
Petersen疝是胃癌胃切除术后少见但严重的并发症。但目前国内外对Petersen疝的报道十分有限。因此,本文总结胃癌胃切除术后Petersen疝的临床特征和治疗方式,为临床诊治提供参考。
本研究采用描述性病例系列研究方法。通过南京大学医学院附属鼓楼医院消化道肿瘤数据库,筛选自2010年1月至2019年12月期间收治的Petersen疝患者。病例纳入标准:经术中证实为Petersen疝;既往接受过胃癌切除术;临床资料完整。分析总结本组Petersen疝临床表现、围手术期情况及治疗后随访情况。
全组12例患者均为男性,年龄(65.3±8.5)岁,中位发病时长21(6~143)h,常见主诉包括腹痛和腹胀。所有患者均为急诊入院,术前CT均表现为小肠扩张积液,其他影像学表现包括漩涡征、靶征、肠系膜回缩或充血水肿、腹盆腔积液等。血液学检查显示患者白细胞计数、中性粒细胞比例、降钙素原及C反应蛋白均高于正常范围。距上次胃切除术20.5(0.5~55.0)个月,胃切除术式为腹腔镜手术2例,开放手术10例。10例即刻接受了急诊手术,2例经保守治疗无效后行手术治疗。6例经小肠复位后血供恢复未行小肠切除,另6例术中证实小肠坏死行部分小肠切除术,中位切除长度为76(11~300)cm。6例术后转入重症监护室,重症监护室住院天数为(2.5±0.8)d;1例因小肠广泛坏死行小肠次全切除术,术后2 d死亡;其他11例术后均未发生Clavien-Dindo分级Ⅲ级或以上并发症;全组患者术后总住院时间(9.2±3.6)d。术后随访,均未再出现急性消化道症状或急腹症。
胃癌术后Petersen疝发病急、进展快,多集中于男性,预后不良。
版权归中华医学会所有。
未经授权,不得转载、摘编本刊文章,不得使用本刊的版式设计。
除非特别声明,本刊刊出的所有文章不代表中华医学会和本刊编委会的观点。
胃癌是我国常见的恶性肿瘤之一,大量患者需接受胃切除手术[1]。Petersen疝是胃癌术后的严重并发症之一。其定义为消化道重建时上提肠袢与横结肠之间的间隙形成的腹内疝,可迅速导致坏疽性肠梗阻,如未得到及时处理,可进一步出现感染性休克、广泛小肠坏死、短肠综合征等严重后果[2]。1900年,德国医生Walther Petersen首次描述了Petersen间隙及Petersen疝[3]。但其发生率较低,至1973年全球共计报道178例Petersen疝[4]。近年来,胃切除术后Petersen疝的发生率逐渐增加,但国内外文献对其报道仍较少,因此,总结此类患者的临床特征有助于早期识别、及时处理。现将南京大学医学院附属鼓楼医院近十年来收治的12例胃癌切除术后Petersen疝的临床特征进行总结报道。
本研究采用描述性病例系列研究方法,通过南京大学医学院附属鼓楼医院消化道肿瘤数据库,筛选2010年1月至2019年12月期间本中心收治的Petersen疝患者。病例纳入标准:(1)经术中证实为Petersen疝;(2)既往接受过胃癌切除术;(3)临床资料完整,小肠切除长度以病理报告为准,既往胃切除术式以此次术中探查为准。本研究的开展经医院伦理委员会审批通过(审批号:DTH#2020004),患者及家属均签署知情同意书。
Petersen间隙是指上提空肠及其系膜与横结肠之间的间隙[3]。Petersen疝的诊断标准为术中证实一段或多段肠管及其系膜疝入Petersen间隙,伴或不伴血运障碍[5]。
包括患者一般基线特征、主诉、明显症状体征、影像学检查特征、实验室检测指标(白细胞计数、中性粒细胞比例、降钙素原、C反应蛋白)、既往胃癌手术史以及发病时长等。发病时长定义为首发症状至就诊之间的时间。
手术方式的选择、小肠切除长度、并发症发生情况、重症监护室入住情况、住院时间及围手术期死亡发生情况。
再入院率、再手术率及随访期间生存情况。
采用描述性统计学方法。符合正态分布的连续型变量以
±s表示,不符合正态分布的连续型变量用M(范围)表示。因本研究的研究对象例数不足20例,因此,分类变量采用例数表示。
