
利妥昔单抗治疗IgA肾病的疗效仍不确定。本文报道利妥昔单抗治疗难治性IgA肾病1例并进行文献复习。患者肾病综合征5年余,经糖皮质激素、环孢素、他克莫司、环磷酰胺等治疗病情短期好转,但于药物减量或感染后反复复发,肾活检明确为IgA肾病,给予利妥昔单抗治疗后肾病综合征获得完全缓解,并长期稳定无复发。
版权归中华医学会所有。
未经授权,不得转载、摘编本刊文章,不得使用本刊的版式设计。
除非特别声明,本刊刊出的所有文章不代表中华医学会和本刊编委会的观点。
患者,女,19岁,主因"反复水肿伴解泡沫尿5年余"于2020年7月30日入住中山大学附属第一医院。患者2014年10月开始出现眼睑及四肢水肿,伴解泡沫尿,曾就诊中山大学附属第一医院儿科,查尿蛋白(4+),红细胞21个/μl,24 h尿蛋白量5.63 g,白蛋白14 g/L,完善相关检查未发现继发因素,诊断为"肾病综合征",予泼尼松60 mg/d及利尿消肿等治疗后完全缓解,但泼尼松减量至5 mg/d后复发,加用他克莫司后再次缓解,2016年3月发现双眼激素性开角型青光眼,并行手术治疗,遗留右眼失明。此后在激素减量时反复复发,2018年3月改为甲泼尼龙片16 mg/d+环孢素75 mg bid治疗再次缓解,激素逐渐减量至8 mg/d维持。后在感染等诱因下患者病情仍有反复,适当增加激素剂量及抗感染治疗后可部分缓解。2019年3月8日开始给予口服环磷酰胺0.2 g qod和环孢素30 mg q12 h治疗,2019年5月肾病综合征缓解,2019年6月17日环磷酰胺累积剂量达9.0 g时停用。之后患者继续口服甲泼尼龙片8 mg+环孢素30 mg q 12 h。2020年1月在本院复查尿蛋白(1+),白蛋白29 g/L,环孢素调整为75 mg q12 h,但患者尿蛋白又增加至(3+),白蛋白降至15 g/L。于2020年4月14日来本院行肾穿刺活检,病理诊断为IgA肾病(IgA nephropathy,IgAN),调整为泼尼松15 mg/d+他克莫司1 mg q12 h治疗,监测尿蛋白(2+~3+)。但2020年6月起患者水肿再次加重,遂入院,入院体格检查:体温36℃,心率109次/min,呼吸20次/min,血压128/107 mmHg,满月脸,腰背部水肿,双下肢重度凹陷性水肿。实验室检查:白蛋白11.2 g/L,胆固醇32.7 mmol/L,三酰甘油13.25 mmol/L;尿常规:蛋白(3+),红细胞(+);24 h尿蛋白量18.48 g;淋巴细胞亚群绝对计数:B淋巴细胞1 037.34个/μl(参考值107~698个/μl)。
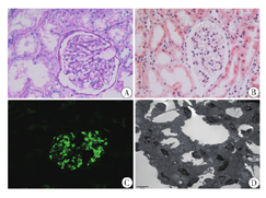
肾活检:光镜下21个肾小球,其中1个球性硬化,余肾小球系膜细胞及基质弥漫轻度增生,内皮细胞未见增生;毛细血管袢开放尚好,未见明显球囊粘连。Masson染色:系膜区及系膜旁区嗜复红物沉积。肾小管灶性萎缩(约1%),余肾小管上皮细胞空泡变性及颗粒变性。肾间质小灶性纤维化伴单个核细胞浸润。免疫荧光:4个肾小球,IgG(±),IgA(2+),IgM(+),C3(+~2+),C1q(+),IgG1(±),弥漫性球性分布,颗粒状沉积于系膜区,纤维蛋白原、IgG2、IgG3、IgG4、抗磷脂酶A2受体均阴性。电镜下肾小球基底膜无明显增厚,个别系膜区可见少量低密度电子致密物沉积。小结:IgAN:节段轻度系膜增生伴球性硬化(1/21),相当于Lee氏Ⅲ级(Oxford M1E0S0T0C0)。见图1。


注:A:肾小球系膜细胞及基质弥漫轻度增生,内皮细胞未见增生(PAS染色 ×400);B:系膜区及系膜旁区嗜复红物沉积(Masson染色 ×400);C:IgA(2+)(免疫荧光 ×400);D:肾小球基底膜无明显增厚,个别系膜区可见少量低密度电子致密物沉积(电镜 ×2 500)
综合患者临床表现、实验室检查及肾活检病理改变,最终诊断:IgAN(M1E0S0T0C0)。给予抗凝、利尿、补充白蛋白、抗炎(泼尼松15 mg)等治疗,于2020年8月5日予利妥昔单抗(rituximab,RTX)600 mg静脉滴注/周×4次,1个月后白蛋白升至35.6 g/L,尿蛋白弱阳性,红细胞13个/μl,B淋巴细胞计数0个/μl。2021年4月16日复查:白蛋白43.7 g/L,尿蛋白阴性,红细胞3个/μl。见图2。


