
抗MDA5抗体阳性皮肌炎是皮肌炎的一种罕见类型,早期临床症状轻微,初诊以皮肤病变及呼吸道症状为主,很容易引起误诊、漏诊。现将湖南省人民医院2020年6月收治的1例抗MDA5抗体阳性皮肌炎患者的诊治过程报道如下。
版权归中华医学会所有。
未经授权,不得转载、摘编本刊文章,不得使用本刊的版式设计。
除非特别声明,本刊刊出的所有文章不代表中华医学会和本刊编委会的观点。
患者,男,51岁,咳嗽、气短、全身皮疹6个月,进行性乏力1月。患者6个月前(2020年1月)无明显诱因出现咳嗽、气短,伴全身皮疹,无畏寒、发热,当地医院考虑“肺部感染、荨麻疹”,给予抗过敏、抗感染、止咳、化痰等对症支持治疗后,症状稍缓解。1个月前渐进性出现四肢无力,近端肌力下降较为明显,伴抬头无力,伴足趾关节疼痛,无口干、眼干,无双手遇冷变白。患者近6个月体质量减轻20 kg。遂于2020年6月至湖南省人民医院全科医学科就诊,考虑患者病情复杂,收住入院治疗。入院后体格检查:头面部、胸腔V字区和肩背部可见向阳性皮疹(图1),膝关节伸处可见紫红色皮疹(图2),躯干、四肢可见鳞屑性红斑,伴瘙痒。双手指甲尖端变厚、发黄。双肺呼吸音粗,可闻及少许湿性啰音。双上肢近端肌力3+级,远端肌力正常,双下肢近端及远端肌力4级。入院后完善实验室检查。血常规:白细胞计数3.4×109/L,中性粒细胞77.3%,淋巴细胞17.4%,红细胞计数3.9×1012/L,血红蛋白127 g/L,C反应蛋白(CRP)11.5 mg/L。生化检验:谷丙转氨酶(ALT)52 U/L,谷草转氨酶(AST)105 U/L,白蛋白30 g/L,血肌酐89 μmol/L,肌酸激酶同工酶(CK-MB)37 U/L,乳酸脱氢酶(LDH)270.1 U/L,肌红蛋白(MYO)134.6 μg/L。血气分析:吸氧浓度21%,酸碱度7.39,血氧分压(PO2)102.4 mmHg(1 mmHg=0.133 kPa),二氧化碳分压(PCO2)41.8 mmHg,实际碳酸氢盐浓度24.6 mmol/L,剩余碱-0.5 mmol/L,乳酸3.34 mmol/L。肿瘤标志物:糖类抗原199(CA199)64.57 U/ml,细胞角蛋白19片段(CYFRA21-1)4.58 μg/L。抗双链DNA抗体(IgG型)83.56 IU/ml,抗核抗体阳性(核均质型1∶100,胞浆颗粒型1∶100)。肌炎抗体谱:抗MDA5抗体IgG阳性。神经肌电图提示肌源性损害。抗中性粒细胞抗体(ANCA)、抗可溶性抗原(ENA)、抗核抗体(ANA)、类风湿因子、HLA-B27、新斯的明试验、重症肌无力抗体均未见明显异常。脑脊液压力100 mmHg,脑脊液常规检查、生化、结核涂片、细菌培养、隐球菌检查未见异常。胸部CT:双肺炎症,双侧胸膜增厚。腹部及盆腔CT未见异常。双足X线:左足趾间关节、跖趾关节多处关节炎。(左膝关节皮肤皮损)送检少许皮肤组织:表皮角化过度,棘层细胞增生,真皮浅层血管周围少量炎性细胞浸润。(右侧肱二头肌)肌肉组织活检:HE染色示骨骼肌纤维大小不等,束周萎缩,少数肌纤维变性坏死,未见胞浆内脂滴或空泡,肌内膜纤维组织增生不明显,局灶炎性细胞浸润。免疫组化示MCH-I肌纤维膜阴性(图3)。






经多学科讨论,诊断为重叠综合征[银屑病关节炎(PsA)+抗MDA5抗体阳性皮肌炎],转入风湿科进一步治疗,予以甲泼尼龙(125 mg/d,6 d)并联合丙种球蛋白(20 g/d,5 d)冲击治疗,同时予以抗感染治疗,经治疗后患者气促、抬头、肢体乏力症状较前改善,复查肌酶较前降低,逐渐减少糖皮质激素剂量,调整为泼尼松片(55 mg,qd)口服,并予羟氯喹(0.2 g,bid)、甲氨蝶呤(MTX)(10 mg,每周2次)免疫抑制,阿达木单抗40 mg(每半月1次)皮下注射控制炎性反应,予以他克莫司软膏涂颜面部皮疹处,卡泊三醇软膏、卤米松软膏涂四肢皮疹处,治疗15 d后,患者自觉症状明显减轻,要求出院。
