
版权归中华医学会所有。
未经授权,不得转载、摘编本刊文章,不得使用本刊的版式设计。
除非特别声明,本刊刊出的所有文章不代表中华医学会和本刊编委会的观点。
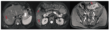
男性患者,56岁,因"排粪习惯改变1月余,肛门坠胀2周余" 。于2015年4月23日入院。患者于2015年3月出现粪便变细,排粪习惯改变,此后伴有肛门坠胀感及间歇性下腹部隐痛。入院查体:一般状况可,全身浅表淋巴结未触及,心肺未见明显异常,左下腹轻微压痛,无反跳痛,肝脾肋下未触及,肾脏未触及,肝区无叩击痛。美国东部肿瘤协作组(ECOG)评分:1分。辅助检查(2015年4月):电子全结肠镜提示:距肛30~40 cm可见溃疡性新生物,累及肠腔全周,导致管腔狭窄,活检质脆,易出血。病理活检提示为腺癌;腹部增强CT提示:结肠癌可能性,周围脂肪间隙内可见增大淋巴结,伴肝脏多发占位,考虑转移癌。胸部平扫CT未见明显异常。全腹部MRI提示:乙状结肠肠壁信号不均匀增高,肠壁不均匀增厚,增强可见强化,管腔狭窄,该段肠管浆膜层稍毛糙;肝实质内多发长T1、长T2信号影,增强可见环形强化,最大者位于肝右叶,见图1。肿瘤标志物:癌胚抗原(CEA)为55.41 μg/L,血清糖类抗原(CA)19-9<0.60 U/ml,CA72-4为1.09 U/ml。诊断为乙状结肠腺癌伴肝脏多发转移(cT4aN+M1a,Ⅳ期)。该病例由四川大学华西医院结直肠癌MDT协作组提供。


影像科:患者肿瘤位于乙状结肠,肿瘤侵及浆膜层,致使肠管浆膜层稍毛糙(T4),周围脂肪间隙内可见增大的淋巴结,多考虑转移(N+)。肝脏内可见多发的占位结节,最大者位于右肝(2.7 cm),考虑肝多发转移(M1a),其余强化结节为血管瘤。
肿瘤内科:患者原发灶位于乙状结肠,伴周围脂肪间隙内淋巴结转移,肝脏多发转移瘤,依据欧洲肿瘤内科学会(ESMO)治疗指南,该患者原发灶不可切除,肝转移灶为潜在可切除病灶。治疗目标为转化治疗。对于Ⅳ期患者,NCCN指南推荐选择新辅助化疗,之后再评估是否手术。同时建议患者行基因检测,筛选靶向治疗药物,化疗方案首选双药联合化疗。
结直肠外科:患者肠镜虽提示累肠管全周,但影像学未见肠管明显扩张,且无明显出血及肠梗阻等急症症状,目前原发灶不能达到R0切除,不建议行原发灶切除术。若化疗期间出现肠道急症症状,可行肠造瘘术。治疗的总体目标为达到R0切除。
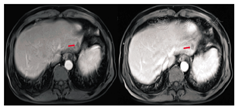
内科治疗:患者于2015年4—6月接受3周期mFOLFOX6方案(乐沙定+氟尿嘧啶+亚叶酸钙)化疗。全腹部MRI(2015年6月)提示:乙状结肠病灶段肠壁变薄,周围脂肪间隙累及加重。肝转移灶较前略缩小,盆腔多发异常信号影,不能排除转移,见图2。肿瘤标志物:CEA为68.39 μg/L,血清CA19-9 < 0.60 U/ml,CA72-4为1.09 U/ml。疗效评估:病情稳定(SD)。


MDT运行病例讨论:患者完成3周期化疗后,综合评价疗效为:SD。未出现肠道急症症状,肿瘤标志物无明显降低。患者手术意愿强烈,目前一般状况良好,能够耐受手术。建议患者行骨扫描,明确盆腔是否为转移灶。经评估,原发灶及转移灶有R0切除的可能,若无盆腔转移,可考虑同期或分期切除原发灶及转移灶。
外科治疗:骨扫描(2015年7月)提示未见异常。经术前评估,考虑患者身体状况,同期切除原发灶及转移灶手术风险较大,患者可能无法耐受高强度的手术,建议患者行分期手术。患者目前肝脏病灶多发,化疗后未见新发病灶及原病灶增大,结肠病灶降期不明显,应以控制转移灶为优先治疗策略,可先行肝转移灶切除术。患者于2015年7月9日行"右半肝切除术+胆囊切除术+肝血管瘤切除术" 。术中见:肝脏右叶见大小约2.7 cm × 2.2 cm及3.0 cm × 2.1 cm白色质韧包块,突出肝脏表面,左肝Ⅲ、Ⅳ交界处见直径约2.0 cm血管瘤。术中彩超示:右肝见多个大小不等包块,最大直径约3.0 cm。术后剖视:肿块共有5个,白色、实性、质地韧,最大直径约3.0 cm,最小约0.6 cm。术后病理:免疫组化示:癌细胞CDX(+)、Villin(+)、CK20(+)、CK7(-)、CK19(-)、TTF-1(-),结合组织形态学和免疫组化表型,支持为肠癌肝脏转移。
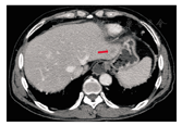
结直肠癌伴同时性肝转移术前新辅助治疗目的在于清除系统内休眠的肿瘤细胞,降低复发风险,同时缩小肿瘤,为手术创造条件,判断肿瘤对化疗的敏感性,为术后化疗提供参考依据。另一方面,对于同时性肝转移的病例,手术的方式目前有两种,即同期切除原发灶及转移灶,或是分期切除病灶,分期切除可以先切除原发灶,也可以先切除肝转移灶。对于手术方式的选择,目前尚无明确的定论。该例患者行选择分期切除的策略,首先切除转移灶,但患者术后1月即出现残肝新发病灶,见图3。其原因可能是由于患者术前肝脏多发转移病灶,化疗使得微小病灶消失,逃离手术清扫范围;或是残留病灶继续生长。