本例患者以反复复发的肾病综合征为主要表现,无皮疹、光过敏、关节痛,无腹痛、血便,抗核抗体、抗dsDNA抗体及抗Sm抗体均阴性,补体正常,乙肝表面抗原阴性,临床不支持紫癜性肾炎、狼疮肾炎、乙型肝炎病毒性相关性肾炎等。患者对激素治疗敏感,伴轻微镜下血尿,临床表现类似于微小病变,肾活检光镜示系膜细胞轻度增生,免疫荧光见IgA(2+),虽然电镜超微结构欠清晰,结合其临床特征,我们考虑临床诊断为微小病变IgAN(IgAN with minimal change disease,MCD-IgAN)。患者激素治疗有效,但激素减量及感染诱发下反复复发,符合"难治性肾病综合征"诊断。本例患者使用激素治疗后出现双眼激素性青光眼并导致右眼失明,加用他克莫司、环孢素、环磷酰胺等免疫抑制剂治疗后肾病综合征可短时缓解,但反复复发,治疗棘手。
近年来国内外陆续有利用RTX治疗难治性肾病综合征取得良好效果的报道,但RTX治疗IgAN的相关研究较少且结论不同[1,2,3,4],见表1。Lafayette等[1]进行1项随机对照试验观察RTX治疗伴肾功能不全和蛋白尿的IgAN患者的疗效,发现随访12个月时,RTX组与标准治疗组的eGFR和尿蛋白较基线均无显著差异,每组中都仅有3例患者尿蛋白降低幅度>50%。但是该研究样本量较小,与标准治疗组相比,RTX组基线的尿蛋白水平更高且eGFR更低,基线不平衡可能是两组疗效无显著差异的原因。但是Chancharoenthana等[3]报道了3例肾移植后复发性IgAN患者,采用连续4个月单纯RTX治疗,3例患者的尿蛋白均降低,肾功能趋向稳定,治疗过程中均未出现严重的不良反应。

利妥昔单抗(RTX)治疗IgA肾病的文献总结
利妥昔单抗(RTX)治疗IgA肾病的文献总结
| 参考文献 | 例数 | 临床表现 | 治疗 | 观察指标/结论 |
|---|---|---|---|---|
| Lafayette等[1] | 34 | 经过肾素-血管紧张素系统阻断剂治疗后尿蛋白量>1 g/d | 17例标准治疗,17例标准治疗联合RTX | 两组患者治疗后的尿蛋白量均无明显改善 |
| Sawada等[2] | 1 | 肾移植后复发 | RTX、血浆置换、激素冲击 | 24 h尿蛋白量从6.89 g降至0.5 g,血肌酐从203.3 μmol/L降至132.6 μmol/L |
| Chancharoenthana等[3] | 3 | 肾移植后复发 | RTX 375 mg/1.73 m2 qw×4次 | 平均随访20个月,3个患者的尿蛋白量均有所下降 |
| Lundberg等[4] | 4 | IgA肾病或IgA血管炎 | RTX或奥法木单抗 | 观察17~22个月,3个患者尿蛋白量<250 mg/d,另1个患者12个月前尿蛋白量下降,但随后观察尿蛋白量、血肌酐开始慢慢增加 |
| 本例 | 1 | 肾病综合征(微小病变样IgA肾病) | RTX 600 mg qw×4次 | 治疗1个月后,病情缓解;随访8个月尿蛋白仍为阴性,血浆白蛋白正常 |
少数IgAN患者肾小球的病理改变为微小病变,其临床表现、对激素治疗的反应及预后与肾小球微小病变(minimal change disease,MCD)相似[5]。MCD-IgAN首选治疗为足量激素口服,当出现激素依赖或无效,可考虑加用环磷酰胺、钙调磷酸酶抑制剂或霉酚酸酯等药物[6,7]。多项研究显示RTX可诱导激素依赖或多次复发型MCD患者的长期缓解。Miyabe等[8]采用RTX治疗54例激素依赖的成年微小病变肾病综合征患者,发现RTX能有效缓解肾病综合征且减少复发,治疗24个月后,仅1例复发。林力等[9]回顾性分析96例接受RTX治疗的局灶节段性肾小球硬化和MCD患者,尿蛋白量从基线3.685(0.185,9.190)g/d降至0.131(0.099,0.461)g/d,血白蛋白从基线25 g/L升至42 g/L,随访结果亦证实RTX能有效减少肾病综合征复发且无明显不良反应。樊宁宁等[10]回顾性分析接受RTX治疗的难治性微小病变型肾病综合征23例患者,其中儿童12例,成人11例,治疗半年后儿童组有7例停用激素及免疫抑制剂,7例完全缓解,3例复发,余2例部分缓解;成人组患者有6例完全停药,7例完全缓解,1例复发,余3例部分缓解。本例患者的临床病理特征符合MCD-IgAN,我们给予RTX联合泼尼松(15 mg/d)治疗得到完全缓解,观察8个月后病情仍稳定无复发。
本病例的成功治疗提示,激素依赖的难治性IgAN患者应用RTX可能是一项有效的治疗选择。
所有作者均声明不存在利益冲突





















