
肾穿刺出血是肾活检常见并发症,多表现为显微镜下血尿、肉眼血尿和包膜下血肿,少部分表现为出血性休克。选择性肾动脉造影栓塞是肾活检术后严重出血的首选治疗方式。我们报道1例选择性肾动脉造影检查假阴性,采用超声引导下血肿区域聚桂醇注射成功止血的病例,为肾活检出血提供一种新的止血方式。
版权归中华医学会所有。
未经授权,不得转载、摘编本刊文章,不得使用本刊的版式设计。
除非特别声明,本刊刊出的所有文章不代表中华医学会和本刊编委会的观点。
患者男,60岁,因"下肢水肿伴血糖升高15 d"于2018年11月23日入院。既往无高血压病史,10年前有外伤致左股骨骨折手术史,否认药敏、烟酒史。个人史、家族史无特殊。入院查体:BP 188/106 mmHg,R 20次/min,P 96次/min,T 36.2℃,眼睑水肿,双肺闻及少许湿啰音,下肢中度凹陷性水肿。血常规:白细胞4.0×109/L,红细胞3.26×1012/L,血红蛋白92 g/L,血小板102×109/L。尿常规:蛋白3+,隐血3+,红细胞77.87个/μl。血生化:丙氨酸氨基转移酶15 U/L,天冬氨酸氨基转移酶16 U/L,总蛋白50.8 g/L,白蛋白27.4 g/L,尿素氮11.37 mmol/L,肌酐94 μmol/L,钾3.49 mmol/L,钠142.9 mmol/L,氯108.3 mmol/L,钙1.91 mmol/L,总胆固醇5.42 mmol/L,三酰甘油1.7 mmol/L,估算肾小球滤过率(eGFR)75.61 ml·min-1·(1.73 m2)-1。尿蛋白量4.5 g/24 h。凝血功能正常。免疫功能检查(-),免疫蛋白固定电泳(-),血、尿M蛋白(-)。输血前检查(-)。抗核抗体、抗可提取性核抗原(ENA)抗体、抗肾小球基底膜(GBM)抗体、抗磷脂酶A2受体(PLA2R)抗体、抗中性粒细胞胞质抗体(ANCA)均阴性。眼底检查未发现异常。双肾B超:左肾、右肾长径为11.0 cm、10.5 cm。
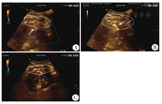
治疗经过:内分泌科初步诊断:(1)2型糖尿病;(2)肾病综合征,糖尿病肾病?;(3)高血压3级。为进一步明确蛋白尿病因,在强化降压治疗后,于2018年12月11日行肾穿刺活检。考虑血压、年龄和轻度肾功能异常等因素,患者属于肾活检高危人群[1]。肾活检过程中采用18G穿刺针取材,成功获取2条肾组织。肾活检术后12 h出现腰部剧烈疼痛、出冷汗,复查血红蛋白73 g/L,复查肾脏B超未见明显血肿,给与补液、止血、输血、去甲肾上腺素等治疗。肾活检术后24 h复查血红蛋白58 g/L,伴休克征象(BP 92/57 mmHg,四肢冰冷)。急诊行选择性肾动脉造影+必要时选择性肾动脉栓塞治疗。术中口头报告未见右肾动脉及分支造影剂外溢。造影后血压稳定(去甲肾上腺素维持),输注4 U红细胞后复查血红蛋白62 g/L,肾活检术后48 h复查血红蛋白57 g/L,考虑仍有活动性出血。经超声介入科会诊,多普勒超声明确血肿区域和范围,在超声引导下18G介入穿刺针置入血肿区域,快速注入聚桂醇(团注),每次10 ml,沿血肿上下极共注射30 ml聚桂醇(见图1)。超声介入术后再次输注红细胞4 U,聚桂醇注射24 h后血红蛋白恢复至91 g/L,撤减去甲肾上腺素,未出现异常临床表现。聚桂醇注射后48 h血红蛋白再次轻度下降至84 g/L,血压稳定,并再次给予血肿区域注射聚桂醇20 ml。第2次注射聚桂醇后72 h内多次复查血红蛋白>94 g/L,提示成功止血。患者血红蛋白动态变化见图2。肾活检病理报告:光镜下最大切面见18个肾小球,其中3个球性废弃,2个节段硬化。余肾小球正切体积增大(见图3A)。系膜细胞和基质轻-中度增生。轻度肾小管间质慢性病变,管腔内少量蛋白管型,有间质纤维化(见图3B)。入球小动脉节段透明变性。免疫荧光阴性。电镜下见毛细血管基底膜均质性增厚,厚度约600 nm,未见明显电子致密物沉积(见图3C)。综合意见:(1)糖尿病肾病IIa型(轻度系膜增生);(2)微小病变型肾小球病?


