
开放性颅脑损伤因损伤出血、污染和可能异物残留造成大出血、脑挫裂伤、颅内血肿、颅内感染等风险。如损伤上矢状窦大出血休克会危及生命。头颅电锯伤引起开放性颅脑损伤表现以切割截面和附近的脑挫裂伤和颅内血肿为主,有污染的头发屑及碎骨片多等特点,横跨两侧电锯伤时会因上矢状窦断裂大出血休克危及生命。笔者报告1例头颅电锯伤引起横跨大脑两侧致严重开放性颅脑损伤患者,就其临床特点、治疗体会、经验教训等结合文献进行探讨。
版权归中华医学会所有。
未经授权,不得转载、摘编本刊文章,不得使用本刊的版式设计。
除非特别声明,本刊刊出的所有文章不代表中华医学会和本刊编委会的观点。
开放性颅脑损伤是指由锐器、严重钝器打击或火器穿透造成头皮、颅骨、硬脑膜和脑组织直接或间接与外界相通的创伤[1]。按致伤物的不同分为非火器伤和火器伤,易造成颅内感染和出血。非火器伤中除交通事故引起外,锐器引起也较常见,有刀、斧、锥、钉、剪、匕首或竹竿等长条状异物,造成的损伤往往与致伤物和颅脑的接触面有关。电锯伤属锐器伤,有锐器伤的特点,损伤却更广泛更严重,常因损伤横跨两侧致上矢状窦断裂大出血直接危及生命。笔者报告1例头颅电锯伤引起横跨大脑两侧致严重开放性颅脑损伤患者,就其临床特点、治疗体会、经验教训等结合文献进行探讨。
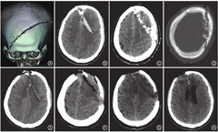
患者男,41岁,因工作时不慎伸手低头取电锯下方物品时,头颅碰到固定且高速转动的电锯被切割。当即意识不清伴大量出血,于伤后0.5 h送达我院就诊,急诊室体检:血压110/72 mmHg(1 mmHg=0.133 kPa),心率74次/min,浅昏迷,躁动,格拉斯哥昏迷评分(GCS)为7分,刺痛能睁眼及屈曲肢体,无发音。右额至左顶部头皮挫裂伤长约26 cm,皮缘挫伤严重并裂开,颅骨粉碎骨折外露,呈窄条状颅骨缺损,并有破碎脑组织向外溢出,创面渗血伴有大量头发屑、骨碎片附着。双侧瞳孔直径均0.25 cm,光反射灵敏,四肢刺痛能屈曲。急诊采用大敷料头部加压包扎、建立静脉输液通道等处理后行头颅+颈椎+胸部CT检查。头颅CT检查示:双侧额骨及左侧顶骨穿通性骨折伴骨质缺损,部分碎骨片嵌入颅内,双侧额叶脑挫裂伤,蛛网膜下腔出血(图1A~D)。查血常规示:血红蛋白125 g/L,红细胞压积0.36。临床诊断:特重型开放性颅脑损伤,双侧额骨及左侧顶骨穿通性骨折伴双额叶脑挫裂伤,上矢状窦前1/3断裂,蛛网膜下腔出血。急诊做好常规术前准备后行开放性颅脑损伤清创术。术前备皮时出血量多,血压下降至88/60 mmHg,加快输液速度,即送手术室。


手术过程:术前抗生素罗氏芬(头孢曲松)针2 g静脉滴注,德巴金针0.4 g静脉微泵注。气管插管全身麻醉后,监测血压为70/50 mmHg,予加用去甲肾上腺素针微泵维持血压回升至约100/70 mmHg。取仰卧位,常规消毒铺巾,清创去除头发屑及骨碎片,修剪皮缘,止血,再大量生理盐水冲洗;重新二次消毒铺巾,沿原创口皮缘撑开,两侧骨膜下剥离部分骨膜,于近上矢状窦处钻两孔,铣刀游离骨瓣,形成6 cm×24 cm骨窗,见上矢状窦已离断并活动性出血予以结扎。硬脑膜破碎裂开,其下张力高,有大量小碎骨片及头发屑嵌入脑组织中,予以清除破碎骨片及头发屑,清创双侧额顶叶切割的脑挫裂伤破碎脑组织并清除右额叶脑内血肿约40 ml,见右胼缘动脉分支断裂出血汹涌,予电凝止血,残腔严密电凝止血,彻底清创后脑压明显下降,但仍呈轻度膨出,脑搏动良好。创面大量生理盐水反复冲洗。取人工脑膜(北京天义福公司)充分减张修补硬脑膜缺损,硬脑膜外腔过氧化氢、生理盐水反复冲洗,硬脑膜外置一负压引流管,骨瓣去弃,逐层缝合头皮,术毕。术中出血约1 000 ml,输红细胞悬液8 U,血浆1 000 ml,术中血压一直靠升压药(去甲肾上腺素针)才维持正常水平。术中追加罗氏芬针2 g。术后行中心静脉压监测、动态CT复查(图1E~H)、止血抗炎(罗氏芬针2 g/d)及抗癫痫、脱水等综合治疗。
