扩增分别为6.61倍;免疫治疗相关检测结果显示肿瘤突变负荷(TMB)为0.56,微卫星稳定分析为稳定型,提示患者免疫疗效可能较差;胚系突变检测未测出与遗传性肿瘤明确相关的致病突变;靶向药物检测提示可能对哌柏西利敏感,循证医学等级为Level2:多个临床研究证据支持并且有专家共识;或相关伴随诊断和药物在其他癌种中获批;或小样本临床研究证据支持。
原发于精索的脂肪肉瘤在国内外均属罕见,多发生于中老年,且易误诊为腹股沟疝、精索囊肿、睾丸肿瘤等,临床表现常无特征性[3]。根据WHO分类标准,可分为:①分化良好的脂肪肉瘤(脂肪瘤样、硬化型、炎症型);②黏液样脂肪肉瘤;③圆形细胞脂肪肉瘤;④多形性脂肪肉瘤;⑤去分化型脂肪肉瘤。脂肪肉瘤进展缓慢,不易转移,分化良好的脂肪肉瘤手术切除后5年生存率可达85%以上,血行转移为主,多转移到肺,淋巴转移少见,其他治疗方法首选局部广泛切除术[4]。
精索脂肪肉瘤诊断主要通过病理检查。临床上对于这类特殊疾病和罕见病,医生无法提供合理的诊疗方案。而通过使用二代基因测序技术,对肿瘤相关基因进行检测和分析,以当前国际权威的研究成果和临床指南为理论依据,从基因层面解读肿瘤的分子生物学机制,对于医生来说可以得到很好的学习研究,可指导提供更好的诊疗方案。本例精索脂肪肉瘤的靶向药物+驱动基因相关突变检测结果显示CDK4、MDM2分别扩增为6.61倍。已有研究表明,在90%以上的高分化/去分化脂肪肉瘤中发现CDK4和MDM2基因扩增[5]。CDK4属于原癌基因,编码产物为周期蛋白依赖性激酶4,是一种胞内的丝氨酸/苏氨酸激酶,在细胞周期中的G1期到S期的转化中发挥重要作用[6]。CDK4是细胞周期的关键调节因子,由激活突变、扩增和CDKN2A蛋白失活等原因导致的CDK4蛋白异常激活在肿瘤组织中常见。CDK4主要的突变方式是点突变和扩增,CDK4扩增在肉瘤、恶性胶质瘤和乳腺癌中被多次报道[7]。MDM2也属于原癌基因,编码E3泛素连接酶,负调控p53抑癌蛋白。MDM2-p53相互作用阻断p53的激活域,抑制其转录活性,细胞可能通过p53功能缺失或MDM2扩增获得致癌潜能,从而削弱肿瘤细胞中的p53通路[8]。该样本检出CDK4扩增6.61倍,可能导致CDK4过表达,促进肿瘤的发生发展,该样本MDM2基因同样扩增6.61倍。MDM2和CDK4免疫组化与基因扩增相关,是区分高分化脂肪肉瘤与良性脂肪肿瘤,以及去分化脂肪肉瘤与低分化肉瘤的标记物[9]。
免疫治疗检测显示TMB为0.56,表达较低,微卫星稳定分析为稳定型。临床研究表明,使用PD1/PD-L1抑制剂等免疫治疗药物时,具有较高突变负荷的患者具有较好的客观缓解率(ORR)、较长的无进展生存期(PFS),同时持续临床疗效也更佳[10],提示精索脂肪肉瘤对免疫治疗效果不明显。潜在靶向治疗方案提示患者可能对CDK4/6抑制剂哌柏西利敏感,哌柏西利可抑制CDK4/6激酶活性,使Rb蛋白不能磷酸化,导致细胞周期停滞[11]。FDA批准用于治疗HR阳性HER2阴性的晚期或转移性乳腺癌,NCCN指南(2019版)推荐使用哌柏西利治疗含有CDK4扩增的分化良好和未分化的脂肪肉瘤。
精索脂肪肉瘤在临床上较为罕见,查阅文献通常只有个案报道[12],对疾病的认识通常较为不足,常规通过病理诊断了解疾病,并无统一的诊疗方案,通常建议根治性手术和术后随访观察。Guchlerner[13]报道了1例眼眶脂肪肉瘤通过基因检测发现atm基因在11号染色体上发生杂合子突变,明确诊断并提供相应治疗方案。Italiano等[14]认为即使是由该领域的病理学家专家进行组织学诊断,也应强制进行分子遗传学检测,以提高肉瘤的诊断准确性和适当的临床管理。因此笔者认为,对于临床上的特殊疾病和罕见病,是否能通过肿瘤基因检测,加深对疾病的认识,为患者提供更精准的个体化诊疗,在临床诊断和治疗中有很好的应用价值,值得合理的研究运用。
所有作者均声明不存在利益冲突





















