
颅底骨折致硬膜外大量积气临床少见,多发生于年轻患者,易与硬膜下积气混淆,有继发感染的可能性,合并血肿或积气较多需手术治疗。以临床外伤后头痛、精神症状、脑脊液鼻漏等症状辅以头颅CT即可诊断。笔者介绍1例颅底骨折致硬膜外大量积气患者,探讨该类损伤的发病机制和诊治要点,以供临床医师鉴别并避免误诊误治。
版权归中华医学会所有。
未经授权,不得转载、摘编本刊文章,不得使用本刊的版式设计。
除非特别声明,本刊刊出的所有文章不代表中华医学会和本刊编委会的观点。
颅底骨折脑脊液鼻漏临床较常见,致颅内积气大多为蛛网膜下腔、硬膜下或脑室内,少见硬膜外积气[1],硬膜外气体主要来源于开放性颅骨损伤。诊断颅底骨折主要依据临床表现,结合影像学结果多可明确诊断,脑脊液漏是诊断颅底骨折特别是颅前、中窝骨折的确切依据。脑脊液丢失、颅内压降低与气颅的发生有关(液气置换)。颅内积气CT扫描即可诊断[2] 。但颅内积气为硬膜外还是硬膜下CT很难区分,MRI可资鉴别但临床对于外伤患者较少采用。2017年10月我院收治1例颅底骨折致硬膜外大量积气并迟发血肿及积气增多患者,因临床常见硬膜下积气,误诊为硬膜下血肿合并硬膜下积气,术中证实为硬膜外积气,临床罕见。笔者探讨此类损伤的发病机制和诊治要点,以供临床医师鉴别并避免误诊误治。
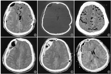
患者男,17岁,因"头面部砸伤后意识不清2 h"入院,患者躁动,难以平卧,头左侧颞枕部创口可触及颅骨凹陷,颜面部多发皮肤裂伤,右侧脑脊液耳漏鼻漏,头右侧无创口,颈强直。门诊镇静治疗后检查头颅CT:左侧颞骨凹陷粉碎骨折、右侧颞骨骨折伴新月形血肿,颅内大量积气,下颌骨骨折、眼眶骨折(图1A~C)。血常规未见贫血及血小板异常,D-二聚体增高,凝血轻度异常。右侧颞骨类似新月形血肿伴积气,诊断为硬膜下血肿,血肿量不多。因左侧颞骨凹陷深度达2.0 cm伴创口,予以当日急诊凹陷骨折整复、伤口清创缝合术。次日术后复查CT见颅内积气减少,左侧颞骨凹陷整复,术区无迟发血肿。但右侧颅板下血肿及积气增多,形状似同双梭形(图1D、图1E)。因血肿量较多,故于左侧骨折整复术后16 h手术,予以清除右侧血肿。术中见血肿位于硬膜外,硬膜下无血肿,仅见局部少许硬膜下积液,压力较高,释出后压力缓解,探查硬膜完整。术后复查CT见血肿消失,积气消失(图F)。病程中严密监测患者生命体征,给予止血、抗感染及维持水电解质平衡等对症治疗,预防并发症。术后脑脊液耳漏消失,脑脊液鼻漏3 d后消失。抗炎治疗1周,卧床治疗3周后患者意识清楚,无肢体及精神等方面神经功能障碍,治愈出院。


颅底骨折致硬膜外大量积气患者常有头面部急性损伤病史,伤后患者出现头痛、头晕、恶心呕吐症状,鼻腔或外耳道流出血性液体,合并脑挫伤及其他血肿时伴有躁动不安等表现。空气入颅与受损窦腔内气体压力骤然升高有关,如擤鼻、咳嗽或打喷嚏时,均可使空气压进颅内。本例患者躁动时屏气喊叫,加重颅内积气。但有时亦可因颅内压过低,源于流体动力学的影响在患者变换体位时,可将空气吸入颅内。
空气入颅的机制目前主要有"球阀学说"[3]和"倒水瓶效应"[4]。前者强调单向阀门作用,后者强调脑脊液丢失。因颅内积气多位于硬膜下及蛛网膜下腔、脑池,鼻漏、耳漏通路均达硬膜下,而硬膜外罕见。朱凤清等[5]认为,在颅骨受外伤暴力挤压变形的瞬间造成硬膜从颅骨内板剥离呈负压状态,空气经副鼻窦、乳突小房等部位经骨折缝隙进入硬膜外腔,随着硬膜外血肿的形成,负压状态消失而空气停止进入,形成硬膜外血肿内散在的点状空气积聚,对诊断硬膜外血肿具有一定价值。但本例硬膜外血肿积气并非点状,而且并未像朱凤清等[5]认为的那样积气停止,开始即为片状并且逐渐增多。