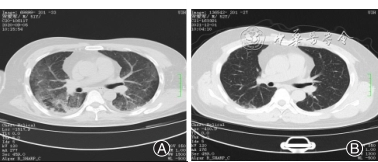
出院后患者自觉肌力逐渐恢复正常,颈部屈伸受限、气促较前好转,偶有双膝关节关节疼痛,全身皮疹没有增加,便自行减少糖皮质激素用量。1个月后(2020年8月31日)患者因咳嗽、咳痰、间断发热再次至湖南省人民医院风湿科住院治疗。体格检查:双肺呼吸音粗,双肺可闻及散在湿罗音,双下肺可闻及velcro啰音,实验室检查:血常规:白细胞计数12.11×109/L,中性粒细胞百分率78.90%,中性粒细胞计数9.56×109/L,单核细胞计数1.21×109/L;CRP 29.86 mg/L;红细胞沉降率20.85;细菌涂片检查:见革兰阳性、阴性球菌;真菌培养:真菌孢子及假菌丝可见;免疫全套、抗心磷脂抗体谱、呼吸道病原体检测、真菌D肽聚糖、抗酸染色检测未见明显异常。胸部CT示:(1)两肺间质性改变;(2)双侧腋窝及纵隔内多发小淋巴结;(3)双侧胸膜增厚(图4A)。入院后立即予以甲强龙(40 mg/d,8 d)并联合用丙种球蛋白(20 g/d,3 d)冲击治疗。入院第3天,患者出现严重的呼吸困难,血气分析:pH 7.42,PO2 55 mmHg,PCO2 64.6 mmHg;血氧饱和度85%~90%之间,考虑患者重症肺炎,呼吸衰竭,病情危重,经知情同意后行持续无创呼吸机辅助通气,并调整抗生素,先后予以头孢曲松、亚胺培兰、氟康唑抗感染,辅以复方磺胺甲恶唑预防卡氏肺孢子菌感染。入院第7天,患者咳嗽、气促较前好转,无创呼吸机辅助通气下血氧饱和度维持在95%~98%,甲泼尼龙调整至25 mg/d,10d。入院第13天,患者在鼻导管吸氧下无呼吸困难,精神状态明显好转,情况好转后给予MTX(10 mg biw)、羟氯喹(0.2 g bid)抑制免疫。第18天,患者好转出院,出院时用等剂量的泼尼松30 mg替代甲泼尼龙,后期门诊随访逐渐减量,治疗期间出现低白蛋白血症、低钾血症、高凝状态等,予以对症处理。


目前,患者规律服用糖皮质激素抗炎及MTX、羟氯喹抑制免疫、阿达木单抗定期皮下注射(40 mg,2周1次)等治疗,现糖皮质激素剂量调整为5 mg,qod,随访1年期间无新发皮疹,肌力基本正常,双肺磨玻璃影逐渐减少(图4B),一般状况可。现患者定期复查,继续风湿免疫科、全科医学科定期随访中。通过文献检索,关于合并MDA5型皮肌炎的报道较少,且既往文献报道MDA5型皮肌炎治疗效果差,本例患者取得了良好的转归。
皮肌炎合并银屑病在临床上非常罕见,特别是皮肌炎起病隐匿,误诊率高。皮肌炎在发病初期皮肤表现不典型,常误诊为银屑病、湿疹、药物皮疹、扁平苔藓、急性荨麻疹、多形性红斑、接触性皮炎等皮肤疾病[1]。通过查阅国内外文献,查阅到15例银屑病合并皮肌炎的患者资料,其中8例女性,7例男性,6例年龄在20岁以下,均为幼年性皮肌炎。1例20多岁,2例患者30多岁,3例患者40多岁,3例患者60多岁,12例在银屑病之前发生皮肌炎,其余病例在皮肌炎之前发生银屑病。MDA5皮肌炎合并既往暂未见报道。关于发病机制,有研究表明两病的发生是由共同的免疫机制介导,银屑病患者浆细胞样树突状细胞过量产生I型干扰素会促进自身免疫疾病的发生,IFN诱导蛋白如黏液病毒耐药性蛋白(MxA)和CXC趋化因子(CXCL9、CXCL10和CXCL11)通常在皮肌炎患者中的皮肤和肌肉中过表达,MxA在具有不同自身抗体组中存在差异,易引起皮肌炎的相关症状[2]。此外,皮肌炎中血清白细胞介素-17(IL-17)水平升高,与疾病活动性有关。IL-17在2种皮损的细胞中表达提示IL-17可能参与了DM和银屑病的发展[3]。
