
报告1例IgA肾病合并膜性肾病。患者临床肾损害表现为蛋白尿、血尿及肾功能异常,肾组织病理诊断为IgA肾病合并抗磷脂酶A2受体抗体(PLA2R)相关性膜性肾病。半乳糖缺乏IgA1(Gd-IgA1)特异性抗体阳性,亦排除了IgA非特异性沉积的可能。经激素及血管紧张素受体拮抗剂(ARB)等药物治疗后病情快速缓解。提示对于膜性肾病合并肾组织有IgA沉积的患者,除了需排除继发性膜性肾病,鉴别IgA是否为特异性沉积亦具有重要意义,避免不必要的免疫抑制剂使用。
版权归中华医学会所有。
未经授权,不得转载、摘编本刊文章,不得使用本刊的版式设计。
除非特别声明,本刊刊出的所有文章不代表中华医学会和本刊编委会的观点。
患者男,47岁,因"双下肢水肿4个月"于南京中医药大学附属张家港医院肾内科住院治疗。入院前3天实验室检查:尿潜血3+,尿蛋白3+,血白蛋白33.6 g/L,血肌酐139.8 μmol/L,三酰甘油2.52 mmol/L。无肉眼血尿、腹痛、腹泻、口眼干燥、颜面红斑、脱发、光敏感等症状。既往有"脑梗死后遗症、高血压"病史,否认肝炎、服用可疑药物及进食特殊食物史,其他无特殊。查体:血压180/80 mmHg,右侧肢体活动不便,全身皮肤黏膜色泽正常,心、肺、腹无特殊,双下肢Ⅱ度凹陷性水肿。入院后实验室检查:白细胞6.22×109/L,血红蛋白129.0 g/L。尿常规:潜血2+,蛋白3+。血生化:谷丙转氨酶27 U/L,白蛋白28.0 g/L,肌酐140.1 μmol/L,尿酸537.7 μmol/L,胆固醇7.23 mmol/L,三酰甘油2.96 mmol/L,低密度脂蛋白胆固醇5.18 mmol/L,血糖5.2 mmol/L。尿蛋白量4.95 g/24 h,癌胚抗原、甲胎蛋白、梅毒螺旋体抗体、人类艾滋病抗体、乙肝两对半、丙肝抗体、补体C3、类风湿因子、抗链球菌溶血素"O"试验、抗核抗体、尿本周蛋白、抗中性粒细胞胞质抗体、血清免疫固定电泳等检查均阴性。泌尿系超声见双肾皮质回声增强。
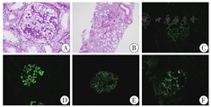
肾脏病理检查结果:光镜下见20个肾小球,5个肾小球玻璃样变,6个肾小球有明确的节段性硬化并有明显的足细胞帽,其余肾小球部分节段有轻中度系膜增生伴基质增多,毛细血管壁稍增厚,毛细血管腔开放性较好,未见明显袢坏死或新月体形成,肾小管上皮细胞变性坏死不明显,少数小管萎缩,少数小管中有蛋白管型,间质轻中度纤维化伴少部分单个核细胞浸润,细动脉明显透明样变。免疫荧光检查:系膜区见IgA(3+)呈团块状沉积,IgG(3+)以毛细血管壁沉积为主,C3(2+)、Kappa(3+)、Lambda(3+)弥漫沉积于毛细血管壁和系膜区,肾组织抗磷脂酶A2受体抗体(PLA2R)阳性。IgM(-),C1q(-)。冰冻组织染色:IgG1(+)、IgG2(-)、IgG3(-)、IgG4(3+)。见图1。电镜检查:系膜区稍增宽,以基质增多为主,部分节段可见明显的团块状电子致密物沉积,基底膜稍厚,上皮下较多电子致密物沉积,少数节段可见轻度基底膜反应性增生,足突明显融合。肾脏病理诊断:(1)IgA肾病,以节段硬化和系膜细胞增生为主(牛津分型M1E0S1T1-C0);(2)膜性肾病I-II期;(3)轻中度肾小动脉硬化症。临床诊断:慢性肾小球肾炎,IgA肾病伴PLA2R相关性膜性肾病I-II期。予泼尼松(0.5 mg·kg-1·d-1)联合缬沙坦治疗,2个月后患者病情完全缓解,激素逐渐减量,6个月后复查血肌酐150 μmol/L。


