
本文报道了1例进食大量水果酵素后引起急性肾损伤患者的肾脏病理改变及临床治疗过程,肾脏病理为亚急性肾小管间质肾病伴肾小球轻微病变,经中等量激素联合百令胶囊治疗,肾功能较前明显恢复,为临床治疗此类疾病提供了更多的理论依据。
版权归中华医学会所有。
未经授权,不得转载、摘编本刊文章,不得使用本刊的版式设计。
除非特别声明,本刊刊出的所有文章不代表中华医学会和本刊编委会的观点。
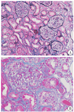
患者,女,48岁,主因"乏力伴双下肢肌肉疼痛1 d"于2018年3月12日收入院治疗。入院1 d前为减肥服用自制大量水果酵素(其中主要成分有火龙果、芒果、柠檬、苹果、香蕉、杨桃、酶等),所有水果及酶(即为一种发酵剂,主要成分为乳杆菌属、酵母菌属)成分均为等量置入,随即次日出现周身乏力,伴有双下肢肌肉疼痛,不能行走,无恶心、呕吐,无腹泻,24 h尿量较前无明显变化,既往体健、无肾脏病病史。入院3个月前体检时化验肾功能血肌酐62 μmol/L。来本院就诊时查血压115/71 mmHg,血肌酐163 μmol/L,血尿素氮6.94 mmol/L,血钾3.3 mmol/L,二氧化碳结合力15.21 mmol/L,血钠136 mmol/L,泌尿系彩超示双肾大小形态未见异常,尿钾58.6 mmol/24 h,尿钠167.70 mmol/24 h,尿检白细胞6.67/HP,蛋白质(-),尿红细胞2.1/HP,尿比重1.003,尿白细胞分类以淋巴细胞为主,尿β2微球蛋白12.12 mg/L,尿微量白蛋白697.2 mg/L,尿NAG 29.10 IU/L,24 h尿蛋白量0.17 g(相关指标为非同期非同一样品测量值),免疫球蛋白、补体、ANA、ANCA均未见明显异常,尿钠排泄分数5.58%,肾衰竭指数7.59。临床诊断为"急性肾损伤",入院后即建议行肾活检,但患者于住院第10日才同意行肾穿刺活检。病理送北京大学第一医院检查,病理结果回报:光镜检查:肾活检可见27个肾小球,4个缺血性硬化,其余肾小球系膜细胞及系膜基质轻度增生。肾小管上皮细胞颗粒状变性,多灶状刷毛缘脱落伴萎缩、多数蛋白管型形成。肾间质多灶状淋巴单核及少量嗜酸和浆细胞浸润伴纤维化。小动脉管壁增厚。见图1。免疫荧光:5个肾小球,IgG(-)、IgA(-)、IgM(-)、C3(-)、C1q(-)、FRA(-)、Alb(-)、κ(-)、λ(-)。电镜:肾小球无明显病变,仅见上皮足突节段融合,系膜区偶见小块状电子致密物沉积,肾小管上皮细胞部分微绒毛脱落、部分崩解、部分萎缩,肾间质水肿伴淋巴单核细胞浸润及胶原纤维增生,见图2。病理诊断:符合亚急性肾小管间质肾病伴肾小球轻微病变。入院时在行肾穿刺活检术前考虑患者急性肾损伤,为肾小管-间质疾病所致,遂给予百令胶囊3 g/d,同时纠正电解质、酸碱平衡紊乱、适当补液支持治疗,治疗期间复查肾功能:血肌酐176 μmol/L,血尿素氮5.82 mmol/L,肾功能无明显恢复。肾活检病理回报后,为亚急性肾小管间质肾病,予以泼尼松片30 mg/d,调整百令胶囊剂量为6 g/d。住院期间一直动态监测肾功能转归及尿量变化,24 h尿量波动于1500~1800 ml。于住院第15天,复查肾功能:血肌酐147.12 μmol/L,血尿素氮4.48 mmol/L,之后患者要求出院、门诊随诊治疗,在应用泼尼松及足量百令胶囊1个月后,门诊复查肾功能:血肌酐降至95.2 μmol/L,血尿素氮4.47 mmol/L,肾脏功能较前明显好转。门诊随诊治疗,激素应用4周后,逐渐减量(每周减量5 mg),至第10周完全停用;百令胶囊为6 g/d;经6个月治疗,血肌酐波动于91~103 μmol/L。


注:A:PASM+Masson染色×100;B:Masson染色×200


水果酵素指将水果发酵后的产物。研究认为部分单一成分的水果酵素具有抗氧化、清除自由基的作用[1],没有像该患者将多种水果混杂制成水果酵素的报道。此病例中制作水果酵素的杨桃进食过量可引起中毒,尤其对慢性肾脏病患者,若进食过多可出现明显神经系统中毒症状[2,3],但鲜有对肾脏的损伤机制及病理改变的报道。该患者进食大量水果酵素后出现急性肾损伤,是杨桃过量所致还是多种水果及酶相互作用的结果尚不明确,尚未见进食大量水果酵素引起急性肾损伤的文献报道。
该患者进食大量水果酵素后短期内出现血肌酐、尿素氮进行性升高,结合肾小管损伤标志物、尿钠排泄指数、肾衰竭指数,提示肾小管损伤。入院当日即建议患者行肾穿刺活检术,但患者及家属拒绝,暂要求保守治疗、动态监测肾功能恢复情况,但因保守治疗期间肾功能恢复不明显,于住院约第10日同意行肾活检,肾脏病理证实病变主要累及肾小管-间质。因患者急性起病,但肾脏病理提示为亚急性肾小管间质肾病,考虑与患者接受肾穿刺时机相对延误有关。
对于急性肾小管-间质疾病的治疗,美国经典肾脏病专著《The Kidney》(第9版)建议用泼尼松1 mg·kg-1·d-1为起始剂量口服,3~4周后逐渐减量,再3~4周停药,但国内专家建议泼尼松起始剂量易小,30~40 mg/d即可[4]。在急性肾小管间质性肾炎中,若病变以肾小管坏死为主时往往需积极去除诱因,很少应用激素治疗,而以急性间质性病变为主时可短期应用小、中等量的激素治疗。此病例治疗中我们考虑到患者尚存在间质病变,故经验性采用中等量激素,给予泼尼松30 mg/d,同时联合足量的虫草制剂百令胶囊治疗。百令胶囊可促进肾小管上皮细胞的修复,在肾脏病中的应用十分广泛[5]。本病例经上述治疗,取得了明显疗效,为临床治疗提供了参考。如遇此类疾病,应尽早行肾活检明确肾脏病理病变,尽早治疗,使患者获得最大治疗效益。
所有作者均声明不存在利益冲突





