皮肌炎是一种自身免疫性疾病,其特征性变化主要是皮肤的病变(淡紫眼皮肤征、Gottron 征、Gottron 丘疹、面部红斑、皮肤异色症、非瘢痕脱发、甲周改变、银屑病样皮损、皮肤钙质沉积)及不同器官的受累,包括肌肉、血管、关节、食管和肺。皮肌炎的发病机理尚未明确,有研究表明,可能受影响器官的自身免疫攻击,这种攻击是由环境因素(如紫外线照射、药物、感染和遗传易感个体的生活方式决定)所触发[4, 5]。2005年,Sato等[6]首次在DM合并肺间质性疾病的患者中发现一类特殊的抗体,因发现在无肌病性皮肌炎(CADM)患者的血清中,故并命名为“CADM-140抗体”,后研究证实为抗MDA5抗体。研究发现抗MDA5抗体阳性皮肌炎病情往往较重,更容易发生快速进展型的肺间质病变,患者往往死于呼吸衰竭。目前,对于抗MDA5抗体阳性的皮肌炎合并RP-ILD的治疗,以大剂量糖皮质激素联合免疫抑制剂治疗为主,严重时予免疫球蛋白冲击治疗,或行血浆置换治疗,但该病病死率仍极高,病死率高达75%~84%[7, 8]。抗MDA5抗体皮肌炎早期往往以皮肤病变及肺部疾病就诊,而肌肉症状出现晚或症状轻微,常首诊于皮肤科或呼吸内科,容易造成误诊、漏诊。本例患者早期以咳嗽、气促、全身皮疹为主要临床表现,肌酶接近正常,而乏力症状轻微,未予重视,早期的皮肤无眶周水肿性紫红斑等特征性皮肤表现,仅全身多发鳞屑性红斑,伴瘙痒,由于首诊医生对皮肌炎认识不足,未对患者病情进一步分析,未完善相关必要的检查,仅对症治疗,导致该病的漏诊、误诊。
银屑病是一种常见的慢性、复发性、免疫介导的皮肤和关节疾病,常合并其他疾病,如抑郁症、代谢综合征等,约20%的银屑病患者同时患有银屑病关节炎[9]。银屑病患者的皮疹,其真皮乳头层的毛细血管在炎症因子作用下,不规则扩张、充血,加之乳头层向表皮突出明显,使表皮呈波浪状,搔刮见薄膜后再轻刮,就会刮破乳头层中的毛细血管壁,使血液外渗,呈现小点状出血现象[10]。而皮肌炎患者皮肤表现易发生在关节伸处,常合并其他的临床症状,比如肌力下降、肺部病变,但早期病变亦可不典型。当患者以皮疹或肌力下降为主要表现时要进行详细问诊、查体及必要的实验室检查,尤其是肌炎特异性抗体检测及肌肉活检。临床上早期确诊、积极治疗有助于改善患者预后。此外,银屑病患者如出现手指或足趾肿胀、踝关节后侧或足跟肿胀和疼痛、腰背部疼痛,应注重的筛查[11]。对于银屑病的治疗,轻症患者主要以局部用药为主,中重症银屑病患者在局部用药的基础上,加用肿瘤坏死因子-α(TNF-α)抑制剂和免疫抑制剂。目前,TNF-α抑制剂已成功应用于中重度银屑病患者[12]。对于斑块状银屑病,司库奇尤单抗、乌司奴单抗或TNF-α抑制剂均可选择,而对于患者则优先推荐TNF-α抑制剂,也可选用乌司奴单抗或司库奇尤单抗[13]。在临床上,银屑病通常不主张全身使用糖皮质激素治疗,外用糖皮质激素是银屑病的基本疗法,多与其他药物或方法联合应用。银屑病合并皮肌炎时,皮肌炎的肌肉损伤和间质性肺疾病常需大剂量口服糖皮质激素治疗,但停药易诱发加重银屑病,故银屑病合并皮肌炎患者糖皮质激素的应用及减量也需谨慎[14]。
