
版权归中华医学会所有。
未经授权,不得转载、摘编本刊文章,不得使用本刊的版式设计。
除非特别声明,本刊刊出的所有文章不代表中华医学会和本刊编委会的观点。
外伤和脑肿瘤的关系一直存在争议。1864年,Wirchow将脑外伤归结到脑肿瘤的发生因素之一[1]。笔者介绍的一例脑外伤后脑胶质瘤患者,充实外伤与脑肿瘤关系的证据。现报告如下。
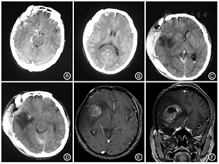
患者男,45岁,2009年4月在工地上从3~4 m高度坠落造成脑外伤。当时昏迷并在外院行头颅CT检查发现右侧额颞叶硬膜外血肿,考虑右侧颞骨、乳突骨折并乳突蛛网膜下腔出血,右侧脑挫裂伤(图1A、图1B)。随后急诊行开颅血肿清除、去骨瓣减压术(图1C、图1D)。患者术后出现轻微癫痫症状,表现为阵发性眼前发黑,持续约几秒钟。未口服药物治疗。2个月前患者感眼前突发黑朦,随即出现嘴角抽动,持续1 min。发作时患者意识清楚,无口吐白沫、四肢抽搐、大小便失禁症状。1个月前患者出现头晕头痛,饮酒后加重,左侧肢体乏力,12 d前于本院行头部CT提示:右侧额顶部占位。入院体检:意识清楚,心、肺、腹部检查未见异常。神经系统检查左侧肢体肌力较右侧稍减弱。其他神经系统检查未见异常。MRI示右侧额顶部人工骨瓣影,右侧额顶叶内不规则肿块影,呈混杂信号,肿块内囊变坏死,大小约6.8 cm×5.3 cm×4.8 cm,肿块实质强化明显,周围见片状水肿带,右侧侧脑室受压变窄,中线结构向左偏移。右侧颞叶见长T1长T2信号斑片影,flair相为低信号改变。左侧脑实质内未见明显异常(图1E、图1F)。入院诊断为右额顶叶胶质瘤。术中见肿瘤为囊实性,囊液清亮。实体肿瘤色暗红,血供丰富。术后病理结果显示胶质母细胞瘤伴少突分化(WHO Ⅳ级);免疫组化显示神经胶质酸性纤维蛋白(GFAP)(+)、少突胶质细胞转录因子-2(oligo 2)(+)、上皮膜抗原(EMA)(-)、α-地中海贫血/X连锁智力低下综合征(ATRX)(+)、P53蛋白(P53)(+)、DNA拓朴异构酶(TOPOⅡ)(+,10%)、表皮生长因子受体(EGFR)(-)、增殖细胞相关核抗原-67(Ki-67)阳性率约15%。


胶质瘤是颅内最常见的肿瘤,其发病原因目前众说纷纭。1864年Wirchow提出脑外伤会导致胶质瘤。针对这一观点,不断有学者支持或反对。目前人们普遍认为脑外伤可能会导致脑膜瘤的发生,但脑外伤导致胶质瘤存在争议。1974年Zülch和Meinel[2]在综合相关文献的基础上,认为判定颅内肿瘤与外伤有关必须符合以下标准:(1)患者在外伤前身体健康;(2)脑外伤必须足以引起脑挫裂伤和瘢痕形成,但同时需注意有时轻微的外伤也可引起脑损伤;(3)尸检或活检证实脑外伤与脑肿瘤的部位相符;(4)脑外伤和脑肿瘤的发生必须间隔1年以上,间隔时间越长,二者之间存在因果关系的可能性越大;(5)肿瘤必须经组织学证实,避免将脑肿瘤及胶质瘢痕相混淆;(6)脑外伤专指外力引起的损伤。Manuelidis[3]在1978年又将本标准扩充了3条:(1)脑外伤应有组织学证据;(2)脑肿瘤引起的出血、瘢痕和水肿,不论是陈旧的还是新近出现的,都应与外伤引起的类似变化明确区分出来;(3)肿瘤组织应直接发生在外伤瘢痕上,而不仅仅是发生在邻近组织,二者之间不应有健康或变化轻微的脑组织间隔。随着CT和MRI的应用,一些病理学标准被影像学标准所取代或补充,Moorphy和Rajshekhar[4]在Manuelidis标准上加入以下内容:(1)"外伤后即行的CT、MRI检查证实存在脑外伤"加入到1978年扩增标准(2)中;(2)"CT、MRI证实肿瘤与脑损伤部位相同"加入到1978年扩增标准(3)中;(3)新增1条标准:外伤后早期强化CT、MRI示无占位性病变存在。
笔者报告的此病例满足以上所有条件:(1)患者在受伤前身体良好;(2)外伤严重至脑挫裂伤并且恢复;(3)外伤所在的部位与肿瘤发生的部位正好相连;(4)外伤至发现肿瘤有6年间隔时间。在文献中脑外伤后胶质瘤仅见于为数不多的病例报道,仅见符合上述标准的患者28例,脑外伤至发现胶质瘤的时间为2~50年[3,4,5,6,7,8,9,10,11,12,13,14,15,16,17,18,19,20,21]。见表1。

外伤后胶质瘤病例报道
外伤后胶质瘤病例报道
| 作者(年份) | 例数 | 组织学类型 | 外伤类型 | 间隔期(年) |
|---|---|---|---|---|
