
版权归中华医学会所有。
未经授权,不得转载、摘编本刊文章,不得使用本刊的版式设计。
除非特别声明,本刊刊出的所有文章不代表中华医学会和本刊编委会的观点。
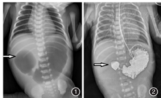
患儿,女性,3 d,因"呕吐伴腹胀3 d"于2016年3月17日由外院转入。患儿系孕6产4,孕36+3周,顺产娩出,出生体质量2.1 kg。羊水量8000 ml,Ⅰ°浑浊。出生时即口吐白沫样液体,后为黄绿色胃内容物,行上消化道造影提示:先天性十二指肠闭锁,为进一步诊治转来广东省妇幼保健院新生儿外科。入院查体:体温36.5℃,心率130次/min,呼吸45次/min。腹平,触软,肠鸣音弱。肛诊:见少量透明样黏液。入院后完善检查,胸腹正位片:见"双泡征",余腹部肠管未见充气,考虑为十二指肠梗阻,见图1。上消化道造影提示:十二指肠球部梗阻征象,符合先天性十二指肠闭锁,见图2。术前诊断:十二指肠梗阻。于2016年3月23日在气管插管全身麻醉下行剖腹探查术,术中见腹腔内少量墨绿色黏液栓,空肠距Treitz韧带5 cm处闭锁,肠管连续,空肠闭锁近端2 cm处见一直径0.5 cm大小穿孔;同时见胃、十二指肠球部明显扩张,进一步探查证实为十二指肠水平部一隔膜致十二指肠梗阻。行十二指肠吻合加空肠吻合术后,近端注入亚甲蓝检查吻合口是否通畅时,意外发现环状胰腺。术中诊断:(1)十二指肠闭锁;(2)环状胰腺;(3)空肠闭锁;(4)空肠穿孔。于空肠闭锁处连同穿孔处切除3 cm空肠,行空肠端端吻合术。游离十二指肠侧腹膜,于十二指肠水平部闭锁处切开1.5 cm,切除隔膜,间断缝合隔膜边缘,横行间断内翻缝合切开处。于环状胰腺近端横行切开十二指肠约1.5 cm,远端纵形切开十二指肠1.5 cm,行十二指肠近远端菱形间断吻合。经胃管注入亚甲蓝证实吻合口通畅。术后予以禁食、胃肠减压、抗炎、营养支持等对症治疗。术后第21天饮奶,无呕吐、腹胀不适,逐渐加奶至全奶按需,排粪正常。观察2 d后无异常,于2016年4月18日出院。随访至2017年9月2日,患儿饮食、排尿、排粪均正常,生长发育良好。


先天性十二指肠闭锁属肠管发育障碍性疾病。有文献报道其发病率为1/5000~1/10 000[1];最新的统计数据为0.9/10 000[2]。约一半患儿的母亲有羊水过多史[3]。目前其发病机制尚不明确,主要认为与胚胎早期发育缺陷有关,如小肠空化不全、血液循环障碍及肠神经系统发育不良。该病通常伴发其他畸形,其中25%~40%合并有唐氏综合征[4]。但同时并发环状胰腺、空肠闭锁、空肠穿孔的病例尚未见报道。目前主流学说认为,环状胰腺的发病与胰腺腹侧始基旋转异常相关[5,6];空肠闭锁主要考虑与胚胎发育晚期肠系膜血管意外有关[7]。而空肠穿孔原因尚不明确,可能为闭袢所致。
临床表现上,患儿多以呕吐、腹胀为首发症状,呕吐多为胆汁性。腹部X线片可表现为双泡征、远端肠管没有充气。胆汁性呕吐的患儿鉴别诊断主要包括:中肠扭转、远端肠闭锁、先天性巨结肠;非胆汁性呕吐的患儿鉴别诊断包括:幽门闭锁、胃窦隔膜及十二指肠狭窄等。治疗上,对于先天性十二指肠闭锁,一经确诊,应立即手术,本例患儿出生即有黄绿色胃内容物呕出,完善检查后十二指肠梗阻诊断明确,而十二指肠闭锁可能性大,转入我院后即行剖腹探查术。但值得注意的是,本病例因术中见腹腔内墨绿色黏液栓,探查发现空肠闭锁、穿孔,十二指肠闭锁。行十二指肠吻合、空肠吻合术后,近端注入亚甲蓝检查吻合口是否通畅时,意外发现环状胰腺,再次手术恢复肠管通畅性。回顾该患儿整个手术过程,笔者认为:行十二指肠闭锁手术,一定要探查近远端肠管的通畅性,以防漏诊,本例近端梗阻点——环状胰腺就险些漏诊。本例采用十二指肠菱形吻合术、十二指肠侧侧吻合术、空肠切除及空肠吻合术,术后愈合效果好。
近年来,随着手术水平、呼吸及营养支持治疗等水平的提高,肠闭锁患者的预后较之前已有明显的改善[8]。但仍然是临床所面临的一大挑战。有研究表明:肠闭锁患儿的病死率与其低出生体质量(< 2 kg)、是否合并其他畸形、严重感染、外科手术相关的并发症(如短肠综合征、吻合口漏等)相关[3,9,10]。该患儿住院时间为32 d,术后21 d开始进食,恢复时间较长,考虑与两处吻合口距离过近,吻合口两端肠管水肿、动力较差有关。后逐渐加奶至按需,恢复良好出院,随访至今,进食正常,体质量渐增,无腹胀、呕吐等不适,远期效果良好。





















