
报告1例特发性膜性肾病合并肾淀粉样变的罕见病例,患者女,74岁,病程7个月,临床表现为肾病综合征。肾组织光镜、免疫荧光及电镜检查均提示特发性膜性肾病改变,光镜下肾小球刚果红染色阴性,电镜下可见部分肾小球系膜区及基底膜内侧有淀粉样纤维,肾间质刚果红染色阳性,但由于技术及花费原因,尚不能确定肾淀粉样变的具体分型。不同类型淀粉样变治疗不同,对于分型不确定的患者,作者提醒切勿过度治疗。
版权归中华医学会所有。
未经授权,不得转载、摘编本刊文章,不得使用本刊的版式设计。
除非特别声明,本刊刊出的所有文章不代表中华医学会和本刊编委会的观点。
老年人肾病综合征最常见病因为特发性膜性肾病、肾淀粉样变和糖尿病肾病。而在同一病例中同时发生膜性肾病合并肾淀粉样变者极为罕见,现报告1例如下。
患者女,74岁,因"双下肢水肿7个月"入院。入院前在当地医院一直以"心力衰竭"治疗。2017年12月于北京解放军总医院门诊就诊,诊断为"肾病综合征",查抗磷脂酶A2受体(PLA2R)抗体278.61 RU/ml,建议肾穿刺检查。于2018年1月12日入内蒙古自治区人民医院。既往有糖尿病病史3年,长期服用"二甲双胍",血糖控制尚可。高血压病史2年(最高160/90 mmHg),未服用降压药物。冠心病病史20余年。无肾脏病家族史。入院查体:血压146/84 mm/Hg,心率95次/min,颜面水肿,心律齐,左肺呼吸音粗,右肺呼吸音减弱,右肺可闻及少许湿啰音。双下肢对称性、可凹性水肿。血常规WBC 11.5×109/L,Hb 120 g/L,Plt 365×109/L;尿常规:蛋白定性2+,RBC 11.9个/μl,WBC 380个/μl(经头孢他啶抗感染治疗后白细胞尿转阴)。尿蛋白量11.3 g/24 h。血生化:Alb 26.5 g/L,谷丙转氨酶7.3 U/L,谷草转氨酶10.1 U/L,Scr 118.0 μmol/L(参考值32~80 μmol/L),尿酸191 μmol/L,BUN 6.6 mmol/L,总胆固醇6.5 mmol/L,三酰甘油3.9 mmol/L,糖化血红蛋白6.4%,脑钠肽692 ng/L。免疫指标:血抗核抗体、抗双链DNA抗体、抗中性粒细胞胞质抗体、抗肾小球基底膜抗体均为阴性,补体C3、C4和免疫球蛋白IgA、IgG、IgM、IgE等均在正常水平,肿瘤标记物除糖类抗原125(CA125)增高(321.6 U/ml),甲胎蛋白(AFP)、癌胚抗原(CEA)、糖类抗原199(CA199)均未见异常。乙肝五项及梅毒螺旋体抗体、丙型肝炎病毒抗体、人免疫缺陷病毒抗体均为阴性。血、尿免疫固定电泳结果未见异常单克隆免疫球蛋白条带。肾脏超声:左肾117 mm×52 mm,实质厚约14 mm;右肾105 mm×41 mm,实质厚约13 mm,实质回声均匀。心脏超声:升主动脉增宽,左室舒张功能降低,室间隔厚度8 mm。胸部CT平扫未见占位。因双侧胸腔积液行胸腔穿刺,胸水常规及生化均提示漏出液,胸水脱落细胞检查未见癌细胞。
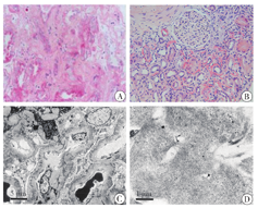
于1月18日行肾穿刺术,免疫荧光检查:5个肾小球,IgG(+),IgA(-),IgM(-),C3(+),C1q(-),FRA(-),Alb(-),IgG1(3+),IgG2(-),IgG3(+),IgG4(3+),PLA2R(+),κ(2+),λ(3+),于毛细血管壁颗粒样沉积。光镜检查:可见16个肾小球,肾小球系膜细胞及基质轻度弥漫增生,肾小球基底膜弥漫增厚,上皮下嗜复红蛋白沉积,钉突形成。肾小管上皮细胞空泡及颗粒状变性,灶状萎缩。肾间质灶状淋巴、单核细胞浸润伴纤维化,可见均质样特殊蛋白沉积,刚果红染色阳性。小动脉内膜纤维性增生硬化,管腔狭窄。免疫组化检查:κ(-),λ(±),AA(-),白细胞衍生趋化因子2(LECT2)(-)。病理诊断:II期膜性肾病合并肾间质淀粉样变(分型不确定)。电镜诊断:符合II-III期膜性肾病合并肾淀粉样变性。骨髓穿刺结果提示三系增生骨髓象,浆细胞比例1.5%。建议患者进一步行皮肤脂肪活检,患者拒绝并出院。见图1。


注:A:光镜下肾间质可见均质样特殊蛋白沉积(PAS ×200);B:肾间质区域刚果红染色阳性,肾小球刚果红染色阴性(刚果红 ×200);C:电镜下见肾小球基底膜弥漫增厚伴钉突样增生,上皮下、基底膜内多处块状电子致密物沉积,上皮足突广泛融合,系膜区及肾小球基底膜内侧团块状无细胞区,部分可见纤细纤维结构(电镜 ×8000);D:电镜下见部分肾小管基底膜外侧及肾间质内存在杂乱分布的纤维沉积(电镜 ×30 000)
本例为老年女性患者,临床表现为肾病综合征,肾脏病理表现为特发性膜性肾病合并肾淀粉样变性,极为罕见。虽国外有类似报道,但多为继发性膜性肾病合并淀粉样变[1,2,3],而特发性膜性肾病合并肾淀粉样变的报道国内目前仅报道1例[4]。
刚果红染色是诊断淀粉样变的"金标准",早期肾淀粉样变诊断依赖于电镜检查。本例患者光镜下肾小球刚果红染色阴性,但电镜下可见部分肾小球系膜区及基底膜内侧有淀粉样纤维。肾淀粉样变的分型有利于确定正确的治疗方案[5]。目前临床上通过免疫荧光或免疫组化方法,应用常见淀粉样变前体蛋白的抗体,如抗κ或λ轻链、抗AA蛋白、抗LECT2抗体协助分型。但目前免疫球蛋白轻链型(AL)淀粉样变分型尚存在一些不足之处[5,6]。本例患者免疫荧光κ(2+)、λ(3+),而蜡块免疫组化κ(-)、λ(±)。这可能因免疫球蛋白轻链是一种高丰度的血浆蛋白,血浆中蛋白会对冰冻组织切片造成污染,而蜡块组织切片由于甲醛固定会使抗原变性。此外,商品化的抗体针对的抗原多位于轻链恒定区,而AL淀粉样变的纤维的片段多来源于轻链可变区,因此不能完全排除AL淀粉样变[6]。虽可进一步行质谱分析,但技术难度较高,花费昂贵,目前临床无法推广应用。总之,淀粉样变患者预后差,不同类型淀粉样变治疗迥然不同,分型不确定情况下,切勿过度治疗。
感谢北京大学第一医院肾内科暨北京大学肾脏病研究所在肾活检病理方面提供的帮助
所有作者均声明不存在利益冲突





















