
糖尿病肾病患者常合并糖尿病视网膜病变(diabetic retinopathy,DR),近年来,玻璃体腔内注射抗血管内皮生长因子(vascular endothelial growth factor,VEGF)药物逐渐成为DR的一线治疗方案。抗VEGF药物的全身用药可能带来肾损伤,但玻璃体腔内注射抗VEGF药物的肾脏不良作用却很少被临床医师关注。本文报道4例糖尿病肾病患者璃体腔内注射抗VEGF药物后肾损伤加重病例,并回顾文献,帮助临床医师认识玻璃体腔内注射抗VEGF药物可能出现的肾脏损害。
版权归中华医学会所有。
未经授权,不得转载、摘编本刊文章,不得使用本刊的版式设计。
除非特别声明,本刊刊出的所有文章不代表中华医学会和本刊编委会的观点。
糖尿病肾病(diabetic kidney disease,DKD)和糖尿病视网膜病变(diabetic retinopathy,DR)是糖尿病(diabetes mellitus,DM)的微血管并发症,2型DKD患者约50%~60%合并DR[1]。近年来,玻璃体腔内注射(以下简称腔内注射)抗血管内皮生长因子(vascular endothelial growth factor,VEGF)药物逐渐成为DR的一线治疗方案,但腔内注射抗VEGF药物的肾脏损害尚未引起国内医师关注[2]。本文报道4例DKD合并DR患者腔内注射抗VEGF药物后引起肾损伤加重的病例,并复习相关文献,提醒临床医师关注抗VEGF药物可能的肾脏不良反应。
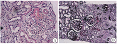
例1,2型DM、高血压两年半。2020年2月诊断为DR,查血肌酐96 μmol/L,予双眼腔内注射康柏西普0.5 mg各1次(表1)。2个月后血肌酐上升至214 μmol/L。肾活检病理(图1):14个肾小球,肾小球细胞数轻度增多,可见弥漫节段性系膜细胞增生伴系膜基质增多,肾小球可见K-W结节,部分毛细血管袢呈瘤样扩张,肾小球基底膜弥漫性增厚,可见纤维蛋白帽。肾小管上皮细胞可见颗粒及空泡样变性,可见弥漫分布的肾小管基底膜增厚和肾小管萎缩,间质弥漫分布纤维化,伴有大量单核为主的炎性细胞浸润。肾内小血管普遍性管壁增厚,小叶间动脉及入球、出球小动脉可见玻璃样变。免疫荧光:9个小球,IgG(+),IgA(-),IgM(-),C3(-),C4(-),C1q(-),纤连蛋白(-),白蛋白(-),HBsAg(-),HBcAg(-),κ链(-),λ链(-)。


注:A:肾小球系膜细胞增生伴系膜基质增多,弥漫性系膜硬化,可见毛细血管袢与肾小囊粘连、囊壁纤维化及小动脉玻璃样变(HE染色 ×200);B:肾小球基底膜弥漫性增厚伴弥漫性肾小球硬化,可见肾小管基底膜增厚、肾小管萎缩、弥漫分布的肾间质纤维化,多处小动脉管壁增厚、弹力纤维增生、管腔狭窄及管壁玻璃样变(PASM染色 ×100)

接受抗血管内皮生长因子药物的4例糖尿病肾病患者的临床资料
接受抗血管内皮生长因子药物的4例糖尿病肾病患者的临床资料
| 病例 | 性别 | 年龄(岁) | 糖尿病病程(年) | 用药前eGFR | 用药前尿蛋白 | 眼科用药 | 用药剂量(mg) | 用药后eGFR | 用药后尿蛋白 |
|---|---|---|---|---|---|---|---|---|---|
| 例1 | 女 | 43 | 2.5 | 63 | 阴性 | 康柏西普 | 1.0 | 43 | 460 mg/g·Cra |
| 例2 | 女 | 36 | 12 | 31 | 3.15 g/24 h | 雷珠单抗 | 0.5 | 14 | 8.07 g/24 h |
| 例3 | 男 | 56 | 23 | 24 | 1 g/L | 雷珠单抗 | 0.5 | 11 | 1 g/L |
| 例4 | 男 | 58 | 17 | 54 | 4.26 g/24 h | 康柏西普 | 2.0 | 16 | 12.9 g/24 h |
注:eGFR:估算肾小球滤过率,单位为ml·min-1·(1.73 m2)-1;a:尿总蛋白肌酐比
诊断考虑肾功能恶化与抗VEGF药物应用相关,予停用该药物。因肾间质见大量炎性细胞浸润,予短期泼尼松20 mg每日1次,9 d后复查血肌酐240 μmol/L,遂停用泼尼松,加用氯沙坦,3个月后复查血肌酐230 μmol/L,尿白蛋白/肌酐比值235 mg/g·Cr。
例2,2型DM 12年,高血压12年。2019年5月10日因DR接受雷珠单抗0.5 mg腔内注射1次,血肌酐由注射前221 μmol/L增加到注射后335 μmol/L(图2A),尿蛋白量由注射前3.15 g/24 h增加到注射后8.07 g/24 h。患者拒绝肾穿刺病理检查,停用抗VEGF治疗,血肌酐未恢复。