术后第2天,意识呈昏睡状,GCS为9分,呼唤能睁眼,无发音,刺痛能定位。拨气管插管及硬脑膜外引流。术后第3天,因发热加用丁胺卡那针0.6 g/d,术后第6天,因并发肺炎高热不退,停用罗氏芬针,抗生素改用哌拉西林他唑巴坦针13.5 g/d治疗。术后第10天,意识呈嗜睡状,GCS为10分,自动睁眼,无发音,刺痛能定位。反应迟钝,伤口愈合甲级。丁胺卡那针和哌拉西林他唑巴坦针各自用12 d。术后第3周意识转清,能吃流质,存在运动性失语和四肢瘫(肌力3级),行高压氧、针灸等康复治疗。术后第5周,能吃半流质,反应迟钝,仍运动性失语,左侧肢体肌力4级,右侧3级;能扶下床活动,骨窗塌陷,颈软,无发热。术后第6周转康复科治疗。于术后第8周出现持续高热,颈抵抗++,骨窗膨出,腰椎穿刺脑脊液化验示白细胞120个/μl,头颅MRI增强示无脑脓肿。证实颅内感染明确。静脉滴注利奈唑胺针1.2 g/d+美罗培南针4 g/d,10 d后体温控制正常,至临床表现正常且连续隔天3次腰椎穿刺脑脊液化验正常才停抗生素,总疗程8周。半年后随访:意识清,仍部分运动性失语,智力减退,生活部分自理,四肢肌力4级,肌张力高,骨窗塌陷,无癫痫发作史。
开放性颅脑损伤因其头皮、颅骨、硬脑膜、脑组织均有破损,有伤口出血多、休克发生率高、颅内血肿发生率高、伤口污染重、感染率高、癫痫发生率高等特点[2];同时具有病情急、进展快、并发症多、病死率高等特点。如伤及静脉窦,出血更加凶险,部分可能出血过多没有救治机会。本例严重开放性颅脑损伤因头颅电锯伤引起,其损伤横跨大脑两侧,有创面大、深度深、污染重、上矢状窦断裂、出血多、易感染等特点,抢救成功不易。现就救治过程临床特点、术前准备、手术方法、术后处理及教训总结如下。
头颅电锯伤以切割截面上和附近的颅脑损伤及继发血肿为主,损伤严重程度取决于受伤部位和深度。额部的损伤预后相对较好,颞部因与脑干和主要血管邻近,损害较大,后颅窝的损伤则会致命[3]。病情有急、危且污染重的特点,本例伤位额顶部,伤后当即意识不清,锯伤切截面大而深,长近26 cm,深4 cm,切截面切割完整完全,脑挫裂伤及颅内出血、血肿也在切面上或附近;破碎脑组织外露,切截面带入头发屑、碎骨片多污染重;电锯切割横跨两侧均伴有上矢状窦断裂,出血多,出现休克早。
术前急救主要维持生命体征的稳定,保持呼吸道通畅和防误吸,必要时气管插管。建立完好有效的静脉输液通道,维持循环保证血压稳定,但上矢状窦断裂严重损伤时维持血压在临界状态比较合适,低血压时伤面出血相对会减少,血压相对高时伤面出血会增多;上矢状窦断裂时也要注意头位,头位过低时会出血增多,过高会有空气栓塞风险;大敷料覆盖并适当加压包扎伤口,以减少出血和保护伤面为目的。剃头时可能因去除加压敷料会增加创面出血,手术医师应压迫创面,对头皮创面上的血管出血予止血钳钳夹,目的是减少出血量。尽早行CT检查明确诊断,缩短术前准备时间,术前备足血量。