注:A:光镜下可见基底膜空泡样变性,系膜细胞及基质增生(HE ×400);B:细动脉内膜显著增厚和管腔狭窄,同时可见动脉平滑肌萎缩;细动脉透明样变;小管萎缩和间质纤维化(HE ×100);C、D、E、F:分别见IgG1、IgG4、PLA2R、IgA沉积(免疫荧光染色 ×200)
IgA肾病是全球范围内最常见的原发性肾小球疾病。原发性膜性肾病与IgA肾病虽然均为免疫复合物介导的肾小球疾病,但由于两者发病机制不同,共同发生于同一患者并不多见[1],此类患者需注意排除继发性因素。本例患者血清肝炎病毒相关抗原、肿瘤标志物、抗核抗体谱均为阴性,缺乏系统性损害的证据,同时无可疑用药病史。结合肾组织病理及PLA2R结果,PLA2R相关性膜性肾病诊断成立。既往有学者发现,部分非IgA肾病患者甚至健康人群可观察到系膜区IgA沉积,但这些病例多为IgA非特异性沉积,而这种沉积并不具有致病性作用[2],可能是由于疾病状态下肾小球滤过膜通透性增加,血清中大分子物质滞留所致。
异常糖基化的IgA1才是导致IgA肾病发病的重要角色。在IgA肾病患者体内循环和肾脏组织中,IgA1分子的糖基化常常缺少半乳糖分子,半乳糖缺乏导致IgA1分子铰链区的苏氨酸和丝氨酸残基上的GalNAc暴露,与体内抗体形成免疫复合物而沉积于系膜区域造成肾脏的损伤[3]。近年来,日本学者制备了一种特异性识别抗体KM55,可特异性检测肾组织及血清中的Gd-IgA1。敏感性,与传统经典方法相似[4]。同时KM55具有高度特异性,与Gd-IgA1特异性结合,同时在膜增生性肾小球肾炎、微小病变、膜性肾病等肾组织标本中均表现为阴性[5]。为了明确患者的肾组织IgA是否为特异性沉积,本例行KM55免疫荧光染色,同时与IgA免疫荧光结果进行重合,发现两者完全重合。见图2。支持IgA肾病合并原发性膜性肾病的诊断。


注:A、B:分别见IgA、KM55沉积(免疫荧光染色 ×400);C:A、B图像合并
IgA肾病合并膜性肾病并不罕见,我们应用一种新方法检测半乳糖缺乏IgA特异性抗体,印证了其在肾组织的特异性沉积。既往的临床观察发现,IgA肾病合并膜性肾病对患者的预后并不会造成更坏的影响。此外,有研究报道此类患者对肾上腺皮质激素类药物及免疫抑制剂反应较好,达到完全缓解的时间较特发性膜性肾病短[6]。考虑到患者肾小球滤过率[51 ml·min-1·(1.73 m2)-1]降低及非肾病范围蛋白尿,我们仅给予半量激素联合缬沙坦治疗,治疗2个月后达到完全缓解,亦符合该病既往文献总结的临床特点。
综上,我们报道了1例IgA肾病合并膜性肾病的病例,经过激素及缬沙坦治疗后蛋白尿获完全缓解。临床上,膜性肾病仅应用糖皮质激素治疗无效,需要联合其他免疫抑制剂,但当患者合并IgA肾病时,单用激素即可能获得良好临床疗效。因此,对于肾组织合并IgA沉积的膜性肾病患者,除了需排除继发性膜性肾病,鉴别IgA是否为特异性沉积亦具有重要意义,可减少不必要的免疫抑制剂使用。
感谢复旦大学附属华山医院刘少军教授提供病理图片
所有作者均声明不存在利益冲突

























