
发生于下颌骨的表皮样囊肿罕见,容易误诊,目前多为病例个案报道。笔者报道2007年1月至2021年12月烟台市烟台山医院和烟台市口腔医院收治的2例下颌骨表皮样囊肿,分析其临床及影像资料,以期提高对本病的认识水平。
版权归中华医学会所有。
未经授权,不得转载、摘编本刊文章,不得使用本刊的版式设计。
除非特别声明,本刊刊出的所有文章不代表中华医学会和本刊编委会的观点。
表皮样囊肿又称胆脂瘤,临床常见,但发生于下颌骨的表皮样囊肿临床罕见,容易误诊。笔者收集2007年1月至2021年12月间烟台市烟台山医院和烟台市口腔医院经病理证实的下颌骨表皮样囊肿各1例,分析其临床及影像学检查资料,以期提高对本病的认识水平。
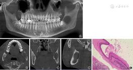
患者男性,25岁。因发现左下颌骨肿物2周,于2016年4月17日入院。2周前患者自觉左下颌后牙区疼痛,近1周出现左下唇麻木不适,2 d前张口中度受限。查体:口腔颌面部左右不对称,左侧颌面部肿胀,皮肤略红,压痛,左下唇麻木不适。双侧颌下区、颏下区及颈部未触及肿大淋巴结。X片示左侧下颌角见一长径约2.5 cm椭圆形低密度灶,边缘清晰锐利,无硬化,38近中阻生,位于其中(图1A)。CT示左侧下颌角见一大小约2.5 cm×2.5 cm×1.5 cm膨胀性骨质破坏区,边缘清晰,相邻骨质吸收变薄,但无明显硬化,病灶与下颌神经管关系密切(图1B~D)。全麻下行左侧下颌骨肿瘤切除术,术中见左侧下颌骨升支前缘及内侧骨质已破坏吸收,用裂钻去除部分骨质,暴露肿物,见肿物呈囊性,有白色豆腐渣样物质流出,囊壁与骨组织无粘连。大体标本:囊性灰白色肿物一个,大小约3.0 cm×2.0 cm×1.2 cm,囊壁厚约0.1 cm,囊内为灰白色皮脂样物。镜下见囊内壁为毛囊漏斗上皮,囊内含有排列呈板层的角化物质,可见角化不全细胞(图1E)。病理诊断:下颌骨表皮样囊肿。


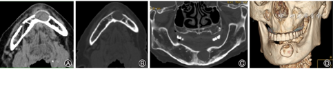
患者女性,68岁,因下颌骨体部无痛性缓慢膨胀肿物3年余,于2007年11月22日入院。查体:左侧下颌体部唇侧明显膨隆,表面黏膜及皮肤色泽正常,无瘘管及溃烂,触诊有“乒乓球”样感,有波动感,触痛不明显。实验室检查均正常。CT平扫示下颌骨体内见一大小约2.0 cm×2.0 cm占位,呈均匀软组织密度,未见钙化或坏死囊变征象,CT值约45 Hu,边缘光整、清晰,前缘轻度向外膨出,相邻骨壁吸收变薄,肿瘤相邻下颌骨前上骨皮质吸收近乎消失,冠矢状面重组像显示下颌骨局部类圆形骨质缺如,边缘光整,周边骨质无硬化,三维重建图像显示更加清晰(图2)。全麻下行左侧下颌骨肿瘤切除术,术中见肿物呈囊性,包膜完整,相邻下颌骨前上骨壁薄如纸样,肿瘤内含有豆腐渣样物质。大体标本:灰白灰红色囊性肿物一个,大小2.0 cm×2.0 cm×1.0 cm,囊壁厚0.1 cm,囊内含灰白豆渣样物。病理诊断:下颌骨表皮样囊肿。


表皮样囊肿又称“植入性囊肿”、上皮样囊肿、胆脂瘤或珍珠瘤,是临床常见病,颜面部好发于眼睑、额、鼻、咽外侧等部位,发生于下颌骨的表皮样囊肿十分罕见[1],笔者检索文献国内仅见7例报道[2, 3, 4, 5, 6, 7, 8]。其病因主要是由表皮异位发展而成,目前主要有3种学说。(1)先天性学说:在胚胎第5周神经沟融合时,鳞状上皮深植外胚层内,以后这种异位的鳞状上皮增生,脱落而发展成胆脂瘤。(2)化生学说:由于炎症刺激等因素,黏膜鳞状上皮化生,进而形成胆脂瘤。(3)植入学说:外伤、手术导致骨壁破坏,导致鳞状上皮进入骨内[2, 3,8]。本例患者无下颌骨的外伤和手术史,因此前两种学说的可能性更大,但无论哪种成因形成,在组织学上并没有实质性区别。下颌骨表皮样囊肿临床上主要表现为下颌骨局部的膨胀、压迫周围组织结构所引起的改变,合并感染时,可出现周围软组织的肿胀[9]。
下颌骨表皮样囊肿的X线和CT表现无明显特殊性,主要表现为下颌骨内的膨胀性骨质破坏,边缘清晰锐利,周围骨质吸收变薄,周围可见硬化边,病灶内多为均匀软组织密度,亦可伴有钙化。文献报道胆脂瘤的MRI表现有一定特征性,即在T1WI和T2WI图像上呈高信号,弥散加权成像(DWI)上呈明显的高信号[10],有一定特征性,有助于同发生于下颌骨的根尖囊肿、单纯性囊肿鉴别,后两者在T1WI和DWI上多呈低信号,且病灶内多为液性密度,而表皮样囊肿多呈软组织密度,鉴别不难。发生于下颌骨的造釉细胞瘤亦呈软组织密度肿瘤,两者鉴别较难,但造釉细胞瘤是具有侵袭性的肿瘤,骨质破坏范围较表皮样囊肿更明显,容易出现骨皮质中断和侵入周围软组织,且造釉细胞瘤以多房型最多见,有助于鉴别。但发生于下颌骨的表皮样囊肿罕见,最终均需要病理明确诊断,因此影像学检查的价值更多在于对病灶良恶性的判断及明确病变累及的范围,协助制定恰当的手术计划。
表皮样囊肿并非真性肿瘤,属于良性病变,治疗相对容易,预后较好。目前最有效的治疗方法仍为手术,基本原则是彻底清理病变及上皮包囊,磨除侵蚀骨质以防止复发。





