本例为+皮肌炎(MDA5型)重叠综合征患者,于病程早期出现全身多发皮疹伴脱屑、气促、体重下降,当地医院误诊为肺部感染、荨麻疹,后逐渐出现四肢肌力下降、颈屈肌受累、足趾关节疼痛,完善肌炎抗体及肌肉活检,考虑抗MDA5抗体阳性皮肌炎,患者皮肤活检及皮损符合银屑病诊断,患者有足趾关节疼痛,X线显示足趾多发关节炎,RF因子阴性,故考虑。由于患者出院后未规律服用糖皮质激素,后又出现重症肺炎,且肺间质病变快速进展,病情极其危重。经予糖皮质激素及免疫球蛋白冲击治疗,积极抗感染治疗,并予抑制免疫,同时,予以无创呼吸机辅助通气治疗后,患者咳嗽、气促症状明显改善。出院后,患者糖皮质激素逐渐减量,坚持服用免疫抑制剂,同时定期皮下注射阿达木单抗,在此期间患者未出现感染,全身皮疹没有增加,关节疼痛症状得到好转,1年后复查胸部CT提示肺间质病变明显改善。对于伴有皮肤病变的患者,MTX仍然是一线治疗方案。JM等[15]提出阿达木单抗联合MTX疗效显著,可明显改善疾病症状体征,抑制影像学进展,从而达到临床缓解的目的。研究显示,抗MDA5抗体与ILD高度相关,亚裔成人抗MDA5抗体相关皮肌炎患者的ILD发生率高达90%~95%,抗MDA5抗体相关皮肌炎合并RP-ILD目前缺乏统一的治疗方案,多基于经验性治疗[16]。根据近年来的病例报道,当MDA5+DM患者出现RP-ILDs时,大剂量甲泼尼龙治疗可以在更短的时间内控制肺部的炎性反应,我们认为使用甲泼尼龙冲击疗法为免疫抑制剂的应用创造了条件,例如环孢素A和羟氯喹等免疫抑制剂。糖皮质激素联合羟氯喹对皮肌炎的病情控制效果好,羟氯喹属于4-氨基喹啉衍生物类抗疟药,起初用于治疗疟疾,1955年被用于治疗系统性红斑狼疮[17]。羟氯喹可稳定溶酶体膜,抑制白细胞趋化,抑制免疫复合物的形成但不影响机体对外来病毒抗原的免疫反应,此外,羟氯喹还能通过调节机体异常组织的紫外线吸收来改善皮损,但同时也要注意羟氯喹的不良反应,尤其是眼的损害[18]。因此,我们选择糖皮质激素联合免疫抑制剂羟氯喹、MTX及生物制剂阿达木单抗控制患者病情。
综上所述,对于合并抗MDA5抗体阳性及ILD的DM患者,总结以下临床经验:第一,皮肌炎皮疹和荨麻疹、湿疹、银屑病皮疹等常难以鉴别,可能因出现皮疹时病人未重视或症状不典型等原因误认为是常见皮肤病的相关表现,从而延误诊断和治疗,当患者皮疹出现在指关节伸面或合并肌力下降时,应筛查肌炎抗体谱,明确是否合并皮肌炎。第二,抗MDA5抗体阳性皮肌炎患者,早期症状轻微,仅皮肤症状或呼吸系统症状,肌力减退症状不明显,肌酶亦可正常,当临床上遇到同时合并皮肤及呼吸系统症状时,应引起重视,注意筛查肌炎抗体谱。第三,对于银屑病早期患者,首诊医师应该注意患者的四肢关节有无疼痛及银屑病甲的改变,早期筛查,以防止关节功能永久损害。第四,抗MDA5抗体阳性皮肌炎的患者,常具有致命性的急性ILD,对于急性ILD伴有或不伴有呼吸衰竭的患者,应尽早考虑大剂量糖皮质激素冲击治疗加2种或2种以上的免疫抑制剂治疗,以上治疗无效的患者应尽快使用静脉注射免疫球蛋白或调整药物组合,大剂量糖皮质激素联合免疫抑制剂药物治疗无效的情况下,还可加用利妥昔单抗、巴利昔单抗或托法替尼。此外,对于大剂量糖皮质激素联合免疫抑制剂治疗的患者,应积极预防机会性感染,特别是卡氏肺孢子菌的感染。所以,在临床工作中遇到此类可疑患者,应做到早期诊断、减少误诊、防止各类感染、积极使用糖皮质激素联合免疫抑制剂,尽可能延缓病情进展并改善患者预后。
朱法攀, 伍媛, 姜浩东, 等. 抗MDA5抗体阳性皮肌炎误诊1例及文献复习[J]. 国际医药卫生导报, 2023, 29(8): 1151-1154. DOI: 10.3760/cma.j.issn.1007-1245.2023.08.028.




