本例特殊之处为颅内积气减少而迟发硬膜外积气增多并呈张力性,术中未见硬膜破裂,硬膜外气体来源考虑因患者年轻,硬膜与颅骨粘连不紧密,外伤后硬膜与颅底撕脱形成间隙,气体在患者躁动大喊时经颅底骨折缝隙进入颅内,部分气体经颅底与硬膜外间隙达硬膜外,形成硬膜外积气。
颅脑进展性出血性损伤是指通过再次CT扫描或手术证实,原发出血灶相比首次CT扫描出现明显扩大,或再次出现新的出血灶[6]。该病发病率及致死、致残率较高,是脑损伤中最常见、最危险的继发伤[7]。本例患者合并颅内进展性出血,出现术后对侧硬膜外血肿及硬膜外积气增多。动态CT随访是目前早期判定有无颅内进展性出血性损伤发生的主要影像诊断方法[8]。研究表明,凝血指标提示D-二聚体明显升高可有效预测进展性颅脑血肿的发生[9]。本例患者D-二聚增高,凝血异常,初步预测迟发血肿可能。早期低颅压也可预测迟发血肿的发生。而本例患者脑脊液因鼻漏及耳漏大量流失,形成短暂性颅压降低,为迟发血肿增多埋下隐患。颅内积气本身与预后无相关性,但气体位于颅内不同部位常能提示颅骨骨折所波及的范围及相邻脑组织可能受损的情况[10]。绝大多数无颅内高压的非张力性气颅无须特殊处理,多以加强清创、防治感染、针对原发病及脑损伤进行治疗,颅内少量气体1周内便可自行吸收消失[11]。有报道对张力性颅内积气行手术治疗[12]。笔者认为,对于张力性颅内积气导致临床症状者,需要手术治疗以缓解颅内高压。对于无感染症状的脑脊液漏及颅内积气患者是否预防性使用抗生素存在争议,目前大多数文献不支持常规、预防性使用抗生素[13]。但黄永东等[14]认为在脑脊液漏停止后可使用抗生素3~5 d。笔者认为,颅底骨折脑脊液鼻漏属于开放性颅脑损伤,空气携带细菌进入颅内,临床观察不应用抗生素有可能发生颅内感染,故仍建议预防性使用抗生素。
硬膜外和硬膜下积气鉴别方法:硬膜下积气CT表现为颅内蛛网膜下腔散在多发低密度影,硬膜下血肿为新月形[1]。因硬膜与颅骨贴合紧密,硬膜外罕见气体进入,伴有积气的血肿多考虑硬膜下。本例患者伤后初期CT血肿呈类似新月形,伴有颅内积气。且积气与血肿混合存在,对侧凹陷骨折,给人第一印象考虑对冲伤引起硬膜下血肿伴颅内积气。但复查血肿增多时为双凸透镜形,同时积气增多,因合并同部位颞骨骨折,硬膜下还是硬膜外一时难以判断,术中证实为硬膜外血肿并大量积气。临床鉴别可以依靠MRI识别硬膜位置加以区分,但临床医师处理外伤躁动患者较少使用,仍以CT下积气及血肿的表现来鉴别,血肿边缘为梭形考虑硬膜外积气,血肿边缘为新月形时考虑硬膜下积气。
总之,颅底骨折致硬膜外大量积气临床罕见,常发生于年轻患者,可与硬膜外血肿同时出现。临床症状以头痛头晕伴颈强直、精神症状等表现,鼻腔或外耳道流出透明或血性液体。诊断以临床症状结合CT扫描为主,CT为硬膜外低密度影或伴血肿均表现为梭形,不要因硬膜外积气罕见而诊断误为硬膜下。对于有张力的硬膜外积气/血肿应手术治疗,术中清除血肿及积气并保留骨瓣,注意悬吊硬膜以免术后复发。并在脑脊液漏停止后使用抗生素3~5 d。
所有作者均声明不存在利益冲突





