共收集12例胃癌胃切除术后Petersen疝患者,具体临床特征见表1。全组12例患者均为男性,年龄(65.3±8.5)岁,中位发病时长21(6~143)h,常见主诉包括腹痛(12例)、腹胀(6例)、肛门停止排气排粪(3例)、恶心呕吐(3例)、呕血或便血(3例)等。入院时,阳性腹部体征包括腹部压痛(1例)、反跳痛(5例)、肌紧张(4例)。

12例胃癌胃切除术后Petersen疝患者的临床特征
12例胃癌胃切除术后Petersen疝患者的临床特征
| 序号 | 性别 | 年龄(岁) | 查体 | 发病时长(h) | 既往胃切除术(月) | 既往胃切除术式 | 是否急诊手术 | 小肠切除长度(cm) | 是否围手术期死亡 | ||
|---|---|---|---|---|---|---|---|---|---|---|---|
| 压痛 | 反跳痛 | 肌紧张 | |||||||||
| 1 | 男 | 71 | + | + | + | 18 | 25 | (开放)远端胃+Roux-en-Y | 是 | 30 | 否 |
| 2 | 男 | 69 | + | - | - | 18 | 31 | (腹腔镜)远端胃+Roux-en-Y | 是 | 0 | 否 |
| 3 | 男 | 62 | + | + | - | 7 | 7 | (腹腔镜)远端胃+Roux-en-Y | 是 | 0 | 否 |
| 4 | 男 | 65 | + | - | - | 20 | 20 | (开放)远端胃+Roux-en-Y | 是 | 0 | 否 |
| 5 | 男 | 78 | + | - | - | 71 | 21 | (开放)远端胃+Roux-en-Y | 是 | 0 | 否 |
| 6 | 男 | 61 | + | - | + | 24 | 55 | (开放)远端胃+Roux-en-Y | 是 | 90 | 否 |
| 7 | 男 | 68 | + | + | + | 20 | 1 | (开放)远端胃+Roux-en-Y | 是 | 62 | 否 |
| 8 | 男 | 49 | + | - | - | 95 | 0.5 | (开放)远端胃+BillrothⅡ | 是 | 0 | 否 |
| 9 | 男 | 49 | + | - | - | 143 | 14 | (开放)远端胃+BillrothⅡ | 否 | 0 | 否 |
| 10 | 男 | 71 | + | + | - | 70 | 24 | (开放)全胃+Roux-en-Y | 否 | 11 | 否 |
| 11 | 男 | 67 | + | - | - | 6 | 39 | (开放)远端胃+BillrothⅡ+Braun | 是 | 180 | 否 |
| 12 | 男 | 73 | + | + | + | 22 | 7 | (开放)全胃+Roux-en-Y | 是 | 300 | 是 |
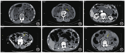
所有患者均为急诊入院,术前CT示所有患者均表现为小肠扩张积液,其他常见影像学表现包括漩涡征、靶征、肠系膜回缩或充血水肿、腹盆腔积液等。典型病例CT影像特征见图1。全组患者均伴腹盆腔积液,中位积液量750(100~3 000)ml。


所有患者的白细胞计数为(13.9±2.5)×109/L、中性粒细胞比例为(89.7±4.1)%、降钙素原为(1.0±0.6)μg/L、C反应蛋白为(103.9±46.6)mg/L。以上指标均高于正常范围。
距上次胃切除术0.5~55.0(中位数20.5)个月,胃切除术式为腹腔镜手术2例,开放手术10例;远端胃切除+Roux-en-Y吻合术7例、全胃切除+Roux-en-Y吻合术2例、远端胃切除+Billroth Ⅱ吻合术2例、远端胃切除+Billroth Ⅱ+Braun吻合术1例;重建方式均为结肠前吻合。