| Hallervorden(1948) | 1 | 少突胶质细胞瘤 | 头外伤 | 38 |
| Diezel(1949) | 1 | 少突胶质细胞瘤 | 头外伤 | 30 |
| Heyck(1954) | 1 | 胶质母细胞瘤 | 前额脑叶切除 | 5 |
| Manuelidis(1971) | 1 | 胶质母细胞瘤 | 前额脑叶切除 | 12 |
| Finkemeyer等(1956) | 2 | 胶质母细胞瘤 | 弹片伤 | 13 |
| 星形细胞瘤 | 弹片伤 | 13 | ||
| Annegers等(1979) | 1 | 星形细胞瘤 | 头外伤 | 12 |
| Troost等(1984) | 1 | 星形细胞瘤3级 | 弹片伤 | 40 |
| Pérez-Díaz等(1985) | 2 | 少突胶质细胞瘤 | 脑挫裂伤 | 28,4 |
| Janda等(1987) | 1 | 星形细胞瘤 | 脑挫裂伤 | 20 |
| Di Trapani等(1996) | 1 | 混合性胶质瘤 | 头外伤 | 未标明 |
| Stendel等(1997) | 2 | 多型性胶质母细胞瘤 | 开放性弹片伤 | 48 |
| 间变性星性细胞瘤 | 动脉瘤夹闭术致脑损伤 | 10 | ||
| Sabel等(1999) | 1 | 胶质母细胞瘤 | 弹片伤 | 37 |
| Henry等(2000) | 1 | 星形细胞瘤4级 | 脑挫裂伤 | 2 |
| Henderson等(2000) | 1 | 间变性星性细胞瘤 | 颅内血肿 | 19 |
| Magnavita(2003) | 1 | 多型性胶质母细胞瘤 | 脑挫裂伤 | 4 |
| Moorthy等(2003) | 1 | 胶质母细胞瘤 | 脑挫裂伤 | 5 |
| 苏少波等(2005) | 1 | 胶质母细胞瘤 | 交通脑外伤 | 14 |
| 胡明军等(2006) | 1 | 多型性胶质母细胞瘤 | 交通脑外伤 | 9 |
| 梁海萍(2008) | 1 | 多型性胶质母细胞瘤 | 交通脑外伤 | 8 |
| 周开宇等(2009) | 1 | 胶质母细胞瘤 | 脑外伤 | 2 |
| Zhou等(2010) | 1 | 多型性胶质母细胞瘤 | 脑外伤 | 10 |
| Coskun等(2011) | 1 | 多型性胶质母细胞瘤 | 脑外伤 | 30 |
| 朱庆宝等(2012) | 1 | 间变性星形少突细胞瘤 | 高坠脑外伤 | 48 |
| 武涛等(2014) | 2 | 星形细胞瘤 | 脑外伤 | 50 |
| 胶质母细胞瘤 | 脑外伤 | 42 |
注:由于部分文献未能找到,二次引用文献[8]
目前的形态学研究表明,严重的颅脑损伤可以导致神经胶质增生,即胶质细胞的肥大和增生;胶质增生会引起血-脑脊液屏障的改变,也可引起脑血管结构的损伤,最终导致细胞恶变,形成肿瘤[6]。Ludwin[22]在小鼠外伤后24 h观察星形细胞、小胶质细胞、少突胶质细胞均可见有丝分裂现象。在生长刺激因子的作用下,外伤所致胶质细胞增殖可能失去控制而形成肿瘤。Schiffer等[23]发现小鼠大脑损伤2 d后在损伤区可见星形细胞增殖。在星形胶质细胞代谢行为中,糖皮质激素作用必不可少。Yin等[24]研究发现,中枢神经系统损伤后糖皮质激素受体-β(GR-β)表达增加,同时调节胶质细胞增多。GR-β与钙黏蛋白-β结合在损伤的星形胶质细胞和胶质瘤细胞的增殖及转移中具有重要作用。GR-β与钙黏蛋白-β结合在星形胶质细胞的Wnt/钙黏蛋白-β/T细胞因子(TCF)信号通路中是重要的调节点。5-脂氧酶(5-LOX)在白三烯代谢中是一种关键酶。5-LOX广泛表达于大脑中。5-LOX抑制剂具有神经保护作用。Zhang等[25]发现,在创伤性脑损伤中,5-LOX在中性粒细胞及胶质细胞中表达增加。双标免疫组化显示,部分5-LOX阳性的胶质细胞均呈现胶质纤维酸性蛋白(GFAP)阳性,而在星形细胞瘤高级别细胞中5-LOX表达增加。因此,脑损伤可以引起5-LOX分泌,5-LOX在大脑的病理生理机制中可能起到某种作用。提示星形胶质细胞在中枢神经系统损伤和胶质瘤中具有相同的受体及信号机制,可能表明脑外伤与胶质瘤的发生具有某种关系。
尽管脑外伤与胶质瘤的关系尚无定论,对于原发性颅内肿瘤患者,医师应仔细询问患者的脑外伤病史。同时,在脑外伤数年后发生胶质瘤的患者,应把外伤考虑为一个可疑的致癌因素,这对于探讨胶质瘤的病因具有重要意义。





