注:A:注射前,箭头所示为出血区域;B:超声下聚桂醇注射,呈高回声影;C:注射后超声影像


注:Hb:血红蛋白;RBC:红细胞;DSA:数字减影血管造影;AM:上午;PM:下午


注:A:肾小球病变(PAS ×400);B:肾小管间质病变(Masson ×200);C:足突融合,基底膜增厚(透射电镜×5 000);D:蓝色箭头提示造影剂外溢(DSA显影)
随访:院外给予强化胰岛素、降压和起始30 mg/d泼尼松治疗,3个月和6个月随访血糖、血压稳定,尿蛋白量降至1.2 g/24 h,水肿消退,肾功能正常。
经皮肾穿刺活检是肾脏病诊断的金标准。本例患者为中老年男性,初诊2型糖尿病,临床表现为肾病综合征,不能排除非糖尿病肾病,有肾活检适应证。综合考虑患者年龄、血压、轻度肾功能异常(尿素氮升高)、糖尿病等因素,本例患者属肾穿刺的高危人群。采用18G穿刺针取样以减少出血风险[2],但患者于穿刺后12 h出现血红蛋白下降幅度>20 g/L和休克征象。肾活检出血风险可能也与病理类型有关。本例患者的病理报告显示,糖尿病肾病IIa型,合并微小病变型肾病。有20%~30%肾小球出现硬化性病变和肾小管间质纤维化,后者可能是肾穿刺出血风险增加的病理相关性因素。
肾穿刺出血是肾活检常见的并发症,多表现为显微镜下血尿、肉眼血尿和包膜下血肿,少部分表现为腹膜后出血,严重时伴出血性休克[3,4]。除常规内科保守治疗外,选择性肾动脉造影栓塞是治疗肾活检后严重出血的首选治疗手段[5]。本例患者因采用18G穿刺针取材,18G穿刺针外径1.27 mm,造影术中未见明显造影剂外溢,但术后逐帧分析造影图像见穿刺区域血管有少许造影剂外溢(见图3D),存在假阴性结果的可能[5]。
聚桂醇为一种硬化剂,有一定局部麻醉、黏附及止血作用,已被成功应用于静脉曲张、动脉瘤及囊肿的硬化治疗,其疗效确切、不良反应少[6,7]。本例患者在被诊断为肾穿刺大出血后,内科保守治疗不能稳定血流动力学,且动脉造影未见活动性病变。及时采取超声引导下血肿区域注射聚桂醇的治疗方式,成功稳定了血流动力学和血红蛋白水平。聚桂醇可通过化学炎性反应破坏组织和内皮细胞而起到止血作用,其止血作用有一定滞后性。本例患者在第1次聚桂醇注射后24~48 h血红蛋白再次轻度下降,第2次聚桂醇注射后彻底止血。聚桂醇注射后未见心血管和消化道不良反应,且聚桂醇有一定局麻作用,患者未述疼痛不适,依从性较好。目前聚桂醇注射治疗肾活检术后出血尚未见相关报道。
聚桂醇在肾活检后大出血的成功尝试拓展了其应用范围,较选择性肾动脉治疗有风险低、易操作、价格低的优势,但其疗效和安全性需进一步扩大样本量来评估。
所有作者均声明不存在利益冲突





