鉴于患者目前肝脏多处复发,局部分期较晚,不再建议手术治疗。因奥沙利铂方案未能使病灶降期,可考虑更换如下化疗方案:(1)FOLFIRI方案联合贝伐单抗或西妥昔单抗靶向治疗;(2)伊立替康+替吉奥方案。但患者为晚期肿瘤治疗后进展,更换方案可能导致有效率降低。
内科治疗:基因检测结果示KRAS12密码子突变,BRAF15号外显子点突变,NRAS密码子12/13/61未见突变。患者有贝伐单抗适用指征,但患者经济原因未考虑使用贝伐单抗。故于2015年9—12月行5周期伊立替康+替吉奥方案化疗。
化疗后评估:腹部增强CT(2015年12月)提示:残肝多发占位结节,部分病灶较前增大(最大直径3.8 cm),未见新发病灶,见图4。肿瘤标记物:CEA为42.55 μg/L,血清CA19-9<0.60 U/ml,CA72-4为1.64 U/ml。整体疗效评估:病情进展(PD)。


患者完成5周期伊立替康+替吉奥方案化疗,综合评价为:PD。患者目前已是二线治疗方案,无使用靶向药物的条件,原发灶局部分期较晚,浸润广泛,手术可能无法达到R0切除,肝脏病灶为可切除病灶。可行腹腔镜探查术,了解病灶可切除性。若无法达到R0切除,可考虑原发灶及转移灶放疗。
外科治疗:患者2016年1月29日行"开腹乙状结肠癌根治术+右肝转移癌切除术" 。术中见:肿瘤位于乙状结肠,侵及管腔1周,管腔狭窄,侵出浆膜,侵及后方腰大肌肌膜与右侧生殖血管粘连致密。右肝残肝可扪及4 cm×4 cm质硬结节。
病理示:腺癌肿瘤分化程度:G2,肿瘤侵及浆膜下(pT3)有神经受侵,阳性淋巴结数为(1/16),另查见癌结节3枚(pN1c)。肝肿瘤中分化腺癌,免疫组化示癌细胞:CK20(+)、CDX-2(+)、Villin(+)、CK7(-)、CK19(部分+),结合形态学、免疫组化和病史,符合肠癌肝转移。免疫组化:肿瘤细胞MLH1(+)、MSH2(+)、MSH6(+)、PMS2(+)、BRAF(-),Ki67阳性率约75%。病理分期:pT3N1cM1。
内科治疗:患者二线化疗后虽然病情进展,但未出现新发病灶,同时,患者不能耐受更高强度的化疗,因此继续原方案化疗,评估疗效。于2016年3—5月行3周期伊立替康+替吉奥方案化疗。2016年5月复查CT未见转移复发征象。整体疗效评估:没有复发转移。
患者于2016年8月复查MRI提示:肝左叶环形强化结节,考虑转移瘤可能性大,见图5。综合考虑患者的既往治疗过程,患者肝脏病灶在治疗间期病情进展,出现新发病灶。既往的化疗方案在患者术后仍可控制肿瘤的进展,建议继续伊立替康+替吉奥方案化疗。鉴于目前肝脏病灶<3 cm(最大直径0.6 cm),若化疗后病情无进展,建议患者行肝脏射频消融术。患者于2016年8—10月行3周期伊立替康+替吉奥方案化疗。于2016年10月再次复查未见肿瘤继续生长,肝脏未见新发病灶,见图6。




患者于2016年10月27日行"经皮肝脏肿瘤射频消融术" 。术后于2016年11月30日复查肝脏超声提示:左肝实性占位,多考虑转移,左肝杂乱回声区为射频消融术后坏死改变。于2016年12月8日行"腹腔镜肝脏肿瘤射频消融术+左肝病灶切除术" 。术后病检:查见腺癌,切缘未见癌累及。患者目前一般状况良好。一般健康状态(PS)评分:1分。拟定于术后1月再次复查后制定下一步治疗方案。
近25%的新发结直肠癌在首次诊断时发现伴有同时性肝转移[1]。15%~30%的患者可以接受手术治疗,5年的总体生存率在30%~50%之间[2]。对于该类患者,都要经过结直肠MDT讨论,评估原发灶及转移灶的可切除性,制定个体化的治疗方案。依据肿瘤治疗的目的、治愈的可能性、肿瘤的状态及患者自身的情况,大致可分为如下3类:(1)可切除病灶:该类患者治疗通过积极的术前新辅助治疗缩小肿瘤体积及降低术前肝内微小转移发生,提高手术的根治性切除率及预后;(2)潜在可切除病灶:通过转化治疗,使病灶达到R0切除;(3)不可切除病灶:通过系统性的治疗,缩小肿瘤,延长生存,提高生活质量。肝转移切除术后,50%~75%的患者2年内出现复发[3]。对于再次复发的患者,其治疗原则应根据患者肿瘤的生物学特性、复发时间以及对化疗的敏感性等因素综合考虑,并经MDT讨论决定。结直肠癌肝转移是影响患者预后的主要因素,手术切除是获得根治的唯一途径,使患者获得生存获益的最佳方式。随着系统性的化疗,靶向药物及射频消融等非手术治疗的广泛应用,提高了Ⅳ期结直肠癌可治愈率,使该部分人群术后5年生存率显著提高。规范化的结直肠MDT在肝转移患者的管理,是保证个体化综合治疗的前提。





