彻底清创是防止颅内感染的关键。清创由浅入深,分层处理。由于电锯伤的损伤主要在锯过的头颅截面上,污染及异物和碎骨片、出血、坏死挫裂伤脑组织也在截面的伤道上及周围附近,清创也就集中在截面的伤道及周边进行。先清洗消毒再清除头皮及创面上大多数异物,同时止血,然后重新二次消毒再清创深面以减少污染扩散。本例横跨大脑两侧切割伤,上矢状窦断裂位于窦前1/3段,可以结扎;先在窦周钻2孔,暴露后先结扎断裂的窦两端以减少出血。再铣颅骨成骨窗,后再清创深部并止血及清除血肿。彻底清除坏死头皮组织、游离碎骨片及异物、颅内血肿及坏死挫裂伤脑组织,特别是头发屑、游离碎骨片等异物不能残留。清创不彻底,脓肿发生率达10%~15%[4]。如上矢状窦断裂位于后2/3段,不能结扎,只能修补或人工血管修复,以维持静脉血回流通畅[5]。清创后用大量生理盐水冲洗,修补硬脑膜缺损防脑脊液漏,变开放伤为闭合伤。硬脑膜严密缝合能减少感染和癫痫发生率。近功能区脑组织注意保护,手术时间往往超过3 h,重视除术前使用抗生素外,术中追加1次。本例修补硬脑膜缺损采用人工脑膜是不合适的,相当于放入异物[6],可能是导致恢复期颅内感染的因素之一,应采用带蒂骨膜或筋膜瓣修补。同样止血材料(止血纱布及吸收性明胶海绵)也是异物,尽量避免术中使用,可降低颅内感染的发生率[7]。
开放性颅脑损伤预防性使用抗生素应选择覆盖革兰阳性菌和革兰阴性菌及厌氧菌的广谱抗生素[1],使用时间上仍有争议[8,9],为2~4周,一般至少2周。本例因并发肺炎抗生素使用长达3周,在临床表现和各种指标正常情况下停用抗生素,术后第8周仍出现颅内感染,在抗生素合理使用上值得反思。开放性颅脑损伤污染带入颅内的细菌同时有革兰阳性菌和革兰阴性菌及厌氧菌,常以革兰阳性球菌为主[10]。罗氏芬(头孢曲松)是三代广谱头孢菌素,兼顾革兰阳性菌和革兰阴性菌及厌氧菌,且因良好的血脑屏障透过性和较长的半衰期,常作为神经外科手术首选用药。本例因并发肺炎发热,加用丁胺卡那针和改用哌拉西林他唑巴坦针,后两种抗生素明显以偏革兰阴性菌为主,忽视了潜在的开放性颅脑损伤引起颅内感染的细菌是以革兰阳性菌为主。如果选用能兼顾革兰阳性菌和革兰阴性菌的美罗培南,对兼顾防颅内感染和治疗肺炎更合适。同时对于术后发热,虽明确有肺炎,也有合并颅内感染的可能,要做腰椎穿刺才能排除颅内感染。对颅内感染的潜在风险因肺炎忽视,重视不够,抗生素使用不当也是导致本例恢复期颅内感染的重要因素。本例同时遗忘将术中切下的头皮皮缘和取出的碎骨片、发屑等送细菌培养加药敏试验,如能培养出细菌并找到敏感抗生素,对选择抗生素有指导意义。一旦明确颅内感染,因细菌性颅内感染常为混合感染,不能排除兼有阴性杆菌感染,常同时使用抗阳性球菌和阴性杆菌药物[11]。选能透过血脑障碍、脑脊液浓度高的杀菌活性药,推荐万古霉素+头孢吡肟或头孢他啶或美罗培南[6]。对万古霉素治疗不佳或有禁忌时选择利奈唑胺[11]。术前及术后7 d预防性抗癫痫药物治疗,预防早期癫痫样发作[1,12]。早期高压氧和针灸等康复治疗有助于并发症防治和功能恢复。
总之,本例电锯切割伤造成横跨两侧的严重开放性颅脑损伤,有创面大、出血多、污染重、病情危急等特点,重视快速完善的术前准备、术前术中注意失血控制并维持适当血压水平、术中彻底清创止血,围术期严密监测积极治疗是抢救成功的关键;术中彻底清除异物、带蒂骨膜筋膜瓣严密修补硬脑膜缺损是防治术后颅内感染的基础;重视术前、术中及术后抗生素的合理使用,同样对颅内感染防治有重要意义。将术中切下的头皮皮缘和取出的碎骨片等送细菌培养加药敏试验,对选择抗生素有指导意义。预防性抗癫痫药物治疗能预防早期癫痫发作。早期康复治疗有助并发症防治和功能恢复。
所有作者声明不存在利益冲突





