10例患者即刻接受了急诊手术,另2例经保守治疗无效后行手术治疗。6例经小肠复位后血供恢复,故未行小肠切除,另6例术中证实小肠坏死,行部分小肠切除术,中位切除长度为76(11~300)cm。3例入院时表现为急腹症(压痛、反跳痛与肌紧张均为阳性)均接受了急诊手术,术中证实部分小肠坏死,分别切除30、62、300 cm小肠;1例术中证实为肿瘤复发。6例术后转入重症监护室治疗,重症监护室住院天数为(2.5±0.8)d;1例因小肠广泛坏死行小肠次全切除术,术后转入重症监护室治疗2 d后死亡;其他11例术后均未发生Clavien-Dindo分级Ⅲ级或以上并发症;全组患者术后总住院时间(9.2±3.6)d。见表1。
除1例患者因非肿瘤因素死亡外,其余11例患者术后中位随访61.5(9~122)个月,均未再出现急性消化道症状或急腹症,均未再急诊入院,均未再接受手术。3例患者因胃癌复发死亡,其余患者存活至今。
经总结分析以上12例患者的临床特征与诊疗经过,本研究认为如下几点值得商讨。(1)性别差异显著:本研究纳入的所有Petersen疝患者均为男性;有文献报道,这可能与男女体脂分布特征相关,男性以内脏脂肪占优势,女性则以皮下脂肪占优势,胃癌术后体质量下降、肠系膜脂肪减少,男性的系膜缺损更加显著,或可增加Petersen疝的发生率[6,7];因此,对于胃切除术后可疑腹内疝的男性患者,尤其需警惕Petersen疝可能。(2)需谨慎看待术前腹部体征对此类疾病严重程度的指导意义:本研究中,3例患者在术前并没有压痛、反跳痛、肌紧张三联征,急诊手术却明确存在小肠坏死;因此对于影像学疑似腹内疝患者,即便急腹症尚未出现,仍应积极开腹探查,降低小肠缺血坏死风险。(3)发病时长与小肠坏死无关:本研究中小肠坏死者的发病时间普遍低于平均值;因此术前不能单纯依赖发病时长判断小肠血供,应结合疝环位置、肠管扩张、系膜水肿、腹盆腔积血积液等影像学表现以及生命体征、腹部体征等综合判断;另一方面,Petersen疝后果严重,可导致死亡等不良预后,本研究纳入的1例死亡患者因广泛小肠疝入Petersen间隙缺血坏死最终死亡;因此对于Petersen疝需及时判断、尽快处理。(4)胃切除手术方式与Petersen疝的相关性尚待探讨:本研究纳入患者以接受开放手术、远端胃切除、Roux-en-Y重建为主,但据此判定以上三者与Petersen疝有关为时尚早;现有文献提出,经结肠前吻合较结肠后吻合可减少系膜缺损数目,但近年来报道的Petersen疝均以结肠前吻合为主,提示结肠前吻合可能特异性增加了Petersen疝的发生率[6,8];有学者提出腹腔镜手术减少术后粘连,导致术后肠袢活动度增加,会增加术后腹内疝的风险[9]。但该论点尚未得到高级别循证医学证据的支持;考虑到腹腔镜手术近几年开始推行、本研究纳入样本量有限,胃切除术后Petersen疝的危险因素还需未来大样本研究进一步发现。
近年来,已有数项研究探讨胃切除术中关闭Petersen间隙的方式及其预防术后腹内疝的意义[10,11,12,13,14,15]。多项临床研究证实,胃切除术中关闭Petersen间隙可有效降低术后Petersen疝的发生率[14,15]。日本学者提出,使用3-0不可降解倒刺线连续关闭Petersen间隙的方式[11]。但亦有研究比较了可降解与不可降解缝线、间断与连续缝合关闭Petersen间隙的效果,结果尚存在争议[9,12]。国内徐泽宽团队曾提出胃切除重建尤其是Roux-en-Y重建应常规关闭系膜缺损,以预防Petersen疝的发生[13]。
综上,南京大学医学院附属鼓楼医院普通外科团队自2019年已开始在胃切除术中常规关闭Petersen间隙,术后近期随访尚无Petersen疝发生,但其预防意义尚待长期随访证实。鉴于Petersen疝发病急、进展快,如不及时处理可导致小肠坏死、感染性休克甚至短肠综合征等严重后果,基于本团队的临床经验,我们建议在胃癌胃切除中常规关闭Petersen间隙。
所有作者均声明不存在利益冲突





