注:A:例2患者血肌酐和24 h尿蛋白量变化;B:例3患者血肌酐变化;C:例4患者血肌酐变化;黑色箭头示抗VEGF药物用药时间
例3,2型DM 23年,DKD 4年,合并高血压。2018年4月血肌酐190 μmol/L,2019年3月血肌酐245 μmol/L。2019年4月患者因DR行右眼腔内注射雷珠单抗0.5 mg 1次,随后出现下肢水肿,2019年5月复查血肌酐472 μmol/L。停用抗VEGF药物后,患者血肌酐仍进行性升高,很快开始透析治疗(图2B)。
例4,2型DM 17年,高血压10年。2017年8月血肌酐91 μmol/L,2019年11月血肌酐125 μmol/L。2019年12月诊断为DR,予康柏西普0.5 mg腔内注射4次,2020年7月治疗后血肌酐337 μmol/L(图2C),停用康柏西普,电话随访患者肌酐仍未恢复。
四例患者在用药前血压、血糖均控制满意,应用抗VEGF药物前后未应用其他肾损害药物,完善自身免疫性疾病相关指标、感染指标及影像学检查等,均未见异常,无贫血、血小板下降、乳酸脱氢酶及胆红素升高等血栓性微血管病(thrombotic microangiopathy,TMA)证据。
本文为国内首个DR合并DKD患者腔内注射抗VEGF药物后出现肾损害的报道。4例患者均为2型DM合并DR,抗VEGF治疗前均有高血压、肾小球滤过率下降(表1),除例1外均有临床蛋白尿,DKD诊断明确。4例患者治疗后血肌酐分别升高了123%、52%、93%和170%,筛查肾损伤继发因素均未见异常,故考虑肾损害加重与抗VEGF药物相关。
抗VEGF药物可能引起的肾脏不良反应包括蛋白尿、肾功能不全和TMA等[3,4,5]。其致病机制包括:(1)影响足细胞-内皮细胞的VEGF信号轴,使得肾小球毛细血管内皮细胞通透性降低、内皮细胞增生减少、足细胞脱落丢失[6,7]。(2)降低肾小球nephrin表达,导致肾小球内皮细胞脱离和萎缩[8]。
尽管腔内注射抗VEGF药物的剂量较小,为全身用药剂量的1/400~1/150[9,10,11],但文献表明,腔内注射抗VEGF药物仍可出现全身吸收[12,13]及肾脏不良反应[14,15,16]。目前尚无大宗队列研究对腔内注射抗VEGF药物造成肾损伤的发生率进行报道,仅有少量个案报道及小样本队列研究。国外报道了4例腔内注射抗VEGF药物引起肾功能恶化的病例[9,17],均为DKD患者,2例患者用药2个月后出现肌酐升高,另外2例在第1次用药后7 d内肾功能快速恶化,停药后肌酐均未恢复,其中1例患者行肾活检,病理结果提示糖尿病肾小球硬化及高血压肾小动脉硬化。O'Neill等[18]的1项回顾性研究纳入43例DKD患者,用药前后估算肾小球滤过率(eGFR)分别为(66.5±24.4)、(57.1±24.6)ml·min-1·(1.73 m2)-1,用药后肾功能有下降趋势,但可能由于样本量较小,二者差异无统计学意义。日本1项回顾性队列研究纳入了69例DR合并DKD患者,结果发现应用抗VEGF药物前后肌酐变化不显著[19],但该研究缺乏患者DKD病程、蛋白尿、高血压、药物治疗等资料,且用药后仅随访了(16±10)d,仅检测了1次肾功能,未能继续随访。我们报道的4例患者用药后检测血肌酐时间为1~2个月,肌酐升高明显,且患者均有高血压,3例有临床蛋白尿,提示严重DKD患者[eGFR<60 ml·min-1·(1.73 m2)-1]使用抗VEGF药物可能更易出现肾脏损伤,这些患者需动态观察用药后的肾功能变化。
腔内注射抗VEGF药物可能引起蛋白尿。目前报道了2例年龄相关黄斑变性患者,分别在应用3次雷珠单抗、4次贝伐单抗后出现肾病综合征[20,21],肾活检提示膜性肾病,停用抗VEGF药物后蛋白尿好转。此外,也有研究报道腔内注射贝伐单抗后原有的微小病变性肾病综合征复发的病例[22,23]。
抗VEGF药物引起的肾损伤病理类型多样,包括TMA、足细胞病、间质性肾炎等[4],本研究例1患者的肾脏病理即提示间质性肾炎。Pellé等[10]报道1例应用4次雷珠单抗后出现大量蛋白尿、急性肾损伤、溶血性贫血、血小板减少的患者,肾脏病理可见TMA表现,通过停用抗VEGF药物,予糖皮质激素及血浆支持治疗后,患者病情好转。
对于抗VEGF药物引起蛋白尿的治疗,目前尚无统一定论,停药或减量可减轻蛋白尿。血管紧张素转化酶抑制剂或血管紧张素受体拮抗剂对减轻蛋白尿可能有一定作用,但缺乏高质量研究证据的支持[24]。而对于腔内注射抗VEGF药物引起的肌酐升高、肾功能恶化,目前暂无良好对策,从国外及本文报道的患者来看,停药后肾功能均未恢复,提示临床腔内注射抗VEGF药物可能存在不可逆的肾功能恶化风险,需要进一步研究证实。
综上,DKD患者腔内注射抗VEGF药物可能存在不可逆的肾损害风险,尤其对于eGFR<60 ml·min-1·(1.73 m2)-1的患者。因此,应用抗VEGF药物期间需密切监测DKD相关指标,若出现明确的肾脏损伤,应与眼科医生商讨是否继续用药,并考虑采取必要的预防干预措施。
所有作者均声明不存在利益冲突





















